Glenoidfraktur
| Klassifikation nach ICD-10 | |
|---|---|
| S42.1 | Fraktur der Skapula |
| S42.14 | Cavitas glenoidalis |
| ICD-10 online (WHO-Version 2019) | |
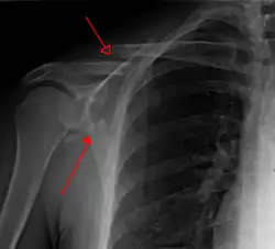
Eine Glenoidfraktur ist eine Fraktur der Schulterpfanne (Cavitas glenoidalis), die zum Schulterblatt gehört. Ist die gesamte Schulterpfanne vom Schulterblatt abgetrennt und intakt, liegt eine Skapulahalsfraktur vor (Kollumfraktur), die damit nicht ins Gelenk reicht (extraartikulär). Die Glenoidfraktur selbst ist immer intraartikulär. Bei der Einteilung der Glenoidfrakturen lassen sich zwei Formen unterscheiden: der Bruch am Pfannenrand und derjenige der gesamten Schulterpfanne.[1][2]
Während Brüche des Schulterblattes mit 0,4–1 % aller Knochenbrüche selten sind, sind von diesen nur etwa 10 % Glenoidfrakturen, und von diesen nur ein Zehntel wesentlich verschoben, so dass eine Operation erforderlich ist. Von allen Glenoidbrüchen sind 75–85 % Pfannenrand- oder knöcherne Ausrissbrüche am vorderen Pfannenrand infolge einer Schulterluxation.[3]
Pfannenrandbruch
Pfannenrandbrüche sind fast immer Folge einer Schulterluxation und entsprechen knöchernen Ausrissen der Gelenkkapsel. Ein typisches Beispiel und die häufigste Glenoidfraktur ist die knöcherne Bankart-Läsion, die den knöchernen Ausriss am vorderen Pfannenrand bei vorderer Schulterluxation bezeichnet. Beim Pfannenrandabbruch ist immer auch die Gelenklippe (Labrum glenoidale) gerissen und meist auch die Gelenkkapsel gerissen. Ohne operative Fixierung des abgerissenen Pfannenrandes kann eine chronische Instabilität des Glenohumeralgelenkes resultieren.[4] Die Refixierung erfolgt meist durch Kleinfragment-Zugschrauben über einen vorderen oder hinteren operativen Zugang.
Bruch des gesamten Glenoids



Eine Glenoidfraktur, die die gesamte Schulterpfanne betrifft, entsteht dagegen meist durch einen Unfallmechanismus mit einer sehr hohen Aufprallenergie, etwa bei einem Verkehrsunfall.[5] Begleitverletzungen des Schlüsselbeins, des Brustkorbes, des Armplexus und der Halswirbelsäule sind nicht selten. Zur genauen Diagnostik ist meist eine Computertomographie unerlässlich. Bei einer Verschiebung der Fragmente von 3 mm oder mehr ist eine operative Reposition und Osteosynthese indiziert, um eine vorzeitige Arthrose durch die nicht korrigierte intraartikuläre Stufenbildung zu vermeiden. Die Fixierung erfolgt in der Regel mit Fäden, Drähten, Schrauben oder Platten, die entweder mittels einer arthroskopischen oder einer offenen Operation eingebracht werden.
Meist heilt die Fraktur ohne eine größere Bewegungseinschränkung, in 75 % werden gute Ergebnisse erzielt. Die Gefahr einer Schulterarthrose hängt von der Größe des Knorpelschadens und der Qualität der operativen Rekonstruktion ab. Bei der Operation besteht zudem ein erhebliches Risiko für Verletzungen wichtiger Nerven und Gefäße. Zur Vermeidung einer Einsteifung der Schulter durch Schrumpfung der Gelenkkapsel sind frühzeitig physiotherapeutische Übungen notwendig.
Skapulahalsbruch
Skapulahalsbrüche müssen bei deutlicher Verschiebung oder Verkippung des Glenoids ebenfalls operativ reponiert und fixiert werden. Durch den Zug der langen Sehne des Musculus triceps brachii rutscht das Glenoid oft nach unten (kaudal) und verkippt. Bei Skapulahalsbrüchen besteht zudem die erhöhte Gefahr einer Verletzung des durch die nahe Incisura scapulae verlaufenden Nervus suprascapularis, die nur im Elektromyogramm nachweisbar ist.
Siehe auch
Weblinks
Einzelnachweise
- ↑ E. Euler, P. Habermeyer, W. Kohler, L. Schweiberer: Skapulafrakturen — Klassifikation und Differentialtherapie. In: Der Orthopäde. Band 21, Nummer 2, April 1992, S. 158–162, ISSN 0085-4530. PMID 1594236.
- ↑ Stephan Coenen, Frank Hoffmann, Bernhard Weigel: Skapulafrakturen (Kapitel 5.3) im Abschnitt Schulter in: Bernhard Weigel, Michael Nerlich (Hrsg.): Praxisbuch Unfallchirurgie. Springer-Verlag Berlin 2005, Band 1, ISBN 3-540-41115-1, S. 261–264.
- ↑ Dirk P. H. van Oostveen, Olivier P. P. Temmerman, Bart J. Burger u. a.: Glenoid fractures: A review of pathology, classification, treatment and results. In: Acta Orthopædica Belgica. 2014, Band 1 vom März 2014, S. 8–98.
- ↑ B. Karitzky: Schulterblattbrüche. In: H. Bürkle de la Camp, M. Schwaiger: Handbuch der gesamten Unfallheilkunde. 3. Band, Enke Verlag, 1965, S. 28–33.
- ↑ R.-P. Meyer, F. Moro, H.-K. Schwyzer, B. R. Simmen: Traumatologie am Schultergürtel: 54 instruktive Fälle. 1. Auflage. Springer Verlag, 2011, ISBN 978-3-642-21817-0.