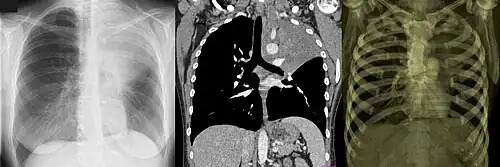
Digital rekonstruiertes Röntgenbild
Digital rekonstruierte Röntgenbilder (Abk.: DRR) werden im Rahmen einer modernen Strahlentherapie angefertigt. Sie ähneln normalen Röntgenbildern, stammen aber aus den Bilddaten einer Computertomographie. Im Computer wird eine virtuelle Sicht auf den dreidimensionalen Datensatz z. B. des Brustkorbes errechnet, wobei die Voxel eine dichteabhängige Transparenz erhalten. Das Ergebnis ist ein Summationsbild aller in Blickrichtung gelegenen Strukturen. Häufigster Zweck ist die Darstellung eines Strahlenfeldes aus Sicht der Strahlenquelle, das z. B. mit dem Simulatorbild verglichen werden kann.

Erzeugung
Aus dem CT-Datenset wird ein Bild mit der gleichen geometrischen Perspektive der Strahlung vom Bestrahlungsgerät erzeugt. Das Bild entsteht durch eine Voxelsummation entlang des sich vom Fokus zur Bildebene ausbreitenden divergenten Strahlenbündels. Es wird eine Mittelung von jeweils acht benachbarten Voxeln an jedem Knoten (trilineare Interpolation) durchgeführt.
Vorteil
- Radiographien non-coplanarer Felder sind möglich.
Nachteil
- geringere Ortsauflösung (1 Linienpaar pro mm) gegenüber dem Film (2 Linienpaare pro mm)
- Entstehung von Bewegungsartefakten
Verschiedenen Darstellungsmöglichkeiten
- Kontrasterzeugung zwischen Weichteilgewebe und Knochen
- Kontrasterzeugung zwischen Weichteilgewebe und Lunge
- MIP (Maximumintensitätsprojektion)
- gleiche Gewichtung aller Dichtewerte
Literatur
- E. Richter, T. Feyerabend: Grundlagen der Strahlentherapie. Springer-Verlag, ISBN 3-540-58230-4