Central-Core-Myopathie

Klassifikation nach ICD-10
G71.2 Angeborene Myopathien
Zentralfibrillenmyopathie (Central-Core-Krankheit)
{{{02-BEZEICHNUNG}}}
{{{03-BEZEICHNUNG}}}
{{{04-BEZEICHNUNG}}}
{{{05-BEZEICHNUNG}}}
{{{06-BEZEICHNUNG}}}
{{{07-BEZEICHNUNG}}}
{{{08-BEZEICHNUNG}}}
{{{09-BEZEICHNUNG}}}
{{{10-BEZEICHNUNG}}}
{{{11-BEZEICHNUNG}}}
{{{12-BEZEICHNUNG}}}
{{{13-BEZEICHNUNG}}}
{{{14-BEZEICHNUNG}}}
{{{15-BEZEICHNUNG}}}
{{{16-BEZEICHNUNG}}}
{{{17-BEZEICHNUNG}}}
{{{18-BEZEICHNUNG}}}
{{{19-BEZEICHNUNG}}}
{{{20-BEZEICHNUNG}}}
Vorlage:Infobox ICD/Wartung {{{21BEZEICHNUNG}}}
ICD-10 online (WHO-Version 2019)
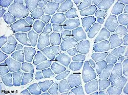
Central-Core-Myopathie mit Störungen des intermyofibrillären oxidativen Netzwerks in der NADH-Färbung.[1]

Als Central-Core-Myopathie (Central-Core-Krankheit, central core disease, CCD) wird eine seltene Muskelerkrankung aus der Gruppe der angeborenen Myopathien bezeichnet, die 1956 erstmals beschrieben wurde.[2]

Klinik

Klinisch finden sich ab der Geburt eine Hypotonie der Muskulatur (floppy infant) und eine verzögerte motorische Entwicklung. Dennoch entwickeln die meisten Betroffenen die Fähigkeit, selbstständig zu gehen. Im Vordergrund steht eine Schwäche der Oberschenkel- und Hüftmuskulatur; nicht selten treten auch orthopädische Probleme wie eine Hüftluxation oder eine Skoliose hinzu. Auffällig ist der üblicherweise nur wenig progrediente, statische Verlauf. Von besonderer klinischer Bedeutung ist die Tatsache, dass Patienten mit Central-Core-Myopathie häufig eine Prädisposition zur Malignen Hyperthermie, einer Erkrankung, die als lebensbedrohliche Komplikation einer Inhalationsnarkose in Erscheinung treten kann, aufweisen.

Histologie und Genetik

In der Muskelbiopsie sind insbesondere in der enzymhistochemischen Färbung für NADH Störungen des intermyofibrillären oxidativen Netzwerks mit zentralen, hellen Flecken (cores) charakteristisch. Die Erkrankung wird in der Mehrzahl der Fälle autosomal-dominant mit wechselnder Penetranz vererbt. Zugrunde liegen überwiegend Mutationen des für einen Ryanodin-Rezeptor kodierenden Gens RYR1.[3]

Einzelnachweise

  1. H. Jungbluth: Central core disease. In: Orphanet Journal of Rare Diseases. 2007, 2, S. 25. PMID 17504518 (Übersichtsarbeit) (Volltext)
  2. K. R. Magee, G. M. Shy: A new congenital non-progressive myopathy. In: Brain. 1956; 79, S. 610–621. PMID 13396066
  3. Y. Zhang u. a.: A mutation in the human ryanodine receptor gene associated with central core disease. In: Nature Genet. 1993;5, S. 46–50. PMID 8220422