Dermoidzyste

Klassifikation nach ICD-10
D27 Gutartige Neubildung des Ovars
D31.9 Gutartige Neubildung des Auges und der Augenanhangsgebilde
D36.9 Gutartige Neubildung an nicht näher bezeichneter Lokalisation
{{{04-BEZEICHNUNG}}}
{{{05-BEZEICHNUNG}}}
{{{06-BEZEICHNUNG}}}
{{{07-BEZEICHNUNG}}}
{{{08-BEZEICHNUNG}}}
{{{09-BEZEICHNUNG}}}
{{{10-BEZEICHNUNG}}}
{{{11-BEZEICHNUNG}}}
{{{12-BEZEICHNUNG}}}
{{{13-BEZEICHNUNG}}}
{{{14-BEZEICHNUNG}}}
{{{15-BEZEICHNUNG}}}
{{{16-BEZEICHNUNG}}}
{{{17-BEZEICHNUNG}}}
{{{18-BEZEICHNUNG}}}
{{{19-BEZEICHNUNG}}}
{{{20-BEZEICHNUNG}}}
Vorlage:Infobox ICD/Wartung {{{21BEZEICHNUNG}}}
ICD-10 online (WHO-Version 2019)
Klassifikation nach ICD-11
2C73.Y Sonstige näher bezeichnete bösartige Neubildungen des Ovars
2F32.Y Sonstige näher bezeichnete gutartige Neubildung des Ovars
2F36.4 Zysten des Augenlids
LC40 Dermoidzyste
ICD-11: EnglischDeutsch (Entwurf)
Gewebe mit Zähnen, Haut und Haaren aus einem Teratom des Eierstocks.
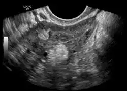
Dermoidzyste im transvaginalen Ultraschall

Die Dermoidzyste (früher auch Dermoidgeschwulst[1], im Volksmund auch fälschlich Zwilling[2] oder Zwillingsgewächs[3]) ist ein Hohlraum, der von Oberhautgewebe ausgekleidet ist. Die Dermoidzyste gehört zu den Teratomen.

Eine Dermoidzyste ist ein Keimzelltumor, ein reifes Teratom, das aus vollkommen verschiedenen Gewebearten besteht. Daher kann es innerhalb der Zyste zur Ausbildung von Gewebestrukturen wie Muskulatur, Knorpel, kleinen Knochen, Haaren und auch völlig ausgebildeten Zähnen kommen.

Vorkommen

Obwohl Dermoidzysten überall auftreten können, sind nachstehende Vorkommen vergleichsweise häufig:

Eierstock

Im Gegensatz zu den Zysten, die während des weiblichen Regelzyklus entstehen und sich zumeist von selbst zurückbilden, ist die Dermoidzyste eine embryonale Fehlentwicklung.

Bei großen Dermoidzysten steigt das Risiko einer Stieldrehung (Torsion). Bei einer derartigen Komplikation sowie bei einer Einblutung wird eine operative Entfernung, meist durch Laparoskopie, erforderlich.[4][5]

Ultraschallbild einer supraorbitalen Dermoidzyste bei einem 9 Monate alten Kind, "eingegrabene" Konfiguration mit teilzerstörter äußerer Knochenlamelle gut erkennbar

Periorbitale Dermoidzyste

Eine Dermoidzyste kann sich auch im Kopfbereich (Nichtodontogene Zysten) ausbilden.

Zusammen mit den Epidermoidzysten stellen Dermoidzysten etwa 20 Prozent der Raumforderungen am knöchernen Schädel. In der Regel treten sie bereits bei Säuglingen und Kleinkindern in Erscheinung als umschriebene, anfangs verschieblich, dann nicht mehr verschiebliche glatt begrenzte Knotenbildung typischerweise in Augenbrauenhöhe im Bereich der gesamten Schädelkonvexität.[6]

Differentialdiagnostisch ist bei Lokalisation in Nähe der Nasenwurzel an eine Enzephalozele zu denken.

Spinale Dermoidzyste

Im Rahmen des Neuralrohrverschlusses können sich auch an der Wirbelsäule, meist lumbal, Dermoidzysten ausbilden. Sie gelten als sehr selten.[7][8]

Hoden

Ein Auftreten in den männlichen Hoden weist eine hohe Entartungswahrscheinlichkeit auf.

Literatur

  • Ursus-Nikolaus Riede (Hrsg.): Allgemeine und spezielle Pathologie. Thieme, Stuttgart, ISBN 3-13-683305-8.
  • Mark K. Huntington, Robert Kruger, David W. Ohrt: Large, Complex, Benign Cystic Teratoma in an Adolescent. In: J Am Board Fam Pract. Band 15, Nr. 2, 2002, S. 164–167. (online, PDF, 371 kB)
  • M. Bettex, N. Genton, M. Stockmann (Hrsg.): Kinderchirurgie. Diagnostik, Indikation, Therapie, Prognose. 2. Auflage. Thieme, Stuttgart 1982, ISBN 3-642-11330-3.

Einzelnachweise

  1. G. Himmelfarb: Zur Kasuistik der Dermoidgeschwülste des Eierstockes. Dermoidcarcinoma ovarii dextri et Dermoid ovarii sinistri. In: Centralblatt für Gynäkologie. Band 10, Nr. 35, 28. August 1886, S. 569–571-
  2. Doch kein Zwilling - Häufige Diagnose Dermoidzyste bei jungen Frauen, auf ordensklinikum.at, abgerufen am 15. März 2022.
  3. "Zwillingsgewächs": Häufige Diagnose bei jungen Frauen, auf nachrichten.at, abgerufen am 15. März 2022.
  4. "Cyst Management"http://onlinelibrary.wiley.com/doi/10.1002/uog.7610/full#bib2
  5. "Dermoid Cyst of the Ovary Defined" http://www.medterms.com/script/main/art.asp?articlekey=2960
  6. Springer Medizin (Memento vom 22. Oktober 2013 im Internet Archive)
  7. Najjar et al. (2005) Dorsal Intramedullary Dermoids. Neurosurgery Review. 28:320-325
  8. Aalst et al. (2009) Intraspinal Dermoid and Epidermoid Tumours: Reports of 18 Cases ad Reapproasal of the Literature. Pediatric Neurosurgery. 45:281-290