Knochenzyste

Klassifikation nach ICD-10
M85.4 Solitäre Knochenzyste
M85.5 Aneurysmatische Knochenzyste
{{{03-BEZEICHNUNG}}}
{{{04-BEZEICHNUNG}}}
{{{05-BEZEICHNUNG}}}
{{{06-BEZEICHNUNG}}}
{{{07-BEZEICHNUNG}}}
{{{08-BEZEICHNUNG}}}
{{{09-BEZEICHNUNG}}}
{{{10-BEZEICHNUNG}}}
{{{11-BEZEICHNUNG}}}
{{{12-BEZEICHNUNG}}}
{{{13-BEZEICHNUNG}}}
{{{14-BEZEICHNUNG}}}
{{{15-BEZEICHNUNG}}}
{{{16-BEZEICHNUNG}}}
{{{17-BEZEICHNUNG}}}
{{{18-BEZEICHNUNG}}}
{{{19-BEZEICHNUNG}}}
{{{20-BEZEICHNUNG}}}
Vorlage:Infobox ICD/Wartung {{{21BEZEICHNUNG}}}
ICD-10 online (WHO-Version 2019)

Eine Knochenzyste ist eine gutartige tumorähnliche Knochenläsion, welche einen flüssigkeitsgefüllten und z. T. zellgefüllten Hohlraum im Knochen darstellt. Radiologisch erkennt man hier im Röntgenbild eine ein- oder mehrkammerige Aufhellung. Die Zysten im jugendlichen Knochen werden meist als Zufallsbefund beim Röntgen nach Unfallverletzung oder als Ursache von sogenannten pathologischen Frakturen (Frakturen bei verringerter Knochenfestigkeit) entdeckt.

Formen

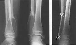
Pathologische Fraktur bei Juveniler Knochenzyste (Humeruskopf)
Aneurysmatische Knochenzyste, Kontinuitätsresektion (Fibula)

Henry Lewis Jaffe identifizierte ihre Entitäten. Man unterscheidet:

  • Einfache (juvenile) Knochenzyste: Gutartige, primär einkammerige, flüssigkeitsgefüllte Höhle, meist im metaphysären Markraum. Wird meist erst durch Spontanfraktur auffällig. Klassisches Röntgenzeichen ist das Fallen-Fragment-Sign.
  • Aneurysmatische Knochenzyste (AKZ): Gutartige, mehrkammerige Knochenläsion. Klassischer Befund in der MRT ist die „Spiegelbildung“ des Zysteninhaltes mit unterschiedlichen Signalintensitäten.

Therapie

Die Therapie ist entscheidend abhängig von dem Umstand der Feststellung: Wird eine Knochenzyste als Zufallsbefund beim Röntgen festgestellt, sollte ggf. nach weiterer Abklärung durch eine Kernspinuntersuchung eine Probebiopsie erfolgen, um nach Sicherung der Zystenart (juvenil oder aneurysmatisch) eine adäquate Therapie folgen zu lassen.

  • Einfache (juvenile) Knochenzyste: Das heute etablierte Verfahren ist die intramedulläre Osteosynthese (Prevot-Nagelung) des Knochens. Hierbei wird eine in einigen Fällen entstandene Fraktur stabilisiert, die Knochenzyste erhält gleichzeitig einen Reiz auszuheilen. Einige Gruppen verwenden zur Ausheilung nicht frakturierter juveniler Zysten noch eine Injektion von Cortison-Lösungen oder eine Perforation mit Eröffnung der Zystenwand.
  • Aneurysmatische Knochenzyste: Hier wird nach Sicherung der Diagnose aus der Biopsie eine operative Ausräumung der Zyste vorgenommen und eine Auffüllung der Höhle mit Knochenzement durchgeführt. Der Verlauf wird kontrolliert. Wenn nach 2 Jahren kein neues Zystengewebe gewachsen ist, was man sehr gut an dem fehlenden Saum um die Knochenzementplombe erkennen kann, kann der Zement operativ entfernt und stattdessen eigener Knochen aus dem Beckenkamm (Spongiosa) eingefüllt werden. Nach einem längeren knöchernen Umbauprozeß (remodeling) ist die Zystenregion wieder voll belastbar.

Literatur

  • Jürgen Freyschmidt: Skeletterkrankungen. Klinisch-radiologische Diagnose und Differentialdiagnose. 3. Auflage. Springer 2010, ISBN 978-3-540-61601-6.
  • K. Bohndorf, H. Imhof, W. Fischer: Radiologische Diagnostik der Knochen und Gelenke. 2. Auflage. Thieme, Stuttgart 2006, ISBN 3-13-110982-3.