Acetobacterium

Acetobacterium


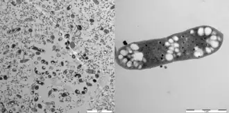
TEM-Aufnahmen von A. woodii nach 72 Stunden (oben) bzw. 168 Stunden (unten) heterotrophem Wachstum.

Systematik
Domäne: Bakterien (Bacteria)
Abteilung: Firmicutes
Klasse: Clostridia
Ordnung: Eubacteriales
Familie: Eubacteriaceae
Gattung: Acetobacterium
Wissenschaftlicher Name
Acetobacterium
Balch et al. 1977
Fluoreszenzmikroskop-Aufnahmen von A. woodii (A) Wildtyp und (B) Rekombinante, gefärbt mit Lipid­Green2[1] zur Visualisierung von PHB-Granula; hetero­trophes Wachstums mit Fruktose nach 48 h; Balken 5 µm.

Acetobacterium ist eine Gattung von Bakterien. Acetobacterium umfasst strikt anaerobe, also nur in sauerstofffreien Umgebungen wachsenden, metabolisch vielseitige Bakterien. Die Arten nutzen H2 und CO2 zur Energiegewinnung und Zellstoffaufbau. Sie zählen zu den sogenannten acetogenen Bakterien, ein wichtiges Zwischenprodukt ihres Stoffwechsels ist das Acetat (Essigsäure). Der hierzu genutzte Stoffwechselweg wird nach dem Entdeckern als Wood-Ljundahl-Weg oder bezeichnet. Dieser Weg spielt eine wichtige Rolle im globalen Kohlenstoffkreislauf und er könnte zur Verringerung der Treibhausgas­emissionen beitragen. Die Arten sind was den Stoffwechselangeht flexibel, so sind sie zur Gärung von einigen Zuckern und Alkoholverbindungen, wie Ethanol und Butanol, fähig. Die zuerst beschriebene Art Acetobacterium woodii wurde zu Ehren des US-amerikanischen Wissenschaftlers Harland G. Wood für seine Arbeiten über die Synthese von Acetat aus CO2 durch Bakterien benannt.

Merkmale

Die Zellen der Arten von Acetobacterium sind ovale, kurze Stäbchen mit einer Größe von 0,7–1,0 × 2,0–4,0 µm. Sie treten einzeln oder in Paaren auf. Sie sind durch eine oder zwei Geißeln oder am ganzen Zellkörper gelegenen (peritriche) Geißeln beweglich. Unter ungünstigen Wachstumsbedingungen können geschwollene und verlängerte Zellen auftreten. So bilden psychrotolerante („kälteliebende“) Arten der Gattung bilden bei höheren Temperaturen teilweise geschwollene Zellen, wobei die Anzahl normalerweise 5 % der Zellzahl erreicht. Bei der psychrotoleranten Art Acetobacterium tundrae machen geschwollene Zellen bei hohen Temperaturen von 27–30 °C jedoch 90–95 % der Zellzahl aus. Die Größe dieser Zellen erreicht 2–3 µm in der Breite und 10–15 µm in der Länge. Bei Temperaturen über 25 °C nimmt die Zellgröße zu, aber es findet keine Zellteilung statt. Manchmal wird das Aufbrechen der Zellwand von aufgequollenen Zellen beobachtet, wenn der Zellinhalt einen kritischen Wert erreicht. Werden bei 25–30 °C gequollene Zellen auf ein neues frisches Medium übertragen und bei 20 °C kultiviert, entwickeln sich wieder Zellen normaler Größe.[2]

Eine Besonderheit der Struktur des Lipidkomplexes der Membran von Acetobacterium bakii, A. fimetarium, A. paludosum und A. tundrae ist das Vorhandensein großer Mengen von Plasmalogenen. Hierbei handelt es sich um spezielle Etherlipide, welche beim Menschen im Gehirn und in Muskeln vorkommen.[2]

Stoffwechsel und Wachstum

Der reduktive Acetyl-CoA-Weg.

Die Arten von Acetobacterium können eine Vielzahl von Stoffwechselwegen zur Energiegewinnung durchführen.[3] Alle Mitglieder der Gattung verwenden den Wood-Ljungdahl-Weg (WLP), wobei H2 als Elektronendonator (Elektronenspender) dient und damit CO2 zur Bildung von Acetat (daher der Name der Gattung) eingesetzt wird. Dieser, auch als Acetyl-CoA-Weg bezeichnete Stoffwechselweg dient also der Energiegewinnung und gleichzeitig auch der Erzeugung von Zellmaterial, hierfür wird das gebildete Acetat weiterverwendet. Da hierbei keine organischen Stoffe benötigt wird, bezeichnet man diese Lebensweise als autotroph. Hierbei wird H2 oxidiert und CO2 zu Essigsäure reduziert. Einige Arten können zusätzlich Formiat (Ameisensäure) und Kohlenmonoxid (CO) für die Acetatbildung verwenden. Bei A. woodii wurde festgestellt, das die ATP-Synthese mit Na+ angetrieben wird (eine Na⁺-translozierende ATP-Synthase).[4][2]

Struktur von Methylglycol
Strukturformel von 1,2-Propandiol

Die Arten können außerdem die homoacetogene Fermentation (Homoacetatgärung) mit Substraten wie Fruktose oder Glucose durchführen. Hierbei wird ein Zucker (z. B. Fructose oder Glucose) vergärt und daraus drei Moleküle Acetat gebildet.[2] Glucose oder Fructose wird also zuerst mit der Glykolyse zu zwei Molekülen Pyruvat abgebaut. Aus Pyruvat wird dann unter Gewinnung von ATP zu Acetat vergärt.

Auch 1,2-Propandiol wird von verschiedenen Acetobacterium-Arten fermentiert, hierbei wird Propionat und Acetat gebildet. Die 2,3-Butandiol-Gärung wird ebenfalls von einigen Arten genutzt. Acetobacterium-Arten können auch verschiedene methylierte Verbindungen, Alkohole und Hydroxycarbonsäuren fermentieren, wobei Acetat als Hauptprodukt entsteht. Zu den genutzten Alkoholen zählen je nach Art Ethanol, Propanol, Butanol und Pentanol. Einige Arten nutzen auch Diole (zweiwertige Alkohole) und Acetoinverbindungen. So wird zum Beispiel das zweiwertige Alkohol 1,2-Propandiol von Acetobacterium carbinolicum, A. wieringae und A. woodii zu Propionat und Acetat oder von Acetobacterium malicum zu Propanol, Propionat und Acetat fermentiert.[5][6][7][2] An der Spaltung von Diolen ist das Enzym Diol-Dehydratase beteiligt. Acetobacterium malicum, A. bakii, A. fimetarium und A. paludosum können auch Methylglycol (auch als 2-Methoxyethanol bezeichnet) verwerten und dieses Substrat über eine Diol-Dehydratase-analoge Reaktion in Methanol und Acetaldehyd umwandeln, Acetaldehyd wird dann weiter zu Acetat oxidiert.

Acetobacteirum woodii kann auch Derivate von Kaffeesäure (englisch Caffeic acid) zur Energiegewinnung reduzieren.

Struktur von Betain

Methanol sowie Methylgruppen von methoxylierten Aromatverbindung und Betain werden ebenfalls in Acetat umgewandelt. Methanol wird bei diesem Prozess mit CO2 als Cosubstrat oxidiert und in Acetat umgewandelt. Die Methylgruppe des Methanols wird hierbei auf Tetrahydrofolat übertragen und in das Acetat eingebaut, während die Carboxylgruppe des Acetats aus CO2 gebildet wird. Auch die Chlorverbindung Methylchlorid (CH3Cl) kann so genutzt werden. So spaltet Acetobacterium woodii Chlor von Chlormethanverbindungen (CH2Cl2 und CH3Cl) ab und wandelt die Methylgruppen in Acetat um. Es kann auch die reduktive Dechlorierung von Tetrachlormethan (CCl4) und dessen Substitutionsumwandlung in CO2 und Cl2 durchführen.[2][8][9][10]

Chlormethan (CH3Cl) kann auch von „Acetobacterium dehalogenans“ mit CO2 als Co-Substrat zu Acetat umgesetzt werden. Die Methyltransferreaktion wird durch eine Methylchlorid-Dehalogenase vermittelt.[2][11]

Ökologie

Acetobacterium-Arten kommen in anaeroben Ökosystemen wie Feuchtgebieten, in anoxischen Grund von Teichen, Klärschlamm und Flussmündungen vor. Die Art Acetobacterium paludosum wurde aus anoxischen Sedimenten eines Niedermoores isoliert. Sie ist psychrotolerant. Acetomicrobium malicum wurde aus anoxischem Süßwassersediment eines Grabens isoliert, die Erstbeschreibung der Art Acetobacterium carbinolicum stammt ebenfalls aus anoxischen Süßwasserschlamm. Die Erstbeschreibung von Acetobacterium tundrae stammt aus Boden in der Tundra.[12] A. woodii kommt in Meeres- und Süßwassersedimente sowie wie Klärschlamm vor. Sie ist die am besten untersuchte Art, die sowohl autotroph über den Wood-Ljungdahl-Weg als auch mittels der Nutzung von Chlorverbindungen durch die reduktive Dehalogenierung wachsen kann.

Acetobacterium-Arten konkurrieren im Boden mit methanogenen Archaeen um Wasserstoff und beeinflussen so die Zusammensetzung mikrobieller Gemeinschaften. Einige Vertreter der Gattung gehören zu den typischen Mikroorganismen in sehr kalten Süßwasser-Ökosystemen. Psychrotolerante, also niedrige Temperaturen tolerierende Arten, sind Acetobacterium bakii, A. fimetarium, A. paludosum und A. tundrae. Sie tolerieren niedrige Temperaturen von bis zu 1 °C. Sie spielen in verschiedenen kalten anoxischen Umgebungen somit eine wichtige ökologische Rolle als starke Konkurrenten von methanogenen Archaeen bei der Nutzung von Wasserstoff.[13][14]

Arten von Acetobacterium sind in der Lage, molekularen Stickstoff (N2) zu fixieren.[2]

Mögliche Nutzung

Acetobacterium zählt zu den acetogenen Bakterien. Dies sind anaerobe Bakterien, die in der Lage sind, CO2 oder Kohlenmonoxid (CO) zu binden, um Acetyl-CoA und schließlich Acetat über den Wood-Ljungdahl-Weg (WLP) zu produzieren. Dieser Stoffwechselweg spielt durch die Fixierung von CO2 eine wichtige Rolle im globalen Kohlenstoffkreislauf und könnte zur Verringerung der Treibhausgasemissionen beitragen. Arten könnten zur Biokraftstoffproduktion eingesetzt werden und zur Umwandlung von Synthesegase (CO, H2, CO2) zu Acetat oder Ethanol in Biokraftstoffe dienen. Sie könnten auch zur Nutzung von Industrieabgasen oder organischen Abfällen zur Acetatproduktion genutzt werden.

Acetobacterium woodii kann auch Tetrachlormethan (CCl4, auch bekannt als Tetrachlorkohlenstoff), abbauen. Tetrachlormethan ist eine hochgiftige und langlebige, halogenierte organische Verbindung. Hierbei werden die Chloratome (Cl-) nacheinander durch Wasserstoff (H2) ersetzt. Auf diesem Weg wird aus Tetrachlormethan das Dichlormethan gebildet, das weniger giftig ist. Diese Reaktion wird durch Dehalogenase-Enzyme katalysiert. Viele industrielle Lösungsmittel enthalten das hoch toxische Tetrachlormethan, das Grundwasser und Boden verunreinigen kann. Acetobacterium woodii ist in der Lage, diese Verbindungen auf natürliche Weise abzubauen, was es für die Abwasserbehandlung interessant macht.[2][8]

Acetobacterium wird auch zur Erzeugung von Vitamin B12 eingesetzt.[15] Auch bei der Produktion von Biogasen (wie Methan, CH2) wird Acetobacterium genutzt. In diesem Prozess werden mehrere verschiedene Bakterienarten eingesetzt. Bestimmte Arten zersetzten Polymere (Kohlenhydrate, Proteine, Lipide) in Monomere. Acetogene Bakterien, wie Acetobacterium woodii und Clostridium aceticum wandeln dann diese Monomere in Acetat und Wasserstoff um. Methanogenen Archaeen erzeugen hieraus schließlich Methan.[16]

Weiterhin können Arten von Acetobacterium innerhalb der Ölförderung zur „Microbial-Enhanced Oil Recovery“ eingesetzt werden. Hierbei werden in die Lagerstätte eingebrachte Mikroorganismen dazu eingesetzt, Säuren zu produzieren, welches die Lösung von Öl aus Gesteinen erleichtert.[16]

Bestimmte Stämme von Acetobacteirum könnten für den Abbau von Per- und polyfluorierte Alkylverbindungen (PFASs) eingesetzt werden. Diese Stämme bilden Enzyme, die den Abbau von Kaffeesäure (engl. caffeic acid) dienen. Es handelt sich um einen sogenannten elektron-bifurkierendenden Caffeat-Reduktionsweg. Die Kaffeesäure kommt in manchen Pflanzen vor und ähnelt einigen PFAS strukturell. Diese Stämme können durch die Enzyme auch Fluoratome von den PFASs mit Wasserstoffatomen ersetzten und abspalten. Die neuen Verbindungen werden dann durch ein Transporter-Enzym nach außen transportiert und abgegeben. Dies könnte für den Abbau von Per- und polyfluorierte Alkylverbindungen (PFASs) eingesetzt werden.[17]

Systematik

Die Gattung Acetobacterium zählt zu der Abteilung Bacillota (früher als Firmicutes bezeichnet) und dort zur Klasse der Clostridia.

Die Gattung Acetobacterium wird anhand der 16S rRNA-Gene phylogenetisch von anderen Gattungen homoacetogenen, anaeroben Vertreter der Bacillota (grampositive Bakterien mit niedrigem DNA-G+C-Gehalt) unterschieden. Sie wird zu der Familie Eucbacteriaceae gestellt. Die phylogenetische Beziehung zu den am engsten verwandten Arten der Gattung Eubacterium liegt bei einer Sequenzähnlichkeit von höchstens 93 %. Acetobacterium unterscheidet sich von anderen homoacetogenen, anaeroben gram-positiven Bakterien auch durch morphologischen und physiologischen Eigenschaften. Im Gegensatz zu den homoacetogenen Bakterien der Gattung Clostridium bilden die Mitglieder der Gattung Acetobacterium keine Endosporen. Acetobacterium unterscheiden sich in ihrer Zellmorphologie und Peptidoglykan-Zusammensetzung von den Gattungen Peptostreptococcus, Syntrophococcus und Acetitomaculum. Die Mitglieder der Gattung Acetobacterium unterscheiden sich von der einzigen bekannten Art der Gattung Acetogenium durch die genutzten Substrate, ihre Peptidoglykan-Zusammensetzung und ihre Fähigkeit, auch bei relativ hohen Temperaturen zu wachsen.

Es folgt eine Liste einiger Arten:[18]

  • Acetobacterium bakii Kotsyurbenko et al. 1997
  • Acetobacterium carbinolicum Eichler & Schink 1985
  • Acetobacterium dehalogenans Kaufmann et al. 1998
  • Acetobacterium fimetarium Kotsyurbenko et al. 1997
  • Acetobacterium malicum Tanaka & Pfennig 1990
  • Acetobacterium paludosum Kotsyurbenko et al. 1997
  • Acetobacterium psammolithicum Krumholz et al. 1999
  • Acetobacterium tundrae Simankova et al. 2001
  • Acetobacterium wieringae Braun & Gottschalk 1983
  • Acetobacterium woodii Balch et al. 1977 (Approved Lists 1980)

Einzelnachweise

  1. LipidGreen2. Auf: Merck Sigma-Aldrich (sigmaaldrich.com).
  2. a b c d e f g h i Maria V. Simankova, Oleg R. Kotsyurbenko: Acetobacterium In: Bergey's Manual of Systematics of Archaea and Bacteria. 1. Auflage. Wiley, 2015, ISBN 978-1-118-96060-8, doi:10.1002/9781118960608.gbm00626 (englisch).
  3. Daniel E. Ross, Christopher W. Marshall, Djuna Gulliver, Harold D. Ma​y, R. Sean Norman: Defining Genomic and Predicted Metabolic Features of the Acetobacterium Genus. In: mSystems. Band 5, Nr. 5, 27. Oktober 2020, ISSN 2379-5077, doi:10.1128/mSystems.00277-20 (englisch).
  4. Sascha Aufurth, Hermann Schägger, Volker Müller: Identification of Subunits a, b, andc 1 from Acetobacterium woodii Na+-F1F0-ATPase. In: Journal of Biological Chemistry. Band 275, Nr. 43, Oktober 2000, S. 33297–33301, doi:10.1074/jbc.M005134200 (englisch, Open Access).
  5. B. Schink, M. Bomar: The genera Acetobacterium, Acetogenium, Acetoanaerobium, and Acetitomaculum. In: Trüper, Dworkin, Harder and Schleifer (Editors): The Prokaryotes, 2. Auflage, Band 2. Springer-Verlag, New York, 1992, S. 1925–1936 (englisch).
  6. Barbara Eichler, Bernhard Schink: Oxidation of primary aliphatic alcohols by Acetobacterium carbinolicum sp. nov., a homoacetogenic anaerobe. In: Archives of Microbiology. Band 140, Nr. 2–3, Dezember 1984, ISSN 0302-8933, S. 147–152, doi:10.1007/BF00454917 (englisch).
  7. Kazuhiro Tanaka, Norbert Pfennig: Fermentation of 2-methoxyethanol by Acetobacterium malicum sp. nov. and Pelobacter venetianus. In: Archives of Microbiology. Band 149, Nr. 3, Januar 1988, ISSN 0302-8933, S. 181–187, doi:10.1007/BF00422003 (englisch).
  8. a b C. Egli, T. Tschan, R. Scholtz, A. M. Cook, T. Leisinger: Transformation of tetrachloromethane to dichloromethane and carbon dioxide by Acetobacterium woodii. In: Applied and Environmental Microbiology. Band 54, Nr. 11, November 1988, ISSN 0099-2240, S. 2819–2824, doi:10.1128/aem.54.11.2819-2824.1988, PMID 3145712, PMC 204379 (freier Volltext) – (englisch).
  9. Susanna A. Stromeyer, Wolfgang Winkelbauer, Herbert Kohler, Alasdair M. Cook, Thomas Leisinger: Dichloromethane utilized by an anaerobic mixed culture: acetogenesis and methanogenesis. In: Biodegradation. Band 2, Nr. 2, 1991, ISSN 0923-9820, S. 129–137, doi:10.1007/BF00114603 (englisch).
  10. Susanna A. Stromeyer, Karin Stumpf, AlasdairM. Cook, Thomas Leisinger: Anaerobic degradation of tetrachloromethane by Acetobacterium woodii: separation of dechlorinative activities in cell extracts and roles for vitamin B12 and other factors. In: Biodegradation. Band 3, Nr. 1, 1992, ISSN 0923-9820, doi:10.1007/BF00189639 (englisch).
  11. Jürgen Traunecker, Andrea Preuß, Gabriele Diekert: Isolation and characterization of a methyl chloride utilizing, strictly anaerobic bacterium. In: Archives of Microbiology. Band 156, Nr. 5, Oktober 1991, ISSN 0302-8933, S. 416–421, doi:10.1007/bf00248720 (englisch).
  12. Maria V. Simankova, Oleg R. Kotsyurbenko, Erko Stackebrandt, Nadezhda A. Kostrikina, Anatoliy M. Lysenko, Georgiy A. Osipov, Alla N. Nozhevnikova: Acetobacterium tundrae sp. nov., a new psychrophilic acetogenic bacterium from tundra soil. In: Archives of Microbiology. Band 174, Nr. 6, 11. Dezember 2000, ISSN 0302-8933, S. 440–447, doi:10.1007/s002030000229 (englisch).
  13. R. Conrad: Hydrogen turnover by psychrotrophic homoacetogenic and mesophilic methanogenic bacteria in anoxic paddy soil and lake sediment. In: FEMS Microbiology Letters. Band 62, Nr. 5, August 1989, ISSN 0378-1097, S. 285–293, doi:10.1016/0378-1097(89)90010-4 (englisch).
  14. O. R. Kotsyurbenko, A. N. Nozhevnikova, T. I. Soloviova, G. A. Zavarzin: Methanogenesis at low temperatures by microflora of tundra wetland soil. In: Antonie van Leeuwenhoek. Band 69, Nr. 1, Januar 1996, ISSN 0003-6072, S. 75–86, doi:10.1007/bf00641614 (englisch).
  15. Mark Anthony Benvenuto: 8 Vitamins. In: Industrial Biotechnology. De Gruyter, 2024, ISBN 978-3-11-133025-9, S. 49–58, doi:10.1515/9783111330259-008 (englisch).
  16. a b Amisha Jurel, Jeetesh Kushwaha, Madhumita Priyadarsini, Kailash Pati Pandey, Abhishek S. Dhoble: Biomass Waste Valorization: A Biotechnological Frontier. In: Industrial Microbiology and Biotechnology. Springer Nature Singapore, Singapore 2024, ISBN 978-981-9762-69-9, S. 739–762, doi:10.1007/978-981-97-6270-5_24 (englisch).
  17. Yaochun Yu, Fengjun Xu, Weiyang Zhao, Calvin Thoma, Shun Che, Jack E. Richman, Bosen Jin, Yiwen Zhu, Yue Xing, Lawrence Wackett, Yujie Men: Electron bifurcation and fluoride efflux systems implicated in defluorination of perfluorinated unsaturated carboxylic acids by Acetobacterium spp. In: Science Advances. Band 10, Nr. 29, 19. Juli 2024, ISSN 2375-2548, doi:10.1126/sciadv.ado2957, PMID 39018407, PMC 466959 (freier Volltext) – (englisch). Dazu:
  18. NCBI – Genus Acetobacterium

Genutzte Literatur

  • Maria V. Simankova, Oleg R. Kotsyurbenko: Acetobacterium (2015) In: Bergey's Manual of Systematics of Archaea and Bacteria. 1. Auflage. Wiley, 2015, ISBN 978-1-118-96060-8, doi:10.1002/9781118960608.gbm00626.
  • Daniel E. Ross, Christopher W. Marshall, Djuna Gulliver, Harold D. Ma​y, R. Sean Norman: Defining Genomic and Predicted Metabolic Features of the Acetobacterium Genus. In: mSystems. Band 5, Nr. 5, 27. Oktober 2020, ISSN 2379-5077, doi:10.1128/mSystems.00277-20.

Weiterführende Literatur

Wikispecies: Acetobacterium – Artenverzeichnis