Hämangioblastom
| Klassifikation nach ICD-10 | |
|---|---|
| D33.0 | Gutartige Neubildung des ZNS / Hämangioblastom (Großhirn) |
| D33.1 | Gutartige Neubildung des ZNS / Hämangioblastom (Kleinhirn / Hirnstamm) |
| D33.4 | Gutartige Neubildung des ZNS / Hämangioblastom (Rückenmark) |
| ICD-10 online (WHO-Version 2019) | |


Das Hämangioblastom ist ein äußerst gefäßreicher Tumor, der im Bereich des zentralen Nervensystems, aber auch im Weichteilgewebe auftreten kann.
Hämangioblastome sind typischerweise mit dem Von-Hippel-Lindau-Syndrom (VHL-Syndrom) assoziiert, können aber auch sporadisch auftreten. Hämangioblastome des zentralen Nervensystems werden als gutartige Tumoren nach der WHO-Klassifikation der Tumoren des zentralen Nervensystems als Grad I eingeteilt.
Lokalisation
Hämangioblastome sind häufig im Bereich des Kleinhirns, des Hirnstamms oder des Rückenmarks lokalisiert, kommen selten aber auch im Großhirn vor. Im Bereich der Netzhaut des Auges auftretende Hämangioblastome werden häufig fälschlicherweise als retinale Angiome bezeichnet.
Symptome
Abhängig von der Lokalisation des Tumors können zerebelläre Symptome (zum Beispiel Störungen der Bewegungskoordination (Ataxie) oder Sprechstörungen (Dysarthrie)), ein spinales Querschnittsyndrom oder ein Wurzelkompressionssyndrom auftreten. Da manche Hämangioblastome den Wachstumsfaktor Erythropoetin bilden, kann eine sekundäre Vermehrung der roten Blutkörperchen (Polyzythämie) vorkommen.
Diagnostik

In der radiologischen Bildgebung stellen sich Hämangioblastome als kontrastmittelaufnehmende, häufig pseudozystische Raumforderungen dar.
Pathologie
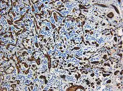
Histologisch handelt es sich um einen äußerst gefäßreichen Tumor. Beim häufigeren retikulären Subtyp sieht man zwischen dicht gepackten kapillären Blutgefäßen einzelne im Tumorstroma gelegene größere Zellen mit hellen oder klaren, häufig vakuolisierten Zytoplasmen, die als Stromazellen bezeichnet werden, deren Histogenese ungeklärt bleibt. Seltener ist der bereits von Harvey Williams Cushing und Percival Bailey beschriebene zelluläre Subtyp, in dem die Stromazellen in Zellballen zusammengefasst werden und dessen histologisches Bild an das von Paragangliomen erinnert.[1] Bei der differenzialdiagnostisch wichtigen Abgrenzung gegenüber Metastasen von Nierenzellkarzinomen (die bei Patienten mit Von-Hippel-Lindau-Syndrom ebenfalls gehäuft auftreten) kann immunhistochemisch insbesondere die fehlende Färbung der Stromazellen für das epitheliale Membranantigen (EMA) und der Nachweis einer niedrigen proliferativen Aktivität in der Färbung für Ki67/MIB-1 hilfreich sein.[2][3]
Therapie und Prognose
Die Therapie erfolgt durch chirurgische Entfernung des Tumors. Nach vollständiger Tumorentfernung (inklusive Zystenwand) ist die Prognose im Allgemeinen günstig. Rezidive treten bei etwa 10 % der Patienten auf und scheinen besonders den zellulären Subtyp des Hämangioblastoms zu betreffen.[4] Die Abgrenzung gegenüber einem neu entstandenen Zweittumor kann sich bei Patienten mit Von-Hippel-Lindau-Erkrankung schwierig gestalten.
Literatur
Einzelnachweise
- ↑ P. Bailey, H. W. Cushing: Tumors arising from the blood vessels of the brain. Springfield 1928.
- ↑ T. J. Hufnagel u. a.: Immunohistochemistry of capillary hemangioblastoma. Immunoperoxidase-labeled antibody staining resolves the differential diagnosis with metastatic renal cell carcinoma, but does not explain the histogenesis of the capillary hemangioblastoma. In: The American Journal of Surgical Pathology. 1989;13(3), S. 207–216. PMID 2465700
- ↑ P. C. Burger u. a.: The use of the monoclonal antibody Ki-67 in the identification of proliferating cells: application to surgical neuropathology. In: The American Journal of Surgical Pathology. 1986;10(9), S. 611–617. PMID 2428262
- ↑ M. Hasselblatt u. a.: Cellular and reticular variants of haemangioblastoma revisited: a clinicopathologic study of 88 cases. In: Neuropathology and Applied Neurobiology. 2005;31(6), S. 618–622. PMID 16281910.