Centramoebida
| Centramoebida | ||||||||||||
|---|---|---|---|---|---|---|---|---|---|---|---|---|
Zyste von Acanthamoeba polyphaga | ||||||||||||
| Systematik | ||||||||||||
| ||||||||||||
| Wissenschaftlicher Name | ||||||||||||
| Centramoebida | ||||||||||||
| Rogerson & Patterson 2002, emend. Cavalier-Smith 2004 |

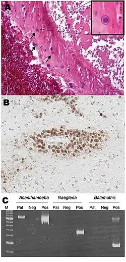
Die Centramoebida sind amöboide Einzeller aus der Gruppe der Amoebozoa. Einige Arten sind Krankheitserreger beim Menschen wie bei einigen Tieren.
Merkmale
Die einzelligen Organismen besitzen eine abgeflachte Körperform. Sie weisen bewegliche Scheinfüßchen (sogenannte Sub-Pseudopodien) auf, die gelegentlich am Ansatz gegabelt sind und sich allmählich bis zu einer feinen Spitze hin verjüngen. Das Uroid ist nicht haftend. Das zytoplasmische MTOC ist dreilappig.[1]
In Kultur erscheint eine der Arten als verzweigter, flacher Film, dem Subpseudopodien fehlen. Mindestens eine Art bildet Sporokarpe und ist protosteloid, ähnelt also Vertretern der Gattung Protostelium.[1]
Arten
In das Taxon der Centramoebida werden folgende Gattungen eingeordnet:[1]
- Acanthamoeba (Synonym Comandonia Pernin & Pussard 1979[2])
- Balamuthia
- Protacanthamoeba
Als incertae sedis innerhalb der Centramoebida geführt wird als Schwester der Protacanthamoeba eine noch unbeschriebene protosteloide Art (LHI05). Auch zwei Arten die bisher zur Gattung Protostelium gestellt werden, nämlich Protostelium arachisporum und Protostelium pyriformis, sind möglicherweise in die Centramoebida zu platzieren.[1]
Medizinische Bedeutung
Einige Arten können als Opportunisten Krankheiten wie die Acanthamöbiasis, Hornhautentzündung oder Granulomatöse Amöben-Enzephalitis bei Tieren wie beim Menschen auslösen.
Die Deutsche Gesellschaft für Protozoologie hat die Gattung Acanthamoeba zum Einzeller des Jahres 2012 gekürt.[3]
Nachweise
- ↑ a b c d Adl, S. M., Simpson, A. G. B., Lane, C. E., Lukeš, J., Bass, D., Bowser, S. S., Brown, M. W., Burki, F., Dunthorn, M., Hampl, V., Heiss, A., Hoppenrath, M., Lara, E., le Gall, L., Lynn, D. H., McManus, H., Mitchell, E. A. D., Mozley-Stanridge, S. E., Parfrey, L. W., Pawlowski, J., Rueckert, S., Shadwick, L., Schoch, C. L., Smirnov, A. and Spiegel, F. W.: The Revised Classification of Eukaryotes. Journal of Eukaryotic Microbiology, 59: 429–514, 2012, PDF Online
- ↑ NCBI Entrez Taxonomy Browser: Acanthamoebidae
- ↑ protozoologie.de: DGP - Deutsche Gesellschaft für Protozoologie / German Society for Protozoology - Einzeller des Jahres, archivierte Webseite bei www.archive.org
