Hämatothorax
| Klassifikation nach ICD-10 | |
|---|---|
| J94.2 | Hämatothorax, Hämatopneumothorax |
| S27.1 | Hämatothorax, traumatisch |
| ICD-10 online (WHO-Version 2019) | |
| Klassifikation nach ICD-11 | |
|---|---|
| CB26 | Hämatothorax |
| NB32.1 | Traumatischer Hämatothorax |
| ICD-11: Englisch • Deutsch (Entwurf) | |

Unter Hämatothorax, auch Hämothorax genannt, versteht man eine Ansammlung von Blut im Pleuraraum. Es handelt sich um eine exsudative[1] Form des Pleuraergusses.
Ätiologie
Ein Hämatothorax entsteht meist durch stumpfe Thoraxtraumata, bei denen neben Verletzungen der großen Gefäße des Mediastinums auch Rupturen der A. mammaria und Interkostalarterie oder -vene ursächlich sein können[2]. Liegt eine penetrierende Verletzung vor so ist eine Läsion eines Lungengefäßes wahrscheinlich. Andere Ursachen können postoperative Nachblutungen, z. B. nach Lungenbiopsie, Pleurapunktion oder ZVK-Anlage sein.[3]
Symptome
Symptomatisch zeigt sich Atemnot (Dyspnoe) sowie Zeichen einer zunehmenden Zentralisation des Blutkreislaufs[4] (Hypotonie, Tachykardie, Kaltschweißigkeit, blasse Haut).[5]
Diagnose
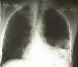
Diagnostisch zeigt sich eine Kombination von Dyspnoe sowie pathologischem Auskultations- (abgeschwächtes bzw. fehlendes Atemgeräusch) und Perkussionsbefund (hypersonorer Klopfschall). So kann mit hoher Wahrscheinlichkeit ein Hämato- bzw. Pneumothorax vermutet werden.[6] Ein Röntgen oder CT des Thorax dient der Bestätigung der Verdachtsdiagnose.[7] Im Röntgenbild kann jedoch nicht zwischen Hämatothorax, Pleuraerguss, Chylothorax und Pyothorax/Pleuraempyem unterschieden werden, deswegen erfolgt die sichere Diagnose meist mittels CT. Im Schnittbild kann eine eindeutige Identifizierung mittels der Dichtewerte (HE) erfolgen.[8] Wenn sich bei einer Pleuraprobepunktion ein blutiges Punktat zeigt, sollte der Hämatokrit des Punktats bestimmt werden. Übersteigt dieser 50 % des Hämatokritwertes des peripheren Blutes, besteht ein Hämatothorax.[9]
Therapie
Initial erfolgt die Einlage einer Thoraxdrainage. Sollten pro Stunde mehr als 300–400 ml oder insgesamt mehr als 1500 ml Blut drainiert werden bzw. röntgenologisch fehlender vollständiger Entfaltbarkeit der Lunge[10], kann eine operative Intervention erwogen werden.[2] Wenn die Anlage einer Thoraxdrainage nicht gelingt, kann sie unter CT-Kontrolle präzise eingebracht werden.[6]
Einzelnachweise
- ↑ Berthold Jany, Tobias Welte: Pleuraerguss des Erwachsenen – Ursachen, Diagnostik und Therapie. In: Deutsches Ärzteblatt. Band 116, Nr. 21, 2019, S. 377–385, hier: S. 379, doi:10.3238/arztebl.2019.0377.
- ↑ a b Duale Reihe Orthopädie und Unfallchirurgie. 9. Auflage. Georg Thieme Verlag KG, Stuttgart 2022, ISBN 978-3-13-244313-6, doi:10.1055/b000000573.
- ↑ Allgemein- und Viszeralchirurgie essentials: Intensivkurs zur Weiterbildung. 8. Auflage. Georg Thieme Verlag, Stuttgart 2017, ISBN 978-3-13-126348-3, doi:10.1055/b-004-132233.
- ↑ Fritz Uwe Niethard, Peter Biberthaler, Joachim Pfeil: Orthopädie und Unfallchirurgie. 8. Auflage. Georg Thieme Verlag, Stuttgart 2017, ISBN 978-3-13-241748-9, doi:10.1055/b-005-143648.
- ↑ Hanns-Wolf Baenkler, Robert Bals, Hartmut Goldschmidt, Johannes-Martin Hahn, Martin Hinterseer: Kurzlehrbuch Innere Medizin. 4. Auflage. Georg Thieme Verlag KG, Stuttgart 2021, ISBN 978-3-13-220000-5, doi:10.1055/b000000422.
- ↑ a b Chirurgie und Bildgebung. Georg Thieme Verlag, Stuttgart 2018, ISBN 978-3-13-173581-2, doi:10.1055/b-004-132229.
- ↑ Bildgebende Diagnostik beim Polytrauma. Georg Thieme Verlag, Stuttgart 2020, ISBN 978-3-13-200781-9, doi:10.1055/b-006-163223.
- ↑ Notfallradiologie: ... den Nachtdienst überleben ... 1. Auflage. Georg Thieme Verlag, Stuttgart 2011, ISBN 978-3-13-150021-2, doi:10.1055/b-004-134409.
- ↑ Harrisons Innere Medizin. Suttorp N, Möckel M, Siegmund B, Dietel M, Hrsg. 20. Auflage. Berlin: ABW Wissenschaftsverlag; 2020. ISBN 978-3-13-243524-7.
- ↑ Fehler in der Allgemein- und Viszeralchirurgie: Fallbeispiele und deren rechtliche Konsequenzen. Georg Thieme Verlag, Stuttgart 2017, ISBN 978-3-13-199481-3, doi:10.1055/b-004-140671.