Gradenigo-Syndrom

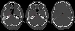
Computertomographie einer Petrositis. Man erkennt als Komplikation Gas (schwarze Flecken) im angrenzenden Schädelinneren
Klassifikation nach ICD-10
H66.0[1] Akute eitrige Otitis media
{{{02-BEZEICHNUNG}}}
{{{03-BEZEICHNUNG}}}
{{{04-BEZEICHNUNG}}}
{{{05-BEZEICHNUNG}}}
{{{06-BEZEICHNUNG}}}
{{{07-BEZEICHNUNG}}}
{{{08-BEZEICHNUNG}}}
{{{09-BEZEICHNUNG}}}
{{{10-BEZEICHNUNG}}}
{{{11-BEZEICHNUNG}}}
{{{12-BEZEICHNUNG}}}
{{{13-BEZEICHNUNG}}}
{{{14-BEZEICHNUNG}}}
{{{15-BEZEICHNUNG}}}
{{{16-BEZEICHNUNG}}}
{{{17-BEZEICHNUNG}}}
{{{18-BEZEICHNUNG}}}
{{{19-BEZEICHNUNG}}}
{{{20-BEZEICHNUNG}}}
Vorlage:Infobox ICD/Wartung {{{21BEZEICHNUNG}}}
ICD-10 online (WHO-Version 2019)

Das Gradenigo-Syndrom (Syn. Lannois-Gradenigo-Syndrom, Pyramidenspitzensyndrom, englisch Gradenigo’s triad) ist Folge einer infektiösen Entzündung der Zellen der Felsenbeinpyramide (Petrositis). Das Syndrom ist eine seltene Komplikation der akuten Mittelohrentzündung. Greift die Entzündung ins Schädelinnere über, verursacht sie durch ein kollaterales Ödem oder entzündliche Infiltration eine Schädigung der benachbarten Hirnnerven mit folgenden Symptomen (Gradenigo-Trias):

  • Starke Schmerzen hinter dem Auge und im Gesicht, dem Versorgungsgebiet des Nervus trigeminus (V. Hirnnerv)
  • Doppelbilder durch Lähmungen der Augenmuskeln, die vom Nervus oculomotorius (III. Hirnnerv) und vom Nervus abducens (VI. Hirnnerv) versorgt werden
  • Mittelohrentzündung mit eitrigem Ausfluss aus dem Ohr

Der italienische Ohrenarzt Giuseppe Gradenigo (1859–1926) beschrieb die Erkrankung erstmals im Jahr 1904.

Siehe auch

Einzelnachweise

  1. Alphabetisches Verzeichnis zur ICD-10-WHO Version 2019, Band 3. Deutsches Institut für Medizinische Dokumentation und Information (DIMDI), Köln, 2019, S. 334