Freier Wille
Für den Begriff freier Wille oder Willensfreiheit gibt es keine allgemein anerkannte Definition. Umgangssprachlich versteht man etwas anderes unter dem freien Willen als im juristischen oder psychologischen Sprachgebrauch. In der Philosophie wird der Begriff nicht einheitlich definiert.
In einem fachübergreifenden Sinne gehört zur Willensfreiheit die subjektiv empfundene menschliche Fähigkeit, bei verschiedenen Wahlmöglichkeiten eine bewusste Entscheidung zu treffen.
Philosophische Positionen
Die Begriffe von der „Subjekt“-Stellung des Menschen und von dessen „Autonomie“ oder auch dessen „Moralität“ beruhen auf der Annahme von Entscheidungsfreiheit. Auch die politischen Ideen der „Freiheit“ und der „Demokratie“ setzen diese Annahme voraus.
Doch bereits im griechischen Altertum, aber besonders seit Beginn der Aufklärung, sah sich die Vorstellung eines freien Willens zahlreichen Anzweiflungen ausgesetzt (siehe auch: Geschichte des Freien Willens).
Bedingte und unbedingte Willensfreiheit
Bedingte Willensfreiheit
Nach dem Konzept der bedingten Willensfreiheit ist ein Wille frei, wenn eine Person ihren Willen nach ihren persönlichen Motiven und Neigungen bildet und dann das tun kann, was sie will (Handlungsfreiheit). Welcher der konkurrierenden Wünsche eines Menschen sich als Wille herausbildet, hängt nach dieser Vorstellung von seiner Persönlichkeit und von Umwelteinflüssen ab.
Aufgrund der Komplexität der Umstände, die zur Willensbildung führen, sind die Ursachen einer Entscheidung nur teilweise einsehbar. Dennoch wird hier von Freiheit gesprochen, weil die getroffene Wahl den Neigungen und Motiven der Person entspricht und somit deren eigenen Willen darstellt und nicht einen aufgezwungenen.
Es bestehen allerdings Zweifel, ob der Ausdruck Freiheit hier angebracht sei, da die kausalen Ursachen einer Entscheidung für den Entscheider selbst nur zu einem Teil erkennbar seien. Schopenhauers Ausspruch, der Mensch könne tun, was er will, aber er könne nicht wollen, was er will, fasst diese Auffassung pointiert zusammen.
Als eine besondere Form der ‚bedingten‘ Willensfreiheit kann die ‚asymptotische‘ (angenäherte) Willensfreiheit angesehen werden: Da es einerseits einen absolut von allen Zwängen freien Willen nicht geben kann und andererseits doch das bewusste menschliche Denken bzw. das Wissen des Einzelnen, (d. h. die menschliche Persönlichkeit insgesamt) die jeweiligen individuellen Handlungen und Entscheidungen wesentlich beeinflussen, schlägt Philip Clayton das Konzept der asymptotischen Willensfreiheit vor. Diese ist nicht einfach gegeben, sondern sie entwickelt und vervollkommnet sich in dem Maße, wie sich das jeweilige Individuum menschlich vervollkommnet, ohne die absolute Willensfreiheit je zu erreichen.[1][2]
Unbedingte Willensfreiheit
Nach dem Konzept der unbedingten Willensfreiheit besteht keine Beschränkung der Freiheit. Gedacht werden könnte eine solche unbedingte Freiheit jedoch nur dann, wenn ein Wille durch nichts bedingt wäre. Das Problem bei dieser Freiheit ist, dass der Wille, wenn er durch nichts bedingt ist, als zufällig und unmotiviert gelten muss. Es unterläge dann also dem reinen Zufall, was sich zum Willen herausbildet. Er stünde nicht mehr im Einklang mit der Natur und den Neigungen der handelnden Person, wäre von ihr losgelöst und ihr auch nicht mehr zurechenbar.
Vereinbarkeit von Determinismus und Willensfreiheit
Determinismus
Dem Konzept des Determinismus liegt die Annahme zugrunde, dass alle Ereignisse, die geschehen, sowohl kausale Folge vorangegangener Ereignisse sind als auch von diesen eindeutig bestimmt werden.
Kompatibilismus
.jpg)
Die Position, dass der Determinismus mit dem freien Willen verträglich sei, bezeichnet man als Kompatibilismus. Kompatibilisten wie Thomas Hobbes definieren Willensfreiheit so, dass eine Person dann frei handelt, wenn sie eine Handlung will und auch anders handeln könnte, wenn sie anders handeln wollte. Innerhalb kompatibilistischer Positionen gibt es unterschiedliche Auffassungen darüber, ob Determinismus und Willensfreiheit lediglich miteinander verträglich seien oder ob der Determinismus sogar eine Voraussetzung für Willensfreiheit darstelle. Erstere bezeichnet man als weichen, letztere als harten Kompatibilismus.
Die Auffassung, dass es keine Rolle spielt, ob die Entscheidungen deterministisch bedingt sind, bezeichnet man als weichen Kompatibilismus. Nach dieser Auffassung ist der Wille frei, da die handelnde Person die determinierenden Faktoren nicht vollständig kenne. Für Vertreter dieser Position bedeutet die Freiheit des Willens letztlich also, nach Gründen zu handeln, die dem Handelnden nicht vollständig bewusst sind. Die erlebte Freiheit bei der Entscheidung ist also nur eine scheinbare Freiheit.
Die Auffassung, dass Willensfreiheit nur dann möglich ist, wenn eine Entscheidung durch in der Vergangenheit liegende Ereignisse bedingt ist, bezeichnet man als harten Kompatibilismus. Frei sei ein Wille demnach dann, wenn er durch Gründe motiviert ist, die im Einklang mit den Werten und Überzeugungen der wollenden und handelnden Person stehen. Die erlebte Freiheit bei der Entscheidung sei die tatsächliche Freiheit. Ein unfreier Wille wäre nach diesem Verständnis ein handlungsleitender Wille, der als auferlegt erlebt würde, etwa aufgrund von Zwangsgedanken oder Beeinflussung durch andere Personen.
Moderne Vertreter des Kompatibilismus sind u. a. Harry Frankfurt, Daniel C. Dennett, Michael Pauen und Peter Bieri.
Inkompatibilismus

Einige Philosophen sehen die Konzepte von Willensfreiheit und Determinismus als unvereinbar an. Wenn der Wille wie alles andere in der Welt bedingt sei, so könnten er und alle von ihm ausgehenden Entscheidungen und Handlungen nicht frei sein. Diese philosophische Auffassung bezeichnet man als Inkompatibilismus.
Inkompatibilisten gehen davon aus, dass eine Person genau dann einen freien Willen besitze, wenn sie der einzige verursachende Grund (Erstauslöser) für die Handlung sei und sie in einer Entscheidungssituation verschiedene Entscheidungen treffen könne. Es gibt dann neben der Verursachung durch Ereignisse (Ereigniskausalität) oder durch Zufall noch eine dritte, die sogenannte Akteurskausalität (Substanzkausalität, Agenskausalität). Handlungen werden dann auf Wünsche und Überzeugungen des Handelnden zurückgeführt, die er unterschiedlich gewichtet und die damit die Gründe für seine Handlungen liefern.[3] Diese Definition entspricht der unbedingten Willensfreiheit. Determinismus wird von Inkompatibilisten nicht zwangsläufig als unzutreffend abgelehnt, doch wenn er zuträfe, wäre jede Wahl, die wir treffen, bereits durch frühere Ereignisse bedingt.
Inkompatibilisten lassen sich also in zwei entgegengesetzte Positionen einteilen:
- „Harte Deterministen“ wie Baron d'Holbach oder Derk Pereboom, die den Determinismus für zutreffend halten und bestreiten, dass es so etwas wie einen freien Willen gibt.
- Libertarianer wie Peter van Inwagen, Robert Kane oder Geert Keil, die den Determinismus ablehnen und die Existenz eines freien Willens bejahen.
Indeterminismus und Willensfreiheit
Als Indeterminismus bezeichnet man die dem Determinismus gegensätzliche Auffassung, dass es (zumindest einige) Ereignisse gibt, die nicht durch vorangegangene Ereignisse bedingt sind.
Libertarianer sind der Meinung, dass undeterminierte Handlungen nicht rein zufällig sind, sondern einem substantiellen Willen entspringen, dessen Entscheidungen undeterminiert sind. Dieser Ansatz wird weithin als nicht zufriedenstellend angesehen, da er das Problem nur einen Schritt weiter zurück verlagert (zu dem substantiellen Willen) und nicht erklären kann, was dieser substantielle Wille ist und welchen Gesetzen er im Unterschied zu herkömmlichen Konzepten des Geistes unterworfen ist.
Kausalität und Willensfreiheit

Schon vor dem neueren probabilistischen Verständnis der Lebensvorgänge sah bereits Arthur Schopenhauer ein Argument gegen die Willensfreiheit darin, dass sie eine Verletzung des Kausalitätsprinzips bedeutet, einer Grundfeste des menschlichen Denkens. Der freie Wille sei eine Illusion, in Wahrheit sei der Wille durch chaotische (also äußerst komplexe) Einflüsse außerhalb und innerhalb des Subjekts gesteuert.
Verbreitung der Positionen
In einer 2009 durchgeführten Erhebung wurde der Verbreitungsgrad der dargelegten Positionen unter Philosophen ermittelt. In der Erhebung wurden Mitglieder von insgesamt 99 philosophischen Fakultäten befragt, die vom Philosophical Gourmet Report als hochrangig eingestuft wurden, davon 90 in englischsprachigen Ländern. Von den 931 teilnehmenden Philosophen wurden zur Frage „Freier Wille“ die Wahlmöglichkeiten (Optionen) „Ich akzeptiere“ oder „Ich neige zu“ wie folgt auf vier vorgegebene Kategorien verteilt: „Kompatibilismus“ 59,1 %, „Libertarismus“ 13,7 %, „Kein freier Wille“ 12,2 %, „Anderes“ 14,9 %.[4]
Naturwissenschaftliche Modelle und Befunde
Im Verlauf der Geschichte der Naturwissenschaften wurden zahlreiche Versuche unternommen, die vorherrschenden Auffassungen von Willensfreiheit anhand empirisch-naturwissenschaftlicher Modelle und Befunde zu untermauern oder zu hinterfragen. Je nach der zu Grunde gelegten Auffassung von Willensfreiheit können aus den Beiträgen der empirischen Wissenschaften dabei unterschiedliche Schlüsse gezogen werden (siehe dazu Kompatibilismus und Inkompatibilismus).
Physik
.jpg)
Das Weltbild der klassischen Mechanik sieht die Welt als deterministisch an. Es enthält die Auffassung, dass bei genügend genauer Information die Zukunft beliebig genau vorhergesagt werden kann. Dagegen ist es in der Quantenmechanik nicht mehr möglich, den Ablauf eines Vorgangs hinsichtlich aller messbarer Größen vorherzusagen, selbst wenn alle prinzipiell zugänglichen Informationen über seinen Anfangszustand bekannt sind (siehe das Gedankenmodell Schrödingers Katze). Nach gängiger (aber nicht unumstrittener) Interpretation ist damit das Naturgeschehen nicht vollständig determiniert, sondern unterliegt in einem fundamentalen Sinne partiell dem Zufall. Der Mathematiker John H. Conway und der Physiker Simon Kochen haben versucht, über ihr Free Will Theorem einen Zusammenhang zwischen menschlicher Entscheidungsfreiheit und quantenmechanischer Unschärfe (Indeterminiertheit) herzustellen.[5]
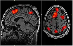
Hirnforschung
Durch den Einsatz moderner bildgebender Methoden, vor allem PET und fMRT, ist es möglich geworden, neuronale Vorgänge grob zu beobachten, die dem Prozess der Entscheidungsbildung zugeordnet werden können. Dabei deuten die bisherigen Ergebnisse darauf hin, dass manche Entscheidungen im Gehirn bereits getroffen werden, bevor die Person sich ihrer bewusst wird. Allerdings handelt es sich bei den Entscheidungen in diesen Experimenten bis dato um „folgenlose“ Spontanentscheidungen, z. B. welche Hand zum Greifen benutzt wird. Kritiker wenden deshalb ein, dass eine empfundene Freiheit der Entscheidung insofern doch real sein könnte, als die empfindende Person die Ausführung der Handlung steuern und überwachen könnte und in diesem Prozess die Möglichkeit hätte, die Aktion noch zu unterbrechen oder zu modifizieren. Dies wurde in dem Vorschlag ausgedrückt, die bewusst empfindende Person hätte möglicherweise eine Art „Vetorecht“. Spätere Experimente deuteten jedoch darauf hin, dass auch Veto-Entscheidungen unbewusst getroffen werden und erst nachträglich als freie Entscheidungen empfunden werden.[6]
Nach dem gegenwärtigen Erklärungsmodell der Hirnforschung über die Steuerung der Willkürmotorik haben viele, vor allem grundlegende, Antriebe für das Verhalten des Menschen einen subkortikalen Ursprung – sie entstehen im limbischen Bewertungs- und Gedächtnissystem. Dieses aktiviert die Basalganglien und das Kleinhirn, die wiederum die kortikalen Prozesse in Gang setzen. Dann erst setzt die Empfindung ein, etwas zu wollen. Damit stimmt überein, dass bei Willkürhandlungen zuerst in den Basalganglien und im Kleinhirn neuronale Aktivität auftritt und erst danach in der Großhirnrinde.
Psychologie
Der Psychologe Daniel Wegner führte eine Reihe von Experimenten durch, in denen Menschen eine Illusion der Kontrolle erleben und das Gefühl haben, dass ihr Wille Ereignisse prägt, die tatsächlich von jemand anderem bestimmt werden.[7] Er argumentierte, dass die Leichtigkeit, mit der diese Illusion erzeugt werden könne, zeige, dass das alltägliche Gefühl des freien Willens eine Illusion sei[8][9] und dass in Wirklichkeit sowohl Verhalten als auch der Wille das Produkt anderer, unbewusster mentaler Prozesse seien.[10] Wegner definierte den freien Willen als eine Funktion der Priorität (der Gedanke muss vor der Handlung kommen), der Konsistenz (der Gedanke muss mit der Handlung übereinstimmen) und der Exklusivität (der Gedanke kann nicht mit anderen Ursachen einhergehen).[11] Wegner bestritt jedoch nicht, dass bewusstes Denken Handeln hervorrufen kann, sondern er betonte, dass jeder Zusammenhang zwischen bewusstem Denken und Handeln durch wissenschaftliche Untersuchungen und nicht durch unzuverlässige Selbstbeobachtung und Gefühle bestimmt werden sollte.
Seit den 1950er Jahren wird in der Psychologie nicht nur die Frage nach Willensfreiheit selbst, sondern auch die Funktion des Glaubens an eine solche empirisch untersucht.[12] In diesen Studien wird der Zusammenhang zwischen dem Glauben an Willensfreiheit und anderen Einstellungen und Verhaltensweisen untersucht. So wurden beispielsweise Zusammenhänge zwischen der Überzeugung, dass Menschen einen freien Willen haben können, und verschiedenen kognitiven, sozialpsychologischen und motivationalen Konstrukten berichtet.[13] Diese Herangehensweise, die häufig dem Ansatz der experimentellen Philosophie folgt, hat den Vorteil, dass die metaphysische Frage nach der Existenz eines freien Willens nicht geklärt sein muss, um klare Aussagen über die Funktion des Glaubens an einen freien Willen treffen zu können.[12] Einige der Befunde zum Glauben an einen freien Willen konnten in nachfolgenden Studien nicht repliziert werden, weshalb dieses Forschungsthema im Zusammenhang mit der Replikationskrise diskutiert wird.[14]
Experimente zur Willensfreiheit
Ein viel diskutiertes Experiment (Libet-Experiment) auf diesem Gebiet wurde 1979 von Benjamin Libet durchgeführt. Die Probanden wurden gebeten, in einem beliebigen Moment ihren Finger zu heben, während sie eine Art Uhrzeiger verfolgten. Gleichzeitig wurde eine bestimmte, mit der Fingerbewegung zeitlich gekoppelte, Gehirnaktivität aufgezeichnet. Nach Libets Deutung zeigte das Experiment, dass die Gehirnaktivität, die dazu führte, dass eine Person ihren Finger bewegte, etwa 550 ms vor dem Moment einsetzte, in dem diese Person der Auffassung war, sich bewusst dafür zu entscheiden. Diese vorausgehende und unbewusst bleibende Gehirnaktivität wurde schon 1964 von William Grey Walter und 1965 von Hans Helmut Kornhuber und Lüder Deecke beschrieben,[15][16] und das messbare Korrelat wird unter anderem als Bereitschaftspotential oder auch Vorbereitungspotential[17] bezeichnet. Libet selbst schlussfolgerte daraus, dass die Annahme, der Mensch verfüge über keinen freien Willen, falsch sein müsse: Innerhalb des nachgewiesenen Zeitfensters zwischen Bereitschaftspotential und bewusst empfundener Handlungsentscheidung sei ein „Veto“ möglich. In einer Studie von 2016 wurde Libets Veto mittels eines Brain-Computer-Interface genauer untersucht. Hier zeigte sich, dass beabsichtigte, willkürliche motorische Handlungen bis etwa 200 ms vor der eigentlichen Durchführung unterbunden werden können, und selbst noch nach dem Einsetzen von Muskelaktivität verändert oder abgebrochen werden können.[18]
Die experimentellen Forschungsergebnisse aus der Psychologie von Daniel Wegner stimmten mit den physiologischen Erkenntnissen von Benjamin Libet überein.[11] Wegner und Wheatley konnten im richtungsweisenden „I-Spy“-Experiment zeigen, dass Handlungen immer dann als durch eigene Gedanken verursacht erlebt werden, wenn der Gedanke unmittelbar vor der Handlung erlebt wird, dieser konsistent mit der Handlung ist und es keine andere plausible Ursache für die Handlung gibt.[11]
Ein Nachfolgeexperiment von Haggard und Eimer aus dem Jahr 1999 erweiterte den ursprünglichen Ansatz, indem die Probanden hier nicht nur entscheiden konnten, wann sie ihre Hand bewegten, sondern zusätzlich auch, welche Hand. Damit begegneten die Forscher einem häufig vorgebrachten Einwand gegen das Libet-Experiment, wonach die Probanden keine wirkliche Entscheidung im Sinne einer Wahl unter verschiedenen Optionen treffen konnten und die Resultate deshalb nicht für die menschliche Praxis typisch seien. Die Ergebnisse von Haggard und Eimer bestätigten Libets Daten, wonach das Bereitschaftspotential der bewusst empfundenen Entscheidung vorausgeht.[19]
Bezüglich der von Libet vorgeschlagenen Möglichkeit eines „Vetos“ innerhalb eines bestimmten Zeitfensters (s. o.) deuten Experimente von 2009 zur Bewusstheit willentlicher Entscheidungen von Kühn und Brass darauf hin, dass auch Veto-Entscheidungen unbewusst getroffen werden und erst nachträglich als freie Entscheidungen empfunden werden.[6]
In der Nachfolge der Libet-Experimente führte eine Gruppe um Alvaro Pascual-Leone 1992 ein Experiment durch, bei dem die Probanden gebeten wurden, zufällig die rechte oder die linke Hand zu bewegen. Er fand heraus, dass durch die Stimulation der verschiedenen Hirnhälften mittels magnetischer Felder die Wahl der Person stark beeinflusst werden konnte. Normalerweise wählen Rechtshänder die rechte Hand in ca. 60 % aller Fälle. Wurde jedoch die rechte Hirnhälfte stimuliert, wurde die linke Hand in 80 % aller Fälle ausgewählt (Die rechte Hemisphäre des Hirns ist im Wesentlichen für die linke Körperhälfte zuständig und umgekehrt). Trotz dieses nachweislichen Einflusses von außen berichteten die Probanden weiterhin, dass sie der Überzeugung waren, die Wahl frei getroffen zu haben.[20]

2013 wurde von einer Forschergruppe um John-Dylan Haynes am Berlin Center for Advanced Neuroimaging (BCAN) nachgewiesen, dass nicht nur Entscheidungen für eine Handbewegung, sondern auch Entscheidungen bei der Auswahl einer abstrakten Denkaufgabe (Rechenaufgabe) spezifische, zeitlich vorausgehende Gehirnaktivität aufweisen. Statistische Analysen abgebildeter Gehirnaktivitäten zeigten, dass mit überzufälliger Häufigkeit bestimmte Aktivitätsmuster ca. vier Sekunden vor dem Moment auftraten, in dem die Versuchspersonen selbst sich über ihre Entscheidung bewusst sein konnten. Die Eigenschaften der Aktivitätsmuster waren jeweils typisch für die Art der nachfolgenden Entscheidung.[21] Nach Erscheinen der Studie wies Haynes im Deutschlandfunk darauf hin, dass die Ergebnisse zeigten, „wie stark unsere Entscheidungen von unbewussten Hintergrundprozessen beeinflusst werden. Das ist das eigentlich Interessante, dass wir das Gefühl haben, ich entscheide mich jetzt, aber dass irgendetwas im Gehirn schon unbewusst passiert ist, davor.“
Der genaue Zusammenhang zwischen den unbewussten Hirnprozessen und der Sekunden später bewusst getroffenen Entscheidung sei jedoch noch unklar. Was jetzt gebraucht werde, seien „20 Jahre Forschung zum Thema Gehirnmechanismen des freien Willens“.[22]
Neueste (Stand 2015) experimentelle Forschungsergebnisse u. a. von Haynes weisen aber darauf hin, dass solche Gehirnaktivitäten – nachdem sie unwillkürlich gestartet wurden – willentlich gestoppt werden können: „Die Probanden sind den frühen Hirnwellen nicht unkontrollierbar unterworfen. Sie waren dazu in der Lage, aktiv in den Ablauf der Entscheidung einzugreifen und eine Bewegung abzubrechen“, so Haynes. „Dies bedeutet, dass die Freiheit menschlicher Willensentscheidungen wesentlich weniger eingeschränkt ist, als bisher gedacht. Dennoch gibt es einen Punkt im zeitlichen Ablauf von Entscheidungsprozessen, ab dem eine Umkehr nicht mehr möglich ist, den ‚point of no return’.“[18][23]
Freier Wille und Selbstkontrolle
Eine spezielle Erscheinungsform des freien Willens ist die Selbstkontrolle einer handelnden Person. Sie hat große Bedeutung in allen sozialen Bereichen. Erforscht wird sie in der empirischen Grundlagenforschung der Psychologie.
So konnten zum Beispiel mehrere – in neuerer Zeit auch sehr umfangreiche – Erhebungen zeigen, dass das Ausmaß der Selbstkontrolle während der Kindheit einen starken Einfluss hat auf spätere Erfolge im Leben, so in den Bereichen Gesundheit, materieller Wohlstand und Zufriedenheit, und zwar unabhängig von Intelligenz und sozialem Status. Gleichzeitig führte ein höheres Ausmaß an Selbstkontrolle während der Kindheit im späteren Leben zu geringeren sozialen Kosten durch medizinische Behandlung, Sozialleistungen und Strafverfolgung.[24][25][26]
Das Empfinden eines freien Willens wird in all diesen Studien als selbstverständlich vorausgesetzt, und es wird für die Untersuchungsergebnisse als unerheblich angesehen, ob die erfassten Personen Ansichten darüber haben, ob die Freiheit ihres Willens real oder vorgestellt sei.
Autonome Systeme in der Künstlichen Intelligenz
Nach VDI-Richtlinie VDI/VDE: 2653[27] ist „Ein technischer Agent () eine abgrenzbare (Hardware- oder/und Software-) Einheit mit definierten Zielen. Ein technischer Agent ist bestrebt, diese Ziele durch selbständiges Verhalten zu erreichen und interagiert dabei mit seiner Umgebung und anderen Agenten.“ Hardware-Agenten (z. B. Roboterfußball, autonomes Fahren, Militärroboter) und Software-Agenten können also eigenständige Entscheidungen treffen und eigenständig aktiv werden (handeln), unbeeinflusst von menschlichen Eingriffen. Sie können situationsangemessen agieren, um vorgegebene Aufgaben (allein oder im Team) zu erledigen.
Man unterscheidet (bei Software-Agenten) unterschiedliche Agententypen.
- Adaptive Agenten verwalten ein Modell der eigenen Prozess- und Parameterstruktur und können sich auf Basis der eigenen Vorgeschichte und äußerer Bedingungen anpassen.
- Kognitive Agenten verwalten analog ein Modell ihrer Umwelt. Dies ermöglicht zielgerichtetes Handeln in dieser Umwelt.
Bei autonomen Systemen unterscheidet man zudem zwischen reaktiven Aktionen (Reaktion auf die Umgebung) und proaktiven Aktionen (selbständiges, zielorientiertes Verhalten mit Eigeninitiative).[28]
- Deliberative (Software-) Agenten (deliberative agent) evaluieren ihre Optionen zur bestmöglichen Zielerreichung, ehe sie handeln (automatische Auswahl des günstigsten Lösungswegs). Dabei geht es um die Entscheidung, welche Ziele erreicht werden sollen (Deliberation) und wie sie erreicht werden sollen (Means-End-Reasoning). Das Ergebnis sind Intentionen.[29]
- BDI-Agenten (Beliefs=Weltwissen / Desires=Ziele / Intentions=Absichten) sind Software-Agenten die beliebig viele desires (Wünsche?) haben können, sich dann aber nach Auswahl auf eine intention (Wille?) festlegen (commitment), die dann weiter verfolgt (handlungswirksam?) wird[30][31]
Als Kriterium für eine freie Entscheidung gelten in der Philosophie
- Bedingung des Anders-Handeln- oder Anders-Entscheiden-Könnens
- Urheberschaftsbedingung (das autonome System entscheidet selbst und die Entscheidung hängt von seinen Wünschen, Überzeugungen und Überlegungen ab)
- Eigenkontrollierte Entscheidungen ohne äußere Zwänge (Kontrollbedingung)[32]
Ersetzt man die Begriffe Person durch Agent bzw. Akteur, Wunsch durch desire und Wille durch intention, commitment oder Ziel, werden diese Anforderungen offensichtlich auch von bestimmten Agenten erfüllt, obwohl hier die (übergeordneten) Ziele vorgegeben sind. Fraglich ist aber, ob diese Wünsche und Motive bei Personen nicht ebenfalls genetisch (oder ontogenetisch) vorgegeben und somit ebenfalls nur bedingt frei sind (Maslowsche Bedürfnishierarchie).[33] Beckermann hält es nicht für besonders sinnvoll zu sagen, die Natur manipuliere uns dadurch oder mache uns dadurch unfrei, dass sie uns diese Wünsche mit auf den Weg gibt. Unsere Freiheit beruht vielmehr darauf, dass sich in uns Menschen im Laufe der Zeit die Fähigkeit entwickelt hat, uns unserer Wünsche bewusst zu werden und über sie nachzudenken.[3] Daraus resultieren persönliche Entscheidungen. Ein Wille wird dann als Anstreben von selbst festgelegten Zielen und deren Umsetzung in die Tat gesehen.
Daraus leitet sich die Frage ab, ob die notwendigen Bedingungen für Willens-, Entscheidungs- und Handlungsfreiheit auch dann erfüllt sind, wenn autonome Agenten durch streng determiniertes, algorithmusbasiertes Planen und Schlussfolgern[29] in einer modellierten Welt geeignete Aktionen finden, um ein Ziel auszuwählen und ihm näherzukommen[30] und zwar auch ohne begleitendes Bewusstsein? Oder ist die Fähigkeit zur (Selbst-)Lokalisierung bereits eine Vorstufe von Selbstbewusstsein? Kann man zudem Ergebnisse aus maschinellem Planen und Schlussfolgern mit dem Ergebnis menschlicher Überlegungen[34] gleichsetzen? Und setzt Wollen bewusste Wünsche und Vorstellungen voraus und bedarf es überhaupt eines Wollens und eines Bewusstseins im menschlichen Sinne, wenn zwischen Alternativen entschieden wird zur Erreichung von Zielen?[35]
Bei autonomen Systemen (insbesondere beim autonomen Fahren) stellt sich zudem die Frage, wodurch das Verhalten beeinflusst (begründet) wird und wie vertrauenswürdig es ist[36] sowie die Frage nach der Verantwortung und Schuldfähigkeit technischer Systeme.[37]
Genetik
Im biologischen Sinne wird der Wille eines Menschen auch durch Erbanlagen und Umwelteinflüsse bestimmt. Eine kontrovers geführte Debatte der Biologie ist die Frage, ob das Verhalten des Menschen eher aufgrund seiner Evolutionsgeschichte (Phylogenese) oder eher aufgrund seiner persönlichen (ontogenetischen) Prägung bestimmt ist. Also: Wie festlegend sind Humangenetik und biologische Grundlagen für die Freiheit menschlichen Verhaltens und Denkens im Gegensatz zur Prägung durch Kultur und Umgebung? Genetische Studien haben viele spezifische genetische Faktoren identifiziert, die die Persönlichkeit und damit die Freiheit eines Individuums beeinflussen. Beispiele dafür sind das Down-Syndrom bis hin zu eher subtilen Effekten wie der statistischen Disposition für Schizophrenie. In letzteren und vielen anderen Fällen handelt es sich um ein Wechselspiel zwischen Disposition und Umwelt, das die individuelle Freiheit des Denkens und Handelns beschränkt.
Geisteswissenschaftliche Sichtweisen
Psychologie
Selbstbestimmungstheorie
In der von Richard M. Ryan und Edward L. Deci seit 2000 vertretenen Selbstbestimmungstheorie (SDT)[38][39] ist der Begriff Autonomie von zentraler Bedeutung. Er wurde hier definiert als ein Gefühl völliger Freiwilligkeit (urge to be causal agent of one's own life), also als subjektiv wahrgenommener eigener freier Wille. Dabei gehört Autonomie aus Sicht dieser Theorie zusammen mit Kompetenz und sozialer Eingebundenheit zu den drei universalen psychologischen Grundbedürfnissen, die für die Qualität von Verhalten sowie damit verbundenem Wohlbefinden von Bedeutung seien. Diese Grundbedürfnisse hätten sich im Laufe der Evolutionsgeschichte der Menschheit als diejenigen Mechanismen herausgebildet, mit denen der Einzelne sich am besten an die Anforderungen seines sozialen und physikalischen Umfeldes anpassen könne. Das Bedürfnis nach Autonomie beschreibe dabei eine tief im Organismus verwurzelte Tendenz zur Selbstregulation der eigenen Handlungen und Kohärenz seiner Verhaltensziele.
Zur Beschreibung von Verhalten dient in der Selbstbestimmungstheorie ein Motivationsbegriff, der als Kenngrößen nicht nur die Motivationsstärke, sondern daneben auch den, ebenfalls als Kontinuum verstandenen, Autonomiegrad besitzt. Dieser erstreckt sich von fremd reguliertem Verhalten, beispielsweise durch äußere Belohnungen oder Zwang, über nur eingeschränkt internalisierte Regulierung (Vermeidung von Schuldgefühlen oder Angst), bis hin zu autonomer Motivation, bei der das Verhalten vollständig in das Selbstgefühl integriert ist. Im Vergleich zu einem fremd regulierten Verhalten gleicher Motivationsstärke sei autonom reguliertes Verhalten durch größere Effizienz, insbesondere in Bezug auf Problemlösungsverhalten und Durchhaltevermögen, sowie durch größeres Wohlbefinden gekennzeichnet.
Linksextreme Kritik
Vertreter der extremen Linken ziehen die Diskussion um den freien Willen dazu heran, der gängigen Psychologie eine politische Entmündigung des Bürgers zu unterstellen. Von der Psychoanalyse Freuds bis zur Verhaltenspsychologie Skinners sei die Psychologie reaktionär, weil sie auf das Unterbewusste abhebe, politische Faktoren ignoriere und dem Individuum den freien Willen abspreche, also auch die Fähigkeit, bewusst politisch zu handeln:
- „[…] eine von falschem Bewußtsein bestimmte Praxis des durchaus freien Willens ist eben nichts anderes als eine Reihe von Veranstaltungen, in denen sich die Individualität den Geboten des Kapitals und seines Staates fügt. Es bedarf keineswegs einer Leugnung der Freiheit, und schon gar nicht der mühsam zusammenkonstruierten Macht des Un-Bewußten, um das Gelingen von Herrschaft und Ausbeutung auf dem Globus verständlich zu machen.“[40]
Theologie
Das Wort Freiheit findet in theologischen Diskussionen nicht immer genau dieselbe Verwendung wie in philosophischen, sondern schließt auch bestimmte Aspekte ein, die von einem religiös begründeten Verständnis abhängen. Ein allgemein verbreiteter Konsens bezüglich der Details des Freiheitsbegriffs besteht ebenso wenig wie in der Philosophie.
Von Kritikern bestimmter religionsphilosophischer und theologischer Freiheitsinterpretationen wird häufig ein Problem für die Annahme angeführt, dass die menschliche Freiheit vor dem Hintergrund göttlicher Allwissenheit (Omniszienz) widerspruchsfrei bestehen könne: Wenn Gott allwissend ist, wie kann dann der Mensch frei in seinen Entscheidungen sein? Denn wenn Gott alle Fakten kennt, weiß er auch, welche Entscheidung ein Mensch zu einem bestimmten Zeitpunkt treffen wird. Es bestünden also aufgrund des göttlichen Vorwissens keine alternativen Handlungsmöglichkeiten. Diese zeichnen jedoch gerade eine in Freiheit gefällte Entscheidung aus. Noch verschärft wird dieses Dilemma dann, wenn man – wie in vielen Religionen der Fall – Gott als einem übermächtigen Wesen über das bloß beobachtende Vorherwissen hinaus auch eine die Geschicke der Welt oder das Schicksal des individuellen Menschen lenkende oder fügende Funktion zuweist (Vorsehungsglaube) oder sogar annimmt, die sittlich-religiöse Letztbestimmung beziehungsweise das Seelenheil eines Menschen werde durch göttlichen Ratschluss im Voraus unabwendbar festgelegt (Prädestinationsglaube).
Auch die Gegenthese, göttliche Allwissenheit und menschliche Entscheidungsfreiheit würden einander keineswegs widersprechen, z. B. wenn Gott (als der Raumzeit entzogener Beobachter) nur die Entscheidung vorhersieht, nicht aber beeinflusst,[41] wurde und wird in Theologie und Philosophie vertreten.[42][43] Verschiedene spätscholastische Positionen hierzu werden unter dem Schlagwort Voluntarismus zusammengefasst.
Diesen Ansichten gegenüber steht das theologische Konzept eines Wirklichkeitsganzen, welches sich sowohl aus der natürlichen (Diesseits) als auch aus der transzendenten Wirklichkeit (Jenseits) zusammensetze. Beide Wirklichkeiten existierten auch im Menschen, weshalb die Prozesse der Handlungsfindung sowohl biologisch als auch göttlich motiviert seien. Es brächten also jeweils zwei Grundmotivationen Optionen für einen möglichen Wahlentscheid hervor, womit der Mensch zumindest zwischen diesen beiden Grundmotivationen bei Handlungen frei entscheiden könne.
Eine klassische Behandlung des Problems findet sich bereits in der Theodizee von Gottfried Wilhelm Leibniz, der die Frage behandelt, inwiefern Gott für das malum morale, also für die Entscheidungen der Menschen für das Böse, verantwortlich gemacht werden kann.
Christentum
Im Christentum hat die Frage nach der Willensfreiheit im engeren Sinne eine wichtige Stellung, weil damit das Problem angesprochen wird, inwiefern der Mensch aus eigener Kraft vor Gott gerecht werden und sich dem Heil zuwenden kann. Im christlichen Kontext behandelt die Frage nach der Willensfreiheit demnach das Verhältnis von Freiheit und Gnade Gottes.
Die Bibel enthält sowohl Verse, welche die Freiheit des Menschen, selbst zu entscheiden, unterstreichen, als auch solche, die diese Freiheit einschränken oder aufheben. Besonders zu erwähnen sind hierzu Paulus’ Ausführungen zur souveränen Bestimmung des Menschen zu Heil oder Unheil durch Gott (Röm 9,20–23 ). Augustinus vertrat unter anderem im Streit mit dem Pelagianismus die Position, dass es keine absolute Willensfreiheit gebe. Diese Fähigkeit habe der Mensch durch den Sündenfall verloren. In De Civitate Dei (De Civ. XII, 6–9) und in De libero arbitrio (De lib. arb. I, 12. III, 3) argumentiert Augustinus jedoch dafür, dass der Mensch durch die Gnade Gottes sich entscheiden kann, weil sein Wissen unvollkommen ist. Willensentscheidungen sind nicht kausal verursacht. Dies gilt, obwohl Gott allwissend ist und aufgrund dessen die menschlichen Entscheidungen vorhersehen kann.[44] „Der Wille, der jedwede Handlung auslöst, wird einzig und allein durch eine Vorstellung gewonnen. Was der Mensch für sich wählt, was er von sich weist, liegt in seiner Macht. Es muss zugegeben werden, dass der Geist sowohl von höheren als auch von niederen Vorstellungen berührt wird, und das vernünftige Wesen aus beiden die Auswahl trifft, die es will, und dass sich aus dem Verdienst dieser Wahl sowohl Elend als auch Glückseligkeit ergeben.“ (lib.arb, III, 74)
Martin Luther betonte in seiner Schrift De servo arbitrio die Unfreiheit des menschlichen Willens hinsichtlich des Heils und auch grundsätzlich die Unmöglichkeit eines freien Willens.[45] Diese Position führte in der Zeit der Reformation zum öffentlichen Bruch zwischen Martin Luther und Erasmus von Rotterdam. Johannes Calvin ging weiter als Luther und vertrat die Lehre einer doppelten Prädestination, gegen die sich später u. a. der reformierte Theologe Jacobus Arminius wandte. Anders die radikal-reformatorischen Unitarier, die sich in dem 1605 erstmals erschienenen Rakauer Katechismus für den freien Willen und gegen die Erbsünde aussprachen.[46] Auch im 1864 von József Ferencz für die ungarischen und siebenbürgischen Unitarier verfassten Katechismus wird der freie Wille betont.[47]
Innerhalb des breiten Spektrums christlicher Kirchen neigen Theologen mancher Konfessionen heute stärker dazu, den freien Willen zu betonen als andere. So heben römisch-katholische Theologen den freien Willen des Menschen hervor: Es liege an jedem Einzelnen, die göttliche Liebe als Motivation bei Handlungen zu bevorzugen bzw. die Gnadengaben Gottes anzunehmen und er könne sich auch in Freiheit dazu entscheiden, sie abzulehnen (dies betont etwa Karl Rahner). Auch die meisten Freikirchen, die nicht aus dem Pietismus entstanden sind, sehen einen freien Willen des Menschen als gegeben an. Lutherische und calvinistische Kirchen stehen dem tendenziell entgegen.
Die meisten Kirchen erkennen die Einschränkung des freien Willens etwa durch psychische Zwänge an. Die katholische Kirche geht davon aus, dass im Falle einer Besessenheit durch Dämonen bzw. Geister der freie Wille des Besessenen ebenfalls eingeschränkt oder aufgehoben ist.
Andere Religionen
Im Islam sind Prädestinationslehren weit verbreitet, doch haben Qadariten und Muʿtaziliten die Willensfreiheit des Menschen gelehrt. Auch im Hinduismus gehen einige Strömungen von Prädestination aus, andere betonen die Freiheit des Menschen. Der Buddhismus verneint die absolute Willensfreiheit,[48] während die Idee der Willensfreiheit im Judentum ein zentrales Dogma darstellt (siehe Dtn 11,26 ).
Rechtslage in Deutschland
Die verfassungsrechtliche Leitidee der Menschenwürde (Art. 1 Abs. 1 Grundgesetz, auch Art. 1 der Grundrechtecharta der Europäischen Union) beruht nach Ansicht des Bundesverfassungsgerichts auf der Entscheidungsfreiheit: „Dem Schutz der Menschenwürde liegt die Vorstellung vom Menschen als einem geistig–sittlichen Wesen zugrunde, das darauf angelegt ist, sich in Freiheit selbst zu bestimmen und zu entfalten.“ Aus diesem Ansatz leitet das Bundesverfassungsgericht dann auch den Verfassungsrang des, jedenfalls für das deutsche Strafrecht maßgeblichen, Schuldprinzips ab.[49]
Auch der deutsche (Bundes-)Gesetzgeber setzt die Fähigkeit der freien Entscheidung des erwachsenen Menschen voraus:
So bestimmt § 104 Nr. 2 BGB die Geschäftsunfähigkeit als einen „die freie Willensbildung ausschließenden Zustand“ und setzt damit die Willensfreiheit des Individuums als eine nur im Ausnahmefall wegfallende Grundeigenschaft voraus.[50] Ohne diese Prämisse wäre vor allem das Prinzip der Privatautonomie, auf dem das deutsche Privatrecht wesentlich beruht, erheblich in Zweifel gezogen.[51]
Ebenso geht das Strafgesetzbuch von der Voraussetzung der freien Entscheidung aus: Nur „wer bei Begehung der Tat wegen einer krankhaften seelischen Störung, wegen einer tiefgreifenden Bewußtseinsstörung oder wegen einer Intelligenzminderung oder einer schweren anderen seelischen Störung unfähig ist, das Unrecht der Tat einzusehen oder nach dieser Einsicht zu handeln“, handelt gemäß § 20 StGB „ohne Schuld“.
Zum Betreuungsrecht heißt es in einem Beschluss des Bayerischen Obersten Landesgerichts aus 2000:[52] „Die Bestellung eines Betreuers von Amts wegen, also ohne Antrag des Volljährigen und, wie hier, gegen seinen Willen, setzt aber voraus, dass der Betreute aufgrund einer psychischen Erkrankung seinen Willen nicht frei bestimmen kann. Dies sagt das Gesetz zwar nicht ausdrücklich, ergibt sich aber aus einer verfassungskonformen Auslegung des Gesetzes. Denn der Staat hat wegen entsprechender Verfassungsbestimmungen nicht das Recht, seine erwachsenen und zur freien Willensbestimmung fähigen Bürger zu bessern oder zu hindern, sich selbst zu schädigen“.[53] Von der Existenz eines freien Willens ging auch die Fassung von § 1896 Abs. 1a BGB ab dem 1. Juli 2005 aus und geht § 1814 Abs. 2 BGB aus. Im Grundsatz muss jede Entscheidung des Betreuers im Sinn des freien Willens des Betreuten getroffen werden. Das gebietet das in Art. 2 Abs. 1 GG verankerte Grundrecht auf Selbstbestimmung.
Ethische Bedeutung
Philosophische Positionen
Harte Deterministen verwerfen das Konzept der moralischen Verantwortlichkeit. Wie kann man jemanden moralisch verantwortlich machen, wenn er in jeder Situation immer nur eine Möglichkeit zu handeln hat? Dass die Entscheidungen nicht unter Einschränkung der Handlungsfreiheit entstehen, ändere nichts an der Tatsache, dass der Determinismus den Handelnden von moralischer Verantwortlichkeit entbinde. Die Gegenposition besagt, dass trotz des bestehenden Determinismus ein Individuum die moralische Verantwortung für seine Handlungen tragen müsse und insofern ggf. gesellschaftliche und juristische Konsequenzen gerechtfertigt seien.
Kompatibilisten argumentieren dagegen, dass der Determinismus gerade eine Vorbedingung für moralische Verantwortlichkeit sei. Man könne niemanden für etwas verantwortlich machen, es sei denn, seine Handlungen wurden durch seinen Charakter, seine Motive und Werte bestimmt.[54]
Libertarianer halten an der Idee des freien Willens und somit auch an moralischer Verantwortlichkeit fest.
Moralische Verantwortlichkeit
Befürworter moralischer Verantwortlichkeit unterstellen Entscheidungsfreiheit oder sind der Meinung, unsere Gesellschaftsordnung würde auseinanderbrechen, wenn sich niemand mehr für seine Taten moralisch verantwortlich fühlte.
Weiterhin wird argumentiert, dass der juristische Grundsatz „Keine Strafe ohne Schuld“ nicht mehr anwendbar wäre, wenn man Entscheidungsfreiheit und somit auch persönliche Schuld verwerfen würde.
Es gibt jedoch auch Meinungen,[55] die einem Menschen auch im Determinismus moralische Verantwortung zuschreiben. Im Wesentlichen geht es dabei um die Frage der Urheberschaft. Wer behauptet, nicht er sei der Urheber seiner Handlung, sondern seine Neuronen und die in seinem Körper ablaufenden physischen Prozesse hätten die Tat herbeigeführt, verkennt, dass Neuronen und physische Prozesse ein Teil von ihm sind, und begibt sich damit in einen Widerspruch. Der Begriff der Verantwortung als individuelle Zuschreibbarkeit des Verhaltens verliert also in einer deterministisch bestimmten Welt keineswegs seinen Sinn. Der Determinismus liefert demzufolge auch keine Begründung dafür, dass unser Rechtssystem geändert werden müsste und einige Deterministen argumentieren seit geraumer Zeit für ein deterministisches Strafrecht.[56]
Wolfgang Prinz ist der Ansicht, dass es im Bereich des sozialen Miteinanders sowie in Moral und Recht nicht von Bedeutung sei, ob die Menschen faktisch einen freien Willen besitzen. Vielmehr sei es von Belang, dass die Menschen über eine Freiheitsintuition verfügen, die in ihrer Wahrnehmung ebenso real sei wie die tatsächliche Existenz des freien Willens. Diese Freiheitsintuition führe dazu, dass Menschen bereit sind, für ihre Handlungen Verantwortung zu übernehmen und anderen Menschen für deren Handlungen Verantwortung zuzuschreiben.[57]
Zitate

„Die Daumenschraube eines jeden finden: Dies ist die Kunst, den Willen Anderer in Bewegung zu setzen. Es gehört mehr Geschick als Festigkeit dazu. Man muss wissen, wo einem Jeden beizukommen sei. Es gibt keinen Willen, der nicht einen eigentümlichen Hang hätte, welcher, nach der Mannigfaltigkeit des Geschmacks, verschieden ist. Alle sind Götzendiener, Einige der Ehre, Andere des Interesses, die meisten des Vergnügens. Der Kunstgriff besteht darin, dass man diesen Götzen eines Jeden kenne, um mittels desselben ihn zu bestimmen. Weiß man, welches für jeden der wirksame Anstoß sei, so ist es, als hätte man den Schlüssel zu seinem Willen. Man muß nun auf die allererste Springfeder oder das primum mobile in ihm zurückgehen, welches aber nicht etwa das Höchste seiner Natur, sondern meistens das Niedrigste ist: denn es gibt mehr schlecht- als wohlgeordnete Gemüter in dieser Welt. Jetzt muss man zuvörderst sein Gemüt bearbeiten, denn ihm durch ein Wort den Anstoß geben, endlich mit seiner Lieblingsneigung den Hauptangriff machen; so wird unfehlbar sein freier Wille schachmatt.“
„Eben so muß der entschlossenste Fatalist, der es ist, so lange er sich der bloßen Speculation ergiebt, dennoch, so bald es ihm um Weisheit und Pflicht zu thun ist, jederzeit so handeln, als ob er frei wäre, und diese Idee bringt auch wirklich die damit einstimmige That hervor und kann sie auch allein hervorbringen. Es ist schwer, den Menschen ganz abzulegen“
„Das Verlangen nach ‚Freiheit des Willens‘, in jenem metaphysischen Superlativ-Verstande, wie er leider noch immer in den Köpfen der Halb-Unterrichteten herrscht, das Verlangen, die ganze und letzte Verantwortlichkeit für seine Handlungen selbst zu tragen und Gott, Welt, Vorfahren, Zufall, Gesellschaft davon zu entlasten, ist nämlich nichts Geringeres, als eben jene causa sui zu sein und, mit einer mehr als Münchhausen’schen Verwegenheit, sich selbst aus dem Sumpf des Nichts an den Haaren in’s Dasein zu ziehn.“
„Ich lache eures freien Willens und auch eures unfreien: Wahn ist mir das, was ihr Willen heißt, es giebt keinen Willen.“
„Ich weiß ehrlich nicht, was die Leute meinen, wenn sie von der Freiheit des menschlichen Willens sprechen. Ich habe zum Beispiel das Gefühl, dass ich irgend etwas will; aber was das mit Freiheit zu tun hat, kann ich überhaupt nicht verstehen. Ich spüre, dass ich meine Pfeife anzünden will und tue das auch; aber wie kann ich das mit der Idee der Freiheit verbinden? Was liegt hinter dem Willensakt, dass ich meine Pfeife anzünden will? Ein anderer Willensakt? Schopenhauer hat einmal gesagt: ‚Der Mensch kann tun was er will; er kann aber nicht wollen was er will.‘“
„Nehmen wir an, Sie hätten einen unbedingt freien Willen. Es wäre ein Wille, der von nichts abhinge: ein vollständig losgelöster, von allen ursächlichen Zusammenhängen freier Wille. Ein solcher Wille wäre ein aberwitziger, abstruser Wille. Seine Losgelöstheit nämlich würde bedeuten, dass er unabhängig wäre von Ihrem Körper, Ihrem Charakter, Ihren Gedanken und Empfindungen, Ihren Phantasien und Erinnerungen. Es wäre, mit anderen Worten, ein Wille ohne Zusammenhang mit all dem, was Sie zu einer bestimmten Person macht. In einem substantiellen Sinn des Wortes wäre er deshalb gar nicht Ihr Wille.“
Siehe auch
Literatur
Klassiker
- Augustinus: Der freie Wille. Übersetzt von Carl Johann Perl. 4. Auflage. unveränd. Nachdruck. Paderborn 1986, ISBN 3-506-70462-1.
- Arnold Gehlen: Theorie der Willensfreiheit und frühe philosophische Schriften. 1965.
- Immanuel Kant: Kritik der reinen Vernunft. 1781. (2. Auflage. 1787; 1990, ISBN 3-7873-1017-7)
- Immanuel Kant: Grundlegung zur Metaphysik der Sitten. 1785. (2016, ISBN 978-3-7873-2877-2)
- Immanuel Kant: Kritik der praktischen Vernunft. 1788. (1993, ISBN 3-7873-1154-8)
- Arthur Schopenhauer: Die Welt als Wille und Vorstellung. I: 1818, I+II: 1844. (1996, ISBN 3-458-33573-0 + Über die Freiheit des menschlichen Willens. In: Die beiden Grundprobleme der Ethik. (= Kleinere Schriften. II). Diogenes, Zürich 1977, ISBN 3-257-20426-4)
Systematische Darstellungen
- Allgemeines
- Hannah Arendt: Vom Leben des Geistes. Band 2 Das Wollen. Piper, München 1979, ISBN 3-492-22555-1.
- Peter Bieri: Das Handwerk der Freiheit. Über die Entdeckung des eigenen Willens. Hanser, München 2001, ISBN 3-596-15647-5. (Lizenzausgabe als „Fischer TB 15647“ Fischer, Frankfurt 2003, ISBN 3-596-15647-5)
- Daniel Dennett: Elbow Room: The Varieties of Free Will Worth Having. MIT Press, Cambridge, MA 1984, ISBN 0-262-54042-8.
- Edith Düsing, Klaus Düsing, Hans-Dieter Klein (Hrsg.): Geist und Willensfreiheit. Klassische Theorien von der Antike bis zur Moderne. Königshausen & Neumann, Würzburg 2006, ISBN 3-8260-3507-0.
- Dirk Hartmann: Willensfreiheit und die Autonomie der Kulturwissenschaften. In: Handlung Kultur Interpretation. (PDF; 2,1 MB) 9, 2000, S. 66–103. (repr. In: e-Journal Philosophie der Psychologie. (PDF; 178 kB) 1, 2005.)
- Uwe an der Heiden, Helmut Schneider: Hat der Mensch einen freien Willen? Die Antworten der großen Philosophen. Reclam jun., Stuttgart 2007, ISBN 978-3-15-018521-6.
- Geert Keil: Willensfreiheit. 3. Auflage, De Gruyter, Berlin 2017, ISBN 978-3-11-053345-3.
- Andreas Klein: Willensfreiheit auf dem Prüfstand. Ein anthropologischer Grundbegriff in Philosophie, Neurobiologie und Theologie. Neukirchener Verlag, Neukirchen-Vluyn 2009, ISBN 978-3-7887-2357-6.
- Michael McKenna, Derk Pereboom: Free Will: A Contemporary Introduction. Routledge, New York 2016, ISBN 978-0-415-99687-7.
- Michael Pauen, Gerhard Roth: Freiheit, Schuld und Verantwortung. Grundzüge einer naturalistischen Theorie der Willensfreiheit. Suhrkamp, Frankfurt 2008, ISBN 978-3-518-26012-8.
- Franz M. Wuketits: Die Illusion des freien Willens – Essay. In: APuZ. 44–45/2008, S. 3–5.
- Freiheit und Determinismus
- Brigitte Falkenburg: Mythos Determinismus. Wieviel erklärt uns die Hirnforschung? Springer, Heidelberg 2012, ISBN 978-3-642-25097-2.
- Jürgen Habermas: Freiheit und Determinismus. In: DZPhil. 2004: 52/6, S. 871–890. (ern. In: Zwischen Naturalismus und Religion. Philosophische Aufsätze. Suhrkamp, Frankfurt 2005, ISBN 3-518-58447-2, S. 155–186)
- Ted Honderich: Wie frei sind wir? Das Determinismus-Problem. Reclam, Stuttgart 1995, ISBN 3-15-009356-2.
- Geert Keil: Willensfreiheit und Determinismus. 2. Aufl., Reclam, Stuttgart 2018, ISBN 978-3-15-019524-6.
- Michael Wolff: Kant über Freiheit und Determinismus. In: W. Euler, B.Tuschling (Hrsg.): Kants „Metaphysik der Sitten“ in der Diskussion. Berlin 2013, S. 27–40.
- Psychologische Aspekte
- Martin Heinze, Thomas Fuchs, Friedel M. Reischies (Hrsg.): Willensfreiheit – eine Illusion? Naturalismus und Psychiatrie. Pabst/Parodos, Lengerich/Berlin 2006, ISBN 3-89967-337-9.
- Josef Lukas (Hrsg.): Themenheft: Wie frei ist unser Wille? In: Psychologische Rundschau. 55/4, 2004, ISSN 0033-3042, S. 161–206. (Kommentare dazu in: Psychol. Rdsch. 56/3, 2005, S. 220–239)
- Wolfgang Prinz: Open Minds: The Social Making of Agency and Intentionality, MIT Press 2012, 358 S. ISBN 0-262-30094-X – Deutsche Übersetzung von Jürgen Schröder: Selbst im Spiegel. Die soziale Konstruktion von Subjektivität. Suhrkamp, Berlin 2013, ISBN 978-3-518-58594-8, 502 S.
- Aspekte aus der Hirnforschung
- Peter Bieri: Untergräbt die Regie des Gehirns die Freiheit des Willens? In: Martin Heinze u. a.: Willensfreiheit – eine Illusion? 2006, ISBN 3-89967-337-9.
- Christian Geyer (Hrsg.): Hirnforschung und Willensfreiheit. Zur Deutung der neuesten Experimente. Suhrkamp, Frankfurt 2004, ISBN 3-518-12387-4. (es 2387)
- Thomas Goschke: Der bedingte Wille. Willensfreiheit und Selbststeuerung aus der Sicht der kognitiven Neurowissenschaft. In: Gerhard Roth, Klaus-Jürgen Grün (Hrsg.): Das Gehirn und seine Freiheit. Beiträge zur neurowissenschaftlichen Grundlegung der Philosophie. Vandenhoeck & Ruprecht, Göttingen 2006, ISBN 3-525-49085-2, S. 107–156.
- Ingo-Wolf Kittel: Hirnforschung und Willensfreiheit. In: bvvp-Magazin 3, 2005, S. 12–14.
- Michael Pauen: Illusion Freiheit? Mögliche und unmögliche Konsequenzen der Hirnforschung. Fischer, Frankfurt 2004, ISBN 3-10-061910-2.
- Reinhard Werth: Die Natur des Bewusstseins – Wie Wahrnehmung und freier Wille im Gehirn entstehen. C. H. Beck, München 2010, ISBN 978-3-406-60594-9.
- Andreas Schönau: Schnittstellenprobleme in Neurowissenschaften und Philosophie: Willensfreiheit aus handlungstheoretischer Perspektive. J.B. Metzler, Stuttgart, 2019. ISBN 978-3-476-05111-0
- Handlungsfreiheit, Schuldfähigkeit und juristische Aspekte
- Christof Gestrich, Thomas Wabel (Hrsg.): Freier oder unfreier Wille? Handlungsfreiheit und Schuldfähigkeit im Dialog der Wissenschaften. Beiheft 2005 zur Berliner Theologischen Zeitschrift.
- Martin Hochhuth: Die Bedeutung der neuen Willensfreiheitsdebatte für das Recht. In: Juristenzeitung. (JZ) 2005, ISSN 0022-6882, S. 745–753.
- Johannes Kruse: Und er ist doch frei!? – Ein (neurowissenschaftliches) Update zur Willensfreiheitsdebatte. In: Juristenzeitung. (JZ) 2024, doi https://doi.org/10.1628/jz-2024-0262 S. 884–888.
- Thomas Stompe, Hans Schanda (Hrsg.): Der freie Wille und die Schuldfähigkeit in Recht, Psychiatrie und Neurowissenschaften. Medizinisch Wissenschaftliche Verlagsgesellschaft, Berlin 2010, ISBN 978-3-941468-23-8.
- Ernst-Joachim Lampe, Michael Pauen und Gerhard Roth(Hrsg.): Willensfreiheit und rechtliche Ordnung. Suhrkamp Verlag, Berlin 2008, ISBN 978-3-518-29433-8.
- Rolf Dietrich Herzberg: Willensunfreiheit und Schuldvorwurf, Mohr-Siebeck, Tübingen 2010, ISBN 978-3-16-150635-2.
- Thomas Hillenkamp: „Freie Willensbestimmung“ und Gesetz. In: Juristenzeitung. (JZ) 2015, ISSN 0022-6882, S. 391–401.
Weblinks
- Ansgar Beckermann: Überblick über die philosophischen Positionen zum Thema Willensfreiheit
- Katharina Bracht: Augustins Entdeckung der radikalen Entscheidungsfreiheit als Ursprung des Bösen (Antrittsvorlesung am 4. Februar 2004)
- Bob Doyle: The Problem of Free Will auf Information Philosopher
- Ted Honderich: The Determinism and Freedom Website. Eine Sammlung mit den einflussreichsten neueren Beiträgen zum Thema (englisch).
- Timothy O’Connor, Christopher Franklin: Free Will. In: Edward N. Zalta (Hrsg.): Stanford Encyclopedia of Philosophy.
- Kevin Timpe: Free Will. In: James Fieser, Bradley Dowden (Hrsg.): Internet Encyclopedia of Philosophy.
- Wolfgang Spohn: Der Kern der Willensfreiheit, erschienen in: Dieter Sturma (Hrsg.): Julian Nida-Rümelin über Vernunft und Freiheit, de Gruyter, Berlin 2008
- Galen Strawson: Free Will. In: E. Craig (Hrsg.): Routledge Encyclopedia of Philosophy. London 1998. (englisch)
Audio
- Freiheit und Determinismus. – Mitschnitt der Philosophischen Audiothek (MP3; 44:49 Min.; 41,04 MB). Reaktion Ernst Tugendhats auf Aussagen der Neurophysiologie zur (Un-)Möglichkeit von Willensfreiheit. 8. Januar 2006.
Video
- Benedikt Grothe (LMU): Nimmt uns die Neurobiologie den freien Willen? Ringvorlesung: Ecce Homo!
- Eine Welt ohne Seele? Verantwortung und Gefühl zwischen Hirnforschung und Juristerei Martin Korte, Rainer Maria Kiesow; Studium Generale; Universität Tübingen; Ordnung der Wirklichkeit: Geisteswissenschaftler im Gespräch mit Naturwissenschaftlern
- „You don't have free will“ Jerry Coyne, Vancouver, Juni 2015
Einzelnachweise
- ↑ Philip Clayton: Die Frage nach der Freiheit. Biologie, Kultur und die Emergenz des Geistes in der Welt. Vandenhoeck & Ruprecht, Göttingen 2007, ISBN 978-3-525-56981-8, S. 111 ff.
- ↑ Hermann Helbig: Welträtsel aus Sicht der modernen Wissenschaften. Emergenz in Natur, Gesellschaft, Psychologie, Technik und Religion. Springer-Verlag, Berlin 2018, ISBN 978-3-662-56288-8, S. 343.
- ↑ a b Ansgar Beckermann, Katrin Raschke: Philosophie verständlich – Akteurskausalität. Abgerufen am 3. Februar 2020.
- ↑ David Bourget und David J. Chalmers. What do philosophers believe?. In: Philosophical Studies. 2013, S. 15.
- ↑ John H. Conway und Simon B. Kochen: The Strong Free Will Theorem. In: Notices of the AMS. Band 56, Ausgabe 2, Februar 2009.
- ↑ a b Simone Kühn, Marcel Brass: Retrospective construction of the judgement of free choice. In: Consciousness and Cognition. 18 (1), 2009, S. 12–21. PMID 18952468
- ↑ Susan J. Blackmore: Conversations on consciousness. Oxford University Press, 2005, ISBN 978-0-19-280622-2, Daniel Wegner, S. 245–257 (englisch, google.com [abgerufen am 21. März 2011]).
- ↑ Thomas Nadelhoffer: Moral Psychology: Historical and Contemporary Readings. John Wiley and Sons, 2010, ISBN 978-1-4051-9019-0, S. 236 (englisch, google.com [abgerufen am 21. März 2011]).
- ↑ Daniel M. Wegner: The mind's best trick: how we experience conscious will. In: Trends in Cognitive Sciences. 7. Jahrgang, Nr. 2, 2003, S. 65–69, doi:10.1016/s1364-6613(03)00002-0, PMID 12584024 (englisch, wjh.harvard.edu ( des vom 22. Mai 2013 im Internet Archive)).
- ↑ John O’Shaughnessy, Nicholas J. O’Shaughnessy: The Undermining of Beliefs in the Autonomy and Rationality of Consumers. Routledge, 2007, ISBN 978-0-415-77323-2, S. 3 (englisch, google.com [abgerufen am 21. März 2011]).
- ↑ a b c D. M. Wegner, T. Wheatley: Apparent mental causation: Sources of the experience of will. In: American Psychologist. 54. Jahrgang, Nr. 7, 1999, S. 480–492, doi:10.1037/0003-066x.54.7.480, PMID 10424155 (englisch).
- ↑ a b Gwynn Nettler: Cruelty, Dignity, and Determinism. In: American Sociological Review. Band 24, Nr. 3, 1959, ISSN 0003-1224, S. 375–384, doi:10.2307/2089386, JSTOR:2089386.
- ↑ Esthelle Ewusi-Boisvert, Eric Racine: A Critical Review of Methodologies and Results in Recent Research on Belief in Free Will. In: Neuroethics. Band 11, Nr. 1, 1. April 2018, ISSN 1874-5504, S. 97–110, doi:10.1007/s12152-017-9346-3.
- ↑ Nicholas R. Buttrick, Balazs Aczel, Lena F. Aeschbach, Bence E. Bakos, Florian Brühlmann: Many Labs 5: Registered Replication of Vohs and Schooler (2008), Experiment 1. In: Advances in Methods and Practices in Psychological Science. Band 3, Nr. 3, 1. September 2020, ISSN 2515-2459, S. 429–438, doi:10.1177/2515245920917931.
- ↑ Manfred Stöhr, J. Dichgans, Ulrich W. Buettner, C. W. Hess, Eckart Altenmüller: Evozierte Potentiale. SEP-VEP-AEP-EKP-MEP. 3. Auflage. Springer-Verlag, Berlin 1996, ISBN 3-662-07146-0, S. 567.
- ↑ C. H. M. Brunia, G. J. M. van Boxtel, K. B. E. Böcker: Negative Slow Waves as Indices of Anticipation: The Bereitschaftspotential, the Contingent Negative Variation, and the Stimulus-Preceding Negativity. In: Steven J. Luck, Emily S. Kappenman (Hrsg.): The Oxford Handbook of Event-Related Potential Components. Oxford University Press, USA 2012, ISBN 978-0-19-537414-8, S. 189–207, S. 189 ff.
- ↑ Michael Trimmel: Angewandte und Experimentelle Neuropsychophysiologie. (= Lehr- und Forschungstexte Psychologie. Band 35). Springer-Verlag, 2013, ISBN 978-3-642-75892-8, S. 216–230.
- ↑ a b M. Schultze-Kraft, D. Birman, M. Rusconi, C. Allefeld, K. Görgen, S. Dähne, B. Blankertz, J. D. Haynes: The point of no return in vetoing self-initiated movements. In: Proceedings of the National Academy of Sciences. Band 113, Nummer 4, Januar 2016, S. 1080–1085, doi:10.1073/pnas.1513569112. PMID 26668390, PMC 4743787 (freier Volltext).
- ↑ P. Haggard, M. Eimer: On the relation between brain potentials and the awareness of voluntary movements. In: Experimental Brain Research. 1999. PMID 10333013, S. 126, 128–133.
- ↑ J. P. Brasil-Neto, A. Pascual-Leone, J. Valls-Solé, L. G. Cohen, M. Hallett: Focal transcranial magnetic stimulation and response bias in a forced-choice task. In: Journal of Neurology, Neurosurgery and Psychiatry. 55, 1992, S. 964–966. PMID 1431962
- ↑ C. S. Soon, A. H. He, S. Bode, John-Dylan Haynes: Predicting free choices for abstract intentions. In: Proc Natl Acad Sci U S A. 110 (15), 2013, S. 6217–6222, Free Full Text. PMID 23509300
- ↑ Volkart Wildermuth: Kopfrechnen vorhergesagt: Die Gehirnmuster bei mathematischen Entscheidungen, Deutschlandfunk – Forschung aktuell vom 20. März 2013.
- ↑ Berliner Wissenschaftler prüfen Grundmuster von Entscheidungen, Pressemitteilung der Charité vom 17. Dezember 2015
- ↑ Terrie E. Moffitt, L. Arseneault, D. Belsky, N. Dickson, R. J. Hancox, H. Harrington, R. Houts, R. Poulton, B. W. Roberts, S. Ross, M. R. Sears, W. M. Thomson, A. Caspi: A gradient of childhood self-control predicts health, wealth, and public safety. In: Proc Natl Acad Sci U S A. 108(7), 2011, S. 2693–2698. PMID 21262822
- ↑ Terrie E. Moffitt, Avshalom Caspi, Richie Poulton: Ein besseres Leben dank früher Selbstbeherrschung. In: Spektrum der Wissenschaft. 12/2014, S. 40–47, (spektrum.de)
- ↑ Überblicksartikel auf der Website der Dunedin Studie: Children with more self-control turn into healthier and wealthier adults. ( vom 13. Januar 2015 im Internet Archive) auf: dunedinstudy.otago.ac.nz, 25. Januar 2011.
- ↑ VDI-Richtlinie 2653 Blatt 1: Agentensysteme in der Automatisierungstechnik – Grundlagen, 2010
- ↑ Ipke Wachsmuth: Methoden der Künstlichen Intelligenz. (PDF) Abgerufen am 2. März 2020.
- ↑ a b Jörg Müller: Vorlesung Multiagentensysteme – Vorlesung Autonome Intelligente Systeme 2. AGENTENARCHITEKTUREN, WISSENSREPRÄSENTSATION UND REASONING. (PDF) Abgerufen am 3. Februar 2020.
- ↑ a b Bernhard Jung, Stefan Kopp, Nadine Leßmann: Seminar: Kognitive Modellierung animierter Agenten. BDI Architektur (Beliefs – Desires – Intentions). (PDF) Abgerufen am 3. Februar 2020.
- ↑ Jörg Müller: Vorlesung Multiagentensysteme – Vorlesung Autonome Intelligente Systeme 2. AGENTENARCHITEKTUREN, WISSENSREPRÄSENTSATION UND REASONING. (PDF) Abgerufen am 3. Februar 2020.
- ↑ Ansgar Beckermann: Philosophie verständlich – Haben wir einen freien Willen? Abgerufen am 3. Februar 2020.
- ↑ Gero Zimmermann: Die Philosophie des Geistes im Spiegel der Informatik und der Komplexitätstheorie. 1. Auflage. Tectum Marburg, 2011, ISBN 978-3-8288-2740-0, S. 288.
- ↑ Ansgar Beckermann: Freier Wille – Alles Illusion? (PDF) Abgerufen am 3. Februar 2020.
- ↑ Gero Zimmermann: Wollen autonome Fußballroboter Tore schießen? Ein Beitrag zur Diskussion um den freien Willen. (PDF) Abgerufen am 3. Februar 2020.
- ↑ VDI: Themenspecial KI und Autonome Systeme Zehn offene Fragen. Abgerufen am 3. Februar 2020.
- ↑ Eric Hilgendorf: Autonome Systeme und neue Mobilität : ausgewählte Beiträge zur 3. und 4. Würzburger Tagung zum Technikrecht. Hrsg.: Eric Hilgendorf. 1. Auflage. Nomos, Baden-Baden, ISBN 978-3-8452-8166-7.
- ↑ Edward L. Deci, Richard M. Ryan: The „What“ and „Why“ of Goal Pursuits: Human Needs and the Self-Determination of Behavior. In: Psychological Inquiry. 11(4), 2000, S. 227–268.
- ↑ Edward L. Deci, Richard M. Ryan: Self-Determination Theory: A Macrotheory of Human Motivation, Development, and Health. In: Canadian Psychology. 49, 2008, S. 182–185.
- ↑ Karl Held (Hrsg.): Die Psychologie des bürgerlichen Individuums; Resultate Verlag München 1981, ISBN 3-929211-04-1 (Vortrag basierend auf dem Buch ( des vom 25. März 2016 im Internet Archive) Info: Der Archivlink wurde automatisch eingesetzt und noch nicht geprüft. Bitte prüfe Original- und Archivlink gemäß Anleitung und entferne dann diesen Hinweis. (PDF; 423 kB), Tondokument ( des vom 8. März 2016 im Internet Archive) Info: Der Archivlink wurde automatisch eingesetzt und noch nicht geprüft. Bitte prüfe Original- und Archivlink gemäß Anleitung und entferne dann diesen Hinweis. (MP3; 28,8 MB), München Juli 1980.)
- ↑ Donald H. Wacome: Divine Omniscience and Human Freedom
- ↑ Lazarus Adler: Thalmudische Welt- und Lebensweisheit oder Pirke Aboth (Sprüche der Väter). Fürth 1851, S. 522.
- ↑ Dominik Perler: Prädestination, Zeit und Kontingenz: Philosophisch-historische Untersuchungen zu Wilhelm Ockhams Tractatus de praedestinatione et de praescientia Dei. (= Bochumer Studien Zur Philosophie. Band 12). Gruner 2000, S. 92.
- ↑ Ausführlich Friedemann Drews: Menschliche Willensfreiheit und göttliche Vorsehung bei Augustinus, Proklos, Apuleius und John Milton. Band 1: Augustinus und Proklos. de Gruyter, Berlin 2009, S. 98, 191 ff., 223 ff.
- ↑ Ivo Bäder-Butschle: Brüchige Fundamente. Eine Revision der Rechtfertigungslehre. Lit-Verlag 2017, ISBN 978-3-643-13671-8, Bäder-Butschle zeichnet Luthers Ablehnung des freien Willens mit Bezug auf Augustinus nach und nimmt kritisch dazu Stellung.
- ↑ Stefan Fleischmann: Szymon Budny – Ein theologisches Portrait des polnisch-weißrussischen Humanisten und Unitariers (ca. 1530–1593). Böhlau, Köln/Weimar/Wien 2006, ISBN 978-3-412-04306-3, S. 17.
- ↑ József Ferencz: Unitarischer Katechismus. (PDF; 640 kB)
- ↑ Freier Wille im Buddhismus. (PDF) Abgerufen am 27. Januar 2019.
- ↑ BVerfG, Urteil vom 30. Juni 2009, Az. 2 BvE 2, 5/08, 2 BvR 1010, 1022, 1259/08, 182/09, BVerfGE 123, 267 – Lissabon, Rn. 364; vgl. BVerfG, Urteil vom 21. Juni 1977, Az. 1 BvL 14/76, BVerfGE 45, 187 – Lebenslange Freiheitsstrafe, S. 227.
- ↑ Manfred Wolf, Jörg Neuner: Allgemeiner Teil des Bürgerlichen Rechts. 11. Auflage. C.H. Beck, München 2016, ISBN 978-3-406-69698-5, S. 96, § 10 Rn. 11.
- ↑ Manfred Wolf, Jörg Neuner: Allgemeiner Teil des Bürgerlichen Rechts. 11. Auflage. C.H. Beck, München 2016, ISBN 978-3-406-69698-5, S. 96, § 10 Rn. 13.
- ↑ BayObLG, Beschluss vom 13. Dezember 2000, Az. 3Z BR 353/00, Volltext.
- ↑ Mit Verweis auf BVerfG, Urteil vom 18. Juli 1967, Az. 2 BvF 3, 4, 5, 6, 7, 8/62, u. a.; BVerfGE 22, 180, 219 f.; BayObLG, Urteil vom 25. Juli 1994, Az. 3Z BR 97/94, BayObLGZ 1994, 209, 211.
- ↑ Julius Schälike: Moralische Verantwortung, Freiheit und Kausalität. Versuch der Auflösung des Patts zwischen Kompatibilisten und Inkompatibilisten. In: Grazer Philosophische Studien 78, 2009, S. 69–99.
- ↑ Eugen Muchowski: Die Einheit der Person Zur Frage der Begründbarkeit von Verantwortung im Determinismus. ( des vom 31. Januar 2012 im Internet Archive) Info: Der Archivlink wurde automatisch eingesetzt und noch nicht geprüft. Bitte prüfe Original- und Archivlink gemäß Anleitung und entferne dann diesen Hinweis. (PDF; 190 kB). In: Widerspruch. Münchner Zeitschrift für Philosophie Nr. 47/2008.
- ↑ Eduard Dreher: Die Willensfreiheit. Ein zentrales Problem mit vielen Seiten. C.H. Beck, München 1987, ISBN 3-406-32360-X, S. 11 ff.
- ↑ Wolfgang Prinz: Kritik des freien Willens: Bemerkungen über eine soziale Institution. In: Psychologische Rundschau. 55(4), 2004, S. 198–206, online PDF ( vom 24. September 2015 im Internet Archive)
- ↑ Peter Bieri: Das Handwerk der Freiheit. Über die Entdeckung des eigenen Willens. Hanser, München 2001, ISBN 3-596-15647-5. (Lizenzausgabe als „Fischer TB 15647“ Fischer, Frankfurt 2003, ISBN 3-596-15647-5, Kap. 7, S. 230).