Glomerulosklerose

Klassifikation nach ICD-10
N26 Schrumpfniere, nicht näher bezeichnet
{{{02-BEZEICHNUNG}}}
{{{03-BEZEICHNUNG}}}
{{{04-BEZEICHNUNG}}}
{{{05-BEZEICHNUNG}}}
{{{06-BEZEICHNUNG}}}
{{{07-BEZEICHNUNG}}}
{{{08-BEZEICHNUNG}}}
{{{09-BEZEICHNUNG}}}
{{{10-BEZEICHNUNG}}}
{{{11-BEZEICHNUNG}}}
{{{12-BEZEICHNUNG}}}
{{{13-BEZEICHNUNG}}}
{{{14-BEZEICHNUNG}}}
{{{15-BEZEICHNUNG}}}
{{{16-BEZEICHNUNG}}}
{{{17-BEZEICHNUNG}}}
{{{18-BEZEICHNUNG}}}
{{{19-BEZEICHNUNG}}}
{{{20-BEZEICHNUNG}}}
Vorlage:Infobox ICD/Wartung {{{21BEZEICHNUNG}}}
ICD-10 online (WHO-Version 2019)

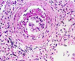
Die Glomerulosklerose (von Glomerulus und altgriechisch σκληρός sklēros „hart“) ist der im Gegensatz zur Glomerulonephritis nicht entzündlich bedingte Teil der Glomerulopathien.[1]

Die Verhärtung entsteht durch Vernarbungen (Sklerose) der Kapillarschlingen der Nierenkörperchen mit Vermehrung und Dickenzunahme des Bindegewebes als Folge aller Erkrankungen mit einem Untergang von Nierengewebe, häufig bei Bluthochdruck und Diabetes mellitus.[2]

Leitsymptom ist die Entwicklung eines nephrotischen Syndroms.[3]

Verbreitung

Bei bis zu 20 % der Diabetiker, besonders bei schlechter Einstellung des Blutzuckers, kommt es zur Glomerulosklerose.[3]

Etwa 15 % aller Proteinurien werden durch eine Glomerulosklerose verursacht.

Die Erkrankung kann in jedem Alter auftreten. Auch bei einer Chronifizierung ist sie grundsätzlich reversibel, oft also nur vorübergehend.

Ursache

Häufige Ursachen sind Diabetes mellitus, ferner Toxine, Medikamente oder Infektionen (z. B. HIV-Infektion).

Pathologie

Der Pathomechanismus der früher auch als „hypertonische Nephrose des Zuckerkranken“[4] bezeichneten Glomerulosklerose ist komplex:[5]

Vereinfacht führt die Verminderung funktionsfähiger Nephrone zu glomerulärer Hypertrophie und arterieller Hypertonie, und beides führt zur Proliferation von Mesangialzellen. Zusätzliche Faktoren sind Ansammlung von Lipiden mit Makrophagenaktivierung, eine toxisch bedingte Hyperfiltration von Makromolekülen mit Veränderungen der extrazellulären Matrix sowie gefässbedingte Schädigungen des Endothels mit Mikrothromben.

Einteilung

Nach klinischen Kriterien können folgende Formen unterschieden werden:[3]

Klinische Erscheinungen

Frühsymptom ist lediglich eine schmerzlose Proteinurie, später kommt es zum nephrotischen Syndrom, unbehandelt kann eine chronische Niereninsuffizienz entstehen.

Literatur

  • R. Wanke, E. Wolf, G. Brem, W. Hermanns: Zur Bedeutung der Podozytenschädigung in der Pathogenese glomerulosklerotischer und tubulointerstitieller Läsionen: Am Modell der progressiven Nephropathie der Wachstumshormon-transgenen Maus erhobene Befunde. In: Verhandlungen der Deutschen Gesellschaft für Pathologie, Band 85, 2001, S. 250–256, PMID 11894406.
  • M. Teschner, A. Heidland: Die verminderte intrarenale Proteindegradation als alternativer Mediator von Glomerulosklerose und tubulointerstitieller Fibrose In: Medizinische Klinik (Munich, Germany: 1983). Band 95, Nr. 7, Juli 2000, S. 385–391, PMID 10943099 (Review).
  • S. Chandragiri, S. Raju, K. K. Mukku, S. Babu, M. S. Uppin: Idiopathic nodular glomerulosclerosis: Report of two cases and review of literature. In: Indian journal of nephrology, Band 26, Nr. 2, 2016 Mar-Apr, S. 145–148, doi:10.4103/0971-4065.164233, PMID 27051142, PMC 4795433 (freier Volltext).

Einzelnachweise

  1. Claus-Peter Adler, Ursus-Nikolaus Riede: Allgemeine und spezielle Pathologie. Thieme, Stuttgart u. a. 1993, ISBN 3-13-778701-7.
  2. Ernährung Lexikon
  3. a b c Willibald Pschyrembel: Klinisches Wörterbuch, 266. Auflage, de Gruyter, Berlin 2014, ISBN 978-3-11-033997-0, Stichwort Glomerulosklerose.
  4. Joachim Frey: Glomerulosklerose. In: Ludwig Heilmeyer (Hrsg.): Lehrbuch der Inneren Medizin. Springer-Verlag, Berlin/Göttingen/Heidelberg 1955; 2. Auflage ebenda 1961, S. 957 f.
  5. M. Tepel, M. van der Giet, W. Zidek: Praktische Therapie der chronischen Niereninsuffizienz durch Progressionshemmung. In: Deutsches Ärzteblatt, Band 94, Nr. 41, 1997, Seiten A-2648–2652.
  6. S. Chandragiri, S. Raju, K. K. Mukku, S. Babu, M. S. Uppin: Idiopathic nodular glomerulosclerosis: Report of two cases and review of literature. In: Indian journal of nephrology, Band 26, Nummer 2, 2016 Mar-Apr, S. 145–148, doi:10.4103/0971-4065.164233, PMID 27051142, PMC 4795433 (freier Volltext).