Hochfrequenzablation

Die Hochfrequenzablation (Synonyme: Radiofrequenzablation, RFA, und Thermoablation) ist eine medizinische Methode zur lokalen Zerstörung von Gewebe. Bei der Hochfrequenzablation wird ein Applikator in das Gewebe eingebracht und hier eine Thermonekrose (Hitzezerstörung) durch die Wärmeentwicklung des Hochfrequenzstroms erzeugt.

Die Hochfrequenzablation wird in verschiedenen medizinischen Therapieformen verwendet, wie z. B. der Behandlung von Herzrhythmusstörungen, der Zerstörung von Lebermetastasen oder der Behandlung von Gebärmuttermyomen.[1]

Wirkungsweise

Die am Markt verfügbaren Geräte haben je nach Hersteller unterschiedliche Bauart mit dem Ziel, eine möglichst große und dabei kontrollierte Nekrosezone zu erzeugen. RITA/Angiodynamics verwendet dünne Aufspreizelektroden und einen 460 kHz-Generator, der 250 Watt leistet.[2] Radionics verwendet stabförmige, gekühlte Elektroden und gepulste 480-kHz-Wellen, bei max. 200 Watt Leistung. Vor- und Nachteile der Systeme halten sich bisher die Waage. Pro Elektrodenposition können ca. 2,4-2,8 cm große Gewebeareale zerstört werden. Dabei fließt ca. 1 Ampere Strom. Nach 12 bis 20 Minuten verkohlt das unmittelbar an der Elektrode gelegene Gewebe unter Gasbildung; damit steigen elektrischer Widerstand und Impedanz an, und die Energieübertragung kommt zum Erliegen. Zur Lagekontrolle der Sonden dient Sonografie oder Computertomographie.[3]

Anwendung in der Kardiologie

Bei der Hochfrequenzablation in der Behandlung von Herzrhythmusstörungen wird der Ursprungsort der zu behandelnden Rhythmusstörung im Rahmen einer elektrophysiologischen Untersuchung (EPU) mit einem Katheter aufgesucht und über die Abgabe von Strom erhitzt. Hierdurch kommt es zu einer Narbe, die keine elektrische Aktivität mehr besitzt.

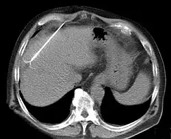
Anwendung zur Metastasen-Behandlung

Computertomographie: Kontrolle der Lage der RFA-Nadel in einem Leberherd.
Lage der RF-Ablationssonde im BWK 12 in seitlicher Ansicht

In der Behandlung von Lebermetastasen (Tumorabsiedlungen in der Leber) wird die Hochfrequenzablation zunehmend als Alternative zur Leberteilentfernung verwendet. Vorteile der Hochfrequenzablation sind:

  • Minimalinvasive Anwendung möglich: Die Behandlung kann häufig durch Punktion durch die Haut (also ohne Operation) angewendet werden
  • Wiederholbarkeit: Auch nach vorheriger Leberoperation oder bei wiederholtem Auftreten von Metastasen kann die Hochfrequenzablation angewendet werden
  • Gewebesparend: Aufgrund anatomischer Gegebenheiten muss bei einer Operation von Lebermetastasen häufig ein Teil der Leber entfernt werden, der wesentlich größer ist als die Metastase. Bei der Hochfrequenzablation wird nur die Metastase selbst mit einem Sicherheitsabstand von 10 mm zerstört.

Derzeit existiert keine größere prospektiv randomisierte Studie zum Vergleich der Hochfrequenzablation mit der Resektion von Lebermetastasen. Der direkte Nachweis der krebstherapeutischen Sicherheit der Methode ist also nicht erbracht. Allerdings deuten die bislang verfügbaren Daten auf eine Gleichwertigkeit dieser Therapieformen bezüglich der krebstherapeutischen Sicherheit hin.

Wenn Tumorzellen in die Knochen wandern, ist häufig die Wirbelsäule betroffen. Hierbei treten insbesondere im Bereich der Lenden- und Brustwirbelsäule starke Schmerzen und ein erhöhtes Bruchrisiko auf, weil die Metastasen die Stabilität des Knochens beeinträchtigen.[4][5] In der Behandlung von Wirbelkörpermetastasen (Tumorabsiedlungen in der Wirbelsäule) kann seit kurzem die Radiofrequenz-Ablation als zusätzliches Verfahren zur Entfernung der Metastasen verwendet werden, neben Strahlen- und/oder Chemotherapie.

Coblation

Coblation, von controlled ablation (Herstellerbezeichnung, dt. etwa „kontrollierte Ablation“) ist eine 2003 von der kalifornischen Firma Arthrocare entwickelte Variante, bei der nur Temperaturen bis 70 °C erreicht werden.[6] Sie wird vor allem von Hals-Nasen-Ohren-Ärzten eingesetzt, z. B. zur Mandeloperation. Den bisher vorgelegten Studien zufolge ist sie anderen Methoden jedoch nicht überlegen.[7][8]

Literatur und Einzelnachweise

  1. Hans Brölmann, Marlies Bongers, José Gerardo Garza-Leal, Janesh Gupta, Sebastiaan Veersema: The FAST-EU trial: 12-month clinical outcomes of women after intrauterine sonography-guided transcervical radiofrequency ablation of uterine fibroids. In: Gynecological Surgery. Band 13, 2016, ISSN 1613-2076, S. 27–35, doi:10.1007/s10397-015-0915-3, PMID 26918001, PMC 4753243 (freier Volltext).
  2. angiodynamics.com (Memento des Originals vom 31. Juli 2011 im Internet Archive)  Info: Der Archivlink wurde automatisch eingesetzt und noch nicht geprüft. Bitte prüfe Original- und Archivlink gemäß Anleitung und entferne dann diesen Hinweis.@1@2Vorlage:Webachiv/IABot/www.angiodynamics.com
  3. Joachim Boese-Landgraf: Regionale Tumortherapie. Springer, 2003, ISBN 3-540-41762-1, S. 193– (google.com [abgerufen am 13. August 2011]).
  4. R. Bornemann u. a.: Clinical Aspects of the Problem of Vertebral Metastases, Possibilities of Modern Treatment Methods, Considering Especially Radiofrequency Ablation. In: Z Orthop Unfall. Band 152, Nr. 4, 2014, S. 351–357.
  5. Robert Koch-Institut, Zentrum für Krebsregisterdaten. Krebs in Deutschland. Im Internet: www.Krebsdaten.de/; Stand: 13. Dezember 2013.
  6. arthrocare.com (Memento des Originals vom 16. Dezember 2011 im Internet Archive)  Info: Der Archivlink wurde automatisch eingesetzt und noch nicht geprüft. Bitte prüfe Original- und Archivlink gemäß Anleitung und entferne dann diesen Hinweis.@1@2Vorlage:Webachiv/IABot/www.arthrocare.com
  7. R. Mösges, M. Hellmich, S. Allekotte, K. Albrecht, M. Böhm: Hemorrhage rate after coblation tonsillectomy: a meta-analysis of published trials. In: European archives of oto-rhino-laryngology : official journal of the European Federation of Oto-Rhino-Laryngological Societies (EUFOS) : affiliated with the German Society for Oto-Rhino-Laryngology - Head and Neck Surgery. Band 268, Nummer 6, Juni 2011, S. 807–816, ISSN 1434-4726. doi:10.1007/s00405-011-1535-9. PMID 21373898. PMC 3087106 (freier Volltext).
  8. M. J. Burton, C. Doree: Coblation versus other surgical techniques for tonsillectomy. In: Cochrane database of systematic reviews (Online). Nummer 3, 2007, S. CD004619, ISSN 1469-493X. doi:10.1002/14651858.CD004619.pub2. PMID 17636769.

Siehe auch