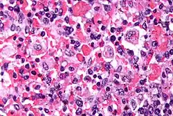
Hämophagozytose

Die Hämophagozytose ist in der Zellbiologie eine Sonderform der Phagozytose. Letztere ist eine Form der Endozytose und bezeichnet im Allgemeinen die Aufnahme von Zellen und sonstigen Partikeln in das Zytoplasma von anderen Zellen. Für die Hämophagozytose im Speziellen ist die Aufnahme von Blutzellen (Erythrozyten und Leukozyten) oder deren Bestandteilen charakteristisch. Diese „einverleibten“ Zellen und Zellbestandteile können in histologischen Präparaten nachgewiesen werden. Bei den aufnehmenden Zellen handelt es sich meist um Zellen, die als Makrophagen bezeichnet werden. Auch hier gibt es wiederum Untergruppen wie zum Beispiel Histiozyten. Sind vor allem Erythrozyten im Zytoplasma der phagozytierenden Zelle nachweisbar, dann wird auch von Erythrophagozytose gesprochen.
Hämophagozytose kommt in größerem Rahmen typischerweise bei Vorliegen einer hämophagozytischen Lymphohistiozytose, auch Makrophagenaktivierungssyndrom genannt, vor. Aber auch nach Bluttransfusionen, im Rahmen von Autoimmunerkrankungen oder einer Sepsis kann Hämophagozytose nachweisbar sein.
Literatur
- Lu et al.: Überblick über Pathophysiologie, Diagnose und Behandlung – Makrophagenaktivierungssyndrom. Schweiz Med Forum 2017; Band 17, Nr. 28–29, S. 604–610, DOI:10.4414/smf.2017.02981.