Bodo saltans
| Bodo saltans | ||||||||||||
|---|---|---|---|---|---|---|---|---|---|---|---|---|
Bodo saltans | ||||||||||||
| Systematik | ||||||||||||
| ||||||||||||
| Wissenschaftlicher Name | ||||||||||||
| Bodo saltans | ||||||||||||
| Ehrenberg, 1832[2][3][1] |

Bodo saltans[4][5] (veraltet auch Pleuromonas jaculans) eine Spezies freilebender, nichtparasitärer geißeltragender Protozoen aus der Klade der Kinetoplastida, die sich phagotroph („fressend“) von Bakterien ernähren.[6] Sie ist die Typusart der Gattung Bodo und der sie enthaltenden Familie Bodonidae. Bodo saltans ist ein Kosmopolit, der sowohl in Süßwasser- als auch in Meeresumgebungen gefunden wurde und gehört zu den engsten freilebenden Verwandten der Parasiten aus der Ordnung Trypanosomatida (Erreger der Chagas-Krankheit und Afrikanischen Schlafkrankheit).[7][8][9]
Bodo saltans wurde von Christian Gottfried Ehrenberg um 1830 als „hüpfende Schwanzmonade“ erstbeschrieben.[2][3][10]
Beschreibung
Bodo saltans ist ein einzelliger, nieren- oder bohnenförmiger Organismus mit einer Größe von etwa 4 bis 5 μm (Länge 5–8 µm lang, Breite 2–5 µm). Er hat zwei ungleiche Geißeln (Flagellen), die beide aus einer vorderen Geißeltasche entspringen. Die kurze Geißel ragt nach vorne und trägt Flimmerhaare (Mastigoneme). Die andere Geißel ist lang und ohne Haare (acronematisch), sie ragt hinten und mit ihren 10–15 µm über die Länge der Zelle hinaus. B. saltans kann sich mit dem Ende des langen, hinteren Geißel an das Substrat seines aquatischen Lebensraums anheften; bei dieser Anheftung erzeugt die kurze, vordere Geißel Fütterungsströme, während die Zelle unruhig um den Anheftungspunkt der hinteren Geißel herum schwankt und ruckelt. Das ruckartige Verbiegen der hinteren Geißel führt zu einer zuckenden, hüpfenden Bewegung, die für diese Art charakteristisch und namensgebend ist.[11] Diese Art der Bewegung ähnelt dem sexuell übertragbaren Erreger Trichomonas vaginalis und kann zu einer falsch-positiven Diagnose führen, wenn Testproben durch B. saltans verunreinigt sind, insbesondere wenn eine nicht-sterile Kochsalzlösung verwendet wurde.
Die Mastigoneme der vorderen Geißel scheinen die Partikel zum Zellmund (Cytostom) zu treiben, während die Geißel schwungvolle Bewegungen ausführt, und die sich um den Cytostombereich windenden Lappen (englisch circumbuccal lappets ‚Wangenläppchen‘) fangen die Beute ein, die dann zum sog. Cytopharynx transportiert wird. Der Cytopharynx wird von acht Mikrotubuli gestützt, die sich dorsal (rücklings) über den Kinetoplasten hinaus erstrecken und vermutlich an der Nahrungsaufnahme beteiligt sind.[11]
Das Geißeltierchen schwimmt auch frei vom Substrat, wobei es von der kürzeren Geißel angetrieben und um seine Längsachse gedreht wird, während die längere Geißel passiv und schleppend bleibt.[11]
B. saltans wird selbst bejagt von Einzellern der Art Acanthocystis nichollsi (Centrohelida), zu seinen Fressfeinden gehören auch Flohkrebse der Art Cyllopus lucasii Spence Bate 1862 (Hyperiidea[12]).[9]
Genetik und Phylogenie



Die Phylogenetische Analyse des mitochondrialen RNA-Editing-Prozesses und abgeleitete Proteinsequenzen in B. saltans legen nahe, dass sich die Gattung Bodo früh von der evolutionären Linie der anderen Kinetoplastida abspaltete und dass diese Art innerhalb der Ordnung Bodonida enger mit den Trypanosomatida verwandt ist als Spezies der Gattung Cryptobia.[13]
Die Moleküle der mitochondrialen DNA in Eukaryonten sind in der Regel zirkulär, und bei der Replikation und Transkription helfen die Topoisomerasen. Wie alle Kinetoplastida besitzt B. saltans ein einzelnes Mitochondrium mit dem vielleicht komplexesten Netzwerk aus mitochondrialer Kinetoplasten-DNA (kDNA). Die kDNA besteht aus Tausenden zirkulärer DNA-Stücke, die alle für die korrekte Replikation des Organismus erforderlich sind.[14] Diese zirkulären Gene ergeben ein sehr charakteristisches mitochondriales Genom, da einige der Gene nicht in vollständiger Form vorliegen und sich Fragmente auf mehreren Genomringen befinden. Dies hat zur Folge, dass mitochondriale Gene für Topoisomerasen in großer Zahl vorhanden sind, was sie zu einem attraktiven Ziel genetischer Untersuchungen macht. Die merkwürdige Sortierung der kDNA bedeutet aber einen erhöhten Schwierigkeitsgrad bei der Erstellung phylogenetischer Stammbäume unter Verwendung von kDNA.[14]
Das genaue Verständnis der Funktionsweise der Topoisomerasen bei den Kinetoplastida kann aber mögliche medizinische Behandlungsweisen von Trypanosomen-Infektionen und Leishmaniose-Erkrankungen aufzeigen.
Die Analyse der Gensequenz für die Topoisomerase II (topo II) zeigt, dass die Entwicklungslinie zu B. saltans basal im Stammbaum der Trypanosomatida abzweigt. Auch nach der Neudefinition der Gattung Bodo seit 2002[15][16][17] weist Bodo saltans eine immense genetische Vielfalt auf, und es ist wahrscheinlich, dass diese Art weiter aufgeteilt werden muss. Andere Arten der Gattung wurden bis 2002 noch nicht molekularbiologisch untersucht.[14] Je mehr Untersuchungen über die Arten durchgeführt werden, desto mehr Änderungen werden wahrscheinlich auftreten.[17]
Endosymbiont
Parasitische Kinetoplastiden wie die Trypanosomatida haben Endosymbionten einige Male unabhängig voneinander erworben.[18][8]
Überraschenderweise ernährt sich B. saltans nicht nur von Bakterien (je nach Art mit unterschiedlicher Präferenz), sondern beherbergt ebenfalls Bakterien als intrazelluläre Symbionten.[8][18] Diese Symbiose ist damit das erste Beispiel für eine solche Verbindung bei freilebenden Kinetoplastiden.
Samriti Midha und Kollegen berichteten im Jahr 2018 über ein von ihnen Candidatus Bodocaedibacter vickermanii genanntes endosymbiotisches Bakterium bei B. saltans. Im Unterschied zu den früher bekannt gewordenen Endosymbionten der parasitischen Kinetoplastiden gehört Ca. Bc. vickermanii jedoch nicht den β-Proteobacteria, sondern den α-Proteobacteria an.[8] Eine phylogenetische Analyse zeigte, dass dieser Endosymbiont innerhalb dieser Gruppe zu den Holosporales gehört,[19][20] einer heute von den Rickettsiales abgetrennten Ordnung der α-Proteobacteria, die am engsten mit anderen α-proteobakteriellen Endosymbionten von Wimpertierchen und Amöben verwandt ist (Klade der Paracaedibacter-ähnlichen Bakterien). Dies legt nahe, dass sich derartige Endosymbiosen schon sehr früh in der Evolution der Eukaryoten etabliert haben.[8]
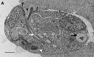
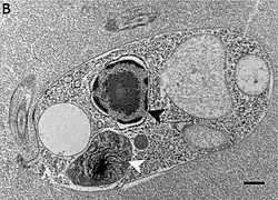
Mittels Fluoreszenz-in-situ-Hybridisierung (Epifluoreszenzmikroskopie) und Serienschnitt-Rasterelektronenmikroskopie (englisch serial block-face scanning electron microscopy, SBF-SEM oder kurz SBEM)[21] konnten die Autoren zeigen, dass der Endosymbiont in der Nähe der Kernmembran angesiedelt ist.[8]
Sein Genom besteht aus einem zirkulären Bakterienchromosom mit einer Größe von 1,39 Mbp (Megabasenpaaren) bei einem GC-Gehalt von 40,6 %.[8] Vergleichende Genomanalysen deuten darauf hin, dass diese Bakterien nur einen begrenzten Stoffwechsel haben und von der Ernährung des Wirtes abhängig sind.[A. 1] Versuche, B. saltans durch eine Antibiotikabehandlung mit Rifampicin von seinen Endosymbionten zu befreien führten tatsächlich zu einem schnellen Zelltod des Wirts, was die Abhängigkeit des Wirts von seinem bakteriellen Endosymbionten aufzeigt.[8]
-
FISH-Visualisierung von Ca. Bc. vickermanii in B. saltans -
TEM-Aufnahmen von Ca. Bc. vickermanii in B. saltans -
Serienschnitt-REM-Darstellung von Ca. Bc. vickermanii in B. saltans
Viren
B. saltans wird, wie auch einige andre Spezies der Gattung Bodo, von einem Virus befallen, dem Bodo-saltans-Virus (BsV, Theiavirus salishense). Dieses ist möglicherweise das am häufigsten vorkommende Riesenvirus in den Ozeanen.[22] Die verschiedenen Stämme von BsV sind hochspezifisch und können jeweils nur bestimmte Stämme dieser Spezies infizieren. Der BsV-Stamm NG1 (BsV-NG1) infiziert den Stamm Bodo saltans NG (CCCM6296), aber nicht HFCC12.[22] BsV ist Mitglied der Familie Mimiviridae (im Phylum Nucleocytoviricota, NCLDV) und gehört innerhalb dieser Familie zur Unterfamilie Klosneuvirinae.[23][24][25]
Anmerkungen
- ↑ Das Genom des Endosymbionten kodiert für verschiedene symbiontenspezifische sekretorische Proteine, darunter ein Typ-VI-Sekretionssystem und drei Operons, die offenbar als Toxin-Antitoxin-Systeme fungieren, wodurch B. saltans von nach seinem Endosymbionten abhängig würde.
Literatur
- David Dolezel, M. Jirků, D. A. Maslov, J. Lukes: Phylogeny of the bodonid flagellates (Kinetoplastida) based on small-subunit rRNA gene sequences. In: International Journal of Systematic and Evolutionary Microbiology, Band 50, Pt. 5, S. 1943–1951, 1. September 2000; doi:10.1099/00207713-50-5-1943, PMID 11034508, ResearchGate.
- Ivana Gažiová, Julius Lukeš: Mitochondrial and Nuclear Localization of Topoisomerase II in the Flagellate Bodo saltans, (Kinetoplastida), a Species with Non-catenated Kinetoplast DNA. In: Journal of Biological Chemistry. Band 278, Nr. 13, 28. März 2003, S. 10900–10907; doi:10.1074/jbc.M202347200, PMID 12533517, Epub 16. Januar 2003.
- Klaus Hänel: Systematik und Ökologie der farblosen flagellaten des abwassers, Systematics and ecology of colourless flagellates in sewage. In: Archiv für Protistenkunde, Band 121, Nr. 1–2, 1979, S. 73–137; doi:10.1016/S0003-9365(79)80010-X.
- Klaus Hausmann, Norbert Hulsmann, Renate Radek: Protistology. 3. Auflage, E. Schweizerbart’sche Verlagsbuchhandlung 2003, ISBN 3-510-65208-8.
- W. J. Lee, D. J. Patterson: Diversity and Geographic Distribution of Free-Living Heterotrophic flagellates. In: Protist. 149. Jahrgang, Nr. 3, 1998, S. 229–243, doi:10.1016/s1434-4610(98)70031-8, PMID 23194636 (englisch)., updated with data from Al Qassab et al. (2002).
- A. Smith, S. Portsmouth, B. Curran, D. Warhurst, P. Kell, N. Saulsbury: TV or not TV? In: BMJ Journals: Sexually Transmitted Infections. 78. Jahrgang, Nr. 3, 2002, S. 185–186, doi:10.1136/sti.78.3.185, PMID 12238649, PMC 1744461 (freier Volltext) – (englisch).
- Naja Vørs: Heterotrophic amoebae, flagellates and heliozoa from the Tvärminne area, Gulf of Finland, in 1988–1990. In: Ophelia, Band 36, Nr. 1, 1992; S. 1–109; doi:10.1080/00785326.1992.10429930, Epub 20. Februar 2012.
- Naja Vørs: Heterotrophic amoebae, flagellates and heliozoa from Arctic marine waters (North West Territories, Canada and West Greenland). In: Polar Biology, Band 13, S. 113–126, März 1993; doi:10.1007/BF00238544.
Weblinks
- Mario J. M. Vaerewijck, Koen Sabbe, Julie Bare, Kurt Houf: Occurrence and diversity of free-living protozoa on butterhead lettuce. In: International Journal of Food Microbiology. 147. Jahrgang, Nr. 2, 2011, S. 105–111, doi:10.1016/j.ijfoodmicro.2011.03.015, PMID 21513995 (englisch).
- Matthew Berriman, Andrew P. Jackson, Michael A. Quail: Insights into the genome sequence of a free-living Kinetoplastid: Bodo saltans (Kinetoplastida: Euglenozoa). In: BMC Genomics. 9. Jahrgang, Nr. 1, 9. Dezember 2015, S. 594, doi:10.1186/1471-2164-9-594, PMID 19068121, PMC 2621209 (freier Volltext) – (englisch).
- Gary C. Mitchell, J. H. Baker, M. A. Sleigh: Feeding of a Freshwater Flagellate, Bodo saltans, on Diverse Bacteria. In: The Journal of Protozoology. 35. Jahrgang, Nr. 2, Mai 1988, S. 219–222, doi:10.1111/j.1550-7408.1988.tb04327.x (englisch).
- Mario J. M. Vaerewijck, Koen Sabbe, Julie Baré, Kurt Houf: Occurrence and diversity of free-living protozoa on butterhead lettuce. In: International Journal of Food Microbiology. 147. Jahrgang, Nr. 2, 27. Mai 2011, S. 105–111, doi:10.1016/j.ijfoodmicro.2011.03.015, PMID 21513995 (englisch).
- Isabel Zirnstrein: Eukaryotic Life in Biofilms Formed in a Uranium Mine. In: MicrobiologyOpen. 1. Jahrgang, Nr. 2, 27. März 2012, S. 83–94, doi:10.1002/mbo3.17, PMID 22950016, PMC 3426414 (freier Volltext) – (englisch).
- Pavel Flegontov, Jan Votypka, Tomas Skalicky: Paratrypanosoma Is a Novel Early-Branching Trypanosomatid. In: Current Biology. 23. Jahrgang, Nr. 18, 23. September 2013, S. 1787–1793, doi:10.1016/j.cub.2013.07.045, PMID 24012313 (englisch).
- Bodo saltans. Auf: Alchetron. Stand: 8. August 2022 (Video und Bilder).
- bodo saltans el bodo saltarín - a jumping bodo. Video mit B. saltans auf YouTube von microuruguay.
- Bodo saltans. Auf: bionity.com; fast gleicher Text.
- Bodo saltans. Sanger-Institut
- Bodo Ehrenberg 1832 und Bodo saltans. Auf: Encyclopedia of Life (EOL)
- Bodo saltans Ehrenberg, 1832. Auf: Global Biodiversity Information Facility (GBIF)
- Bodo saltans. Auf: OneZoom
- Bodo saltans. Auf: LifeGate
- Bodo. Auf: Lifemap, NCBI Version
Einzelnachweise
- ↑ a b NCBI Taxonomy Browser: Bodo saltans Ehrenberg, 1832 (species).
- ↑ a b Christian Gottfried Ehrenberg: Beiträge zur Kenntnis der Organisation der Infusorien und ihrer geographischen Verbreitung, besonders in Sibirien. In: Abhandlungen der Königlichen Akademie der Wissenschaften zu Berlin März/August 1830, S. 21–108, Tafeln I-VIII; online, OCLC 9639255, Epub 2010. Siehe insbes. S. 38, S. 54, S. 60, S. 62 (Fundorte), S. 67, S. 69, S. 79.
- ↑ a b Christian Gottfried Ehrenberg: Über die Entwicklung und Lebensdauer der Infusionsthiere nebst ferneren Beiträgen zu einer Vergleichung ihrer organischen Systemen. Königliche Akademie der Wissenschaften: Abhandlungen der Königlichen Akademie der Wissenschaften in Berlin, Physikalische Klasse 1831. Berlin, 1832. S. 1–154. In: Isis: encyclopädische Zeitschrift, vorzügl. für Naturgeschichte, vergleichende Anatomie u. Physiologie, 1834; online Siehe insbes. S. 87 [47], und S. 103 [47].
- ↑ M. D. Guiry, G. M. Guiry, 2020: Bodo saltans Ehrenberg, 1832. Lectotype species: Bodo saltans Ehrenberg. Auf: AlgaeBase. World-wide electronic publication, National University of Ireland, Galway.
- ↑ WoRMS: Bodo saltans Ehrenberg, 1832.
- ↑ G.C. Mitchell, J.H. Baker, M.A. Sleigh: Feeding of a Freshwater Flagellate, Bodo saltans, on Diverse Bacteria. In: Journal of Eukaryotic Microbiology. 35. Jahrgang, Nr. 2, 1988, S. 219–222, doi:10.1111/j.1550-7408.1988.tb04327.x (englisch).
- ↑ Austin L. Hughes, Helen Piontkivska: Phylogeny of Trypanosomatidae and Bodonidae (Kinetoplastida) Based on 18S rRNA: Evidence for Paraphyly of Trypanosoma and Six Other Genera. In: Molecular Biology and Evolution, Band 20, Nr. 4, 1. April 2003, S. 644–652; doi:10.1093/molbev/msg062, PMID 12679543, Epub 2. April 2003.
- ↑ a b c d e f g h Samriti Midha, Daniel J. Rigden, Stefanos Siozios, Gregory D. D. Hurst, Andrew P. Jackson: Bodo saltans (Kinetoplastida) is dependent on a novel Paracaedibacter-like endosymbiont that possesses multiple putative toxin-antitoxin systems. In: Nature: The ISME Journal, Band 15, Nr. 6, Juni 2021, S. 1680–1694; doi:10.1038/s41396-020-00879-6, PMID 33452479, PMC 8163844 (freier Volltext), Epub 15, Januar 2021.
- ↑ a b Bodo Ehrenberg 1832 und Bodo saltans. Auf: Encyclopedia of Life (EOL).
- ↑ Christian Gottfried Ehrenberg: Die Infusionsthierchen als vollkommene Organismen. Ein Blick in das tiefere organische Leben der Natur. L. Voss, Leipzig 1838. online; doi:10.5962/bhl.title.97605, OCLC 15015104, Epub 2015. Siehe insbes. S. 31–35.
- ↑ a b c Bodo §Bodo saltans. The World of Protozoa, Rotifera, Nematoda and Oligochaeta (WPRNO). Auf: National Institute for Environmental Studies (NIES), Japan
- ↑ NCBI Taxonomy Browser: Cyllopus lucasii Bate, 1862.
- ↑ Daniël Blom, Annett de Haan, Marlene van den Berg, Paul Sloof, Milan Jirku, Julius Lukes, Rob Benne: RNA editing in the free-living bodonid Bodo saltans. In: Nucleic Acids Research. Band 26, Nr. 5, 1. März 1998, S. 1205–1213; doi:10.1093/nar/26.23.iii.
- ↑ a b c Julius Lukes, D. Lys Guilbride, Jan Votýpka, Alena Zíková, Rob Benne, Paul T. Englund: Kinetoplast DNA Network: Evolution of an Improbable Structure. In: ASM Journals: Eukaryotic Cell, Band 1, Nr. 4, S. 495–502, August 2002; doi:10.1128/EC.1.4.495-502.2002, PMID 12455998, PMC 117999 (freier Volltext), ResearchGate.
- ↑ Alastair G. B. Simpson, Julius Lukeš, Andrew J. Roger: The Evolutionary History of Kinetoplastids and Their Kinetoplasts. In: Molecular Biology and Evolution, Band 19, Nr. 12, 1. Dezember 2002, S. 2071–2083; doi:10.1093/oxfordjournals.molbev.a004032.
- ↑ David Moreira, Purificación López-García, Keith Vickerman: An Updated View of kinetoplastid Phylogeny Using Environmental Sequences and a Closer Outgroup: Proposal for a New Classification of the Class Kinetoplastea. Band 54, September 2004, Pt. 5, S. 1861–1875; doi:10.1099/ijs.0.63081-0, PMID 15388756.
- ↑ a b Thomas Cavalier-Smith: Higher classification and phylogeny of Euglenozoa. In: European Journal of Protistology, Band 56, Oktober 2016, S. 250–276; doi:10.1016/j.ejop.2016.09.003, PMID 27889663, ResearchGate, Epub 15. September 2016.
- ↑ a b Jane Harmer, Vyacheslav Yurchenko, Anna Nenarokova, Julius Lukeš, Michael L. Ginger: Farming, slaving and enslavement: histories of endosymbioses during kinetoplastid evolution. In: Cambridge University Press: Parasitology, Band 145, Nr. 10, S. 1311–1323, September 2018; doi:10.1017/S0031182018000781, PMID 29895336, Epub 13. Juni 2018 (englisch). Siehe u. a. Fig. 2.
- ↑ LPSN: Order Holosporales Szokoli et al. 2020.
- ↑ NCBI Taxonomy Browser: Holosporales, Details: Holosporales Szokoli et al. 2020.
- ↑ Das Serienschnitt-Rasterelektronenmikroskop. Englische Version: Serial Block-Face Scanning Electron Microscope (SBEM). Max-Planck-Institut für biologische Intelligenz.
- ↑ a b c d Christoph M. Deeg, Cheryl-Emiliane T. Chow, Curtis A. Suttle: The kinetoplastid-infecting Bodo saltans virus (BsV), a window into the most abundant giant viruses in the sea. In: eLife, Band 7, e33014, 27. März 2018; doi:10.7554/eLife.33014, PMC 5871332 (freier Volltext), PMID 29582753, ResearchGate.
- ↑ Frederik Schulz, Natalya Yutin, Natalia N. Ivanova, Davi R. Ortega, Tae Kwon Lee, Julia Vierheilig, Holger Daims, Matthias Horn, Michael Wagner: Giant viruses with an expanded complement of translation system components. In: Science. 356. Jahrgang, Nr. 6333, 7. April 2017, S. 82–85, doi:10.1126/science.aal4657, PMID 28386012, bibcode:2017Sci...356...82S (englisch, sciencemag.org)., UCPMS ID: 1889607, escholarship.org (PDF; 1,8 MB).
- ↑ NCBI Taxonomy Browser: Bodo saltans virus (species).
- ↑ ICTV: Master Species Lists § ICTV Master Species List 2022 MSL38 v1 (xlsx), 8. April 2023.
.jpg)
![BsV-Partikel mit einem blütenartig geöffnetem „Stargate“ (Sternentor).[22]](./Lax_33014_elife-33014-fig2-figsupp1-v1B.jpg)
![Neu gebildete BsV-Virionen im Inneren eines Vesikels. Am Apex des linken unteren Virions befindet sich ein geschlossenes Stargate (schwarze Pfeilspitze).[22]](./Lax_33014_elife-33014-fig2-figsupp1-v1D.jpg)