Bissflügelaufnahme

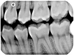
Bissflügelaufnahme rechts
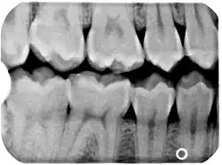
Bissflügelaufnahme links; Zahn 37 (unten rechts) lässt distal Karies erkennen

Eine Bissflügelaufnahme (englisch bitewing view), auch Flügelbissaufnahme, ist eine zahnärztliche Röntgenuntersuchung mit besonderer Aufnahmetechnik. Mit ihr wird – im Gegensatz zur üblichen Zahnfilmröntgenaufnahme – nicht der gesamte Zahn geröntgt, sondern nur die Kronenbereiche der Ober- und Unterkieferseitenzähne einer Gesichtshälfte. Ferner ist der Verlauf der Knochengrenze des Alveolarknochens zu diagnostizieren. In erster Linie werden Bissflügelaufnahmen zur erweiterten Kariesdiagnostik angefertigt, um Approximalkaries oder Kronenrandkaries approximal zu erkennen.[1]

Aufnahmetechnik

Bei der Bissflügelaufnahme wird ein Plastikflügel mittig am Röntgenfilm bzw. Aufnahmesensor befestigt. Der Röntgenfilm wird auf der Innenseite der Zähne so angelegt, dass der Kronenbereich der Seitenzähne vollständig abgebildet wird. Der Patient beißt auf den angebrachten Flügel auf und hält damit den Zahnfilm in der vorgesehenen Aufnahmeposition. Der Röntgentubus wird von außen so eingestellt, dass der Strahlengang nahezu senkrecht zum Film verläuft.[1]

Historie

Die Bissflügelaufnahme hat 1925 Howard Riley Raper (1887–1978), Hochschullehrer für zahnärztliche Radiologie in Ohio, eingeführt, mit der eine erweiterte Kariesdiagnostik im Approximalraum (Zahnzwischenraum) durchgeführt wird. Bei geringem parodontalem Knochenabbau kann sie als Parodontalstatus verwendet werden.[2]

Einzelnachweise

  1. a b Wilm-Gert Esders: Rationelle Arbeitsabläufe in der Zahnarztpraxis. Georg Thieme Verlag, 2007, ISBN 978-3-13-132261-6, S. 28 (google.de).
  2. Howard R. Raper Oral and Maxillofacial Radiology Award (Memento vom 20. Juli 2012 im Webarchiv archive.today), The American Academy of Oral and Maxillofacial Radiology (AAOMR). Abgerufen am 14. August 2015.