Angiom

Ein Angiom (auch Blutschwamm oder Aneurysma spongiosum[1] genannt) ist eine tumorartige Gefäßneubildung oder entwicklungsbedingte Gefäßfehlbildung.
Formen
Tumorartige Gefäßneubildung - Angiom / Fehlbildung - Blutschwamm
- Hämangiom
- Lymphangiom
- Glomustumor
- Granuloma pyogenicum, teleangiaticum
- Naevus araneus
- Naevus flammeus
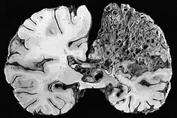
Gefäßfehlbildung
Bei diesen Gefäßfehlbildungen kommt es zu einem direkten Übergang von Blut aus einer Arterie in eine Vene. Dieser direkte Übergang kann aus mehr oder weniger vielen, nicht normalen Blutgefäßen bestehen.
- Angiektasie
- Varix
- Kavernom (Cavernöses Hämangiom)
- arteriovenöse Malformation (AVM)
- Seniles Angiom
Sie stellen insbesondere im Gehirn ein Blutungsrisiko dar.
Siehe auch
- Spetzler-Martin-Skala (Klassifikation zur Beschreibung von arteriovenösen Malformationen)
Literatur
- Thomas: Spezielle Pathologie. Schattauer, Stuttgart 1996, ISBN 3-7945-1713-X.
Weblinks
Wiktionary: Angiom – Bedeutungserklärungen, Wortherkunft, Synonyme, Übersetzungen
Einzelnachweise
- ↑ Roche Lexikon Medizin. Urban & Fischer Verlag 2003, S. 82, ISBN 3-437-15150-9.