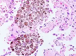
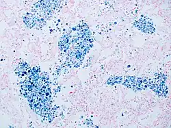
Hämosiderin
Das Hämosiderin (von altgriechisch αίμα „Blut“ [siehe Häm] und σίδηρος „Eisen“) besteht aus Bruchstücken von Ferritin, dem wichtigsten Speicherprotein für Eisen. Chemisch handelt es sich um einen wasserunlöslichen Komplex aus Eisen und verschiedenen Proteinen; der Eisenanteil beträgt etwa 37 %. Hämosiderin ist – anders als Ferritin – keine physiologische Speicherform und lässt sich nur intrazellulär auffinden, vor allem in Makrophagen. Es hat nativ eine goldgelbe Farbe, in histologischen Schnitten kann es mit der Berliner-Blau-Reaktion angefärbt und sichtbar gemacht werden.[1]


Hämosiderin entsteht besonders reichlich in Gebieten größerer Blutungen. Hämosiderinbeladene Makrophagen (sogenannte „Herzfehlerzellen“, Siderophagen) im Sputum können Hinweis auf eine Herzinsuffizienz geben. Krankheiten mit vermehrter Eisenablagerung im Organismus heißen Hämosiderosen.
Bei Kontakt mit Schwefelwasserstoff verfärbt sich die Substanz durch Bildung von Schwefeleisen schiefergrau bis schwarz und wird in der Pathologie Peudomelanin genannt.[2]
Zur Geschichte
Der Name Hämosiderin wurde 1888 durch Ernst Neumann (1834–1918), Pathologe und Hämatologe aus Königsberg, geprägt. Von ihm stammt auch das sogenannte „Exklusionsgesetz der Hämoglobinabkömmlinge“. Darin behauptet Neumann, dass das Blutpigment „Hämosiderin“ im lebenden Organismus gebildet wird, während das „Hämatoidin“ ein Pigmentsymbol der Nekrose darstellt.[3]
Einzelnachweise
- ↑ Přemysl Poňka, Robert T. Woodworth, Herbert M. Schulman: Iron transport and storage. CRC Press, Boca Raton 1990, ISBN 0-8493-6677-1, S. 97.
- ↑ Wörterbuch der veterinärmedizin. 2. Auflage. S. 986.
- ↑ E. Neumann: Beiträge zur Kenntnis der pathologischen Pigmente. In: Virchows Archiv, 1888, Band 111, S. 394–399.