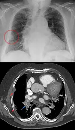
Hampton hump

Hampton hump oder Hampton’s hump ist die englischsprachige Bezeichnung für eine kuppelförmige, pleuraständige Verdichtung im Röntgenbild, die Ausdruck eines peripheren Lungeninfarktes im Rahmen einer Lungenembolie ist. Auch andere Ursachen für einen Lungeninfarkt wie z. B. eine Aspergillose sind denkbar, jedoch weit seltener.
Ein Hampton hump ist somit neben dem Westermark-Zeichen und dem Fleischner-Zeichen ein Röntgenzeichen für eine Lungenembolie. Alle genannten Zeichen sind aber nicht zwingend vorhanden, sondern kommen im Gegenteil eher selten vor.
Benannt ist der Hampton hump nach Aubrey Otis Hampton, einem amerikanischen Radiologen, der 1940 die Erstbeschreibung veröffentlichte.[1]
Einzelnachweise
- ↑ Hampton AO, Castleman B: Correlation of postmortem chest teleroentgenograms with autopsy findings. In: Am J Roentgenol Radium Ther. 34. Jahrgang, 1940, S. 305–326.