Fibroadenom
| Klassifikation nach ICD-10 | |
|---|---|
| D24 | Fibroadenom |
| ICD-10 online (WHO-Version 2019) | |
| Klassifikation nach ICD-O-3 | |
|---|---|
| 9010/0 | Fibroadenom o.n.A. |
| 9011/0 | Intrakanalikuläres Fibroadenom |
| 9012/0 | Perikanalikuläres Fibroadenom |
| 9016/0 | Juveniles Fibroadenom |
| 9030/0 | Riesenfibroadenom |
| ICD-O-3, zweite Revision (2019) | |
| Klassifikation nach ICD-11 | |
|---|---|
| GB20.1 | Fibroadenose der Mamma |
| ICD-11: Englisch • Deutsch (Entwurf) | |
Das Fibroadenom ist eine relativ häufige gutartige Neubildung in der Brustdrüse, die einzeln oder in Mehrzahl in einer oder beiden Brüsten auftreten kann und meist Mädchen und Frauen im reproduktionsfähigen Alter betrifft. Bei Fibroadenomen handelt sich um meist 1–2 cm große, schmerzlose, verschiebliche Knoten von gummiartiger oder fester Konsistenz, die häufig im Rahmen von Tastuntersuchungen oder in der Mammographie festgestellt werden. Die Läsion zeigt ein limitiertes Wachstum und mit fortschreitendem Alter nicht selten auch eine spontane Rückbildungstendenz. Der Übergang des Fibroadenoms in einen bösartigen Tumor gilt als außerordentlich selten, das relative Risiko später an einem bösartigen Tumor der Brustdrüse zu erkranken, ist bei betroffenen Frauen nur leicht erhöht.
Eine chirurgische Therapie ist bei asymptomatischem Patienten und gesicherter Diagnose nicht erforderlich. Nach adäquater chirurgischer Entfernung des Herdbefundes kommt es gewöhnlich nicht zu Rezidiven.
Eine Variante des Krankheitsbildes ist das juvenile Fibroadenom, wobei es sich um im Jugendalter auftretende Fibroadenome mit teilweise raschem Wachstum handelt, die eine Größe von 15 bis 20 cm erreichen können (Riesenfibroadenom) und daher häufiger mit einer Deformierung der Brust einhergehen. Das biologische Verhalten dieser Läsion unterscheidet sich jedoch ansonsten nicht vom gewöhnlichen Fibroadenom, so dass auch hier eine gute Prognose zu stellen ist.[1][2]
Epidemiologie
Fibroadenome können in jedem Lebensalter nach der Pubertät auftreten, manifestieren sich jedoch bevorzugt im 3. Lebensjahrzehnt. Die Läsion wird bei etwa 8–10 Prozent der Frauen jenseits des 40. Lebensjahrs beobachtet, wobei sie bei Frauen bis zum 30. Lebensjahr die am häufigsten diagnostizierte Raumforderung der Brust darstellt. Ein Neuauftreten eines Fibroadenoms bei älteren Frauen ist selten. Bei Einbeziehung aller Altersklassen handelt es sich bei dem Fibroadenom um die häufigste gutartige Neubildung und nach dem Mammakarzinom um den zweithäufigsten soliden tumorösen bzw. tumorartigen Herdbefund der weiblichen Brust.
Ein Auftreten von Fibroadenomen bei Männern wird in Einzelfallberichten beschrieben, stellt jedoch eine Rarität dar. Hierbei besteht möglicherweise eine ursächliche Beziehung zu einer antiandrogenen Therapie.[3][4]
Ethnische Unterschiede in der Häufigkeit von Fibroadenomen wurden bislang nicht berichtet.[2]
Ursachen
Wenngleich die der Entstehung von Fibroadenomen zugrundeliegenden Ursachen nicht abschließend geklärt sind, sprechen die bislang vorliegenden Befunde für einen zumindest teilweise hormonell bedingten Prozess, bei dem es zu einer Hyperplasie normaler Drüsenläppchen der Brustdrüse kommt. Hierbei liegt offenbar ein Missverhältnis der Hormone Estradiol und Progesteron mit relativem Überwiegen des ersteren vor. Die Hormonabhängigkeit zeigt sich auch darin, dass die Größe von Fibroadenomen zum Teil während des Menstruationszyklus variiert sowie im Rahmen einer Schwangerschaft zunimmt und es in der Postmenopause häufig zu Rückbildungserscheinungen (Verkleinerung, Verkalkungen etc.) kommt.
Während die Läsion früher als gutartiger Tumor eingestuft wurde und in der Fachliteratur teilweise immer noch als solcher geführt wird, sprechen neuere Erkenntnisse, darunter Klonalitätsuntersuchungen, gegen die Hypothese, dass es sich um eine echte Neoplasie handelt.
Etwa die Hälfte der Frauen, die nach einer Nierentransplantation das immunsuppressive Medikament Cyclosporin erhalten, entwickeln Fibroadenome, häufig in Mehrzahl und beidseitig. In schnell wachsenden Fibroadenomen bei immunsupprimierten Patienten lässt sich gehäuft das Epstein-Barr-Virus (EBV) nachweisen.
Multiple Fibroadenome mit myxoidem Stroma können im Rahmen des Carney-Komplexes zusammen mit Myxomen des Herzens, Hyperpigmentierungen, endokrinen Störungen und weiteren Abnormalitäten auftreten.[1][2][5]
Klinische Symptomatik
Fibroadenome zeigen sich klinisch insbesondere bei jüngeren Frauen als tastbare, schmerzlose und verschiebliche, feste oder gummiartige Knoten. Bei älteren Frauen werden sie vermehrt auch im Rahmen mammographischer Untersuchungen entdeckt und sind hier nur in einem Teil der Fälle tastbar. Das im adoleszenten Alter auftretende juvenile Fibroadenom kann eine erhebliche Größe von bis zu 20 cm erreichen (Riesenfibroadenom) und damit bereits anhand einer Deformierung der betroffenen Brust äußerlich auffällig werden.[2]
Diagnose

Die Tastuntersuchung und bildgebende Verfahren erlauben die Stellung einer Verdachtsdiagnose, die durch eine Aspirationszytologie oder Feinnadelbiopsie soweit gesichert werden kann, dass möglicherweise ein konservatives, abwartendes Vorgehen vertretbar ist.
Mammographisch erscheinen Fibroadenome meist als umschriebene Raumforderungen, die je nach Alter der Läsion sichtbare grobschollige Verkalkungen aufweisen können. Bei Ultraschalluntersuchungen zeigt sich die Läsion ebenfalls umschrieben, homogen und hypoechogen sowie mit posteriorer Schallverstärkung. Unter Umständen können der gelappte Aufbau und eine dünne kapsuläre Begrenzung sichtbar sein. Die Magnetresonanztomographie demonstriert einen glatt begrenzten Herdbefund mit hoher Signalintensität bei T2-Wichtung und Einsatz Gadolinium-haltiger Kontrastmittel.
Kann die Gutartigkeit der Läsion nicht eindeutig gesichert werden oder auf Verlangen der Patientin kann schließlich die definitive Diagnose auch am Operationspräparat nach vollständiger Entfernung oder Biopsie der Raumforderung und histologischer Aufarbeitung durch den Pathologen erfolgen.[1][2]
Therapie
Als gutartige Läsion ohne Entartungstendenz ist eine chirurgische Therapie eines Fibroadenoms nicht unbedingt erforderlich. Bei anderweitig nicht zu sichernder Diagnose, kosmetisch störenden oder als psychisch belastend empfundenen Krankheitsmanifestationen kann jedoch eine operative Entfernung indiziert sein. Diese erfolgt meist in Form einer Exzision unter sonografischer Kontrolle. Auch Verfahren, bei denen das Fibroadenomgewebe unter Verwendung einer Sonde tiefen Temperaturen ausgesetzt und dadurch zerstört wird (Kryoablation) kommen mit guten Ergebnissen zum Einsatz.[6] Andere chirurgische Verfahren nutzen die Wirkung großer Hitze (Ablation mittels Laser, Radiofrequenzwellen, hochintensiv fokussiertem Ultraschall und Mikrowellen).[7][8][9][10] Nachteil thermischer Verfahren ist unter Umständen eine erschwerte oder nicht mehr mögliche histologische Beurteilung des Gewebes.
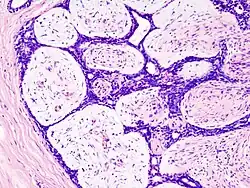
Pathologie
.jpg)
Makroskopisch manifestieren sich Fibroadenome als meist 1–2 cm, bisweilen auch bis 4 cm große, scharf abgegrenzte, kugelige oder ovoide Knoten von grau-weißer Farbe und fester oder gummiartiger Konsistenz, die gegenüber dem umgebenden Gewebe verschieblich sind. Die Schnittfläche zeigt einen gelappten Aufbau und ein häufig glänzendes, myxoides Erscheinungsbild.
Histologisch zeigt sich ein Proliferat aus lockerem zellulärem Bindegewebe, in das in variablem Umfang gangartige epitheliale Strukturen eingelagert sind (biphasischer Aufbau). Das Stroma besteht dabei aus Zellen mit spindeligen Kernen, die keine wesentliche Pleomorphie und kaum Mitosefiguren zeigen. Die Gangstrukturen erscheinen entweder als schlitzförmige, komprimierte, elongierte Epithelformationen (intrakanalikuläres Muster) oder kleinere drüsenartige Gebilde, die konzentrisch von Stroma umgeben werden (perikanalikuläres Muster). Beide Muster kommen auch in Kombination vor und repräsentieren möglicherweise nur unterschiedliche Schnittebenen ein und derselben Läsion im histologischen Bild. Dem Wachstumsmuster kommt dabei keinerlei prognostische Bedeutung zu. In wechselndem Umfang können eine myxoide Umwandlung des Stromas oder Kalzifikationen vorhanden sein (regressive Veränderungen).
_DG_stain.jpg)
Zytologisch zeigen sich häufig zellreiche Ausstriche mit charakteristischem biphasischem Bild aus epithelialen und Stromazellen. Die Epithelien stellen sich dabei meist als kohäsive Zellplatten aus gleichmäßigem duktalem Epithel dar, das Einfaltungen, Verzweigungen und eine papillenartige Architektur zeigt. Bipolare myoepitheliale Nacktkerne können erkennbar sein. Weiterhin sind unterschiedlich zellreiche fibröse bzw. chondromyxoide Stromafragmente nachweisbar.[1][11][12]
Differenzialdiagnose
Klinisch zwingend erforderlich ist eine hinreichend sichere Abgrenzung von bösartigen Tumoren der Mamma, insbesondere dem häufigen Mammakarzinom. Histologisch muss das Fibroadenom vom morphologisch teilweise sehr ähnlich aufgebauten, zwar meist gutartigen, prognostisch aber unsicheren Phylloidestumor abgegrenzt werden, der häufig ein zellreicheres Stroma mit Kernpolymorphie und vermehrt Mitosen zeigt. Eine seltene feingewebliche Differenzialdiagnose ist die Manifestation einer Fibromatose innerhalb der Brust. Hierbei sprechen ein infiltratives Wuchsverhalten, ein zellreiches Stroma und eine spärliche epitheliale Komponente für die Fibromatose und gegen ein Fibroadenom.[1]
Prognose
Als gutartige Läsion zeigt das Fibroadenom eine exzellente Prognose. Übergänge eines Fibroadenoms in einen bösartigen Tumor werden nur in Einzelfällen beschrieben und auch das Risiko einer (außerhalb des Fibroadenoms lokalisierten) Brustkrebserkrankung ist bei den betroffenen Frauen in der Folge nur marginal erhöht. Fibroadenome rezidivieren bei adäquater chirurgischer Therapie nicht und zeigen auch ohne jegliche Therapie eine Neigung zur spontanen Rückbildung (pro Jahr verschwinden etwa 10 Prozent der Fibroadenome von selbst).[1][2]
Fibroadenome bei Tieren
Fibroadenome kommen vor allem bei Katzen vor. Hier sind im Regelfall mehrere Gesäugekomplexe betroffen, man spricht von einer Fibroadenomatose.
Weblinks
Einzelnachweise
- ↑ a b c d e f C.D.M. Fletcher: Histopathology of Tumors. 3. Auflage. Churchill Livingston Elsevier, 2007, ISBN 978-0-443-07434-9.
- ↑ a b c d e f M. A. Roubidoux: Breast, Fibroadenoma. 29. Juli 2009; [1]
- ↑ Y. Ansah-Boateng, F. A. Tavassoli: Fibroadenoma and cystosarcoma phyllodes of the male breast. In: Mod Pathol. 1992 Mar;5(2), S. 114–116. PMID 1315437
- ↑ S. J. Shin, P. P. Rosen: Bilateral presentation of fibroadenoma with digital fibroma-like inclusions in the male breast. In: Arch Pathol Lab Med. 2007 Jul;131(7), S. 1126–1129. PMID 17617003
- ↑ PathConsult: Fibroadenoma. (18. März 2006), Elsevier; Archivierte Kopie ( vom 26. Juni 2011 im Internet Archive)
- ↑ C. S. Kaufman, P. J. Littrup, L. A. Freeman-Gibb, J. S. Smith, D. Francescatti, R. Simmons, L. H. Stocks, L. Bailey, J. K. Harness, B. A. Bachman, C. A. Henry: Office-based cryoablation of breast fibroadenomas with long-term follow-up. In: Breast J. 2005 Sep-Oct;11(5), S. 344–350. PMID 16174156
- ↑ K. Dowlatshahi, S. Wadhwani, R. Alvarado, C. Valadez, J. Dieschbourg: Interstitial laser therapy of breast fibroadenomas with 6 and 8 year follow-up. In: Breast J. 2010 Jan;16(1), S. 73–76. Epub 2009 Oct 12. PMID 19825000
- ↑ B. Cavallo Marincola, F. Pediconi, M. Anzidei, E.Miglio, L. Di Mare, M. Telesca, M. Mancini, G. D’Amati, M. Monti, C. Catalano and A. Napoli: High-intensity focused ultrasound in breast pathology: non-invasive treatment of benign and malignant lesions. In: Expert Review of Medical Devices, 1–9 (2014). doi:10.1586/17434440.2015.986096.
- ↑ R. Kovatcheva, J. Vlahov, J. Stoinov, K. Zaletel: Efficacy and Safety of US-guided High-intensity Focused Ultrasound for Treatment of Breast Fibroadenoma. Abstract 4th Focused Ultrasound Symposium 2014.
- ↑ R. Kovatcheva, J.N. Guglielmina, M. Abehsera, L. Boulanger, N. Laurent, E. Poncelet: Ultrasound-guided High-Intensity-Focused-Ultrasound treatment of breast fibroadenoma – a multicenter experience. In: Journal of Therapeutic Ultrasound. 22. Jan. 2015; 3(1). doi:10.1186/s40349-014-0022-3. PMC 4310188 (freier Volltext).
- ↑ F. Moinfar: Essentials of Breast Pathology. Springer, 2007, ISBN 978-3-540-45117-4.
- ↑ S. Z. Ali, A. V. Parwani: Breast Cytopathology. Springer, 2007, ISBN 978-0-387-71594-0.