Bouveret-Syndrom

Das Bouveret-Syndrom beschreibt die Symptome einer seltenen Komplikation eines Gallensteinleidens, bei der ein großer Gallenstein über eine entzündlich entstandene Verbindung (Fistel) der Gallenblase in den Zwölffingerdarm wandert und den Magenausgang verlegt. Es handelt sich somit um eine spezielle Form des Gallensteinileus.
Erstbeschreibung
Das Krankheitsbild ist nach dem französischen Arzt Léon Bouveret benannt,[1] der 1896 den klassischen Fall mit einer Perforation der Gallenblase in den Bulbus duodeni mit Verlegung des Magenausgangs beschrieb.[2]
Klinik
Die Patienten (meist Frauen über 70 Jahre) kommen mit plötzlich auftretenden abdominellen Beschwerden, Übelkeit und Erbrechen. Die Symptome können von Fieber begleitet sein. Seltener tritt ein Ikterus auf. Das Beschwerdebild ist oft nicht typisch für ein Gallensteinleiden, welches in vielen Fällen auch noch nicht bekannt war. Oftmals spielen Begleiterkrankungen eine für die Diagnosefindung erschwerende Rolle. Insgesamt ist das Krankheitsbild für den Patienten akut bedrohlich und kann sogar tödlich enden.[3]
Diagnostik

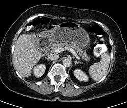
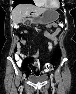
Hinweise auf die Ursache der Beschwerden geben verschiedene bildgebenden Verfahren. Oft gelangt mit Bildung der Fistel Luft in die Gallenwege, was in der Sonographie wie in der Computertomographie und gelegentlich auch schon in der Röntgenübersichtsaufnahme erkennbar ist. Bei einer solchen Aerobilie zusammen mit den Zeichen eines Dünndarmileus und dem Nachweis eines Gallensteins außerhalb der Gallenblase spricht man von der für einen Gallensteinileus typischen Rigler-Trias. Allerdings liegt beim Bouveret-Syndrom der Verschluss unmittelbar am Magenausgang so hoch, dass Zeichen des Dünndarmileus fehlen können. Die Laborwerte sprechen für eine Entzündung und eventuell Elektrolytstörungen.
Therapie
Da es sich bei den Patienten oft um ältere Menschen mit Begleiterkrankungen handelt, ist ein möglichst schonender Therapieansatz zu bevorzugen. Wenn es die klinische Situation zulässt, ist daher ein Versuch der Zertrümmerung und Entfernung des Steins mit Hilfe der Endoskopie angezeigt. In vielen Fällen, vor allem wenn die Diagnose noch nicht ganz sicher ist, wird jedoch eine Operation notwendig. Dabei steht als Ziel die Entfernung des Steins mit einer Wiederherstellung der Durchgängigkeit im Vordergrund, da ein größerer Eingriff mit Entfernung der Gallenblase und Verschluss der Fistel das Risiko des Eingriffs erhöhen würde.[4]
Literatur
- Endoskopiebilder eines Bouveret-Syndroms. In: Journal für Gastroenterologische und Hepatologische Erkrankungen, 2004; 2 (1), S. 44
Weblinks
- Übersichtsartikel in Radiographics
Siehe auch
- Mirizzi-Syndrom, eine weitere seltene Komplikation eines Gallensteinleidens
Einzelnachweise
- ↑ Ole Daniel Enersen: Léon Bouveret ( vom 25. Juni 2022 im Internet Archive) bei whonamedit.com
- ↑ L. Bouveret: Sténose de pylore adhèrent à la vesicule calceuse. In: Rev Med (Paris). 1896; 16, S. 1–16.
- ↑ Mahesh Gajendran, Thiruvengadam Muniraj, Andrés Gelrud: A challenging case of gastric outlet obstruction (Bouveret's syndrome): a case report. In: Journal of Medical Case Reports. Band 5, Nr. 1, 2011, doi:10.1186/1752-1947-5-497, PMID 21970809, PMC 3204302 (freier Volltext).
- ↑ Rasim Gençosmanoğlu: Bouveret’s syndrome complicated by a distal gallstone Ileus. In: World Journal of Gastroenterology. Band 9, Nr. 12, 2003, S. 2873–2873, doi:10.3748/wjg.v9.i12.2873, PMID 14669357, PMC 4612076 (freier Volltext).