Chilaiditisyndrom

Klassifikation nach ICD-10
Q43.3 Angeborene Fehlbildungen, die die Darmfixation betreffen
{{{02-BEZEICHNUNG}}}
{{{03-BEZEICHNUNG}}}
{{{04-BEZEICHNUNG}}}
{{{05-BEZEICHNUNG}}}
{{{06-BEZEICHNUNG}}}
{{{07-BEZEICHNUNG}}}
{{{08-BEZEICHNUNG}}}
{{{09-BEZEICHNUNG}}}
{{{10-BEZEICHNUNG}}}
{{{11-BEZEICHNUNG}}}
{{{12-BEZEICHNUNG}}}
{{{13-BEZEICHNUNG}}}
{{{14-BEZEICHNUNG}}}
{{{15-BEZEICHNUNG}}}
{{{16-BEZEICHNUNG}}}
{{{17-BEZEICHNUNG}}}
{{{18-BEZEICHNUNG}}}
{{{19-BEZEICHNUNG}}}
{{{20-BEZEICHNUNG}}}
Vorlage:Infobox ICD/Wartung {{{21BEZEICHNUNG}}}
ICD-10 online (WHO-Version 2019)

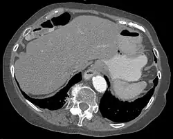
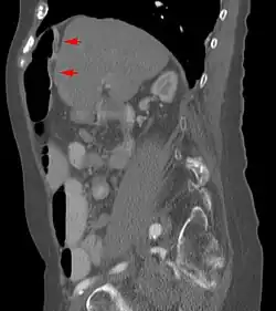
Das Chilaiditisyndrom oder Chilaiditi-Syndrom beschreibt in der Medizin eine Verlagerung und Drehung von Dick- und seltener Dünndarmanteilen von weiter fußwärts nach kopfwärts (kranial) zwischen Zwerchfell und Leber. Normalerweise findet sich in diesem Bereich kein Darm. Das Syndrom ist eine Normvariante und nicht notwendigerweise von Krankheitswert.

Name

Synonym wird der Begriff Interpositio coli hepato-diaphragmatica (griechisch-lateinisch „Verlagerung des Dickdarms zwischen Leber und Zwerchfell“) benutzt. Das Syndrom wurde benannt nach dem griechischen Röntgenologen Dimítrios Chilaiditi, geboren 1883, der in Wien und Istanbul lebte.

Vorkommen

Chilaiditi-Syndrom in der Computertomographie axial
Chilaiditi-Syndrom in der Computertomographie sagittal

Das Syndrom ist eher selten (unter 1 %) und wird meist als Zufallsbefund auf Röntgenaufnahmen der Lunge, im Computertomogramm des Oberbauches oder im abdominellen Ultraschall erkannt. Bei Eingriffen an der Leber, insbesondere bei Leberpunktionen, ist die Kenntnis dieser anatomischen Variante von großer Wichtigkeit.

Anatomie/Pathophysiologie

Es sind Anteile des Dickdarms – vor allem seine rechte obere Biegung (die Flexur) – oder seltener des Dünndarms zwischen den rechten Leberlappen und das rechte Zwerchfell verlagert. Das Syndrom kann mit Fehlbildungen der Leber, des Zwerchfells oder Dickdarmes einhergehen.

Eine Verdrehung (eine Torsion) der rechten Dickdarmbiegung um die Längsachse des den Darm mit Blut versorgenden Gekröses (des Mesocolons für den Dick- bzw. des Mesenteriums für den Dünndarm) kann durch die Verdauungsbewegungen des Darms (die Peristaltik) ein gefährliches rhythmisches Verschließen des Darms bzw. seiner Blutzufuhr verursachen.[1]

Beschwerden

Meist sind die Patienten symptomfrei. Es kann aber auch zu einem Aufstau vor dem interponierten Dickdarm kommen, was Blähungen und Schmerzen bis hin zu einem lebensbedrohlichen Darmverschluss[1] (einem Ileus) verursachen kann (siehe oben).

Literatur

  • D. Chilaiditi: Zur Frage der Hepatoptose und Ptose im allgemeinen im Anschluss an drei Fälle von temporärer, partieller Leberverlagerung. In: Fortschritte auf dem Gebiete der Röntgenstrahlen. 1910, 16, S. 173–208.
  • Keith A. Havenstrite, James A. Harris, David E. Rivera: Splenic Flexure Volvulus in Association with Chilaiditi Syndrome: Report of a Case. In: The American Surgeon. Band 65, Nr. 9, 1999, S. 874–876, doi:10.1177/000313489906500914, PMID 10484093.
  • Michiko Sato et al.: Chilaiditi syndrome: sonographic findings. In: Abdominal Imaging. Band 25, Nr. 4, 2000, S. 397–399, doi:10.1007/s002610000020, PMID 10926193.
Commons: Chilaiditisyndrom – Sammlung von Bildern, Videos und Audiodateien

Abbildungen

Einzelnachweise

  1. a b Pschyrembel Klinisches Wörterbuch Version 2002 (elektronische Fassung der 258. Auflage).