Empty-Sella-Syndrom
| Klassifikation nach ICD-10 | |
|---|---|
| E23.6 | Sonstige Störungen der Hypophyse |
| ICD-10 online (WHO-Version 2019) | |

Das Empty-Sella-Syndrom (ESS; Syndrom der leeren Sella turcica) ist ein relativ häufiger neuroradiologischer oder pathologischer Befund, der häufig einer anatomischen Normvariante entspricht, aber auch eine hormonelle Erkrankung darstellen kann.
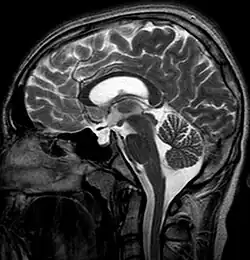
Die Sella turcica (deutsch: „Türkensattel“) stellt eine Schädelgrube mittig im Bereich der mittleren Schädelgrube (Fossa cranii media) dar, in der normalerweise die Hypophyse liegt, die zahlreiche Hormone bildet und damit Vorgänge wie Wachstum, Fortpflanzung und Stoffwechsel reguliert.
Beim Empty-Sella-Syndrom findet sich jedoch keine typische Form der Hypophyse in dieser Schädelgrube, sondern es kommt zu einer Hernien-artigen, von Liquor cerebrospinalis angefüllten Ausweitung des Subarachnoidalraums (Arachnoidozele) in die Sella turcica hinein. Dadurch wird die Hypophyse auf den Boden der Sella turcica gedrückt und erscheint wie „ausgewalzt“. Als Folge der Kompression der Hypophyse kann es zu endokrinen Störungen kommen.[1]
Erstmals wurde das Empty-Sella-Syndrom 1951 beschrieben[2].
Epidemiologie
Ein Empty-Sella-Syndrom wird im unselektierten Obduktionsgut und in neuroradiologischen Befunden in 6 – 20 % der Fälle gefunden[3].
Ätiologie
Zugrunde liegt bei der primären Form des Empty-Sella-Syndroms ein nur unzureichend ausgebildetes Diaphragma sellae (Anteil der harten Hirnhaut, der die Sella turcica überspannt und die Hypophyse von der Hirnbasis trennt), wobei sich der Subarachnoidalraum, dem Liquordruck nachgebend, in die Sella hinein ausdehnt.
Ein primäres Empty-Sella-Syndrom findet sich vermehrt bei Frauen, und häufiger, wenn ein Bluthochdruck vorliegt, Übergewicht, Kopfschmerzen oder Sehstörungen bestehen.[3]
Die sekundäre Form der Erkrankung ist oft Folge eines gesteigerten Hirndrucks, so bei einer idiopathischen intrakraniellen Hypertension oder Hirndrucksteigerungen durch Hirntumoren oder einen Hydrozephalus. Auch nach einer Operation eines Hypophysentumors, als postpartale Nekrose (Sheehan-Syndrom), durch einen Infarkt sowie in Folge eines Schädel-Hirn-Traumas oder einer Bestrahlung kann es zu einem sekundären Empty-Sella-Syndrom kommen.[3]
Pathologie
Morphologisch zeigt sich innerhalb einer häufig erweiterten Sella eine schalenartig umgestaltete, an den Rand verdrängte und druckatrophische Hypophyse.[1]
Allgemein liegt ein „partielles“ Empty-Sella-Syndrom vor, wenn die Sella turcica zu höchstens 50 % mit Liquor gefüllt ist, und ein komplettes Syndrom bei mehr als 50 % Liquorfüllung.
Klinik
Das Empty-Sella-Syndrom ist in seiner primären Form häufig asymptomatisch und wird insofern mitunter auch als anatomische Normvariante betrachtet. Oft finden sich aber Übergewicht, Bluthochdruck und Kopfschmerzen.
Wie oft es zu endokrinen Dysfunktionen wie einer Hyperprolaktinämie, einem zentralen Diabetes insipidus, einem Hypopituitarismus, einer hypothalamischen Hypothyreose oder einem Hypogonadismus kommt, ist umstritten. In einer Metaanalyse fanden sich in den publizierten Studien hormonelle Störungen mit einer Prävalenz von 52 %. Das würde aber nach Aussagen der Autoren bei einer Prävalenz des Empty-Sella-Syndroms von 2–20 % bedeuten, dass 1–10 % der Bevölkerung Hypophysenstörungen haben müssten. Die Prävalenz liegt aber nur bei 50 pro 100.000, so dass die Autoren der Metaanalyse von einem erheblichen Publikations- und Selektionsbias ausgehen. Trotzdem wird empfohlen, bei der zufälligen Entdeckung eines Empty-Sella-Syndroms eine Basis-Hormondiagnostik durchzuführen und nur bei weiteren Auffälligkeiten eine weiterführende Diagnostik einschließlich Stimulationstests zu veranlassen.[3]
Als Hormonbasisdiagnostik empfehlen die Autoren der Metaanalyse die Bestimmung von morgendlichem Cortisol, freiem Thyroxin, Estradiol bzw. Testosteron, IGF-1 und Prolaktin[3].
Einzelnachweise
- ↑ a b U. Riede, M. Werner, H. Schäfer: Allgemeine und spezielle Pathologie. 5. Auflage. Thieme, 2004, ISBN 3-13-683305-8.
- ↑ W. Busch: Morphology of sella turcica and its relation to the pituary gland Virchows Archiv 1951, Band 320, Ausgabe 5 vom September 1951, Seiten 437–58
- ↑ a b c d e Matthias K. Auer, Mareike R. Stieg, Alexander Crispin, Caroline Sievers, Günter K. Stalla, Anna Kopczak: Primäres Empty-Sella-Syndrom und Prävalenz von Hormonstörungen Deutsches Ärzteblatt 2018, Jahrgang 115, Heft 7 vom 16. Februar 2018, Seiten 99–105, DOI:10.3238/aerztebl.2018.0099