Gorham-Stout-Syndrom

Klassifikation nach ICD-10
M89.5- Osteolyse, jede Lokalisation
D18.1- Lymphangiom, jede Lokalisation
{{{03-BEZEICHNUNG}}}
{{{04-BEZEICHNUNG}}}
{{{05-BEZEICHNUNG}}}
{{{06-BEZEICHNUNG}}}
{{{07-BEZEICHNUNG}}}
{{{08-BEZEICHNUNG}}}
{{{09-BEZEICHNUNG}}}
{{{10-BEZEICHNUNG}}}
{{{11-BEZEICHNUNG}}}
{{{12-BEZEICHNUNG}}}
{{{13-BEZEICHNUNG}}}
{{{14-BEZEICHNUNG}}}
{{{15-BEZEICHNUNG}}}
{{{16-BEZEICHNUNG}}}
{{{17-BEZEICHNUNG}}}
{{{18-BEZEICHNUNG}}}
{{{19-BEZEICHNUNG}}}
{{{20-BEZEICHNUNG}}}
Vorlage:Infobox ICD/Wartung {{{21BEZEICHNUNG}}}
ICD-10 online (WHO-Version 2019)
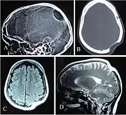
Rundlicher Knochendefekt der Schädelkalotte bei Gorham-Stout-Syndrom. Oben Röntgen und Computertomographie, unten Magnetresonanztomographie.

Das Gorham-Stout-Syndrom (GSS), auch Gorham-Stout-Krankheit oder englisch vanishing bone disease genannt, ist eine äußerst seltene Krankheit, bei der einer bis viele Knochen aufgelöst und durch Lymphgewebe ersetzt werden. Das Gorham-Stout-Syndrom wurde erstmals 1955 von den US-amerikanischen Pathologen L. Whittington Gorham (1885–1968) und Arthur Purdy Stout (1885–1967) beschrieben,[1] nach denen die Krankheit auch benannt ist.

Ätiologie

Die Ursache des Gorham-Stout-Syndroms, bei dem es durch idiopathische angiomatöse Proliferationen im Knochen zu einer fortschreitenden Knochenresorption[2] kommt, ist noch weitgehend unklar. Interleukin-6 spielt als Botenstoff bei der Erkrankung offensichtlich eine wesentliche Rolle.[3] Es wird eine gesteigerte Osteoklastenaktivität oder Angiomatose vermutet. Die Erkrankung ist äußerst selten. Es gibt etwa 200 dokumentierte Fälle.

Komplikationen

Therapie

Es gibt derzeit noch kein allgemein anerkanntes Behandlungsschema für das Gorham-Stout-Syndrom. Die Gabe von Bisphosphonaten, Interferon-α2b, Strahlen- und Chemotherapie sowie operative Eingriffe (Pleurodese im Fall eines Chylothorax) sind als Interventionen beschrieben.

Die Behandlung (als Off-Label-Use) mit Bisphosphonaten (etwa Zoledronsäure) zeigte nach mehrjähriger Anwendung Besserungen der Symptomatik.[4]

Einzelnachweise

  1. L. W. Gorham und A. P. Stout: Massive osteolysis (acute spontaneous absorption of bone, phantom bone, disappearing bone); its relation to hemangiomatosis. (Memento des Originals vom 13. Oktober 2008 im Internet Archive)  Info: Der Archivlink wurde automatisch eingesetzt und noch nicht geprüft. Bitte prüfe Original- und Archivlink gemäß Anleitung und entferne dann diesen Hinweis.@1@2Vorlage:Webachiv/IABot/www.ejbjs.org In: Journal of Bone and Joint Surgery (American Volume) 37, 1955, S. 985–1004. PMID 13263344
  2. Kristian Nikolaus Schneider, Georg Gosheger, Dimosthenis Andreou: Klinischer Schnappschuss: Gorham-Stout-Syndrom. In: Deutsches Ärzteblatt. Band 116, Heft 29 f., (22. Juli) 2019, S. 507.
  3. R. D. Devlin u. a.: Interleukin-6: a potential mediator of the massive osteolysis in patients with Gorham-Stout disease. In: J Clin Endocr 81, 1996, S. 1893–1897. PMID 8626854
  4. Kristian Nikolaus Schneider, Georg Gosheger, Dimosthenis Andreou: Klinischer Schnappschuss: Gorham-Stout-Syndrom. 2019.