Amelogenesis imperfecta
| Klassifikation nach ICD-10 | |
|---|---|
| K00.5 | Amelogenesis imperfecta |
| ICD-10 online (WHO-Version 2019) | |
| Klassifikation nach ICD-11 | |
|---|---|
| LA30.6 | Amelogenesis imperfecta |
| ICD-11: Englisch • Deutsch (Entwurf) | |
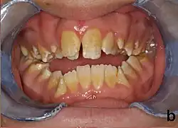
Die Amelogenesis imperfecta (von Altenglisch: amel „Schmelz“ und Altgriechisch: γένεσις (genesis) „Entwicklung“[1] sowie lateinisch imperfectus ‚unvollendet‘),[2] auch angeborene Zahnschmelzhypoplasie genannt, ist eine genetisch bedingte Erkrankung, bei der es zu einer Störung der Zahnschmelzbildung kommt. Der Zahnschmelz besteht hauptsächlich aus Mineralien, deren Aufbau und Struktur im Zahn von Proteinbestandteilen reguliert wird. Die Amelogenesis imperfecta beruht auf einer Fehlfunktion der Proteine im Zahnschmelz. Es handelt sich in der Hauptsache um die vier Proteine Ameloblastin, Enamelin, Tuftelin und Amelogenin. Bei den Betroffenen imponiert eine gelbliche bis grau-braune Verfärbung der Zähne. Die Zähne haben ein erhöhtes Risiko der Kariesbildung und sind besonders temperaturempfindlich. Jeder Zahn kann betroffen sein. Bei Menschen mit dem Williams-Beuren-Syndrom kommt die Zahnschmelzhypoplasie überdurchschnittlich häufig vor.
Genetik

Bis heute sind bei der Erkrankung Mutationen in vier verschiedenen Genen gefunden worden: AMELX, ENAM, MMP20 und KLK-4. Diese Gene sind bei der Entwicklung der Zahnanlagen beteiligt und besorgen offensichtlich die Ausbildung der schützenden, kalziumreichen äußeren Zahnschicht, des sogenannten Schmelzes. Die bisher beobachteten Mutationen verändern jeweils die Struktur der Proteine oder stören ihre Bildung. Die Folgen sind in der Regel ein abnorm weicher Zahnschmelz, der eine gelblich-braune Farbe zeigt, und eine deutlich erhöhte Verletzbarkeit der Zähne.
Der Zahnschmelz ist ein hoch mineralisiertes Gewebe, in dem mehr als 95 % des Volumens in Form von Hydroxylapatit-Kristallen vorliegen. Es wird vermutet, dass die Struktur durch Ameloblasten in Interaktion mit vielen Arten von organischen Molekülen geregelt wird, darunter Enamelin (ENAM; 4q21, OMIM *606585), Amelogenin (AMELX; Xp22. 3-p22. 1, OMIM *300391), Ameloblastin (AMBN; 4q21, OMIM *601259), Tuftelin (TUFT1; 1q21, OMIM *600087), Amelotin (AMELOTIN 4q13) [14], Dentinsialophosphoprotein (DSPP; 4q21. 3, OMIM *125485) und zahlreiche Enzyme, wie Kallikrein 4 (KLK4; 19q13. 3 – q13. 4, OMIM *603767) und Matrix-Metalloproteinase 20 (MMP20; 11q22. 3 – q23, OMIM *604629). Mutationen in einem dieser Gene führen zum Protein-Phänotyp der Amelogenesis imperfecta.[3]
Es besteht ein Zusammenhang zwischen Amelotin (AMTN) und Zahnschmelzdefekten und ihrer Entstehung. In Abwesenheit von AMTN entstehen schwache Stellen an den Zahnkanten, die leichter zerbrechen oder splittern. In diesem Fall findet die Mineralisierung des Zahnschmelzes verlangsamt statt. Im Reifestadium ist das Volumenwachstum der Kristalliten eingeschränkt, was wiederum zu einer Hypomineralisation führt.[4]
| Typ | OMIM | Gen | Protein | Genlocus |
|---|---|---|---|---|
| AIH1 (Amelogenesis imperfecta, X-linked 1) | OMIM 301200 | Amelogenin | X p22. 3-p22. 1 | |
| AIH2 (Amelogenesis imperfecta 2, Hypokalzifikationstyp) | OMIM 104500 | ENAM | Enamelin | 4 q21 |
| AIH3 (Amelogenesis imperfecta, hypoplastischer Typ / Hypomaturation, X-linked 2) | OMIM 301201 | Xq22-q28 | ||
| AI1G (Amelogenesis imperfecta, hypoplastischer Typ, 1G) Nephrokalzinose | OMIM 204690 | |||
| Amelogenesis imperfecta, hypoplastischer Typ mit offenem Biss, autosomal rezessiv | OMIM 204650 | ENAM | Enamelin | 4q21 |
| CRDAI Amelogenesis imperfecta und Zapfen-Stäbchendystrophie, Jalili-Syndrom | OMIM 217080 | 2 q11. 2 | ||
| AIHHT Amelogenesis imperfecta, Hypomaturation, Hypoplastischer Typ, mit Taurodontismus | OMIM 104510 | DLX3 | . | 17 q21. 3-q22 |
| Amelogenesis imperfecta, hypoplastischer Typ Mikrodontie | OMIM 104530 | |||
| Kohlschütter-Tönz-Syndrom | OMIM 226750 | 16 p13. 3 | ||
| Brachyolmie und Amelogenesis imperfecta (Platyspondylie und Amelogenesis imperfecta) | OMIM 601216 | |||
| Amelogenesis imperfecta, pigmentierte Hypomaturation Typ IIA1; AI2A1 | OMIM 204700 | MMP20, KLK-4 | 19 q13. 41, 11 q22. 3-q23 | |
| Amelogenesis imperfecta Typ IC; AI1C, Lokaler hypoplastischer Typ, autosomal rezessiv | OMIM 204650 | 4 q13. 3 | ||
| Amelogenesis imperfecta Typ III; AI3 Hypokalzifikationstyp, autosomal dominant | OMIM 130900 | FAM83H | 8 q24. 3 |
Die Amelogenesis imperfecta kann mit unterschiedlichen Erbgängen auftreten, jeweils abhängig davon, welches Gen betroffen ist. In den meisten Fällen ist das ENAM-Gen betroffen und die Erkrankung wird autosomal dominant vererbt. Das heißt, dass in solchen Fällen eine defekte Genkopie zur Ausbildung der Störung hinreichend ist.
Die Amelogenesis imperfecta kann auch autosomal rezessiv vererbt werden. Hierbei können das ENAM- oder das MMP20-Gen mutiert sein. Beim autosomal rezessiven Vererbungsmodus müssen beide Genkopien auf den jeweiligen Allelen mutiert sein.
In etwa 5 % der Fälle wird die Erkrankung durch eine Mutation des AMELX-Gens verursacht und dann findet sich ein X-chromosomal dominant gebundener Erbgang. Bei diesem Vererbungsmodus liegt das betroffene Gen auf dem X-Chromosom, einem der beiden Geschlechtschromosomen. Das hat zur Folge, dass männliche Betroffene in der Regel schwerer erkrankt sind.
Es gibt auch sporadische Formen der Erkrankung. In diesem Fall findet sich eine Neumutation eines der betroffenen Gene und die Patienten haben dann keine erkrankten Angehörigen.
Klassifikationen
Die verschiedenen Formen der Amelogenesis imperfecta wurden unterschiedlich kategorisiert.
Klassifikation nach Weinmann
Als erstes teilte Weinmann Amelogenesis imperfecta 1945 in zwei Kategorien ein. Er nahm folgende Einteilung vor:[5]
- Schmelzhypoplasien
- Hypomineralisation
Klassifikation nach Darling
Darling verfeinerte die Kategorien 1956 in sechs Unterkategorien, indem er die zwei Kategorien Weinmanns in jeweils drei Unterkategorien aufteilte.[6]
Klassifikation nach Witkop
Witkop reduzierte die Kategorien im Jahre 1957 zunächst auf fünf Kategorien.[7] Ähnlich auch W. Schultze 1970.[8]
Klassifikation nach Witkop und Rao
Zuletzt stellten Witkop und Rao eine weiter verfeinerte Klassifikation im Jahre 1971 vor, die elf Formen aufweist.[9]
- Sechs Formen der hypoplastischen Amelogenesis imperfecta (dominant rezessiv)
- Eine Form der hypomineralisierten Amelogenesis imperfecta (dominant autosomal)
- Vier Formen der Hypomaturation
Differentialdiagnose
- Turner-Zahn
- Zahnfluorose
- Molaren-Inzisiven-Hypomineralisation – Endogen bedingte Strukturstörung
- Schmelzdefekte bei Zöliakie
Schmelzhypoplasien können auch im Rahmen von Syndromen vorkommen wie dem Mikrodeletionssyndrom 17q11.2.
Behandlung
Zum Schutz derart geschädigter Zähne werden gelegentlich Kronen eingegliedert. Bei Kindern werden (aus Kostengründen) oft (vorgefertigte) Stahlkronen eingesetzt, bei Erwachsenen Keramik- oder keramikverblendete Kronen. Ist es bereits zum Verlust von Zähnen gekommen, können Brücken oder Implantate das Mittel der Wahl sein. Zusätzlich werden regelmäßige professionelle Zahnreinigungen mit höherem Fluoridierungsintervall empfohlen, da es an den rauen Zahnoberflächen zu vermehrter Plaqueanlagerung kommt.
Epidemiologie
Es gibt keine genauen Zahlen für die Inzidenz der Amelogenesis imperfecta. Schätzungen zufolge erkranken in Schweden 1 von 700 und in den USA 1 von 14.000 Menschen.
Literatur
- G. B. Winter, A. H. Brook: Enamel hypoplasia and anomalies of the enamel. In: Dent Clin North Am., 1975, vol. 19, 1, S. 3–24; PMID 162891
- J. P. Simmer, J. C. Hu: Dental enamel formation and its impact on clinical dentistry. In: J Dent Educ., 2001, vol. 65, 9, S. 896–905; PMID 11569606
- M. J. Aldred, R. Savarirayan, P. J. Crawford: Amelogenesis imperfecta: a classification and catalogue for the 21st century. In: Oral Dis., 2003, vol. 9, 1, S. 19–23, PMID 12617253
- M. Nusier, O. Yassin, T. C. Hart, A. Samimi, J. T. Wright: Phenotypic diversity and revision of the nomenclature for autosomal recessive amelogenesis imperfecta. In: Oral Surg Oral Med Oral Pathol Oral Radiol Endod., 2004, vol. 97, 2, S. 220–230; PMID 14970781
- G. Stephanopoulos, M. E. Garefalaki, K. Lyroudia: Genes and related proteins involved in amelogenesis imperfecta. In: J Dent Res., 2005, vol. 84, 2, S. 1117–1126; PMID 16304440
Einzelnachweise
- ↑ Wilhelm Gemoll: Griechisch-deutsches Schul- und Handwörterbuch
- ↑ Der kleine Stowasser: Lateinisch-deutsches Schulwörterbuch
- ↑ P. J. Crawford, M. Aldred, A. Bloch-Zupan: Amelogenesis imperfecta. In: Orphanet Journal of Rare Diseases. . Band 2, 2007, S. 17, ISSN 1750-1172. PMID 17408482. PMC 1853073 (freier Volltext). (Review).
- ↑ Y. Nakayama, J. Holcroft, B. Ganss: Enamel Hypomineralization and Structural Defects in Amelotin-deficient Mice. In: Journal of dental research. [elektronische Veröffentlichung vor dem Druck] Februar 2015, ISSN 1544-0591, doi:10.1177/0022034514566214, PMID 25715379.
- ↑ J. P. Weinmann, J. F. Svoboda, R. W. Woods: Hereditary disturbances of enamel formation and calcification. In: J Am Dent Assoc. 1945; 32, S, S. 397–418.
- ↑ A. I. Darling: Some observations on amelogenesis imperfecta and calcification of the dental enamel. In: Proceedings of the Royal Society of Medicine. Band 49, Nummer 10, Oktober 1956, S. 759–765, ISSN 0035-9157. PMID 13379391. PMC 1889196 (freier Volltext).
- ↑ C. J. Witkop: Hereditary defects of dentin. In: Dental clinics of North America. . Band 19, Nummer 1, Januar 1975, S. 25–45, ISSN 0011-8532. PMID 162890.
- ↑ W. Schultze: Developmental abnormalities of teeth and jaws. In: R. J. Gorlin, H. M. Goldman: C. Thoma’s oral pathology. Mosby, St Louis 1970, S. 130–136.
- ↑ S. Rao, C. J. Witkop: Inherited defects in tooth structure. In: Birth defects original article series. . Band 7, Nummer 7, Juni 1971, S. 153–184, ISSN 0547-6844. PMID 4375507. (Review).
Anmerkung: Der Begriff Amelogenesis ist ein Etymologischer Bastard.