Heterochromatin

| Übergeordnet |
|---|
| Chromatin |
| Gene Ontology |
| QuickGO |
Als Heterochromatin wird verdichtetes Chromatin im Zellkern bezeichnet, das sich gut anfärben lässt. In ihm liegt die Desoxyribonukleinsäure (DNA) in stark an Histon- und Nichthiston-Proteine gebundener Form vor. Dadurch bleibt die Erbinformation weitgehend inaktiv.
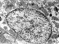
Der Begriff Heterochromatin wird in Abgrenzung zu Euchromatin verwendet, welches für Enzyme leichter zugänglich ist. Heterochromatin wird durch verschiedene Färbetechniken der Lichtmikroskopie (z. B. Feulgenreaktion, Giemsa-Färbung) stärker (positiv heteropyknotisch) als Euchromatin gefärbt. Auch im Transmissionselektronenmikroskop erscheint es wegen seiner starken Elektronenabsorption dunkel.
Arten von Heterochromatin

- Konstitutives Heterochromatin liegt häufig in der Nähe der Centromere und wird dann auch centromerisches Heterochromatin genannt. Hier liegen direkt hintereinander zahlreiche Kopien repetitiver DNA, aber keine Gene. Konstitutives Heterochromatin wird in allen Zellen eines Organismus an den gleichen Abschnitten der Chromosomen gebildet, daher der Name.
- Im Gegensatz dazu bildet sich fakultatives Heterochromatin nur in einigen Zellen eines Organismus. Das bekannteste Beispiel ist das Barr-Körperchen, eines der beiden X-Chromosomen in den Zellen weiblicher Säuger. Es ist stillgelegt um die Gendosis eines weiblichen Säugers einem männlichen X,Y-Individuum anzugleichen, und wird dadurch heterochromatisch. Bei weiblichen Organismen mit einem überzähligen X-Chromosom (Trisomie X) werden zwei X-Chromosomen heterochromatisch stillgelegt, so dass oft kaum Symptome auftreten.
Das klassische primäre Markerprotein für Heterochromatin ist das hochkonservierte Heterochromatin Protein 1 (HP 1). Ein weiteres charakteristisches Merkmal heterochromatischer Regionen sind die Hypoacetylierung (das Fehlen von Acetylgruppen) sowie die Methylierung an bestimmten Aminosäuren der Histone.
Aggregate von Heterochromatin bezeichnet man als Chromozentren.[1]
Geschichte
Mit den Fachausdrücken Heterochromatin und Euchromatin präzisierte Emil Heitz[2] das von Walther Flemming[3] vorgeschlagene Wort Chromatin: Die nicht heterochromatischen Chromatinbereiche sind euchromatisch. Überdies beobachtete Heitz erstmals bei Drosophila virilis, dass in endoreplizierenden Zellkernen das (konstitutive) Heterochromatin weit weniger als das Euchromatin oder gar nicht multipliziert.[4]
Literatur
- Paula Bujosa, Oscar Reina, Adria Caballé, Anna Casas-Lamesa, Monica Torras-Llort, Juan Pérez-Roldán, Ana Silvina Nacht, Guillermo P Vicent, Jordi Bernués, Fernando Azorín: Linker histone H1 regulates homeostasis of heterochromatin-associated cRNAs. In: Cell Rep 43, 5, 2024: 114137. PDF.
- Cong Wang, Zhiyu Chen, Gregory P Copenhaverc, Yingxiang Wang: Heterochromatin in plant meiosis. In: Nucleus 15, 1, 2024: 2328719. PDF.
- Hongli Wang, Mu Su, Jie Xing, Jie Zhou, Jinzhang Wang, Long Chen, Haomin Dong, Wenhui Xue, Yubo Liu, Qiong Wu, Yan Zhang: HHCDB: a database of human heterochromatin regions. In: Nucleic Acids Res 52, D1, 2024: D145–D153. PDF.
- Carlo Alberto Redi, S Garagna, H Zacharias, M Zuccotti, Ernesto Capanna: The other chromatin. In: Chromosoma 110, 2001: 136–147.
Siehe auch
Weblinks
- Medical-Dictionary: Heterochromatin (englisch)
Einzelnachweise
- ↑ Michael J D White: The chromosomes. 6th edition. Chapman and Hall, London 1973. → 36f, 67f.
- ↑ Emil Heitz: Heterochromatin, Chromocentren, Chromomeren. In: Berichte der Deutschen Botanischen Gesellschaft. 47, 1929: S. 277.
- ↑ Walther Flemming: Beiträge zur Kenntniss der Zelle und ihrer Lebenserscheinungen. Theil II. In: Archiv für Mikroskopische Anatomie 18, 1880: 151–259. Dort S. 158.
- ↑ Emil Heitz: Über α- und β-Heterochromatin sowie Konstanz und Bau der Chromomeren bei Drosophila. In: Biologisches Zentralblatt 54, 1934: 588–609. Dort S. 596.