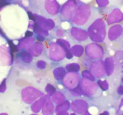
Auerstäbchen
Auerstäbchen sind kleine, stäbchenförmige, azurophile Granula, die man im Rahmen von Leukämien im Zytoplasma von Myeloblasten und Promyelozyten findet.
Auerstäbchen finden sich in etwa 30 % der Fälle bei der akuten myeloischen Leukämie (AML) sowie im Rahmen von myelodysplastischen Syndromen. Es handelt sich um irreguläre Zellorganellen, die lysosomale Enzyme enthalten und Zeichen einer Reifungsstörung der Zelle sind.
Zellen, die multiple Auerstäbchen in Bündeln aufweisen, bezeichnet man als Faggot-Zelle. Sie können bei der Promyelozytenleukämie (AML-M3) auftreten.
Weitere Bilder
Weblinks
- Image at NIH/MedlinePlus
- Slides at wadsworth.org (Page Not Found)
- Image at University of Utah