Bennett-Fraktur
| Klassifikation nach ICD-10 | |
|---|---|
| S62.2 | Fraktur des 1. Mittelhandknochens Bennett-Fraktur |
| ICD-10 online (WHO-Version 2019) | |

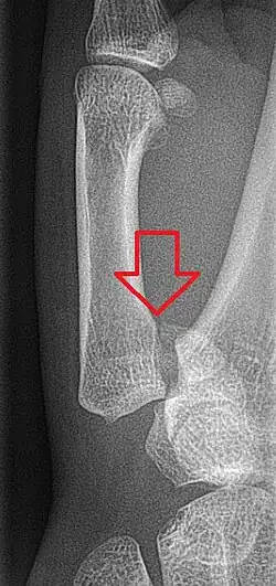
Bei der Bennett-Fraktur (auch Bennett-Luxationsfraktur) handelt es sich um eine Fraktur an der Basis des ersten Mittelhandknochens, die bis in das Daumensattelgelenk zieht. Der Mittelhandknochen wird durch den Zug der hier ansetzenden Sehne des M. abductor pollicis longus nach proximal verschoben. Meist bleibt ein kleineres dreieckiges Fragment ulnar am Gelenk stehen.
Sie wurde erstmals von dem irischen Arzt und Professor des Trinity College Dublin Edward Hallaran Bennett (1837–1907)[1] bei einem Treffen der British Medical Association 1880 in Cork beschrieben.[2]
Unfallmechanismus
Die Fraktur entsteht meist bei einem Stauchungstrauma auf den adduzierten Daumen.
Therapie
Die Reposition wird mit Abduktion des Daumens durchgeführt. Je nach Repositionsergebnis erfolgt dann eine konservative Ruhigstellung (Gipsverband) oder eine operative Stabilisierung.
Differentialdiagnose

Von der Bennett-Fraktur abzugrenzen sind Frakturen der Basis des ersten Mittelhandknochens, die nicht in das Gelenk ziehen (Winterstein-Fraktur). Eine Bennett-Fraktur mit einem Trümmerbruch wird als Rolando-Fraktur bezeichnet.
Literatur
- Pschyrembel: Klinisches Wörterbuch. 257. Auflage. de Gruyter Berlin / New York, ISBN 3-11-012692-3
- A. Greenspan: Skelettradiologie. deutsche Ausgabe. VCH Verlagsgesellschaft, Weinheim, ISBN 3-527-15404-3
Weblinks
- Ole Daniel Enersen: Bennett’s fracture ( vom 15. Mai 2025 im Internet Archive) bei whonamedit.com
Einzelnachweise
- ↑ Ole Daniel Enersen: Edward Hallaran Bennett ( vom 7. November 2024 im Internet Archive) bei whonamedit.com
- ↑ Barry G. Firkin, Judith Whitworth: Dictionary of Medical Eponyms. Parthenon Publishing Group Limited, 1996, Seite 30, ISBN 1-85070-477-5