Herbert Remmer

Herbert Remmer (* 6. März 1919 in Berlin; † 23. Juni 2003 in Freiburg im Breisgau) war ein deutscher Arzt, Pharmakologe und Toxikologe. Besonders bekannt wurde er als einer der Entdecker der Enzyminduktion durch Pharmaka[1][2] und als – durch seine Wissenschaft legitimierter – Streiter für eine gesündere Welt.[3]
Leben
Remmer war das einzige Kind des Inhabers eines Delikatessengeschäfts am Berliner Gendarmenmarkt. Nach dem Besuch des vom Jesuitenorden getragenen Canisius-Kollegs Berlin und der Abiturprüfung 1937 studierte er an der Friedrich-Wilhelms-Universität Berlin ein Semester Volkswirtschaft und anschließend Medizin. 1944 legte er das medizinische Staatsexamen ab, und ein Jahr später wurde er mit einer am Berliner Pharmakologischen Institut bei Wolfgang Heubner angefertigten Dissertation Die Umwandlung des roten Blutfarbstoffes durch Nitrite zum Dr. med. promoviert. In den Sanitätsdienst berufen, leistete er die Medizinalassistentenzeit im Lazarett des Sankt-Gertrauden-Krankenhauses in Berlin-Wilmersdorf ab. Im November 1945 erhielt er durch Vermittlung von Heubners Mitarbeiter Hans Herken eine Assistentenstelle am Pharmakologischen Institut, das aus dem kriegszerstörten Gebäude in der Dorotheenstraße in die Garystraße in Berlin-Dahlem umgezogen war. Nach der Gründung der Freien Universität Berlin wurde aus dem Dahlemer Institut deren Pharmakologisches Institut, das Heubner bis zu seiner Emeritierung 1953 leitete; Herken wurde Heubners Nachfolger.[4] Mit Herken erforschte Remmer, wie die Not der Zeit es nahelegte, die Entstehung und Behandlung von Hungerödemen, Gegenstand seiner Habilitationsschrift von 1950 Veränderungen der Plasmaproteine bei unzureichender Eiweißernährung. Im selben Jahr heiratete er Ingeborg geb. Flemming, die er im Lazarett als Medizinstudentin und Krankenschwester kennengelernt hatte. Aus der Ehe gingen zwei Töchter und ein Sohn hervor.

1954 bis 1955 führte ein Studienaufenthalt Remmer zu David Shemin (1911–1991) an der Columbia University in New York, der die Biosynthese des Häms und seiner Bestandteile, der Porphyrine, untersuchte. Zurück in Berlin, fand er zu dem Thema seiner Zukunft: der Induktion der fremdstoffmetabolisierenden Cytochrom-P450-Enzyme durch Pharmaka, insbesondere Arzneistoffe. Die erste einschlägige Publikation stammt aus dem Jahr 1957.[5] Besonders fruchtbar wurde 1963 eine Zusammenarbeit mit dem Anatomen Hans-Joachim Merker von der Forschungsabteilung für Elektronenmikroskopie der Freien Universität und 1964 ein Forschungsaufenthalt bei dem Biochemiker Ronald Winfield Estabrook (* 1926) an der University of Pennsylvania in Philadelphia. 1964 übernahm Remmer als Nachfolger von Paul Pulewka das Institut für Toxikologie der Eberhard Karls Universität Tübingen in der Tübinger Wilhelmstraße. Er leitete es 22 Jahre und machte es zu einem internationalen Zentrum der Toxikologie und biochemischen Pharmakologie. Nach der Emeritierung 1986 zog er nach Ebnet, einem östlichen Stadtteil von Freiburg im Breisgau, wo er bis zu seinem Tod in der Steinhalde 95 lebte. Er ist auf dem Friedhof Bergäcker in Freiburg-Littenweiler bestattet.
Forschung
Frühe Werke
Remmers Doktorarbeit entstammte einem Hauptforschungsgebiet Wolfgang Heubners: der Frage, wie Chemikalien das Hämoglobin zu Methämoglobin oxidieren. In der Doktorarbeit ging es um die Methämoglobinbildung durch Nitrit-Ionen. Vor Remmer hatten schon Robert Havemann und Friedrich Jung am Pharmakologischen Institut zu diesem Thema experimentiert, und die Veröffentlichung erschien unter Jungs und Remmers Namen.[6] In Dahlem nutzte Remmer die Erfahrungen aus seiner Doktorarbeit, um die ebenfalls schon von Havemann benutzte Hämoglobinmessung mittels Umwandlung in Methämoglobincyanid weiterzuentwickeln.[7] Die Methode ist heute klinischer Standard.
Die Forschung über Hungerödeme und ihre Behandlung blieb Episode.
Enzyminduktion
Herken und seine Gruppe interessierten sich für Faktoren, die die Wirkstärke und Wirkdauer eines Arzneistoffs bestimmten, etwa Hormone oder eine Vorbehandlung mit demselben oder einem anderen (nicht-hormonellen) Arzneistoff. Remmers erste einschlägige Publikation beginnt: „Seit der Jahrhundertwende ist bekannt, daß nebennierenlose Tiere gegen Wirkungen zahlreicher Pharmaka empfindlicher sind als normale.“ In der Tat dauerte bei nebennierenlosen Ratten eine Narkose mit dem Barbiturat Hexobarbital (Evipan ®) länger als normal, und umgekehrt wurde die Narkose durch Gabe des Nebennierenrindenhormons Cortison verkürzt. Remmer ging aber weiter und klärte die Ursache: Cortison steigerte – und Mangel an dem Hormon verminderte – die Fähigkeit der Leber, Hexobarbital zu oxidieren und damit abzubauen. Das ließ sich sowohl bei lebenden Versuchstieren als auch in homogenisiertem Lebergewebe, und zwar den sogenannten Mikrosomen, nachweisen.
Soweit der Einfluss von Hormonen. In der Einleitung zu Remmers erster großer Arbeit über den Einfluss einer (nicht-hormonellen) Vorbehandlung heißt es: „Auf einem ganz anderen Wege (als durch Cortison) konnte ein weit stärkerer Effekt auf die Aktivität der Mikrosomen … erzielt werden. Bei der Testung einer Reihe von Verbindungen, von denen bekannt ist, daß sie eine Gewöhnung hervorrufen, stellte sich heraus, daß Luminal (Phenobarbital) auf enzymatische Prozesse in den Mikrosomen so wirkt, daß der Abbau verschiedener Pharmaka erheblich beschleunigt wird.“ So steigerte Phenobarbital – wie Cortison – den oxidativen Abbau von Hexobarbital, und spiegelbildlich zur Steigerung der des Abbaus verminderte sich die Dauer einer Hexobarbital-Narkose.[8] Es war eine bahnbrechende Arbeit. Trotzdem wurde sie von Naunyn-Schmiedebergs Archiv für experimentelle Pathologie und Pharmakologie zunächst abgelehnt, und das, obwohl sie zusätzlich zur Enzyminduktion durch Phenobarbital berichtete, dass Morphin gegen alle Erwartung keine Enzyminduktion bewirkte.[9] Die abgelehnte Fassung ist in Kurzform in der Zeitschrift Klinische Wochenschrift überliefert.[10]
Unabhängig von Remmer und ungefähr gleichzeitig hat die Gruppe von Allan H. Conney (* 1930) an der University of Wisconsin–Madison, später an den National Institutes of Health in Bethesda (Maryland), Enzyminduktion durch Pharmaka entdeckt, zuerst durch karzinogene polycyclische aromatische Kohlenwasserstoffe.[11] Das Besondere an Remmers Ansatz war, dass er die Parallele zwischen beschleunigtem Abbau und verkürzter Wirkung nachwies und damit eine fundamentale Ursache der in pharmakologischer Fachsprache so genannten Gewöhnung an Pharmaka oder Toleranzentwicklung identifizierte.[12]
In rascher Folge zeigte sich dann,
- dass, wie nach Behandlung mit Cortison, die Vermehrung der Oxidationsaktivität auch in den Lebermikrosomen nachweisbar war;
- dass nicht nur Phenobarbital, sondern auch zahlreiche andere Pharmaka Enzyminduktoren waren, etwa das Antidiabetikum Tolbutamid, das Antituberkulotikum Rifampicin und die Insektizide γ-Hexachlorcyclohexan und DDT;
- dass nicht nur der Abbau von Hexobarbital, sondern auch der Abbau zahlreicher anderer Pharmaka beschleunigt wurde;
- dass die Mikrosomen, deren Enzymaktivität vermehrt war, aus dem glatten endoplasmatischen Retikulum der Leberzellen stammten;
- dass der Gehalt der Leber an einem bestimmten Protein des glatten endoplasmatischen Retikulums, nämlich der Gehalt an Cytochrom P450 – aus heutiger Sicht der Gehalt an den Enzymen der Cytochrom-P450-Familie –, stark vermehrt war;
- dass das Mehr an Cytochrom-P450-Enzymen auf eine Steigerung ihrer Neusynthese zurückzuführen war (und nicht auf eine Verminderung ihres Abbaus);
- und dass nicht nur die Neusynthese von Cytochrom-P450-Enzymen, sondern auch die Neusynthese anderer Enzyme durch Pharmaka induziert werden konnte, etwa der Glucuronosyltransferasen.[13]

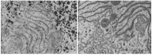
In Zusammenarbeit mit Hans-Joachim Merker hat Remmer die Vermehrung des glatten endoplasmatischen Retikulums 1963 elektronenmikroskopisch sichtbar gemacht.[14][16] „It must have been a thrilling moment when Remmer first saw under the microscope what so far he had only conceptualized from test tube measurements.“[15] Mit der Identifizierung der Rolle der Cytochrom-P450-Enzyme bei der Enzyminduktion ist auch ihre Rolle bei der Biotransformation von Pharmaka generell erstmals erkannt worden.[17]
Remmer zog aus seinen Tierversuchen Nutzen für die Klinik. Seine Tübinger Gruppe entwickelte eine Methode, durch Nadelbiopsien Enzymaktivitäten in der menschlichen Leber zu messen.[18] So fand er zum Beispiel, dass Rifampicin wie im Tierexperiment auch beim Menschen Cytochrom-P450-Enzyme induzierte. Bei Rifampicin-behandelten Patienten war der Cytochrom-P450-Gehalt der Leber dreifach erhöht und die Oxidation des Estrogens Ethinylestradiol siebenfach beschleunigt. „This explains several clinical observations of a high incidence of pregnancies in women treated with rifampicin who used contraceptice formulations.“[19] Medizinisch bedeutsam genug: Enzyminduktion verminderte die Wirksamkeit einer hormonellen Empfängnisverhütung.
Die Bedeutung des Abbaus – der Biotransformation – von Pharmaka und damit der Enzyminduktion für unsere Auseinandersetzung mit unserer chemischen Umwelt allgemein und für die Arzneitherapie speziell ist schwer zu überschätzen.[20]
Für eine gesündere Welt
In den späteren Tübinger und den Freiburger Jahren wuchs Remmers Bestreben, aus seiner Grundlagenforschung Konsequenzen abzuleiten. Das zeigen die Titel einiger Veröffentlichungen, die für eine fachübergreifende Leserschaft bestimmt waren:
- 1979: Die Induktion fremdstoffabbauender Enzyme und ihre Bedeutung für Therapie und Toxikologie
- 1980: Do liver-protective drugs exist?
- 1981: Lungenkrebs durch Passivrauchen?
- 1981: Ist eine Krebsprävention möglich?
- 1981: Arzneimittelwechselwirkungen. Die Ursachen und die Möglichkeit ihrer Verhinderung
- 1981: Die problematische Wirkungsweise von Leberschutzstoffen
- 1982: Was spricht denn nun eigentlich gegen die Zigarette?
- 1982: Verbesserung der Lebensqualität durch Vermeidung von Gesundheitsschäden
- 1984: Ist Krebs vermeidbar?
- 1985: Formaldehyd: Krebsverdächtig?
- 1985: Diäthylenglykol im Wein: Weniger ein toxikologisches als ein kriminelles Problem
- 1985: Passivrauch am Arbeitsplatz: Gesundheitsschädlich oder nicht?
- 1986: Gesundheitliche Gefahren durch Aktiv- und Passivrauchen: Bedeutung für Gynäkologie und Geburtshilfe
- 1987: Passively inhaled tobacco smoke: a challenge to toxicology and preventive medicine
- 1987: Tabakrauch: der für den Menschen gefährlichste Schadstoff in der Luft unserer Umwelt
- 1991: Smokers can cope better with passive smoke than non-smokers
- 1999: Der Schutz des Rauchers: Eine moralische Verpflichtung der DGPT.
Sein Hauptanliegen war der Schutz der Aktiv- und noch mehr der Passivraucher. Der Aktivraucher inhaliert den Hauptstromrauch, der Passivraucher den Nebenstromrauch und den vom Raucher wieder exhalierten Hauptstromrauch. Von vielen Bestandteilen des Rauchs, zum Beispiel vom Nicotin, nimmt der Passivraucher geringere Mengen auf als der Aktivraucher. Trotzdem erhöht auch Passivrauchen das Krebsrisiko. Remmer schlug zwei mögliche Gründe vor. Erstens enthält der Nebenstromrauch hohe Konzentrationen an karzinogenen Nitrosaminen. Zweitens, meinte er, inhaliere der Passivraucher nur geringe Mengen an Enzyminduktoren, weniger als der Aktivraucher. Der Aktivraucher entgifte daher einen Teil der Karzinogene im Tabakrauch durch Enzyminduktion, der Passivraucher nicht.[21]
Als Mitglied einer Arbeitsgruppe Krebsgefährdung durch Rauchen beim damaligen Ministerium für Jugend, Familie, Frauen und Gesundheit lernte Remmer die Bestrebungen der Tabakindustrie kennen, die innerministerielle und öffentliche Diskussion zu beeinflussen. „Einen besonders gewichtigen Einfluß in dieser Arbeitsgruppe hatten Wissenschaftler vom ‚Forschungsrat Rauchen und Gesundheit‘ mit dessen Präsidenten, Prof. (Klaus) Thurau (* 1928), und seinem Sekretär Prof. Adlkofer. Der letztere dominierte in diesem Beratergremium. … Seinem Geschick erlag sogar der vorsitzende Ministerialbeamte, dem verborgen blieb, daß … Prof. Adlkofer als Angestellter des Verbandes der Deutschen Cigarettenindustrie tätig war. Der Autor … muß eingestehen, daß er die Taktik der Verunsicherung der Mitglieder durch breite Diskussion sekundärer Probleme auch erst spät durchschaute. Sei diente dazu, von den immensen Gefahren, denen der Zigarettenraucher ausgesetzt ist, abzulenken.“ In seiner letzten Publikation, der dieses Zitat entnommen ist, mahnte Remmer die Deutsche Gesellschaft für Experimentelle und Klinische Pharmakologie und Toxikologie, sie könne sich „der moralischen Pflicht, für den Schutz der Raucher einzutreten, nicht entziehen, wenn sie ihre Aufgabe glaubwürdig wahrnehmen (wolle)“.[22]
Die durch ein US-amerikanisches Gerichtsurteil 1998 erzwungene Offenlegung der Usancen der Tabakindustrie[23][24] im Jahr 2006 hat Remmer nicht mehr erlebt. In den 1980er Jahren hatte er Adlkofer nach der Unterstützung einer Arbeit über Karzinogene im Tabakrauch gefragt. Daraus wurde nichts. 1988 schrieb er Adlkofer: „Retrospektiv bin ich Ihnen sogar dankbar, daß Sie sich damals nicht meldeten …; denn dadurch habe ich mein Gewissen … nicht mit Forschungsgeldern belastet, deren Annahme ich heute bereuen würde.“[25]
Schüler
Zahlreiche Tübinger Schüler Remmers erhielten verantwortliche Positionen in Forschung und deutschem Gesundheitswesen. Dazu gehören
- Erich Pfaff (1934–2014, habilitiert 1973), später Professor am Tübinger Toxikologischen Institut,
- Hartmut Frank (* 1943, habilitiert 1986), später Lehrstuhlinhaber für Umweltchemie und Ökotoxikologie der Universität Bayreuth,
- Helmut Greim (* 1935, habilitiert 1970), später Direktor des Instituts für Toxikologie der Gesellschaft für Strahlen- und Umweltforschung sowie Lehrstuhlinhaber für Toxikologie und Umwelthygiene der Technischen Universität München,
- Rainer Schüppel (* 1935, habilitiert 1970), später Professor für Pharmakologie der Technischen Universität Braunschweig,
- Karl Walter Bock (1935–2025, habilitiert 1973), später Professor in Göttingen und ab 1987 Nachfolger Remmers im Tübinger Toxikologischen Institut,
- Ursula Breyer-Pfaff (* 1937, habilitiert 1972), später Professorin am Tübinger Toxikologischen Institut,
- Hermann Bolt (* 1943, habilitiert 1974), später Direktor des Instituts für Arbeitsphysiologie der Universität Dortmund,
- Hermann Kappus (* 1944, habilitiert 1978), später Professor an der Hautklinik der Charité,
- Michael Schwenk (* 1945, habilitiert 1984), später am Landesgesundheitsamt Baden-Württemberg,
- Herbert Krell (1947–1997, habilitiert 1987), später in der Klinik für Innere Medizin der Universität Jena,
- Günther Schmalzing (* 1950, habilitiert 1987), später Leiter der Abteilung Molekulare Pharmakologie der RWTH Aachen.
Der Mensch Herbert Remmer
Nach dem Zeugnis seiner Freunde[3] war Remmer stolz auf seine Forschung, zitierte aber gern aus Iphigenie auf Tauris: „Das Wenige verschwindet leicht dem Blick, / der vorwärts sieht, wie viel noch übrig bleibt.“ Gästen zeigte er mit Begeisterung Tübingen und Umgebung, Schloss Hohentübingen, Schloss Lichtenstein und Bebenhausen, und erzählte dabei Geschichten. „Who could tell a joke or story as well as Herbert Remmer?“[26] Zwei seiner Geschichten, beide von seinen amerikanischen Freunden festgehalten, stehen in der Diskussion zu diesem Artikel.
Sein religiöser Glaube war Remmer wichtig. Bis zu seinem Tod gehörte er dem katholischen Bund Neudeutschland an. Was er als Naturwissenschaftler entdeckte, legte für ihn die Existenz Gottes nah. Dabei kritisierte er, hierin dem in der Tübinger Nachbarschaft wohnenden Hans Küng nah, manche Maßnahmen der römisch-katholischen Kirche.
In seiner Ansprache an die Deutsche Pharmakologische Gesellschaft anlässlich der Verleihung der Ehrenmitgliedschaft am 12. Juli 1999 in Berlin hat er sich selbst über seine Weltsicht geäußert. Ein Auszug aus der Ansprache steht ebenfalls in der Diskussion zu diesem Artikel. Er beschreibt darin, wie er in seiner Freiburger Zeit Albert Schweitzer aus dem nahen Elsass als sein spirituelles Vorbild entdeckte.
Anerkennung
1972 erhielt Remmer den Preis der Feldberg Foundation, 1976 den Paul-Martini-Preis, 1982 den Lucie-Bolte-Preis und 1985 die Schmiedeberg-Plakette, die höchste wissenschaftliche Auszeichnung der Deutschen Gesellschaft für Experimentelle und Klinische Pharmakologie und Toxikologie. 1999 wurde er auch Ehrenmitglied dieser Gesellschaft. Er war Ehrendoktor der Universität Turku in Finnland.
Werke (Auswahl)
- Gemeinsam mit H. Herken: Über die Veränderungen der Serumeiweißkörper bei Ödemerkrankheiten. In: Dtsch. Gesundheitswesen. 1, 1946, S. 683–687.
- mit H. Herken: Beitrag zur Pathogenese des Eiweißmangelödems. In: Klinische Wochenschrift. 24/25, 1947, S. 469–477.
- mit K. Ibe und G. Neuhaus: Die akute Doridenvergiftung. In: Internist. 2, 1961, S. 247–260.
- Bekämpfung von Schlafstörungen. In: Verhandlungen der Deutschen Gesellschaft für Innere Medizin. Springer, 1965, S. 850–865.
- mit J. Schenkman, R. W. Estabrook, H. Sasame, J. Gillette, S. Narasimulu, D. Y. Cooper und O. Rosenthal: Drug interaction with hepatic microsomal cytochrome. In: Mol. Pharm. 2, 1966, S. 187–190.
- mit Friedrich Bär, Wolfgang Bruns, Hans-Jürgen Hapke, Dietrich Henschler, Otto Rudolf Klimmer, Wolfgang Wirth u. a.: Denkschrift Toxikologie. Deutsche Forschungsgemeinschaft, Harold Boldt Verlag, Boppard 1975.
Einzelnachweise
- ↑ Helmut Greim: Review of the career of Professor Dr. Herbert Remmer. In: Drug Metabolism Reviews. 36, 2004, S. 407–415.
- ↑ Publikationsliste: Publications of Prof. Dr.med., Dr.med. (h.c.) Herbert Remmer. In: Drug Metabolism Reviews. 36, 2004, S. 417–435.
- ↑ a b R. W. Estabrook (Hrsg.): Herbert Remmer Prof. em. Dr. Dr.h.c. 6.3.1919 – 23.6.2003. In: Sonderheft Drug Metabolism Reviews. 36, Heft 3&4, 2004.
- ↑ Hans Herken: Die Berliner Pharmakologie in der Nachkriegszeit. Springer-Verlag, Berlin 1999, ISBN 3-540-64885-2.
- ↑ H. Remmer: Der Einfluß von Steroidhormonen auf den Abbau von Evipan bei der Ratte. In: Naunyn-Schmiedebergs Archiv für experimentelle Pathologie und Pharmakologie. 232, 1957, S. 268–269.
- ↑ F. Jung, H. Remmer: Über die Umsetzung zwischen Nitrit und Hämoglobin. In: Naunyn-Schmiedebergs Archiv für experimentelle Pathologie und Pharmakologie. 206, 1948, S. 459–474.
- ↑ J. Meyer Wilmes: Herbert Remmer during the early fifties, as seen by a doctoral fellow. In: Drug Metabolism Reviews. 36, 2004, S. 443–445.
- ↑ H. Remmer: Der beschleunigte Abbau von Pharmaka in den Lebermikrosomen unter dem Einfluß von Luminal. In: Naunyn-Schmiedebergs Archiv für experimentelle Pathologie und Pharmakologie. 235, 1959, S. 279–290.
- ↑ Klaus Starke: A history of Naunyn-Schmiedeberg's Archives of Pharmacology. In: Naunyn-Schmiedeberg's Archives of Pharmacology. 358, 1998, S. 1–109; hier Seite 68
- ↑ H. Remmer, R. Alsleben: Die Aktivierung der Entgiftung in den Lebermikrosomen während der Gewöhnung. In: Klinische Wochenschrift. 36, 1958, S. 332–333.
- ↑ Allan H. Conney: Induction of drug-metabolizing enzymes: a path to the discovery of multiple cytochromes P450. In: Annual Review of Pharmacology and Toxicology 43, 2003, S. 1–30.
- ↑ F. Hofmann: Wirkungen von Pharmaka auf den Organismus: Allgemeine Pharmakodynamik. In: K. Aktories, U. Förstermann, F. Hofmann, K. Starke: Allgemeine und spezielle Pharmakologie und Toxikologie. 10. Auflage. Elsevier, München 2009, ISBN 978-3-437-42522-6, S. 5–24, hier Seite 14.
- ↑ H. Remmer: Induction of drug metabolizing enzyme system in the liver. In: European Journal of Clinical Pharmacology 5, 1972, S. 116–136.
- ↑ a b H. Remmer, H.-J. Merker: Enzyminduktion und Vermehrung von endoplasmatischem Reticulum in der Leberzelle während der Behandlung mit Phenobarbital (Luminal). In: Klinische Wochenschrift. 31, 1963, S. 276–283.
- ↑ a b Klaus Starke: Es kann die Spur von unseren Erdetagen – on pharmacologists and pharmacology. In: Naunyn-Schmiedeberg’s Archives of Pharmacology. 380, 2009, S. 465–471.
- ↑ H. Remmer, H. J. Merker: Effect of drugs on the formation of smooth endoplasmic reticulum and drug-metabolizing enzymes. In: Annals of the New York Academy of Sciences. 123, 1965, S. 79–97.
- ↑ Ronald W. Estabrook: A passion for P450s (remembrances of the early history of research on cytochrome P450). In: Drug Metabolism and Disposition. 31, 2003, S. 1461–1473.
- ↑ B. Schoene, R. A. Fleischmann, H. Remmer, H. F. von Oldershausen: Determination of drug metabolizing enzymes in needle biopsies of human liver. In: European Journal of Clinical Pharmacology. 4, 1972, S. 65–73.
- ↑ H. Remmer: Drug metabolism in the human liver measured with in vitro and in vivo methods. In: Arzneimittel-Forschung. 26, 1976, S. 1262–1263.
- ↑ M. Eichelbaum, M. Schwab: Wirkungen Organismus auf Pharmaka: Allgemeine Pharmakokinetik. In: K. Aktories, U. Förstermann, F. Hofmann, K. Starke: Allgemeine und spezielle Pharmakologie und Toxikologie. 10. Auflage. Elsevier, München 2009, ISBN 978-3-437-42522-6, S. 37–64.
- ↑ H. Remmer: Tabakrauch: der für den Menschen gefährlichste Schadstoff in der Luft unserer Umwelt. In: Deutsche Medizinische Wochenschrift. 1212, 1987, S. 1054–1059.
- ↑ H. Remmer: Der Schutz des Rauchers: Eine moralische Verpflichtung der DGPT. In: DGPT-Forum. Heft 24, 1999, S. 19–23.
- ↑ Thilo Grüning, Anna B. Gilmore, Martin McKee: Tobacco industry influence on science and scientists in Germany. In: American Journal of Public Health. 96, 2006, S. 20–32. PMC 1470431 (freier Volltext)
- ↑ Im Würgegriff der Industrie. In: Der Spiegel. 49/2005.
- ↑ Legacy Tobacco Documents Library (LTDL): Brief an F. Adlkofer vom 20. Januar 1988
- ↑ Fred Deckert: Remembering the good times: Herbert Remmer. In: Drug Metabolism Reviews. 36, 2004, S. 453–458.