Dyshidrosis
| Klassifikation nach ICD-10 | |
|---|---|
| L30.1 | Dyshidrosis (Pompholyx) |
| ICD-10 online (WHO-Version 2019) | |
Die Dyshidrosis (syn. Dyshidrose, dyshidrotisches Ekzem, dyshidrosiformes Ekzem, Pompholyx oder atopisches Palmoplantarekzem) ist ein Krankheitsbild der Haut. Es äußert sich in Form von kleinen, fast immer juckenden Bläschen an den Fingerseitenflächen, Handflächen und Fußsohlen (Podopompholyx).
Etymologie
Der Name Dyshidrosis hat historische Gründe. Entgegen früheren Annahmen besteht allerdings kein Zusammenhang zwischen diesen Hautveränderungen und der Funktion der Schweißdrüsen (griechisch δυσ-, dys- = „miss-, schlecht-, übel-“; griechisch ἱδρώς (hidrós) = „Schweiß“).
Nach Ludwig August Kraus (1844) bedeutet das altgriechische Wort ἡ πομφολυξ e pompholyx so viel wie Pemphix oder Pemphigus „und bloss [die] erweiterte und breitere Form davon. Die Bedeutung unreines Zinkoxyd (sogenanntes Nihilum album, Tutia und so weiter) entstand aus der Beobachtung, dass die leichten Metalloxyde, die beim Schmelzen metallischer Massen entstehen oder ausgeschieden werden, sich gleichsam wie Blasen auf die Oberfläche der geschmolzenen Masse werfen.“[1]
Ursache und Krankheitsentstehung
Eine klare Entstehungsursache für das dyshidrotische Ekzem konnte bisher noch nicht ausgemacht werden. Die Dyshidrosis tritt aber sehr häufig bei Atopikern und in Verbindung mit Kontaktallergien oder Unverträglichkeiten von Medikamenten sowie bei Pilzinfektionen auf. Außerdem kann chronische Hautschädigung zum Beispiel durch alkalische Seifen oder Putzmittel das Auftreten eines dyshidrosiformen Ekzems begünstigen. Auch die Exposition der Haut mit Schwermetallsalzen (z. B. Chrom-, Nickel- und Kobaltsalze) kann ein Auslöser sein. Als Cofaktor werden Stresssituationen diskutiert.[2] Die Dyshidrosis kann auch als unerwünschte Nebenwirkung von blutdrucksenkenden Mitteln, wie zum Beispiel ACE-Hemmern, auftreten.
Klinische Erscheinungen
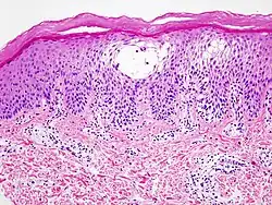
Die Symptome treten überwiegend an den Handflächen, Fingerseitenflächen und Fußsohlen auf. An den betroffenen Hautarealen finden sich kleine, wasserklare und meist stark juckende Bläschen. Bei einer histologischen Untersuchung des Gewebes zeigen sich schwammartige (spongiotische) Bläschen innerhalb der Oberhaut (Epidermis). Die betroffene Haut ist meist gerötet. Die Hautveränderungen können schubweise auftreten oder sich über längere Zeit hinziehen. Die Bläschen können aufplatzen und beginnen dann zu nässen, wobei es zu Infektionen kommen kann. Bei der Abheilung schuppt sich die Haut. Bei längerer Erkrankungsdauer verhornen die betroffenen Hautstellen und es bilden sich blutende Rissstellen (Rhagaden).
Varianten
Dyshidrosis lamellosa sicca
Bei nur geringfügigen Hautveränderungen trocknen die Bläschen ohne Entzündungszeichen rasch wieder ein. Dabei entstehen charakteristische, kreisrunde und trockene Hohlräume in der Hornschicht, die dann halskrausenartig abschuppen. Diese Variante tritt häufig bei Vorliegen einer Atopie auf.
Cheiropompholyx und Podopompholyx
An den Hand- (Cheiropompholyx) oder Fußflächen (Podopompholyx) treten bis zu kirschkerngroße Blasen auf, die sich miteinander vereinigen. Als Komplikation können bakterielle und mykotische Sekundärinfektionen auftreten.
Behandlung
Die Behandlung sollte sich nach der Ursache der Hautveränderung richten. Daher ist gegebenenfalls eine Behandlung der Grunderkrankung notwendig. Zu vermeiden sind häufiges (z. B. berufsbedingtes) Waschen oder Desinfizieren der Hände. Das Tragen insbesondere von enganliegenden Handschuhen (bspw. Latex oder Non-Latex, Gummi, PVC) wirkt sich ebenfalls negativ aus, wird aber mitunter dennoch empfohlen, wenn dadurch der Kontakt bspw. mit Seifen, Kälte oder Hitze vermieden wird. Von Bedeutung ist dabei auch die Tragedauer. Ein weiterer Rat lautet, unter wasserabweisenden Handschuhen zusätzlich solche aus einem hautfreundlicheren Material wie etwa Baumwolle zu tragen.[3] Rezidivschübe können zur Arbeitsunfähigkeit führen.[4][5]
Zur akuten Behandlung ist eine kurzfristige äußerliche Anwendung von Glukokortikoiden als Lotion oder Creme über wenige Tage meist am effektivsten. Gegebenenfalls kann ergänzend eine Zink-Schüttelmixtur zum Abdecken verwendet werden. Zur Austrocknung der Bläschen können äußerlich Gerbstoffpräparate (z. B. als Badezusatz) hilfreich sein. Ein neuerer Ansatz bei der Behandlung ist die orale Gabe des Vitamin-A-Derivates Alitretinoin (9-cis-Retinsäure). Entsprechende Medikamente können insbesondere für Patienten, die nicht auf die lokale Behandlung mit stark wirksamen Kortikosteroiden ansprechen, eine Alternative darstellen.[4][5] Weitere Optionen könnten eine PUVA-Therapie sowie ein Antihistaminikum gegen den Juckreiz sein.
Literatur
- Otto Braun-Falco, Gerd Plewig, Helmut H. Wolff: Dermatologie und Venerologie. Springer, Berlin 2005, ISBN 3-540-43556-5, S. 396–398.
- Peter Fritsch: Dermatologie & Venerologie, Grundlagen, Klinik, Atlas. 2. Auflage. Springer Verlag, Berlin 2004, ISBN 3-540-00332-0.
- Hans Joachim Schwanitz: Das atopische Palmoplantarekzem. Springer Verlag, Berlin / Heidelberg 1986, ISBN 3-540-15899-5.
Weblinks
- Patientenmerkblatt: Was ist das dyshidrotische Ekzem? Klinik für Dermatologie, Venerologie und Allergologie der Ruhr-Universität Bochum
- Informationen zur Krankheit bei DermIS
- Ekzem, dyshidrotisches in HONselect
- Dyshidrosis bei Mayo Clinic (engl.)
Einzelnachweise
- ↑ Ludwig August Kraus: Kritisch-etymologisches medicinisches Lexikon. 3. Auflage. Verlag der Deuerlich- und Dieterichschen Buchhandlung, Göttingen 1844, S. 833; archive.org.
- ↑ Mayo-Clinic: Dyshidrosis risk factors
- ↑ Eczema Types: Dyshidrotic Eczema Self-Care, American Academy of Dermatology Association.
- ↑ a b T. Ruzicka, C. W. Lynde, G. B. Jemec, T. Diepgen, J. Berth-Jones, P. J. Coenraads, A. Kaszuba, R. Bissonnette, E. Varjonen, P. Holló, F. Cambazard, M. Lahfa, P. Elsner, F. Nyberg, A. Svensson, T. C. Brown, M. Harsch, J. Maares: Efficacy and safety of oral alitretinoin (9-cis retinoic acid) in patients with severe chronic hand eczema refractory to topical corticosteroids: results of a randomized, double-blind, placebo-controlled, multicentre trial. In: Br J Dermatol. 158(4), 2008 Apr, S. 808–817. Epub 2008 Feb 21
- ↑ a b W. Bollag, F. Ott: Successful treatment of chronic hand eczema with oral 9-cis-retinoic acid. In: Dermatology. 199(4), 1999, S. 308–312.