Choanalatresie
| Klassifikation nach ICD-10 | |
|---|---|
| Q30.0 | Choanalatresie |
| ICD-10 online (WHO-Version 2019) | |

Als Choanalatresie (auch Atresia choanae) wird der angeborene membranöse oder knöcherne Verschluss der hinteren Nasenöffnung bezeichnet. Bei zehn Prozent der Betroffenen ist dieser Verschluss membranös, bei 90 Prozent knöchern. Die Choanen, als paarige hintere Nasenöffnung, bilden den Übergang vom Nasenraum in den Rachenraum. Atresie kommt aus dem Griechischen ἄτρητος atretos in der Bedeutung „ohne Öffnung“. Den unvollständigen Verschluss nennt man Choanalstenose. Es gibt die selteneren vorderen Nasenatresien, die sich 1 bis 2 cm vom Naseneingang entfernt befinden. Die mittleren Atresien sind meistens als Folge von chronischen Nasenmuschelentzündungen erworben. Der teilweise Verschluss wird als Synechie bezeichnet.
Verbreitung
Die angeborene Choanalatresie ist eine seltene Fehlbildung, die bei 1/5000 – 10000 Geburten auftritt. Der einseitige Choanenverschluss ist etwa fünfmal häufiger als der beidseitige.
Bei einigen Syndromen kann sie wesentliches Merkmal sein:[1]
- Angeborene Subclavian-Steal-Sequenz
- CHARGE-Syndrom
- Syndrom des einzelnen maxillären mittleren Schneidezahnes (SMMCI-Syndrom)
Ferner bei
- Antley-Bixler-Syndrom
- Bosma-Syndrom, Synonym: Arrhinie-Choanalatresie-Mikrophthalmie; BOSMA Arhinia Microphthalmia Syndrome[2]
- EEC-Syndrom
- Nager-Syndrom
- Raine-Syndrom
- Schinzel-Giedion-Syndrom
Ursache
Die Choanen entstehen zwischen der dritten und siebten Embryonalwoche als Öffnung zwischen Nasenraum und Rachenraum, indem die membrana oro-nasalis, eine Epithelduplikatur zwischen Riechgrube und Mundhöhlendach, einreißt. Tritt zu diesem Zeitpunkt während der Embryonalentwicklung eine Störung auf, reißt die oro-nasale oder bucconasale Membran gar nicht oder nur unvollständig ein, was einen unvollständigen (Stenose) oder vollständigen Verschluss (Atresie) zur Folge hat. Der knöcherne Verschluss entsteht durch eine versprengte Knochenbildung aus dem mittleren Keimblatt.
Symptome
Bei der beidseitigen Choanalatresie besteht beim Neugeborenen eine fehlende Nasenatmung und Atemnot beim Trinken, sodass eine Nahrungsaufnahme stark behindert oder unmöglich ist. Die Atemstörung kann bis zum Aussetzen der Atmung führen und dadurch das Leben des Neugeborenen bedrohen. Das Neugeborene ist zyanotisch, sein Herzschlag wird langsamer und es erbricht. Da die Zyanose unter Anstrengung (Schreien) weniger ausgeprägt ist als in Ruhe (wegen der dabei ablaufenden Mundatmung), wird auch von einer paradoxen Zyanose gesprochen. Säuglinge sind durch einen physiologischen Kehlkopfhochstand bis etwa zur sechsten Lebenswoche Nasenatmer und können nur erschwert durch den Mund atmen.
Ein einseitiger Choanenverschluss macht sich oft erst im Laufe der Zeit bemerkbar, auf der betroffenen Seite tritt zäher, eitriger Schleim aus der Nasenöffnung. Die Nasenmuscheln sind livide verfärbt.
Diagnostik
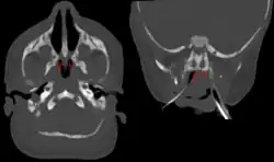
Bei Verdacht auf eine Choanalatresie kann mit einem weichen Katheter die Durchgängigkeit zum Rachenraum geprüft werden. Dem gleichen Zweck dient eine Lufteinblasung mit einem Ballon. Weitere diagnostische Schritte sind die Untersuchung mit dem Nasenspekulum und die Nasenendoskopie. Je nach Klärungsbedarf sind ein CT oder ein MRT einzusetzen. Choanalatresien treten zu 10 % bis 50 % mit anderen Missbildungen auf.
Therapie
Der beidseitige Choanalverschluss ist ein Notfall. Leichte membranöse Verschlüsse können manchmal mit dem Nasenkatheter durchstoßen werden. Über einen Endotrachealtubus muss die Atmung gesichert und über eine Sonde die Ernährung gewährleistet werden. Eine Hinzuziehung des Chirurgen ist sofort notwendig. Die Perforation der Atresieplatte mit Einsetzen eines Platzhalters zur Vermeidung eines Wiederverschlusses soll in den ersten Lebenstagen erfolgen. Die definitive Operation kann anschließend innerhalb der ersten Lebenswochen bis Lebensmonaten erfolgen. Es gibt operativ zwei Zugangswege, der eine ist durch die Nase, der andere vom Rachenraum aus. Notwendig sind nach der Operation Schienungen und Maßnahmen zum Freihalten der Atemwege durch die Eltern. Wegen der Gefahr von Schluckstörungen ist eine Langzeitbetreuung erforderlich. Beim einseitigen Choanalverschluss kann die Operation im Schulkindalter erfolgen.
Literatur
- Helmut Patzer, Peter Großmann, Wolfgang Braun (Hrsg.): Pädiatrie. 2. Auflage. Verlag Volk und Gesundheit, Berlin 1981, S. 93.
- Wolfgang Plenert: Praktische pädiatrische Therapie. Verlag VEB Georg Thieme, Leipzig 1988, S. 20.
- Waldemar Ch. Hecker (Hrsg.): Elementare Kinderchirurgie. Urban & Schwarzenberg, München 1975, ISBN 3-541-07301-2, S. 138, 141.
- Rudolf Probst, Gerhard Grevers, Heinrich Iro: Hals-Nasen-Ohren-Heilkunde. Georg Thieme Verlag, Stuttgart 2000, ISBN 3-13-119031-0, S. 28.
Weblinks
Einzelnachweise
- ↑ Bernfried Leiber (Begründer): Die klinischen Syndrome. Syndrome, Sequenzen und Symptomenkomplexe. Hrsg.: G. Burg, J. Kunze, D. Pongratz, P. G. Scheurlen, A. Schinzel, J. Spranger. 7., völlig neu bearb. Auflage. Band 2: Symptome. Urban & Schwarzenberg, München u. a. 1990, ISBN 3-541-01727-9.
- ↑ Eintrag zu Arrhinie-Choanalatresie-Mikrophthalmie-Syndrom. In: Orphanet (Datenbank für seltene Krankheiten)