Appendix epiploica
Appendices epiploicae (Singular Appendix epiploica, von lateinisch appendix ‚Anhang‘ und griechisch ἐπίπλοον epiploon ‚Netz‘) sind 1–4 cm lange, frei endende Fortsätze entlang der Taenia libera und Taenia omentalis des Colons (Colon ascendens, transversum, descendens, sigmoideum). Es handelt sich um von Serosa überzogene Fettgewebsauflagerungen. Sie halten die Kapillarität des Bauchhöhlenspalts während der Bewegung der Ausbuchtungen der Dickdarmwand (Haustren) aufrecht.[1]
Erstmals beschrieben wurden die Appendices epiploicae von Andreas Vesalius.


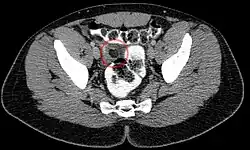
In seltenen Fällen kann es zu einer Verdrehung (Torsion) und zu einer Infarzierung dieser Anhängsel kommen, die dann schmerzhaft ist und je nach Lage der betroffenen Appendix mit einer normalen Appendizitis oder auch mit einer Sigmadivertikulitis verwechselt werden kann.[2] Man spricht dann von einer Appendicitis epiploica. Im englischen Sprachraum wird auch von einer Epiploic appendagitis[3] gesprochen, um eine Verwechslung mit der Appendizitis des Wurmfortsatzes zu vermeiden.
Weblinks
- Michael Sand u. a.: Epiploic appendagitis – clinical characteristics of an uncommon surgical diagnosis (PDF; 2,3 MB) BMC Surgery 2007, 7:11 (1 July 2007)
Einzelnachweise
- ↑ Walther Graumann: CompactLehrbuch Anatomie 3. Schattauer Verlag 2004 ISBN 978-3-7945-2063-3, S. 110.
- ↑ Fallbeschreibung im Schweizerischen Medizin Forum Nr. 43 22. Oktober 2003 ( des vom 19. Dezember 2015 im Internet Archive) Info: Der Archivlink wurde automatisch eingesetzt und noch nicht geprüft. Bitte prüfe Original- und Archivlink gemäß Anleitung und entferne dann diesen Hinweis. (PDF; 83 kB).
- ↑ Beispielhaft A. K. Singh et al. CT Appearance of Acute Appendagitis. AJR 2004; 183:1303-1307.