François Chopart
François Chopart (* 30. Oktober 1743 in Paris; † 9. Juni 1795 ebenda) war ein französischer Chirurg und Physiologe.
Leben
Er war der Sohn von François Turlure und Marie-Anne Chopart, deren Namen er annahm und sein Leben lang benutzte. Seine medizinische Ausbildung erhielt er in seiner Geburtsstadt Paris am Hôtel-Dieu unter Jean-Nicolas Moreau († 1786) sowie am Pitié und am Bicêtre. 1767 erhielt er einen Preis der Akademie für Chirurgie für seine Abhandlung Essai sur les loupes. 1768 erhielt er einen Preis für die Abhandlung Memoire sur les lésions de la tête, par contre-coup. Dies war auch das Thema seiner Dissertation zum Titel Maître de chirurgie (Magister der Chirurgie), den er am 20. Juli 1770 erwarb. Im folgenden Jahr wurde er zum Professor für praktische Chirurgie an der École pratique ernannt.
Im Jahr 1779 hatte Chopart mit seinem Freund Desault die Schrift Traité des maladies chirurgicales et des opérations herausgegeben. Aufgrund verschiedener Mängel ließ Desault jedoch alle erhältlichen Exemplare aufkaufen und verbrennen.[1]
Am 13. März 1782 folgte er Toussaint Bordenave (1728–1782) auf dem Lehrstuhl für Physiologie nach.
Chopart war Mitglied der Académie royale de chirurgie. Im Jahr 1785 hielt Chopart, wie andere bedeutende Mediziner seiner Zeit, für die Schüler der alle Wundärzte unentgeltlich unterrichtenden Ecole de chirurgie wie Antoine Louis Vorlesung im Fach Physiologie in einem Pariser Amphitheater, das über 1000 Zuhörer fasste.[2]
Chopart reiste zweimal nach London: Einmal zur Begleitung eines Patienten, das zweite Mal während seiner Ausbildung zum Studium der Chirurgie in England. Während dieser Besuche in England freundete er sich mit John Hunter (1728–1793) an, und die beiden Mediziner begannen eine fruchtbare Korrespondenz.
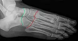
Früh gealtert und kränklich verfasste Chopart eine große Abhandlung über Krankheiten der Harnwege und beschrieb eine von ihm 1791 durchgeführte und nach ihm benannte Methode der teilweisen Fußamputation mit Exartikulation im Fußwurzelgelenk, die zuvor von Huguet von Abbeville 1746 als Möglichkeit nachgewiesen wurde, von Lorenz Heister angedeutet und 1780 von Johann Nepomuk Hunczovsky erstmals bei du Vivier in Rochefort an einem achtjährigen Jungen ausgeführt wurde. Sein treuester Freund war sein Lehrer Desault, ebenfalls Mitglied der Académie royale de chirurgie in Paris, der kurz vor ihm starb. Die Behandlung des kranken Desault erfolgte durch Chopart und Corvisart.[3]
François Chopart starb 1795 im Zuge einer Cholera-Epidemie. Seine Nachfolger an der Pariser Schule wurden Pierre Lassus und Pierre-François Percy.[4]
Nachwirkung

Nach ihm ist die Chopart-Linie (Articulatio tarsi transversa) am Fuß-Skelett benannt, entlang der eine Fußamputation möglich ist.
Schriften (Auswahl)
- Beiträge in August Gottlieb Richter (Hrsg.): Chirurgische Bibliothek. 15 Bände. Dieterich, Göttingen 1771–1797.
Literatur
- Georg Fischer: Chirurgie vor 100 Jahren. Historische Studie. [Gewidmet der Deutschen Gesellschaft für Chirurgie]. Verlag von F. C. W. Vogel, Leipzig 1876; Neudruck mit dem Untertitel Historische Studie über das 18. Jahrhundert aus dem Jahre 1876 und mit einem Vorwort von Rolf Winau: Springer-Verlag, Berlin / Heidelberg / New York 1978, ISBN 3-540-08751-6, S. 137, 139, 197, 253, 271, 520, 579 und öfter.
- Barbara I. Tshisuaka: Chopart, François. In: Werner E. Gerabek, Bernhard D. Haage, Gundolf Keil, Wolfgang Wegner (Hrsg.): Enzyklopädie Medizingeschichte. Walter de Gruyter, Berlin und New York 2005, ISBN 3-11-015714-4, S. 259.
- Jörn Henning Wolf: François Chopart (1743–1795) – Erfinder der partiellen Fußamputation in der Articulatio tarsi transversa. In: Operative Orthopädie und Traumatologie. Band 12, Nr. 4, Dezember 2000, S. 341–344.
Weblinks
- Ole Daniel Enersen: François Chopart ( vom 16. Mai 2025 im Internet Archive) bei whonamedit.com
Einzelnachweise
- ↑ Georg Fischer: Chirurgie vor 100 Jahren. Historische Studie. [Gewidmet der Deutschen Gesellschaft für Chirurgie]. Verlag von F. C. W. Vogel, Leipzig 1876; Neudruck mit dem Untertitel Historische Studie über das 18. Jahrhundert aus dem Jahre 1876 und mit einem Vorwort von Rolf Winau: Springer-Verlag, Berlin / Heidelberg / New York 1978, ISBN 3-540-08751-6, S. 267.
- ↑ Georg Fischer: Chirurgie vor 100 Jahren. Historische Studie. 1876, S. 137 und 253.
- ↑ Georg Fischer: Chirurgie vor 100 Jahren. Historische Studie. 1876, S. 253, 267, 269, 271 und 578–579.
- ↑ Georg Fischer: Chirurgie vor 100 Jahren. Historische Studie. 1876, S. 139.