Aspirationspneumonie
| Klassifikation nach ICD-10 | |
|---|---|
| J69 | Pneumonie durch Aspiration von festen oder flüssigen Substanzen |
| J69.0 | Pneumonie durch Nahrung, Milch oder Erbrochenes |
| J69.1 | Pneumonie durch Öle und Extrakte (Lipidpneumonie) |
| J69.8 | Pneumonie durch Aspiration von sonstigen festen oder flüssigen Substanzen (z. B. Blut) |
| P24.9 | Aspirationssyndrom beim Neugeborenen, nicht näher bezeichnet Neonatale Aspirationspneumonie o. n. A. |
| J95.4 | Mendelson-Syndrom |
| ICD-10 online (WHO-Version 2019) | |
Die Aspirationspneumonie (abgeleitet von „Aspiration“) ist eine Lungenentzündung, die dadurch entsteht, dass erbrochener oder zurückgeflossener Mageninhalt oder andere Stoffe in die Lunge gelangen und dort durch ihre spezifischen Eigenschaften Entzündungsreaktionen hervorrufen.

Zur Aspirationspneumonie kommt es z. B. häufig im Rahmen einer kardiopulmonalen Reanimation, im Schock, bei Bewusstlosigkeit, bei Schlucklähmungen durch neurologische Ausfälle bzw. Erkrankungen des Zentralen Nervensystems, Störungen der Speiseröhrenfunktion mit vermehrtem Reflux sowie bei chronischem Alkoholismus. Zu einer Aspirationspneumonie kann eine Infektion der Lunge mit verschiedenen bakteriellen Erregern (etwa Peptostreptococcus-Arten) hinzukommen.[1]
Physiologie
Beim normalen Schluckvorgang werden gleichzeitig der Nasenrachenraum durch das Gaumensegel und der Kehlkopf durch den Kehldeckel verschlossen, so dass der Nahrungsbrei nicht in die Atemwege gelangen kann. Da im Moment des Schluckens die Atmung unterbrochen ist, müssen Schluckvorgang und Kehldeckelverschluss zeitlich gut abgestimmt sein, um die Sauerstoff-Versorgung nicht zu lange zu unterbrechen. Kommt es dennoch zu einem Verschlucken, so sorgt ein heftiger Hustenreflex dafür, dass der bakterienhaltige Nahrungsbrei nicht in den Atemwegen verbleibt. Auch unter Normalbedingungen werden geringe Mengen von Nasenrachensekreten während des Schlafes aspiriert.[2] Manche Autoren vermuten, dass diese Mikroaspiration ein häufiger Mechanismus bei der Entstehung von Lungenentzündungen ist.[3]
Pathogenese und Risikofaktoren
Das Risiko einer Aspirationspneumonie wird durch folgende Faktoren begünstigt:
- Schluckstörungen
- Bewusstseinsstörungen
- erhöhtes Risiko, Mageninhalt zu aspirieren
- verminderter Hustenreflex[2]
Der Schluckvorgang kann beeinträchtigt sein durch:
- Speiseröhrenerkrankungen: Speiseröhrenkarzinom, Striktur (Verengung)
- COPD
- neurologische Erkrankungen: Epileptische Anfälle, Multiple Sklerose, Morbus Parkinson, Schlaganfall, Demenz
- Beatmung: besonders kritisch die Extubation
- Gestörter Verschluss des Kehldeckels: nach Therapie von Kehlkopfkarzinomen und Hypopharynxkarzinomen.
Das Bewusstsein kann eingetrübt sein durch:
- akuten Schlaganfall
- Herzstillstand, Wiederbelebung
- medikamentöse Überdosierung: Opiate, Psychopharmaka
- Narkose
- Alkoholexzess
Das Risiko, Mageninhalt zu aspirieren, ist gesteigert bei:
- Reflux
- Sondenernährung
- Narkoseeinleitung ohne Nahrungskarenz
Der Hustenreflex kann vermindert sein durch:
- Medikamente
- Alkohol
- Schlaganfall
- Demenz
- degenerative neurologische Erkrankungen
- Bewusstseinseintrübung
Eine weitere Ursache besteht in einer ösophago-trachealen Fistel, die nach Karzinomen der Speiseröhre, der Trachea oder der Hauptbronchien entstehen kann.
Klinik
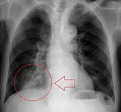
Da die Aspirationspneumonie ein weites Spektrum von aspirierter Flüssigkeit, Aspirationsmenge, Keimgehalt des Aspirats, Komorbidität des Patienten und betroffenem Abschnitt von Lunge und Bronchalbaum hat, ist auch das klinische Erscheinungsbild variabel.[4] Voraussetzung ist auf jeden Fall eine Makroaspiration, wobei die genaue Menge des notwendigen Aspirats unklar ist. Die Erstsymptomatik reicht von symptomlos bis zu lebensbedrohlicher Ateminsuffizienz. Der Kontakt des Aspirats mit den Bronchien kann einen Bronchospasmus, einen Asthmaanfall oder einen Dauerhusten auslösen. Die Veränderungen am Lungenparenchym treten typischerweise erst nach einigen Stunden oder Tagen auf. Die Lungenentzündung nach Aspiration ist schwer von einer anderen bakteriellen Infektion zu unterscheiden. Bei alten Patienten ist die Sterblichkeit einer Pneumonie nach Aspiration höher als ohne Aspiration.[5] Diese erhöhte Mortalität wurde auch bei ambulant erworbenen Pneumonien festgestellt. In der bildgebenden Diagnostik (Röntgen-Thorax, CT des Thorax) sieht man Infiltrate in den unteren Lungenabschnitten. Bei Rückenlage sind die basalen Segmente des Unterlappens betroffen. Bei aufrechter Haltung sind die oberen Unterlappensegmente oder die hinteren Oberlappensegmente am häufigsten infiltriert. Ein normales Röntgenbild zeigt in bis zu 60 % keine Zeichen der Aspiration. Im CT ist die Diagnose der Aspiration besser.[6] Die höchste diagnostische Genauigkeit hat das HRCT (CT mit hoher Auflösung).
Mendelson-Syndrom
Unter dem Mendelson-Syndrom versteht man eine Aspirationspneumonie, die durch die Aspiration von saurem Mageninhalt bei narkotisierten Patienten hervorgerufen wird. Im ICD wird sie im Gegensatz zu den anderen Aspirationspneumonien unter den Schäden „nach medizinischen Maßnahmen“ gelistet. Bei ca. 50 % der Aspirationsfälle führt die Aspiration des Mageninhalts zu einer Pneumonie. Hierzu muss der pH-Wert <2,5 sein und die Aspirationsmenge mehr als 0,4 ml/kg Körpergewicht betragen. Ursprünglich trat das Mendelson-Syndrom vorwiegend bei Entbindungen unter Vollnarkose auf. Die Magensäure verursacht eine Alveolitis. Es kann zu Bronchospasmus, Atelektasen, Schock und ARDS kommen.[7] Mit moderner Anästhesie tritt nur in einer von 3216 Narkosen ein Mendelson-Syndrom auf, am häufigsten bei Notfällen, bei denen die Nahrungskarenz nicht eingehalten werden kann (1:895).[8]
Die Letalität des Mendelson-Syndroms liegt je nach Klinik zwischen 20 und 50 %.
Einzelnachweise
- ↑ Marianne Abele-Horn: Antimikrobielle Therapie. Entscheidungshilfen zur Behandlung und Prophylaxe von Infektionskrankheiten. Unter Mitarbeit von Werner Heinz, Hartwig Klinker, Johann Schurz und August Stich, 2., überarbeitete und erweiterte Auflage. Peter Wiehl, Marburg 2009, ISBN 978-3-927219-14-4, S. 91 und 265.
- ↑ a b Lionel A Mandell, Michael S Niederman: Aspiration Pneumonia. In: New England Journal of Medicine. Band 380, Nr. 7, 14. Februar 2019, ISSN 0028-4793, S. 651–663, doi:10.1056/NEJMra1714562 (nejm.org [abgerufen am 9. März 2019]).
- ↑ K. Gleeson, D. F. Eggli, S. L. Maxwell: Quantitative aspiration during sleep in normal subjects. In: Chest. Band 111, Nr. 5, Mai 1997, ISSN 0012-3692, S. 1266–1272, PMID 9149581.
- ↑ David M. DiBardino, Richard G. Wunderink: Aspiration pneumonia: a review of modern trends. In: Journal of Critical Care. Band 30, Nr. 1, Februar 2015, ISSN 1557-8615, S. 40–48, doi:10.1016/j.jcrc.2014.07.011, PMID 25129577.
- ↑ Héctor Pinargote, Jose Manuel Ramos, Alina Zurita, Joaquin Portilla: Clinical features and outcomes of aspiration pneumonia and non-aspiration pneumonia in octogenarians and nonagenarians admitted in a General Internal Medicine Unit. In: Revista Espanola De Quimioterapia: Publicacion Oficial De La Sociedad Espanola De Quimioterapia. Band 28, Nr. 6, Dezember 2015, ISSN 1988-9518, S. 310–313, PMID 26621175.
- ↑ Naoyuki Miyashita, Yasuhiro Kawai, Takaaki Tanaka, Hiroto Akaike, Hideto Teranishi: Detection failure rate of chest radiography for the identification of nursing and healthcare-associated pneumonia. In: Journal of Infection and Chemotherapy: Official Journal of the Japan Society of Chemotherapy. Band 21, Nr. 7, 2015, ISSN 1437-7780, S. 492–496, doi:10.1016/j.jiac.2015.03.002, PMID 25842163.
- ↑ R. Rossaint, C. Werner, B. Zwißler, U. Nollert: Die Anästhesiologie: Allgemeine und spezielle Anästhesiologie, Schmerztherapie und Intensivmedizin. 1. Auflage. Springer Verlag, 2004, ISBN 3-540-00077-1.
- ↑ M. A. Warner, M. E. Warner, J. G. Weber: Clinical significance of pulmonary aspiration during the perioperative period. In: Anesthesiology. Band 78, Nr. 1, 1993, ISSN 0003-3022, S. 56–62, PMID 8424572.