Zwillinge

Zwillinge (William Adolphe Bouguereau: Caritas, 1859)

Zwillinge (lateinisch gemini) sind zwei Kinder einer Mutter, die in derselben Schwangerschaft herangewachsen sind und meistens auch im gleichen Geburtsvorgang zur Welt kommen.[1][2][3][4]

Bei der seltenen Überschwängerung wachsen ebenfalls zwei oder mehr Kinder intrauterin gemeinsam heran. In der Zwillingsforschung werden Paare zweieiiger (dizygotischer) und eineiiger (monozygotischer) Zwillinge verglichen.

Wortherkunft

Das neuhochdeutsche Wort Zwilling geht über mittelhochdeutsch zwillinc, zwin(e)linc auf althochdeutsch zwiniling zurück, das zu dem althochdeutschen Adjektiv zwinal „doppelt, zweifach, zugleich geboren“[5] gebildet wurde, einer Ableitung zu einem Vorgänger des Zahlwortes zwei. Dies legt für Zwilling die Ausgangsbedeutung „Zweiling“ nahe.[6]

Formen der Zwillingsbildung

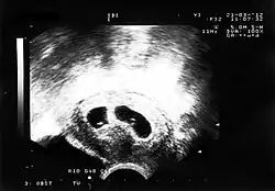
Sonogramm eineiiger menschlicher Zwillinge (4. Woche p.c.) – es zeigt dichoriale Zwillinge, die weder Chorion noch Amnion gemeinsam haben.

Die beiden bekanntesten Formen der Zwillingsentstehung sind:

Eineiige Zwillinge (monozygotisch)
Die befruchtete Eizelle (Zygote) teilt sich im Verlauf der Entwicklung, die aus der Teilung hervorgegangenen Zellen ebenfalls und so fort. Kommt es in einem sehr frühen Entwicklungsstadium zu einer Auftrennung in zwei Zellpopulationen, so können zwei Embryonalanlagen entstehen. Beide sind dann aus einer einzigen befruchteten Eizelle hervorgegangen monozygotisch mit demselben Erbgut und somit denselben Erbanlagen. Abhängig vom Zeitpunkt der Trennung entstehen Zwillingsformen mit getrennten oder gemeinsamen Eihäuten von Chorion bzw. Amnion.
Zweieiige Zwillinge (dizygotisch)
Innerhalb eines Zyklus sind zwei Eizellen gereift und je von einem anderen Spermium befruchtet worden. Aus den zwei Zygoten entstehen dizygotisch Zwillinge mit verschiedenem Erbgut und jeweils eigenem Chorion und Amnion.

Drei weitere, überaus seltene Möglichkeiten der Entstehung von Zwillingen sind:

Polkörperchenzwillinge
Polkörperchen entstehen bei der Reifeteilung des Eies im Eileiter, haben normalerweise keinen Zellleib und werden von der Gebärmutter abgestoßen. Ausnahmsweise können Polkörperchen einen kleinen Zellleib behalten, der dann neben dem reifen Ei auch von Spermien befruchtet werden kann. Diese Zwillinge sind sich meistens nicht ähnlicher als normale zweieiige Zwillinge, da die Polkörperchen durch Meiose entstanden sind und zwei der Polkörperchen sich bezüglich des Erbgutes von der Eizelle unterscheiden, das dritte ist hingegen identisch.
Zwillinge aus einer zweikernigen Eizelle
In seltenen Fällen verfügt eine Eizelle über zwei Zellkerne. In einem solchen Fall können beide Kerne von Spermien befruchtet werden. Solche Zwillinge haben daher mütterlicherseits dieselben Erbanlagen, unterscheiden sich aber in den vom Vater geerbten Anlagen. Deswegen wird diese Form nicht zu den klassischen eineiigen Zwillingen gezählt.
Sesquizygotische Zwillinge
Diese Möglichkeit wurde bisher (Stand 2019) weltweit erst zweimal beobachtet. Zwei Spermien dringen dabei in dieselbe Eizelle ein. Es bilden sich drei Zellen: Für den Fall, dass ein X- und ein Y-Spermium eindringen, entstehen eine XX-Zelle (weiblich) aus dem Genmaterial der Eizelle und des X-Spermiums, eine XY-Zelle (männlich) aus der Eizelle und dem Y-Spermium, außerdem entsteht eine XY-Zelle, die nur väterliches Erbgut enthält. Während letztere Zelle abstirbt, teilen sich die beiden anderen Zellen und vermehren sich. Irgendwann teilt sich der Zellhaufen in zwei mit jeweils unterschiedlichen Anteilen an XX bzw. XY-Zellen, aus denen sich dann zwei Zwillinge entwickeln. Aus diesem Grunde können die Zwillinge intersexuelle Merkmale aufweisen.[7]

Formen eineiiger Zwillinge

Eineiige Zwillinge (die Carlsons)

Ursache für die verschiedenen Entwicklungen von eineiigen Zwillingen ist die Spezialisierung der Zellen in den ersten Tagen nach der Befruchtung. Sind die Zellen in den ersten drei Tagen noch gleich, so spezialisieren sie sich danach: Einige bilden den ernährenden Teil (Trophoblast, bildet die Plazenta), die anderen den embryonalen Teil (Embryoblast). Bei dieser Spezialisierung wird die äußere Eihaut (Chorion) gebildet, einige Tage später entsteht die innere Eihaut (Amnion). Diese Eihäute können nicht nachträglich aufgeteilt werden. Je nachdem, ob die Trennung in zwei Keimanlagen vor oder nach der Bildung der äußeren Eihaut abgeschlossen war, besitzt jeder Embryo sein eigenes Chorion (dichoriale Zwillinge) oder beide Zwillingsembryonen befinden sich im gemeinsamen Chorion. Entsprechendes gilt für die innere Eihaut.

Aufteilung des Keimes bis zum 3. Tag nach der Befruchtung (dichoriale Zwillinge)
Es findet eine vollständige Teilung statt. Beide Teile des Keimes nisten sich unabhängig voneinander in der Gebärmutter ein. Es entstehen zwei Plazenten und zwei Fruchtblasen.
Aufteilung zwischen dem 3. und 7. Tag nach der Befruchtung (monochorial-diamniote Zwillinge)
Es findet eine vollständige Teilung des embryonalen Anteils statt, jedoch nicht mehr des ernährenden Anteils. Die beiden Embryonen nisten sich gemeinsam in der Gebärmutter ein und es entstehen zwei Fruchtblasen. Die Kinder werden aber von einer gemeinsamen Plazenta versorgt, wodurch das Risiko eines fetofetalen Transfusionssyndroms besteht.
Aufteilung nach dem 9. Tag nach der Befruchtung (monochorial-monoamniote Zwillinge)
Die beiden Embryonen teilen sich die Plazenta und die Fruchtblase. Findet die Aufteilung erst nach dem 13. Tag nach der Befruchtung statt, kann die Teilung häufig nicht mehr vollständig erfolgen; es kommt so zur Bildung siamesischer Zwillinge.[8]
Unterschiedliche Geschlechter
In seltenen Fällen zeigen eineiige Zwillinge verschiedene Geschlechter. Aus einer befruchteten Eizelle mit den Geschlechtschromosomen XY kann bei den nachfolgenden Furchungsteilungen eine Zelle mit einem Zellkern entstehen, der kein Y-Chromosom erhalten hat. Dieser Chromosomenverlust einer Stammzelle beruht auf einer fehlerhaften Mitose. Ein Zwilling ohne Y-Chromosom entwickelt sich zum Mädchen, das unter den Folgen des Turner-Syndroms leiden kann.

Formen zweieiiger Zwillinge

Zwei befruchtete menschliche Eizellen

Zweieiige Zwillinge entstehen, wenn innerhalb eines Zyklus zwei Eizellen reifen und befruchtet werden. Daher können zweieiige Zwillinge auch von unterschiedlichem Geschlecht sein. Diese müssen nicht im selben Geschlechtsakt befruchtet werden. Die beiden Eisprünge müssen nicht zwangsläufig gleichzeitig erfolgen, sie geschehen jedoch meist innerhalb von rund 24 Stunden, da sich danach die hormonelle Situation der Frau so verändert, dass kein weiterer Eisprung möglich ist.

Durch den zeitlichen Abstand zwischen den beiden Eisprüngen besteht die Möglichkeit, dass die Eizellen von zwei unterschiedlichen Vätern befruchtet werden.[9] Schon in der griechischen Mythologie gibt es mit den beiden Dioskuren Castor und Pollux ein Beispiel für solche „Halbzwillinge“.[10]

Im Gegensatz zu eineiigen Zwillingen ist bei zweieiigen Zwillingen eine familiäre Häufung nachgewiesen. Die Neigung zu Zwillingsgeburten wird mütterlicherseits vererbt: Die Wahrscheinlichkeit von Zwillingsgeburten ist bei Schwestern von Zwillingsmüttern mehr als verdoppelt. Neben Stammbaumanalysen belegen auch die Populationsunterschiede eine genetische Komponente.[11][12]

Häufigkeit von Zwillingsgeburten bei Menschen

Zwei eineiige Zwillingspaare:
Die Handballschiedsrichter Bernd und Reiner Methe (links) und Andreas und Marcus Pritschow (rechts).

Weltweit ist im Schnitt jede 40. Geburt eine Zwillingsgeburt. Hierbei gibt es jedoch regionale Unterschiede: Bei den Yoruba ist es zum Beispiel jede 20. Geburt, in Japan nur jede 100. In Europa wurde eine deutliche Häufigkeitsabnahme von Norden nach Süden nachgewiesen. In Deutschland brachte 2006 eine von 64 Schwangeren Zwillinge zur Welt.[13][14] Die Zahl der Zwillingsgeburten steigt aufgrund von Hormonbehandlung und künstlicher Befruchtung stetig an. Beispielsweise stieg in Andalusien die Zahl der Zwillingsgeburten von 10,9 pro 1000 Geburten im Jahr 2000 auf 16,2 pro 1000 Geburten im Jahr 2009 an.[15]

2015 gab es in Österreich laut Statistik Austria 1.292[16] Zwillingsgeburten, in Deutschland waren es 2006 laut Statistischem Bundesamt 10.538,[13] von insgesamt 673.000 Geburten[17] und in der Schweiz kam es nach dem Bundesamt für Statistik zu 1.208 Zwillingsgeburten im Jahr 2007.[18] Das bedeutete für Deutschland im Jahr 2006, dass eine Schwangere mit der Wahrscheinlichkeit von 1,57 % Zwillinge erwartete, die Chance in Österreich 2015 lag bei 1,53 %.

Die Verteilung der Geburtenraten eineiiger zu zweieiigen Zwillingen verändert sich signifikant nach Jahr und Region zwischen 1:4 bis 1:1. Die Geburtenrate eineiiger Zwillinge erweist sich über die Jahre und Regionen als nahezu konstant. In den reichen Ländern nehmen zweieiige Mehrlingsgeburten in den letzten Jahren zu. Wichtigste Ursache der Zunahme liegen im steigenden Lebensalter der Gebärenden und den Fertilitätsbehandlungen.[19]

Mütter von Zwillingen

Analysen von Daten aus dem 19. Jahrhundert aus Utah von einmal verheirateten Frauen aus monogamen Ehen, die mindestens das 50. Lebensjahr erreicht haben, lassen den Schluss zu, dass die knapp acht Prozent Mütter von Zwillingen grundsätzlich eine bessere Konstitution haben. Für die vor 1870 geborenen Zwillingsmütter war das Sterberisiko um 7,6 % geringer, für die zwischen 1870 und 1899 geborenen um 3,3 %. Im Laufe des Lebens bekamen sie auch mehr Einlingskinder, die Zeit zwischen zwei Geburten war um durchschnittlich zwei Wochen kürzer, die Spanne zwischen erster und letzter Geburt war um einige Monate länger, und der Zeitpunkt der letzten Niederkunft war im Schnitt später.[20] Große Frauen in gutem Ernährungszustand haben eine um 25 bis 30 Prozent erhöhte Wahrscheinlichkeit Zwillinge zu bekommen.[21]

Obwohl bei älteren Frauen die Fruchtbarkeit abnimmt, bekommen diese deutlich öfter mehreiige Zwillinge oder Mehrlinge. Nach einer 2006 in den Niederlanden veröffentlichten Studie könnte die Ursache in der Mehrproduktion eines Hormons liegen, welches die Eizellreifung auslöst. Dies ist möglicherweise der Grund für häufigere, doppelte Eisprünge innerhalb eines Zyklus.[20]

Anschauungen über Zwillinge in der Antike

Zeugungstheorien

In der griechisch-römischen Antike kursierten mehrere Zeugungstheorien für Zwillinge. Die ältesten Ansichten zu Zwillingsgeburten findet man in mythologischen Berichten. Besondere Aufmerksamkeit findet dort die Vaterschaft. Ursachen für Zwillingsgeburten sind zum einen das besondere Eingreifen eines Gottes (Gottvaterschaft), zum anderen eine gewisse doppelte Vaterschaft: Es werden entweder eine Gottheit und ein Sterblicher oder zwei sterbliche Menschen als Väter angenommen. Seltener findet man die Zuschreibung der Zwillinge an einen einzigen sterblichen Vater.

Empedokles (Frg. A 81 Die Fragmente der Vorsokratiker I, 300, Z. 10. 15) bietet wohl den ältesten naturwissenschaftlich-medizinischen Erklärungsversuch für Zwillingsgeburten: Zwillinge gehen bei einem einzigen Koitus durch die Teilung von übermäßiger Samenflüssigkeit hervor. Demokrit (Frg. A 151 Diels-Kranz II, 125, Z. 21–25) bringt auch die Beschaffenheit der Gebärmutter mit ins Spiel. Hippokrates (De natura pueri 31; De victu 30) kombiniert beide Theorien. Die von ihm offen gelassene Frage, wie viele Geschlechtsakte für eine Zwillingsgeburt erforderlich seien, wird in der Folgezeit mit unterschiedlichen Lösungen diskutiert. Aristoteles (De generatione animalium 772b; Historia animalium 584b–585a) belebt die Diskussion mit seiner Theorie einer Nachempfängnis (Superfecundatio) und wirkt zusammen mit Hippokrates bestimmend auf die ganze weitere antike Problemerörterung (vgl. Plinius der Ältere, Naturalis historia VII, 47–49). Augustinus (De civitate dei V, 1. 6) und andere christliche Autoren lehnen die aristotelische Theorie der Nachempfängnis ab und lehren eine einzige Zeugung in einem einzigen Zeugungsakt, so dass die Theorie des Hippokrates von da an wieder deutlich an Ansehen gewinnt. Der Einfluss dieser medizinisch-naturwissenschaftlichen Theorien auf das Bewusstsein der Gesamtbevölkerung darf keinesfalls zu hoch eingeschätzt werden. Dort herrschen nach Auskunft vieler Belege des antiken Volksglaubens die älteren mythischen Vorstellungen vor.

Biologisch-physiologische, familiensoziologische und sklavenrechtliche Anschauungen über Zwillinge

In der griechisch-römischen Antike bilden sich auch einige grundsätzliche biologisch-physiologische, familiensoziologische und sklavenrechtliche Überlegungen über Zwillinge aus.

Biologisch-physiologische Aspekte
Eine Vererbung der Disposition zu Zwillingsgeburten wird in der Antike eindeutig für Tiere bejaht, recht selten nur für Menschen. Erwähnenswert ist, dass in einzelnen mythologischen Familienstammbäumen eine Häufung von Zwillingsgeburten zu beobachten ist. Klimatisch-geographische Begünstigung von Zwillingsgeburten schreibt man bestimmten Landschaften, besonders Ägypten, zu. Die Überlebenschancen von Zwillingen werden aus Auskunft der antiken Zeugnisse als deutlich gefährdet angesehen, besonders wenn ein geringeres Geburtsgewicht bei einem der Zwillinge vorliegt.
Familiensoziologische Aspekte
Mythologische Zeugnisse sprechen bei ungleichgeschlechtlichen Zwillingen oft die Vermutung einer geschlechtlichen Beziehung der Kinder im Mutterleib aus. Die Behandlung der Zwillinge ist abhängig von der Beurteilung dieses pränatalen Inzests (vergleiche Byblis bei Ovid, Metamorphosen 9, 447–665). Bei Negativbeurteilung dieser Beziehung kam es zur Tötung eines der Zwillinge, zumeist des weiblichen, oder zur Trennung der Zwillinge. Gleichwohl gab es – vor allem in Ägypten – die bis zur Zeitenwende belegbare Tradition, solche Zwillinge miteinander zu verheiraten. Die in den antiken Mythen überlieferten Verhaltensweisen gegenüber Zwillingen und ihrer Mutter stehen in engem Zusammenhang mit den oben genannten Ansichten zur Zwillingsvaterschaft. Der Mutter und den Zwillingskindern drohen mitunter Aussetzung, Tötung oder Vertreibung aus der Gemeinschaft. Erst das Christentum mit seiner aus dem Judentum übernommenen konsequenten Bejahung des Kindes[22] und mit seinem strengen Tötungs- und Abtreibungsverbot stellt das uneingeschränkte Lebensrecht beider Zwillinge und ihrer Mutter sicher. Die Frage, wie weit die psychische Identität bzw. Parallelität von Zwillingen gehe, beantwortet man in die Richtung, dass es keine völlige Unterschiedslosigkeit gäbe (Cicero, Academica 2,54–57). Soziale Verhaltensmuster wie Unzertrennlichkeit, heftiger Streit von Zwillingen und Dominanz eines der beiden Zwillinge, die auch die moderne Zwillingsforschung aufgreift, sind vielfach für die Antike belegt (dazu Rathmayr 2000, 89-100). Besonders für dynastische Geschlechter ergibt sich das brisante Problem der Erstgeburt (Primogenitur). Weil in der Regel der älteste Sohn die Herrschaftsnachfolge antritt, markiert die Familie den Erstgeborenen der Zwillinge z. B. durch Zeichen oder durch die Namensgebung. Unterblieb diese Vorrangsmarkierung, waren Herrschaftsprobleme vorprogrammiert, wie besonders die Sage von Romulus und Remus bezeugt. Auch die biblische Geschichte der Zwillinge Jakob und Esau illustriert die Bedeutung des Erstgeburtsrechts. Hier schafft es der jüngere Bruder, seinem älteren Bruder, dem die Vorrangstellung eigentlich zusteht, durch List abzunehmen.
Sklavenrechtliche Aspekte
Zwillinge aus dem Sklavenstand bedeuteten in der Antike einen beträchtlichen Wert für ihren Besitzer, so dass man bereitwillig große Summen für sie bezahlte. Ihren Wert behielten Zwillinge allerdings nur als Paar; wurde einer von ihnen getötet, war nicht nur der Wert des getöteten Sklaven zu entrichten, sondern auch die Wertminderung des überlebenden Sklaven (Gaius, Institutiones 3, 212; Digesten 9,2,22,1).

Anschauungen über Zwillinge in anderen Kulturen

In vielen traditionellen Kulturen galt die Geburt von Zwillingen für den Menschen als widernatürlich. Zwillinge wurden bei manchen Völkern verachtet und teilweise (manchmal auch mit ihrer Mutter) getötet.[23] In Afrika sollte besonders von gleichgeschlechtlichen Zwillingen Unheil ausgehen, weil sie angeblich mit bösen Buschgeistern in Verbindung stehen, die ebenfalls paarweise auftreten. Auf der sibirischen Halbinsel Kamtschatka glaubte man nach einer Beschreibung von 1774, dass der Vater von Zwillingen in jedem Fall ein Wolf sei.[24] Aus Südamerika berichtet Humboldt:

„Sind [die Kinder] Zwillinge, so verlangen verkehrte Begriffe von Anstand und Familienehre, daß man eines der Kinder umbringe. Zwillinge in die Welt setzen, heißt sich dem allgemeinen Spott preisgeben, heißt es machen wie Ratten, Beutelthiere und das niedrigste Gethier, das viele Junge zugleich wirft. Aber noch mehr: ‚Zwei zugleich geborene Kinder können nicht von Einem Vater seyn‘. […] Um des Hausfriedens willen nehmen es alte Basen der Mutter oder die mure japoic-nei [Hebamme] auf sich, eines der Kinder auf die Seite zu schaffen.“

Alexander von Humboldt über die Sáliva in: Reise in die Aequinoctial-Gegenden des neuen Continents. Band 3, S. 154

Überwiegend gelten Zwillinge in traditionellen afrikanischen Glaubensvorstellungen als ungewöhnliche Menschen, deren Schattenseele (bei den westafrikanischen Malinke und Bambara heißt sie dya) in enger Beziehung zum Schöpfergott steht. Zwillinge stellen ein Segenszeichen für ihre Eltern dar, die Yoruba sehen sie als heilbringend. Ihre Wertschätzung hängt in Westafrika auch mit den Schöpferpaaren der afrikanischen Kosmogonie zusammen. Da Zwillinge häufig krankheitsanfälliger und schmächtiger sind, werden sie erst später als andere Kinder außer Haus getragen. Erst wenn beide die ersten Jahre überlebt haben, nimmt ihre Mutter sie mit auf den Markt, weil sie nun davon ausgeht, dass die empfindlichen Seelen der Kinder fest genug an ihren Körpern haften und nicht verlorengehen. Beim Homowo-Fest, einem Erntedankfest, das von den Ga in Ghana zu Beginn der Regenzeit im Frühjahr gefeiert wird, gibt es für Zwillinge ein besonderes rituelles Programm, bei dem sie geheiligte Speisen erhalten, was zugleich ihre magischen Fähigkeiten erhalten und sie vor Gefahren schützen soll.[25] Um der besonders von den Seelen verstorbener Zwillinge ausgehenden Gefahr zu begegnen, stellen die in Ghana und Togo lebenden Ewe hölzerne Zwillingsfiguren (venavi) her, die anstelle der Verstorbenen als Familienmitglieder aufgenommen und gut behandelt werden sollen. Sie werden wie Kinder der Familie gefüttert, bekleidet und gebadet. Diese Zwillingsfiguren sind die häufigsten geschnitzten Figuren bei den Ewe.[26]

Zwillingsforschung

Die Watson-Zwillinge (The Watson Twins)

Die Zwillingsforschung erlaubt interessante Aussagen bezüglich der Frage, welcher Anteil des menschlichen Verhaltens durch das Erbgut und welcher durch die Umwelt bedingt ist.

Intelligenz

Um zu untersuchen, welcher Anteil der Varianz der Intelligenzquotienten innerhalb einer Population auf erbliche und welcher auf Umweltfaktoren zurückzuführen ist, von den Populationsgenetikern Heritabilität oder (missverständlich) Erblichkeit genannt, nimmt man, auf Basis eines klassischen Ansatzes von Ronald Aylmer Fisher die additive Zusammensetzung der Gesamtvarianz aus einzelnen, unabhängigen Varianzen an. Danach kann die Gesamtvarianz in einer Population in einen erblichen und einen umweltbedingten Varianzanteil unterteilt werden:

Zur Ermittlung der erblichen Komponente untersucht man nun eineiige und zweieiige Zwillingspärchen mit Intelligenztests. Da zweieiige Zwillinge, wie alle Geschwister, in fünfzig Prozent ihres Erbguts übereinstimmen, eineiige Zwillinge zu Hundert Prozent, sollten eineiige Zwillinge im Ergebnis der Tests ähnlicher zueinander sein als zweieiige, wenn ein Teil der Varianz des Faktors Intelligenz erblich ist. Die Varianz zwischen den eineiigen Zwillingen dient als Schätzer für den Varianzanteil, der auf Umwelteinflüsse zurückzuführen ist. Eineiige Zwillinge besitzen ein identisches Erbgut, darum sollten Unterschiede in ihren Intelligenzleistungen nur auf Umwelteinflüsse zurückzuführen sein. Bei den zweieiigen Zwillingen sollten sich sowohl genetische wie auch Umwelteinflüsse beim Ergebnis der Tests bemerkbar machen, wobei idealerweise der Anteil der Umweltvarianz gleich groß wäre wie bei den eineiigen Zwillingen. Damit wäre der Unterschied in der Varianz ausschließlich genetisch erklärbar.[27]

Diese Untersuchungsmethode basiert auf der Annahme, dass sowohl ein- als auch zweieiige Zwillinge eine nahezu identische Umwelt erfahren (in der Forschung als equal environment assumption, kurz EES bekannt). Dies ist jedoch oft nicht der Fall[28] – eineiige Paare werden oft anders behandelt. Tatsächlich lässt sich sogar nachweisen, dass sich sogar eineiige Zwillinge mit Entwicklung im Mutterleib aus gemeinsamer Plazenta (vgl. oben) von solchen mit getrennter unterscheiden[29], was auf epigenetische Einflüsse bereits im Mutterleib zurückgeführt wird.

Ein verwandter Untersuchungsansatz vergleicht eineiige Zwillinge, die bereits als Säuglinge voneinander getrennt worden sind und in unterschiedlichen Familien groß wurden. Anders als gemeinsam aufgewachsene Zwillinge unterliegen sie also unterschiedlichen Umwelteinflüssen, wodurch sich der Unterschied von sozioökonomischen Faktoren wie sozialer Status der Eltern auf die Varianz der Intelligenz untersuchen lässt. Ein Beispiel ist die berühmt gewordene Minnesota-Zwillingsstudie.[30] Der Forschungsansatz war ins Zwielicht geraten, weil dem zu seiner Zeit hoch anerkannten britischen Psychologen Cyril Burt die Fälschung von Studienergebnissen nach dieser Methode nachgewiesen werden konnte, er hatte wohl Daten erfunden, weil es naturgemäß schwierig ist, genügend getrennt aufwachsende Zwillinge aufzufinden. Die aktuellen Studien zu dem Thema werden von der Zwillingsforscherin Nancy Segal (die selbst Zwilling ist) zusammengefasst.[31]

Klassische Zwillingsstudien, die nach dem oben beschriebenen Ansatz verfahren, ergaben Werte für die Heritabilität von Intelligenz meist zwischen 60 und 80 Prozent.[32] Sehr wichtig ist die richtige Interpretation des Ergebnisses. Oft liest man in einem solchen Fall Aussagen wie „80 % der Intelligenz sind vererbt“. Das ist ein Trugschluss. Die Untersuchungen zeigen, dass in einem solchen Fall ca. 80 % der Varianz der Intelligenz in einer Population auf erbliche Faktoren zurückgehen. Die Heritabilität ist eine Eigenschaft von Populationen und sagt überhaupt nichts über die Erblichkeit bei Individuen, oder gar deren Gründe und Einflüsse, aus, das Ergebnis ist nur valide für genau die Umwelt, in der die Studie erhoben worden ist.[33] Neuere Ansätze stellen den Ansatz insgesamt in Frage, weil die Grundannahmen des Modells, d. h. additive Verteilung der Varianz und Zuschreibung der Residualvarianz ausschließlich zu den „Genen“ offensichtlich die Wirklichkeit viel zu stark vereinfacht haben. So erklärt sich ein hoher Anteil der Varianz aus der Interaktion zwischen Genen oder derjenigen zwischen Genen und Umwelt, die in dem Modell irrtümlich allein dem genetischen Anteil zugeschrieben wird.[34] So erwies es sich bei einer Zwillingsstudie, dass der Einfluss des Wohlstands der Eltern auf die Intelligenz ihrer Kinder die Erblichkeit, entgegen den Modellannahmen, nicht-linear beeinflusst, ihr Wert sinkt bei den ärmsten untersuchten Kindern auf nahe Null.[35] Dies erklärt das scheinbare Paradox, dass es, trotz scheinbar extrem großer Werte für die Heritabilität der Intelligenz, offenbar ohne weiteres möglich ist, den Intelligenzquotienten benachteiligter Kinder durch gezielte Förderung um 15 Punkte (eine Standardabweichung) anzuheben, was einen überragenden Einfluss ihrer Umwelt nahelegt.

Sprachentwicklung

Die Sprachentwicklung bei monozygoten Zwillingen weist Besonderheiten im Vergleich zu anderen Kindern auf.

Defizithypothese

Einerseits scheint ihre Sprache oft im Vergleich mit gleichaltrigen Kindern unterentwickelt. Diese Sprachentwicklungsverzögerung wird in der Defizithypothese gefasst. Untersuchungen zeigen, dass zwei- bis vierjährige monozygote Zwillinge ca. ein halbes Jahr in ihrer Sprachentwicklung verzögert sind. Sie zeigen im gleichen Zeitraum weniger Äußerungen, benutzen kürzere und einfachere Konstruktionen als gleichaltrige Einzelkinder. Diese leichte Verzögerung, die jedoch im Laufe der Entwicklung bis zum Einsetzen der Pubertät vollkommen ausgeglichen ist, lässt sich auf verschiedene Besonderheiten im Aufwachsen von Zwillingen zurückführen:

  • Bei Einzelkindern entsteht eine sehr enge Bindung zu einer primären Bezugsperson, welche bereits erwachsen ist. Somit besteht zwischen Kind und Bezugsperson ein sprachliches Gefälle, was dazu beiträgt, dass die Kinder die Sprache schneller lernen. Bei ein- und zweieiigen Zwillingen ist die engste Bezugsperson jedoch das eigene Geschwister. Zwischen diesen besteht jedoch kein sprachliches Gefälle, was die Verzögerung der Sprachentwicklung begründen könnte.
  • Einzelkinder befinden sich in einer dyadischen Situation mit ihrer primären Bezugsperson. Zwillinge hingegen befinden sich in einer triadischen Beziehung zur erwachsenen Bezugsperson. Hier gibt es nicht zwei, sondern drei Personen einzubeziehen. Unsere Sprache sieht viele einfache und gebräuchliche Formen für dyadische Beziehungen vor (Sprecher und Adressat etc.). Komplizierter wird es hingegen bei Triaden. Zudem muss die erwachsene Bezugsperson (Vater oder Mutter) ihre Aufmerksamkeit, ihre Liebe und ihre gemeinsame Zeit auf zwei Kinder aufteilen. In einer Untersuchung fand man heraus, dass Mütter von Zwillingen im Mittel mehr auf direktive Erziehungsmaßnahmen setzten. Außerdem kam es bei Zwillingen zu weniger gemeinsamer Aufmerksamkeit zwischen erwachsener Bezugsperson und einzelnem Kind als bei Einzelkindern.
  • Monozygote Zwillinge entwickeln anfangs oft ein besonderes deiktisches System. Wenn sie den Namen eines der beiden verwenden (manchmal auch einen Fantasienamen), dann meinen sie entweder wirklich das eine Kind oder sie meinen beide Geschwister zugleich. Dieses Phänomen bezeichnet man als nominalen Dual.
Autonomiehypothese

Ein zweiter Untersuchungsansatz beschäftigt sich weniger mit der Verzögerung der Sprachentwicklung, als vielmehr mit der Einzigartigkeit bei monozygoten Zwillingen. Dieser Ansatz heißt Autonomiehypothese.

Bei sehr jungen monozygoten Zwillingen beobachtet man oft eine Art Sondersprache, die nur zwischen den beiden Geschwistern verwendet und nur von ihnen verstanden wird. Diese bezeichnet man auch als Kryptoglossie oder Idioglossie. Diese Sondersprache verschwindet jedoch mit zunehmendem Alter.

Unterschiede zwischen eineiigen Zwillingen

Eineiige Zwillinge gehen zwar aus ein und derselben Eizelle hervor, doch sind sie nicht identisch. Beispielsweise zeigen sich etwa Unterschiede in Fingerabdrücken, Leberflecken oder Muttermalen. Zuweilen sind die beiden Geschwister bezüglich ihrer physischen und psychischen Merkmale sogar deutlich verschieden. Solche Differenzen können auftreten, obgleich ihre Grundausstattung hinsichtlich der Allele von Genen in der frühesten Entwicklungsperiode gleich ist.

In etwa 15 % der Fälle ereignen sich dann aber in einem Zwilling somatische Mutationen, die oft früh in der Entwicklung stattfinden und daher mehrere Zelllinien umfassen, sodass sich die phänotypischen Unterschiede teils genetisch erklären lassen.[36]

Andererseits können sich jedoch auch die epigenetischen Profile der Zwillinge unterschiedlich entwickeln, womit unterschiedliche Expressionsmuster von Genen bei den Geschwistern auftreten, die zu einer unterschiedlichen Ausprägung von Merkmalen führen können. So können bei gleicher Abfolge der Nukleotide der DNA, also gleichem Genotyp, dennoch Merkmalsunterschiede auftreten, also verschiedene Phänotypen. Wichtige epigenetische Mechanismen, mit denen die Genaktivität bei unveränderter DNA-Sequenz beeinflusst wird, sind vor allem die DNA-Methylierung und die Histon-Acetylierung. In einer Studie aus dem Jahr 2005 wurden Zellproben von insgesamt 40 Paaren eineiiger Zwillinge, dichoriale und monochoriale, hinsichtlich dieser Mechanismen untersucht. Dabei wurden bei etwa einem Drittel der Zwillingspaare auffällige Unterschiede im epigenetischen Muster festgestellt, bei älteren Paaren waren diese ausgeprägter als bei jungen.[37]

Während sich die eineiigen Zwillinge eines Paares in frühen Phasen ihres Lebens genetisch und epigenetisch nicht voneinander unterscheiden, können sich mit wachsendem Lebensalter Unterschiede im Muster der Genexpression zunehmend deutlicher ausprägen. Die Abweichungen bei Zwillingen sind umso stärker, je weniger Lebenszeit das Paar miteinander verbracht hat. Das stützt die Vermutung, dass Umweltfaktoren wie Rauchen, Ernährung oder körperliche Aktivitäten das epigenetische Profil beeinflussen. Auch das Erleiden verschiedener Krankheiten im Lauf des Lebens scheint hierbei eine Rolle zu spielen.[38]

Daneben lassen sich wie bei anderen Menschen, so auch bei Zwillingen im Genom vereinzelt Mutationen auffinden, die als sogenannte somatische Punktmutationen nur in einigen Körperzellen, beispielsweise von Lymphozytenpopulationen, nachzuweisen sind. Bei eineiigen Zwillingspaaren allerdings können sie eine besondere Rolle spielen, da sie die beiden Zwillinge genetisch unterscheidbar machen, was z. B. bei Fällen fraglicher Vaterschaft von Interesse sein kann.

Frühester Nachweis

2005 entdeckten Archäologen am Wachtberg in Krems an der Donau eine etwa 31.000 Jahre alte Doppelbestattung zweier Säuglinge des frühen Homo Sapiens unter einem Mammut-Schulterblatt. Internationale Forschung mit Genomanalyse ergab 2020, dass es sich um männlich eineiige Zwillinge handelt. Es ist der erste molekulargenetisch verifizierte und früheste Nachweis einer Zwillingsgeburt.[39]

Literatur

  • Eiigkeitsdiagnose bei jugendlichen Zwillingen mit Fragebogen. In: Ärztliche Jugendkunde. Heft 71/1980, S. 105–109.
  • Francesca Mencacci: I fratelli amici. La appresentazione dei gemelli nella cultura romana. 1996.
  • Reinhard Rathmayr: Zwillinge in der griechisch-römischen Antike (= Alltag und Kultur im Altertum. Band 4). Böhlau, Wien 2000 (vi, 148 S.), ISBN 3-205-99203-2
  • Reinhard Rathmayr: Zwillinge. In: Der Neue Pauly. Enzyklopädie der Antike. Band 12/2, 2003, Spalten 858–860.
  • Barbara Frey: Zwillinge und Zwillingsmythen in der Literatur. Frankfurt am Main / London 2006.
Commons: Zwillinge – Sammlung von Bildern, Videos und Audiodateien
Wiktionary: Zwilling – Bedeutungserklärungen, Wortherkunft, Synonyme, Übersetzungen

Einzelnachweise

  1. Stichwort „Zwilling“ bei Duden online, abgerufen am 16. November 2024.
  2. Stichwort „Zwilling“ im Digitalen Wörterbuch der deutschen Sprache, abgerufen am 16. November 2024.
  3. Stichwort „Zwilling“ in: Brockhaus, Wahrig, Deutsches Wörterbuch, 9. Auflage 2011, ISBN 978-3-577-07595-4
  4. Stichwort Zwillinge im medizinischen Wörterbuch Pschyrembel online, abgerufen am 16. November 2024.
  5. „Zwilling“, in: Wolfgang Pfeifer et al., Etymologisches Wörterbuch des Deutschen (1993), digitalisierte und von Wolfgang Pfeifer überarbeitete Version im Digitalen Wörterbuch der deutschen Sprache, abgerufen am 18. November 2024.
  6. „Zwilling“, in: Wahrig Herkunftswörterbuch, online bei wissen.de, abgerufen am 18. November 2024.
  7. Nicola Davis: Scientists stunned by discovery of ‘semi-identical’ twins – Reproduction. In: theguardian.com. 27. Februar 2019, abgerufen am 4. Februar 2024 (englisch).
  8. Kai J. Bühling: Risikofaktoren in der Schwangerschaft. In: Kai J. Bühling, Wolfgang Friedmann (Hrsg.): Intensivkurs Gynäkologie und Geburtshilfe. 2. Auflage. München 2009, S. 164 f.
  9. Familie in Vietnam: Zwillingspaar hat zwei Väter. In: Spiegel Online. 4. März 2016, abgerufen am 4. September 2016.
  10. Armin Grunwald, Peter Hocke: Castor. In: Nadine Marquardt, Verena Schreiber (Hrsg.): Ortsregister. transcript Verlag, 2014, ISBN 978-3-8394-1968-7, S. 57 (eingeschränkte Vorschau in der Google-Buchsuche).
  11. Zwillinge, Drillinge, Vierlinge – So hoch ist die Wahrscheinlichkeit für Mehrlinge, t-online.de
  12. Stimmt's: Doppelte Chance. Auf: zeit.de vom 29. November 2007 In: web.archive.org.
  13. a b Anzahl der Zwillingsgeburten in Deutschland 2006. (Memento vom 13. Oktober 2008 im Internet Archive), Stand 2006, de.statista.org.
  14. Pressemitteilung Nr. 228 vom 05.06.2007: 2006: Geburten, Sterbefälle und auch Bevölkerung gingen zurück. (Memento vom 24. November 2007 im Internet Archive)
  15. E. G. Mesa, J. A. Peral: Incidence and costs of multifetal pregnancies in Andalusia (2000–2010). In: Twin research and human genetics: the official journal of the International Society for Twin Studies. Band 14, Nummer 5, Oktober 2011, S. 484–489, ISSN 1832-4274. doi:10.1375/twin.14.5.484. PMID 21962143.
  16. Geborene und Geburten seit 1991 nach Mehrlingseigenschaft von 1991–2015. (Memento vom 15. November 2015 im Internet Archive) statistik.at 15. November 2015.
  17. destatis.de (Memento vom 17. Oktober 2011 im Internet Archive)
  18. Anzahl Zwillingsgeburten (Memento vom 23. September 2015 im Internet Archive), Stand 2007
  19. Zunahme von Zwillingsgeburten: Mehr Glück im Doppelpack. Der Spiegel, 29. Dezember 2011, abgerufen am 10. August 2012.
  20. a b Zwillingsmütter leben länger. Auf: science.orf.at vom 11. Mai 2011.
  21. Zwillinge, Drillinge, Vierlinge – So hoch ist die Wahrscheinlichkeit für Mehrlinge. Auf: t-online.de aktualisiert am 19. November 2022.
  22. Vgl. Michael Gärtner: Die Familienerziehung in der Alten Kirche. Eine Untersuchung über die ersten vier Jahrhunderte des Christentums mit einer Übersetzung und einem Kommentar zu der Schrift des Johannes Chrysostomus über Geltungssucht und Kindererziehung (= Kölner Veröffentlichungen zur Religionsgeschichte. Band 7). Böhlau, Köln / Wien 1985, besonders S. 6–31.
  23. R. Rathmayr: Zwillinge in der griechisch-römischen Antike. Wien 2000, S. 5–41.
  24. Uno Harva: Die religiösen Vorstellungen der altaischen Völker (= FF Communications. Nr. 125). Suomalainen Tiedeakatemia, Helsinki 1938, S. 473
  25. Klaus E. Müller, Ute Ritz-Müller: Soul of Africa. Magie eines Kontinents. Könemann, Köln 1999, S. 198–204.
  26. Wulf Lohse: Oberguinea. In: Jürgen Zwernemann, Wulf Lohse: Aus Afrika. Ahnen – Geister – Götter. Hamburgisches Museum für Völkerkunde und Christians Verlag, Hamburg 1985, S. 113, 133.
  27. zur Methodik vgl. Albert Tenesa, Chris S. Haley: The heritability of human disease: estimation, uses and abuses. In: Nature Reviews Genetics. Band 14, 2013, S. 139–149. doi:10.1038/nrg3377.
  28. K. Richardson, S. Norgate: The equal environments assumption of classical twin studies may not hold. In: British Journal of Educational Psychology. Band 75, 2005, S. 339 –350, doi:10.1348/000709904X24690.
  29. D. K. Sokol, C. A. Moore, R. J. Rose, C. J. Williams, T. Reed, J. C. Christian: Intrapair differences in personality and cognitive ability among young monozygotic twins distinguished by chorion type. >In: Behavior Genetics. Band 25, 1995, S. 457–466, doi:10.1007/BF02253374.
  30. Nancy L. Segal: Born Together—Reared Apart. The Landmark Minnesota Twin Study. Harvard University Press, 2012, ISBN 978-0-674-05546-9.
  31. Nancy L. Segal: Twin Mythconceptions: False Beliefs, Fables, and Facts about Twins. Academic Press, 2017, ISBN 978-0-12-803995-3. auf Seite 32.
  32. Dorret Boomsma, Andreas Busjahn, Leena Peltonen: Classical twin studies and beyond. In: Nature Reviews Genetics. Band 3, 2002, S. 872-882, doi:10.1038/nrg932.
  33. David S. Moore, David Shenk: The heritability fallacy. In: Wiley Interdisciplinary Reviews Cognitive Science. Band 8, Nr. 1-2, 2016, Artikel e400, doi:10.1002/wcs.1400.
  34. Bruno Sauce, Louis D. Matzel: The paradox of intelligence: Heritability and malleability coexist in hidden gene-environment interplay. In: Psychological Bulletin. Band 144, Nr. 1, 2018, S. 26-47, doi:10.1037/bul0000131.
  35. Eric Turkheimer, Andreana Haley, Mary Waldron, Brian D’Onofrio, Irving I. Gottesman: Socioeconomic Status Modifies Heritability of IQ in Young Children. In: Psychological Science. Band 14, Nr. 6, 2003, S. 623–628.
  36. Gemma Alderton: Not such identical twins. In: Science. Band 371, Nr. 6529, 5. Februar 2021, S. 581–582, doi:10.1126/science.2021.371.6529.twil (Originalquelle: Nature Genetics. Band 53, Nr. 27, 2021).
  37. M. F. Fraga, E. Ballestar u. a.: Epigenetic differences arise during the lifetime of monozygotic twins. In: PNAS. Band 102, Nummer 30, Juli 2005, S. 10604–10609, ISSN 0027-8424, doi:10.1073/pnas.0500398102, PMID 16009939, PMC 1174919 (freier Volltext).
  38. G. M. Martin: Epigenetic drift in aging identical twins. In: PNAS. Band 102, Nummer 30, Juli 2005, S. 10413–10414, ISSN 0027-8424, doi:10.1073/pnas.0504743102, PMID 16027353, PMC 1180801 (freier Volltext).
  39. Älteste Zwillingsbestattung der Welt in Krems. Auf: orf.at vom 6. November 2020, abgerufen am 6. November 2020.