Adrenoleukodystrophie
| Klassifikation nach ICD-10 | |
|---|---|
| E71.3 | Störungen des Fettsäurestoffwechsels Adrenoleukodystrophie Addison-Schilder-Syndrom |
| ICD-10 online (WHO-Version 2019) | |
Adrenoleukodystrophie (X-ALD) oder Addison-Schilder-Syndrom ist eine vererbliche Stoffwechselkrankheit, die meist im Kindesalter auftritt und oft einen schnellen neurologischen Verfall mit sich bringt. Im Endstadium zeigt sich eine ausgeprägte Demenz, die schließlich zum Verlust der lebenswichtigen Körperfunktionen und damit zum Tode führt.
Häufigkeit
Die Prävalenz liegt beim männlichen Geschlecht bei etwa 1:20.000. Die Adrenoleukodystrophie ist weltweit in allen Bevölkerungskreisen in etwa gleich häufig.[1] Die Vererbung erfolgt x-chromosomal-rezessiv. Demzufolge ist meist das männliche Geschlecht schwerer betroffen. Das weibliche Geschlecht ist Konduktor und kann völlig ohne klinische Auffälligkeiten (asymptomatisch) sein, in bis zu 80 % entwickeln sich im späteren Lebensverlauf jedoch Symptome der Erkrankung.
Ursachen
Genetische Untersuchungen haben ergeben, dass alle Betroffenen Mutationen in dem ABCD1-Gen aufweisen, das ein Gen aus der Gruppe der ABC-Transporter ist. Dieses Gen befindet sich auf dem X-Chromosom, Genlocus q28.[1] Es kodiert das peroxisomale ABC-Halbtransporter-ALD-Protein, ein Protein, welches in der Membran der Peroxisomen lokalisiert ist. Es ist umstritten, ob es direkt am Transport von überlangkettigen Fettsäuren in die Peroxisomen beteiligt ist. Diese Fette werden normalerweise innerhalb des Peroxisoms abgebaut. Bei X-ALD-Patienten kommt es jedoch zu einer Anhäufung der Fettsäuren vor allem in der Nebennierenrinde und in der weißen Gehirnsubstanz (daher von lat.: adreno ‚die Nebenniere betreffend‘; von griech. leukos ‚weiß‘, dys ,falsch‘ und trophein ‚ernähren‘ mit -dystrophie im Sinne von ‚Funktionsstörung‘) sowie in den Leydig-Zellen im Hoden.
Überlangkettige Fettsäuren werden auch in Zellmembranen eingelagert. Daher vertreten manche Wissenschaftler die Hypothese, dass es bei X-ALD-Patienten zu einer Veränderung der Membranstruktur des Myelins kommt. Dies könnte eine Ursache der Demyelinisierung darstellen und letztlich die Weiterleitung von Impulsen behindern und den geistigen und motorischen Verfall der Patienten bedingen.
Klinische Erscheinungen
Es gibt zwei wesentliche Verlaufsformen der ALD:[2][3]
- Adrenomyeloneuropathie (kurz: AMN): mildere Form, beim männlichen Geschlecht Krankheitsbeginn im jungen Erwachsenenalter mit Gangstörungen, langsam fortschreitend. Beim weiblichen Geschlecht in späterem Alter bei etwa 50–70 % vergleichbare Symptome
- ALD mit Hirnbeteiligung, Adulte zerebrale ALD (kurz ACALD): beim männlichen Geschlecht bei etwa 1/3 der Betroffenen, zwischen 3. und 12. Lebensjahr beginnend mit schwerer fortschreitender Entzündung im Gehirn, plötzlich einsetzende Verhaltens- und Wesensveränderung, rasche Verschlechterung.
Eine detaillierte Auflistung klar unterscheidbarer Formen (Phänotypen, aber ohne klare Korrelation zum Genotyp) wurde von Hugo Moser und Mitarbeitern im Jahre 2001 vorgeschlagen:[4]
- Männliches Geschlecht
- Kindliche Zerebrale Form Zerebrale Adrenoleukodystrophie (CALD): rasch fortschreitende Neurodegeneration, Alter von 3–10 Jahren, Vorkommen in 31–35 %, häufigste Form. Führt innerhalb von höchstens zwei Jahren nach Diagnosestellung zu schwerster Behinderung oder Tod[5]
- Jugendliche Zerebrale Form: langsamere Verschlechterung, Alter von 11–21 Jahren, 4–7 %
- Adrenomyeloneuropathie (AMN), in etwa 40 % Übergang zu zerebraler Beteiligung, Alter 21–37 Jahre, 40–46 %
- Adulte Zerebrale Form: Demenz, Verhaltensauffälligkeiten, ohne Entwicklung einer AMN, Erwachsenenalter, 2–5 %
- Olivo-ponto-cerebellare Form mit Beteiligung von Gehirn und Hirnstamm, Jugendliche und Erwachsene, 1–2 %
- Morbus Addison, isoliert: Nebennierenrindeninsuffizienz, vor dem 7. bis 8. Lebensjahr, bis 50 % im Kindesalter
- Symptomlos: meist bei Jungen unter 4 Jahren, mit zunehmendem Alter seltener
- Weibliches Geschlecht
- Symptomlos: meist bei Frauen unter 30 Jahren, seltener mit zunehmendem Alter
- Milde Myelopathie: verstärkte Eigenreflexe, Sensibilitätsstörung der Beine, Erwachsenenalter, etwa 50 % bei über 40-Jährigen
- Mäßige oder ausgeprägte Myeloneuropathie: ähnlich dem männlichen AMN-Typ (Adrenomyeloneuropathie), später und milder, Erwachsenenalter, etwa 10 % bei über 40-Jährigen
- Zerebrale Beteiligung: fortschreitende Demenz und geistiger Abbau, selten in der Kindheit, bei Erwachsenen eher, etwa 2 %
- Nebennierenbeteiligung: primäre Nebenniereninsuffizienz, in jedem Alter, etwa 1 %
Diagnostik

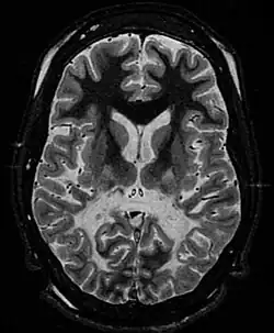
Labordiagnostisch kann eine Erhöhung der überlangkettigen Fettsäuren, v. a. von Cerotinsäure (C26:0) und den Quotienten C26:0/C24:0, C26:0/C22:0 und C24:0/C22:0 im Serum festgestellt werden. Geeignete bildgebende Verfahren, vor allem die Magnetresonanztomographie, zeigen eine symmetrische, flächige Degeneration der weißen Substanz mit Kontrastmittelaufnahme. Vorrangig betroffen sind dabei die Occipitallappen, der hintere Bereich des Corpus callosum, die Pyramiden- und die Hörbahn.[6][7]
Therapie
Pharmakotherapie
Die therapeutischen Möglichkeiten beschränken sich hauptsächlich darauf, die Symptome der Erkrankung zu lindern. So werden Medikamente gegen spastische Muskelkrämpfe verabreicht, ebenso wie Steroidhormone gegen die neurologischen Begleiterscheinungen. Behandlungsversuche mit dem immunsuppressiven Wirkstoff Interferon vermochten entzündliche Prozesse im Gehirn nicht aufzuhalten,[8] das die β-Oxidation aktivierende Lovastatin zeigte in einer kontrollierten Studie keine deutliche und anhaltende Senkung der C26:0-Plasmakonzentration.[9] Zur Erhöhung der Peroxisomenzahl wurde die Gabe von 4-Phenylbutyrat erwogen,[10] jedoch verhindern nicht realisierbar hohe Dosen den therapeutischen Einsatz.[11]
Dem PPAR-γ-Agonisten Leriglitazon wurde 2024 in der EU die Zulassung verweigert.[12] Der Wirkstoff reguliert die Expression von Genen, die zu der mit der Krankheit einhergehende Neuroinflammation und Neurodegeneration beitragen. In der klinischen Prüfung wurde der primäre Endpunkt (Verbesserung der Gehstrecke im 6-Minuten-Gehtest nach 96 Wochen) nicht erreicht. Jedoch entwickelte in diesem Zeitraum keiner der mit Leriglitazon behandelten Patienten einen rasch fortschreitenden Krankheitsverlauf, anders als in der Placebogruppe, wo dies bei 15 % der Patienten der Fall war.[13]
Zell- und Gentherapie
Die einzige kurative Therapie ist die Stammzelltransplantation, die besonders effektiv ist, wenn sie bei der zerebralen Form in frühen Stadien der Neurodegeneration oder präsymptomatisch erfolgt. Die Stammzellen werden dem Knochenmark entnommen. Der Mechanismus der allogenen Transplantation ist bisher nicht verstanden, es wird aber ein Austausch der myeloischen Zellen durch solche des Spenders vermutet, zu denen möglicherweise auch die Mikroglia des zentralen Nervensystems gehören. Bei HLA-identischen Spendern und frühzeitiger Stammzelltransplantation sind die langfristigen Ergebnisse gut.[5]
Nachdem eine französische Arbeitsgruppe um N. Cartier et al. 2009 in einer Proof-of-Concept-Studie gezeigt hatte, dass eine autologe Transplantation von CD34-positiven hämatopoetischen Vorläuferzellen möglich ist, die ex vivo mit einem lentiviralen Vektor transfiziert worden war und in welche dadurch eine Kopie des ABCD1-Gens eingebaut werden konnte,[14] konnte eine offene multizentrische Phase-2-3-Studie 2017 die Sicherheit und Wirksamkeit dieser als Lenti-D (Elivaldogen tavalentivec) bezeichneten Gentherapie nachweisen.[5] Behandelt wurden 17 Jungen mit im Median 6 Jahren. Zwei Kinder starben im Lauf der Therapie, die übrigen 15 Jungen waren nach mittleren 29 Monaten Nachbeobachtungszeit frei von neurologischen Behinderungen mit nur minimalen klinischen Symptomen. Anders als bei der allogenen Stammzelltransplantation wurde keine Graft-versus-Host-Reaktion beobachtet. Die genetisch modifizierten autologen hämatopoetischen Stammzellen (Elivaldogen autotemcel) wurden als Skysona zugelassen zur Behandlung von Patienten unter 18 Jahren mit einer ABCD1-Genmutation, für die kein (HLA)-kompatibler Stammzellspender verfügbar ist.[15][16] Das Präparat ist in den USA zugelassen, in der EU wurde die Zulassung aufgegeben.
Diätetische Behandlung
Einigen Patienten wird als diätische Maßnahme eine Mischung aus Glycerin-Trioleat und Glycerin-Trierukat im Verhältnis 4 zu 1 („Lorenzos Öl“) gegeben. Hypothetisch könnte die Zufuhr dieser langkettigen, einfach ungesättigten Fettsäuren dazu führen, dass die Enzyme, die die überlangkettigen Fettsäuren produzieren, ausgelastet sind und die Konzentration der Fettsäuren auf ein verträglicheres Maß sinkt.[17][18]
Als erster Verfechter der Öl-Therapie gilt der Italiener Augusto Odone, ein Bankmitarbeiter, dessen Sohn Lorenzo (1978–2008) von X-ALD betroffen war. Der medizinische Laie sah sich gezwungen, die Suche nach einem Heilmittel selbst in die Hand zu nehmen, nachdem ihm die behandelnden Ärzte keine großen Hoffnungen auf das Überleben seines Sohnes machen konnten. Entscheidende Anstöße gab der aus der Schweiz stammende Neurologe Hugo Moser, der mit seiner Arbeitsgruppe aus Baltimore eine Studie mit Lorenzos Öl an 89 Jungen durchführte.[19] Die Kinder waren asymptomatisch und bei Behandlungsbeginn im Mittel 4,7 Jahre alt. Nach mittleren 6,9 Jahren Nachuntersuchung zeigten 24 % Veränderungen nur in kernspintomografischen Aufnahmen des Gehirns, 11 % entwickelten kernspintomografische Auffälligkeiten und neurologische Störungen. Allerdings wurden verschiedene Phänotypen zusammengenommen und nicht differenziert, so dass unklar ist, ob und wie viele der Kinder eine zerebrale Adrenoleukodystrophie aufwiesen, die eine sehr schwere Verlaufsform darstellt. Eine Übersichtsarbeit von 2022 hatte zum Ergebnis, dass Lorenzo-Öl von Vorteil sein könnte, wenn es asymptomatischen Kindern im frühen Verlaufsstadium der Krankheit verabreicht wird, jedoch seien randomisierte kontrollierte Studien erforderlich.[20] Konsens für die Internationalen Leitlinien ist, dass Daten zur Wirksamkeit nicht ausreichend sind, um eine diätetische Therapie mit Lorenzo-Öl zu empfehlen.[21]
Es besteht in Deutschland keine Leistungspflicht der gesetzlichen Krankenkassen für „Lorenzos Öl“ (Urteil des Bundessozialgerichtes vom 16. Dezember 2008 – Aktenzeichen B 1 KN 3/07 KR R).
Medien
- Die Geschichte von Lorenzos Öl um die Familie Odone wurde 1992 mit Susan Sarandon, Nick Nolte und Peter Ustinov verfilmt.
- Auch Phil Collins ehrte Lorenzos Überlebenswillen und die Erfolge seines Vaters, der auch ein Projekt zur Erforschung der Myelinisierung von Nervenzellen ins Leben gerufen hat, in dem 1996 veröffentlichten Song Lorenzo auf dem Album Dance into the Light.
- Begleitung des an Adrenoleukodystrophie erkrankten Keno und seiner Mutter 6 Wochen nach dem Zeitpunkt des Diagnose im Frühjahr 2010 bis zum Tod des Jungen am 24. Dezember 2017 über einen Zeitraum von 7 1/2 Jahren.[22]
Synonyme
- Addison-Schilder-Syndrome
- Fanconi-Prader-Syndrom
- Siemerling-Creutzfeldt-Syndrom
- Adrenoleukomyeloneuropathie (ALMN)
- Adrenomyeloneuropathie (AMN)
Siehe auch
Literatur
- ↑ a b H. W. Moser, A. Mahmood, G. V. Raymond: X-linked adrenoleukodystrophy. In: Nature clinical practice. Neurology. Band 3, Nummer 3, März 2007, S. 140–151, ISSN 1745-8358. doi:10.1038/ncpneuro0421. PMID 17342190. (Review).
- ↑ Ärztliches Zentrum für Qualität in der Medizin
- ↑ AWMF Leitlinien-Register S1-Leitlinie Leukodystrophien und hereditäre Leukencephalopathien im Erwachsenenalter, gültig bis 08.10.2027
- ↑ H. W. Moser, K. D. Smith, P. A. Watkins, J. Powers und A. Moser: 131. X-Linked Adrenoleukodystrophy. In: C. W. Scriver, A. L. Beaudet, W. S. Sly, D. Valle, B. Childs, K. W. Kinzler, B. Vogelstein (Herausgeber): Metabolic and Molecular Bases of Inherited Disease. Band 2 (8. Auflage). 2001, ISBN 978-0-07-136320-4
- ↑ a b c Florian Eichler, Christine Duncan, Patricia L. Musolino, Paul J. Orchard, Satiro De Oliveira, Adrian J. Thrasher, Myriam Armant, Colleen Dansereau, Troy C. Lund, Weston P. Miller, Gerald V. Raymond, Raman Sankar, Ami J. Shah, Caroline Sevin, H. Bobby Gaspar, Paul Gissen, Hernan Amartino, Drago Bratkovic, Nicholas J.C. Smith, Asif M. Paker, Esther Shamir, Tara O’Meara, David Davidson, Patrick Aubourg, David A. Williams: Hematopoietic Stem-Cell Gene Therapy for Cerebral Adrenoleukodystrophy New England Journal of Medicine 2017, Band 377, Ausgabe 17 vom 26. Oktober 2017, Seiten 1630–1638, [DOI: 10.1056/NEJMoa1700554]
- ↑ Z. Patay: Diffusion-weighted MR imaging in leukodystrophies. In: European radiology. Band 15, Nummer 11, November 2005, S. 2284–2303, ISSN 0938-7994. doi:10.1007/s00330-005-2846-2. PMID 16021451. (Review).
- ↑ J. H. Kim, H. J. Kim: Childhood X-linked adrenoleukodystrophy: clinical-pathologic overview and MR imaging manifestations at initial evaluation and follow-up. In: Radiographics : a review publication of the Radiological Society of North America, Inc. Band 25, Nummer 3, 2005 May-Jun, S. 619–631, ISSN 1527-1323. doi:10.1148/rg.253045118. PMID 15888613. (Review).
- ↑ Georg Christoph Korenke, H.‐J. Christen, B. Kruse, D. H. Hunneman, F. Hanefeld: Progression of X‐linked adrenoleukodystrophy under interferon‐β therapy. In: Journal of Inherited Metabolic Disease. 1997, Band 20, Nummer 1, S. 59–66. doi:10.1023/a:1005361607523.
- ↑ Marc Engelen, Rob Ofman, Marcel G. W. Dijkgraaf, Michiel Hijzen, Lucinda A van der Wardt, Björn M. van Geel, Marjolein Visser, Ronald J. A. Wanders, Bwee Tien Poll‐The, Stephan Kemp: Lovastatin in X-Linked Adrenoleukodystrophy. In: New England Journal of Medicine. 2010, Band 362, Nummer 3, S. 276–277. doi:10.1056/NEJMc0907735.
- ↑ C. Gondcaille, M. Depreter u. a.: Phenylbutyrate up-regulates the adrenoleukodystrophy-related gene as a nonclassical peroxisome proliferator. In: Journal of Cell Biology. Band 169, Nummer 1, April 2005, S. 93–104, ISSN 0021-9525. doi:10.1083/jcb.200501036. PMID 15809314. PMC 2171887 (freier Volltext).
- ↑ Christina L. Nemeth, Özgül Gök, Sophia N. Tomlinson, Anjali Sharma, Ann B. Moser, Sujatha Kannan, Rangaramanujam M. Kannan, Ali Fatemi: Targeted Brain Delivery of Dendrimer-4-Phenylbutyrate Ameliorates Neurological Deficits in a Long-Term ABCD1-Deficient Mouse Model of X-Linked Adrenoleukodystrophy. In: Neurotherapeutics. 2022, Band 20, Nummer 1, S. 272–283. doi:10.1007/s13311-022-01311-x.
- ↑ Union Register of medicinal products. In: ec.europa.eu. 31. Oktober 2024, abgerufen am 7. November 2024 (englisch).
- ↑ Wolfgang Köhler, Marc Engelen, Florian Eichler, Robin Lachmann, Ali Fatemi, Jacinda B. Sampson, Ettore Salsano, Josep Gámez, Mária Judit Molnár, Sílvia Pascual, M Rovira, Anna Vilà, Guillem Pina, Itziar Martín-Ugarte, Adriana Mantilla, Pilar Pizcueta, Laura Rodríguez‐Pascau, Estefania Traver, Anna Vilalta, M. Pascual, Marc Martinell, Uwe Meya, Fanny Mochel, Eavan M. Mc Govern, Elise Yazbeck, Magali Barbier, Marie‐Pierre Luton, Françoise Pousset, Jean‐Yves Hogrel, Isaac M. Adanyeguh, Florian Then Bergh, Caroline G. Bergner, Astrid Unterlauft, Hannes Roicke, Karl‐Titus Hoffmann, Cordula Scherlach, Andrea Kalb, Bianca Meilick, Mandy Reuschel, Silvia Fenu, Elena Mauro, Elaine Murphy, Gauri Krishna, Tiggy Beyene, Alba Sierra, Sara Quiñoa, Anna Belen Canovas, Zoltán Grosz, Báthori Györgyi, S.I. van de Stadt, Irene C. Huffnagel, Wouter J. C. van Ballegoij, Marije M C Voermans, Reza Sadjadi, Camille Corre, Neha Godbole, Natalie Grant, Claudia Maria Brito Pires, Melissa Trovato, Nancy Yeh, Jordan Goodman, Jennifer Keller, Chris Joseph, Keith Van Haren, Sarada Sakamuri, Tina Duong, Lila Perrone, Stephanie Tran, Sally Dunaway Young, Syed Hashmi: Safety and efficacy of leriglitazone for preventing disease progression in men with adrenomyeloneuropathy (ADVANCE): a randomised, double-blind, multi-centre, placebo-controlled phase 2–3 trial. In: The Lancet Neurology. 2023, Band 22, Nummer 2, S. 127–136. doi:10.1016/S1474-4422(22)00495-1.
- ↑ N. Cartier, S. Hacein-Bey-Abina, C. C. Bartholomae et al.: Hematopoietic stem cell gene therapy with a lentiviral vector in X-linked adrenoleukodystrophy Science 2009, Band 326, Seiten 818–823.
- ↑ https://www.ema.europa.eu/en/medicines/human/EPAR/skysona
- ↑ K. Gräfe: Erste Gentherapie bei seltener neurologischer Erkrankung. In: pharmazeutische-zeitung.de. 25. Mai 2021, abgerufen am 3. November 2024.
- ↑ E. Simon: Efficacy of Lorenzo oil in adrenomyeloneuropathy. In: Annals of neurology. Band 36, Nummer 1, Juli 1994, S. 116–117, ISSN 0364-5134. doi:10.1002/ana.410360126. PMID 8024253.
- ↑ H. W. Moser: Lorenzo oil therapy for adrenoleukodystrophy: a prematurely amplified hope. In: Annals of neurology. Band 34, Nummer 2, August 1993, S. 121–122, ISSN 0364-5134. doi:10.1002/ana.410340202. PMID 8338333.
- ↑ H. W. I. Moser, G. V. Raymond, S. E. Lu, L. R. Muenz, A. B. Moser, J. Xu, R. O. Jones, D. J. Loes, E. R. Melhem, P. Dubey, L. Bezman, N. H. Brereton, A. Odone: Follow-up of 89 asymptomatic patients with adrenoleukodystrophy treated with Lorenzo's oil Archives of Neurology 2005, Band 62, Ausgabe 7 vom Juli 2005, Seiten 1073–80.
- ↑ Fatouh M. 486 Is Lorenzo’s oil effective for the treatment of children with X-linked adrenoleukodystrophy? A systematic review of the literature, Archives of Disease in Childhood 2022;107:A199-A200.
- ↑ Marc Engelen, Wouter J. C. van Ballegoij, Eric J. Mallack, Keith Van Haren, Wolfgang Köhler, Ettore Salsano, A.S. Paul van Trotsenburg, Fanny Mochel, Caroline Sevin, Molly O. Regelmann, Nicholas A. Tritos, Alyssa Halper, Robin Lachmann, James Davison, Gerald V. Raymond, Troy C. Lund, Paul J. Orchard, Joern-Sven Kuehl, Caroline A. Lindemans, Paul A. Caruso, Bela R. Turk, Ann B. Moser, Frédéric M. Vaz, Sacha Ferdinandusse, Stephan Kemp, Ali Fatemi, Florian Eichler, Irene C. Huffnagel: International Recommendations for the Diagnosis and Management of Patients With Adrenoleukodystrophy. In: Neurology. Band 99, Nr. 21, 29. September 2022, S. 940–951, doi:10.1212/WNL.0000000000201374.
- ↑ Kenos kurzes Leben. Abgerufen am 8. Februar 2019.