Epiphysenfuge





Die Epiphysenfuge (von lateinisch Epiphysis ossis, von griechisch: επίφυση – „darauf Gewachsenes“, „Entstandenes“) oder Wachstumsfuge besteht aus einer Zone der starken Zellteilung (Reserve- oder Proliferationszone) von hyalinem Knorpel, der säulenartig angeordnet ist („Säulenknorpel“), und einer Übergangszone (Palisadenzone), in der der Knorpel in Längsrichtung des Knochens auf kurzer Strecke hypertrophiert, abstirbt und verkalkt. Diese Zone wird im Rahmen der Auflösung der Knorpelzellen und der Verkalkung der Knorpelgrundsubstanz als Eröffnungszone bezeichnet.[1] Der Wachstumsbereich ist die Fuge zwischen der Epiphyse (Endstück, Träger der knorpeligen Gelenkfläche) und der Metaphyse der Röhrenknochen. Sie ist der Ort des Längenwachstums der Röhrenknochen durch enchondrale Ossifikation. Der Ossifikationskern in der Epiphysenfuge wird Epiphysenkern genannt. Ein weiterer wichtiger Ort des Knochenwachstums ist die sekundäre Epiphysenfuge (Physe), die den knöchernen Epiphysenkern umschließt. Sie ermöglicht zusätzlich zum Längenwachstum das Dickenwachstum der epiphysären Kondylen.
Physiologie
In der knorpeligen Epiphysenfuge findet bei jugendlichen Wirbeltieren bzw. Menschen das Längenwachstum der Röhrenknochen statt. Dieses Knochenwachstum wird interstitiell bezeichnet, weil Knochenzellen (Osteoblasten) in den Knorpel einwandern. Dadurch wird einerseits die Diaphyse länger, andererseits die Epiphyse nach distal verschoben. Sobald Knochengewebe die Epiphysenfuge vollständig ersetzt, ist das Längenwachstum eines Individuums abgeschlossen.[2][3]
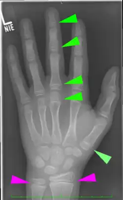
Für die Beurteilung auf Röntgenaufnahmen der am Handskelett des Menschen darstellbaren Epiphysenfugen gibt es spezielle Atlanten, die das chronologische Alter eines Kindes mit dem aktuellen Skelettalter vergleichen lassen (Abb.) Aufgrund der Vielzahl von Wachstumsfugen an den Handknochen, die sich alle zu unterschiedlichen Zeitpunkten knöchern verschließen, ist hier eine Zuordnung in Halbjahresschritten möglich.[4] Damit können, zusammen mit aktuellen Längenmessungen von Körpergröße, Sitzgröße, Beinlänge etc., Aussagen über das noch zu erwartende Gesamtwachstum des Kindes oder des Jugendlichen gemacht werden. Aufgrund der unterschiedlichen Geschlechtsentwicklung bei Mädchen und Jungen ist der Reifungsprozess und damit das Skelettwachstum bei Mädchen früher abgeschlossen. Die ersten Epiphysenfugen schließen sich bei Mädchen um das 14. Lebensjahr, die letzten Fugen beim Jungen nach dem neunzehnten Lebensjahr.
Untersuchungen von Röntgenaufnahmen von zwischen 1915 und 2006 geborenen Kindern haben gezeigt, dass sich der Zeitpunkt, an dem sich die Wachstumsfugen schließen, im Verlauf des letzten Jahrhunderts immer weiter vorverlegt hat und damit – ähnlich wie auch die Pubertät – immer früher eintritt. Der Grund dafür ist nicht ersichtlich.[5]
Krankheiten
Im Gegensatz zum Erwachsenen, bei dem der gesamte Langknochen bis auf die mit Gelenkknorpel überzogenen Gelenkenden knöchern ist, ist der Kinderknochen besonders im Bereich der Wachstumsfuge beim Kind und Jugendlichen sehr verletzlich. Unter mechanischer Belastung kann es hier Schäden geben (z. B. Apophysitis calcanei, Morbus Schlatter, X-Bein). Bei bakteriellen Entzündungen z. B. der oberen Atemwege kann es zu bakteriellen Abszessen in einer Wachstumsfuge kommen. Die kapillare Eröffnungszone ist ein Gefahrenpunkt für Infektabsiedlungen. Schwere Formen von Fehlwachstum können hierbei auftreten, wenn die Diagnose und operative Therapie mit Ausräumen des Abszesses und spezifischer Antibiotika-Therapie nicht oder nicht frühzeitig erfolgt, was vor allem in Ländern mit einem insuffizienten Gesundheitswesen der Fall ist. Ein großer Anteil weltweiter Wachstumsfehler an Extremitäten resultiert aus solchen traumatischen oder bakteriellen Störungen an Epiphysenfugen.
Isolierte Verletzungen der Epiphysenfuge (z. B. Epiphysiolyse) und gelenknahe Knochenbrüche, die die Epiphysenfuge beteiligen, können behandelt oder unbehandelt zu fehlerhaftem Wachstum führen. Bei solchen Verletzungen ist bei der konservativen oder operativen Behandlung darauf zu achten, dass durch die Operation und die Implantate[6] keine weiteren Schäden an den Fugen mit möglichem Fehlwachstum erzeugt werden. Wachstumsstörungen können aber ebenso wie bei der multiplen epiphysären Dysplasie auch erblich bedingt sein.
Eine gelenknahe Fraktur am Sprunggelenk unter Einbeziehung einer bereits teilweise geschlossenen Epiphysenfuge wird Übergangsfraktur genannt. Da sie multiplanar ist, ist ihre operative Versorgung eine Herausforderung. Die Diagnostik erfordert meist neben Röntgenaufnahmen in vier Ebenen eine Computer-Tomographie.
Siehe auch
Einzelnachweise
- ↑ Karl-Heinz Jungbluth, Manfred Dallek, Norbert M.Meenen. 1997. Verletzungen der Wachstumsfuge. Der Unfallchirurg 100:571-586
- ↑ Dietrich Starck: Embryologie. Ein Lehrbuch auf allgemein biologischer Grundlage. 3., neubearbeitete und erweiterte Auflage. Georg Thieme, Stuttgart 1975. Dort Knochenbildung auf knorpeliger Grundlage, S. 574f.
- ↑ Wolfgang Bargmann: Histologie und Mikroskopische Anatomie des Menschen. 7., überarbeitete Auflage. Georg Thieme, Stuttgart 1977. Dort Chondrale Knochenbildung, S. 131–135.
- ↑ William Greulich: Radiographic atlas of skeletal development of the hand and wrist. Stanford University Press, 1999. ISBN 0-8047-0398-1
- ↑ Nadja Podbregar: Kinderknochen reifen heute schneller: Wachstumsfugen der Knochen schließen sich früher als noch vor 100 Jahren. In: scinexx.de. 19. Dezember 2018, abgerufen am 19. Februar 2020.
- ↑ Vgl. auch Hermann Ecke: Die Transplantation der Epiphysenfuge (= Vorträge aus der praktischen Chirurgie. Heft 77). Enke, Stuttgart 1967.