Index of Orthodontic Treatment Need
Der Index of Orthodontic Treatment Need (IOTN), deutsch Index der kieferorthopädischen Behandlungsnotwendigkeit, gibt den Behandlungsbedarf bei Zahnfehlstellungen an.
Entstehung des IOTN
Der IOTN wurde 1989 von Peter Brook und William Shaw unter dem Namen „Index of orthodontic treatment priority“ in Großbritannien veröffentlicht.[1] Die Autoren verwendeten dabei die Erkenntnisse aus früheren Arbeiten, insbesondere von A. Björk, A. Krebs und B. Solow (betreffend die Methodik für Reihenuntersuchungen bei Zahnfehlstellungen)[2], von S. Linder-Aronson (betreffend vergleichende kieferorthopädische Untersuchungen in Schweden)[3] und von M. Evans und W. Shaw (betreffend vergleichende ästhetische Untersuchungen bei Zahnfehlstellungen).[4]
Der IOTN sollte dazu dienen, die Beurteilung der kieferorthopädischen Behandlungsnotwendigkeit zwischen den einzelnen Kieferorthopäden bzw. Behandlungszentren zu vereinheitlichen und zu harmonisieren, insbesondere vor dem Hintergrund, dass die Finanzierung solcher Behandlungen in Großbritannien großteils von der öffentlichen Hand getragen wurde. Zur Beurteilung der Ergebnisqualität einer kieferorthopädischen Behandlung ist der IOTN weniger gut geeignet. Zu diesem Zweck wurde der 1992 publizierte PAR-Index entwickelt.[5][6] Die Verwendung des IOTN wurde in Großbritannien wissenschaftlich begleitet: 1992 erschien eine zusammenfassende Publikationen von S. Richmond, K. O’Brien, I. Buchanan und D. Burden.[7] 2005 veröffentlichte Stephen Richmond, Professor für Public Dental Health an der University of Cardiff, eine weitere Zusammenfassung des IOTN, des PAR-Index sowie weiterer kieferorthopädischer Indices.[8]
In Deutschland diente der IOTN als Grundlage zur Entwicklung des Systems der '''Kieferorthopädischen Indikationsgruppen''', die seit 2002 verwendet werden.[9]
In Österreich ist die Verwendung des IOTN seit 1. Juli 2015 zur Beurteilung der kieferorthopädischen Behandlungsnotwendigkeit als maßgeblicher Index für die Behandlungskostenübernahme durch die Sozialversicherungen verpflichtend vorgesehen.[10][11] Im Sommer 2017 wurden in einer vertraglichen Vereinbarung zwischen dem damaligen Hauptverband der Sozialversicherungsträger (seit 1. Januar 2020: Dachverband der Sozialversicherungsträger) und der Österreichischen Zahnärztekammer am IOTN einige Änderungen vorgenommen.[12] Dadurch entstand eine eigenständige österreichische Variante des IOTN, die seit 1. September 2017 für die Honorierung kieferorthopädischer Behandlungen innerhalb des österreichischen Sozialversicherungssystems verbindlich ist.
Aufbau des IOTN
Der IOTN besteht aus zwei Komponenten:

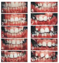
- Ästhetische Komponente (Aesthetic Component): Die ästhetische Komponente besteht aus 10 von anterior aufgenommenen Gebiss-Fotos mit unterschiedlich attraktiver Zahnstellung, wobei das Foto Nr. 1 das attraktivste, das Foto Nr. 10 das am wenigsten attraktive Gebiss zeigt. Durch Vergleich der Fotos mit dem Gebiss eines zu untersuchenden Patienten wird die ästhetische Komponente ermittelt.
- Zahngesundheitskomponente (Dental Health Component): In dieser Komponente wird die Malokklusion in 5 Schweregrade eingeteilt.
- Grad 1: keine Behandlungsnotwendigkeit
- Grad 2: geringe Behandlungsnotwendigkeit
- Grad 3: mäßige Behandlungsnotwendigkeit
- Grad 4: große Behandlungsnotwendigkeit
- Grad 5: sehr große Behandlungsnotwendigkeit
Die spezifisch vorliegende Fehlstellung wird an 15 Qualifikationsmerkmalen (Qualifier) beurteilt. Jedem dieser Merkmale ist ein Buchstabe zugeordnet:
- a: positiver sagittaler Überbiss
- b: verkehrter sagittaler Überbiss ohne Kau- oder Sprachprobleme
- c: Kreuzbiss
- d: Kontaktpunktverschiebung
- e: offener Biss
- f: Tiefbiss
- g: gute Okklusion
- h: Hypodontie
- i: impaktierter Zahn
- l: posteriorer lingualer Kreuzbiss
- m: verkehrter sagittaler Überbiss mit Kau- oder Sprachproblemen
- p: Lippen-Kiefer-Gaumen-Spalten
- s: versunkene Milchzähne
- t: teilweise durchgebrochene Zähne, gekippt und impaktiert gegen Nachbarzähne
- x: überzählige Zähne
Beurteilung der Qualifikationsmerkmale der Zahngesundheitskomponente
Die einzelnen Qualifikationsmerkmale der Zahngesundheitskomponente des IOTN werden bewertet. In die Beurteilung fließen sowohl Messungen am Gebiss bzw. Zahnmodell als auch klinische Beurteilungen ein. Messungen können mit geeigneten Messinstrumenten (schmales Lineal, Parodontalsonde, Messkreuz) am Patienten oder an einem physischen Zahnmodell, oder mit digitalen Vermessungsprogrammen an virtuellen Zahnmodellen durchgeführt werden. Anamnese und klinische Untersuchungen müssen vom Kieferorthopäden am Patienten durchgeführt werden.
Merkmal a – positiver sagittaler Überbiss
Gemessen wird die Größe der sagittalen Stufe im Bereich der Schneidezähne. Es werden nur bleibende Zähne gewertet. Besonderheiten der österreichischen IOTN-Variante sind weiter unten angeführt.
- IOTN-Wert 2a: >3,5mm aber ≤6mm mit kompetentem Lippenschluss
- IOTN-Wert 3a: >3,5mm aber ≤6mm mit inkompetentem Lippenschluss
- IOTN-Wert 4a: >6mm aber ≤9mm
- IOTN-Wert 5a: >9mm
Merkmal b – verkehrter sagittaler Überbiss ohne Kau- oder Sprachprobleme
Gemessen wird die Größe der verkehrten sagittalen Stufe im Bereich der Schneidezähne. Es werden nur bleibende Zähne gewertet. Alle vier oberen Schneidezähne müssen sich im verkehrten Überbiss befinden. Besonderheiten der österreichischen IOTN-Variante sind weiter unten angeführt.
- IOTN-Wert 2b: >0mm aber ≤1mm
- IOTN-Wert 3b: >1mm aber ≤3,5mm ohne Kau- oder Sprachprobleme
- IOTN-Wert 4b: >3,5mm ohne Kau- oder Sprachprobleme
Merkmal c – Kreuzbiss
Beurteilt wird der Kreuzbiss im Bereich der Zähne 1 bis 7, zu dem auch Scherenbiss, Kantbiss und Höcker-Höcker-Verzahnung gezählt werden. Für die Wertung ausschlaggebend ist die durch den Kreuzbiss verursachte Diskrepanz zwischen der retralen Kontaktposition und der interkuspidalen Position, das heißt des durch den Kreuzbiss verursachten Zwangsbisses (RKP/IKP-Diskrepanz). Dieser kann durch bleibende Zähne oder durch Milchzähne verursacht werden.
- IOTN-Wert 2c: RKP/IKP-Diskrepanz ≤1mm
- IOTN-Wert 3c: RKP/IKP-Diskrepanz >1mm aber ≤2mm
- IOTN-Wert 4c: RKP/IKP-Diskrepanz >2mm
Merkmal d – Kontaktpunktverschiebung
Gemessen wird, wie stark die anatomischen Kontaktpunkte benachbarter Zähne gegeneinander verschoben sind (Kontaktpunktverschiebung, KPV). Die vertikale Komponente der Verschiebung wird nicht gewertet. Es werden nur bleibende Zähne gewertet, der Messbereich umfasst alle Zähne von 1 bis 8. Besonderheiten der österreichischen IOTN-Variante sind weiter unten angeführt.
- IOTN-Wert 2d: KPV >1mm aber ≤2mm
- IOTN-Wert 3d: >2mm aber ≤4mm
- IOTN-Wert 4d: >4mm
Merkmal e – offener Biss
Gemessen wird der vertikale Abstand antagonistischer Zähne (Schneidekante zu Schneidekante bzw. Kaufläche zu Kaufläche). Es werden nur bleibende Zähne gewertet, der Messbereich umfasst die Zähne 1 bis 7. Besonderheiten der österreichischen IOTN-Variante sind weiter unten angeführt.
- IOTN-Wert 2e: offener Biss >1mm aber ≤2mm
- IOTN-Wert 3e: offener Biss >2mm aber ≤4mm
- IOTN-Wert 4e: offener Biss >4mm
Merkmal f – Tiefbiss
Beurteilt wird, wie weit antagonistische Schneidezähne überdeckt werden. Es werden nur bleibende Zähne gewertet, der Messbereich umfasst die Schneidezähne. Abweichungen in der österreichischen IOTN-Variante sind weiter unten angeführt.
- IOTN-Wert 2f: Tiefbiss mit Überdeckung eines antagonistischen Schneidezahns >3,5mm
- IOTN-Wert 3f: Tiefbiss mit Berührung der antagonistischen palatinalen oder labialen Gingiva
- IOTN-Wert 4f: Tiefbiss mit traumatischem Einbiss der antagonistischen palatinalen oder labialen Gingiva
Merkmal g – gute Okklusion
Beurteilt wird, ob bei ansonsten fehlenden Malokklusionen im Seitzahnbereich eine unsaubere sagittale Relation besteht. Es werden nur bleibende Zähne gewertet.
- IOTN-Wert 2 g: Abweichung von höchstens einer halben Prämolarenbreite in der sagittalen Relation
Merkmal h – Hypodontie
Beurteilt wird die Nichtanlage[13] bleibender Zähne 1 bis 7.
- IOTN-Wert 4h: Nichtanlage von nicht mehr als einem Zahn pro Quadrant
- IOTN-Wert 5h: Nichtanlage von mehr als einem Zahn in mindestens einem Quadranten
Merkmal i – impaktierter Zahn
Beurteilt werden impaktierte und retinierte Zähne 1 bis 7. Sobald ein Teil des Zahns die Gingiva durchbrochen hat (sichtbar ist), kann das Merkmal „i“ nicht mehr gewertet werden.
- IOTN-Wert 5i: Behinderung des regelrechten Zahndurchbruchs wegen einer der folgenden Ursachen:
- Platzmangel (Lücke ≤4mm, Stützzone im OK ≤18mm, Stützzone im UK ≤17mm)
- Verlagerung (ektopische Lage)
- Verhinderung des Durchbruchs wegen eines überzähligen Zahns, Mesiodens, Odontom
- Verhinderung des Durchbruchs wegen eines persistierenden Milchzahns
- Andere pathologische Ursache
Merkmal l – posteriorer lingualer Kreuzbiss
Beurteilt wird, ob ein Scherenbiss des Seitzahnsegments einer oder beider Seiten besteht. Es werden nur bleibende Zähne im Bereich 4 bis 7 gewertet. Alle vorhandenen Zähne dieses Bereichs müssen im Scherenbiss stehen.
- IOTN-Wert 4l: Scherenbiss ohne funktionalen Okklusionskontakt im gesamten Seitzahnsegment einer oder beider Seiten
Merkmal m – verkehrter sagittaler Überbiss mit Kau- oder Sprachproblemen
Gemessen wird die Größe der verkehrten sagittalen Stufe im Bereich der Schneidezähne. Es werden nur bleibende Zähne gewertet. Alle vier oberen Schneidezähne müssen sich im verkehrten Überbiss befinden. Besonderheiten der österreichischen IOTN-Variante sind weiter unten angeführt.
- IOTN-Wert 4 m: >1mm aber ≤3,5mm mit Kau- oder Sprachproblemen
- IOTN-Wert 5 m: >3,5mm mit Kau- oder Sprachproblemen
Merkmal p – Lippen-Kiefer-Gaumen-Spalten
Beurteilt wird, ob Lippen-Kiefer-Gaumen-Spalten vorliegen, die Auswirkungen auf die Zahnstellung haben.
- IOTN-Wert 5p: Defekte wie Lippen-Kiefer-Gaumen-Spalten mit Auswirkungen auf die Zahnstellung
Merkmal s – versunkene Milchzähne
Beurteilt werden infraokklusal stehende Milchzähne.
- IOTN-Wert 5s: Versunkene Milchzähne, die eine der beiden Bedingungen aufweisen:
- entweder nur zwei Höcker verbleiben sichtbar
- oder die benachbarten Zähne sind stark über den Milchzahn gekippt
Merkmal t – teilweise durchgebrochene Zähne, gekippt und impaktiert gegen Nachbarzähne
Beurteilt werden teilretinierte bleibende Zähne, die gegen bleibende Zähne gekippt sind. Der Messbereich umfasst die Zähne 1 bis 8. Besonderheiten der österreichischen IOTN-Variante sind weiter unten angeführt.
- IOTN-Wert 4t: Teilweise durchgebrochener Zahn, gekippt zum benachbarten Zahn.
Merkmal x – überzählige Zähne
Beurteilt werden Überzählige bleibende Zähne, der Messbereich umfasst die Zähne 1 bis 7. Der Zahn muss nicht durchgebrochen sein.
- IOTN-Wert 4x: Überzähliger bleibender Zahn, nach dessen Entfernung eine Ausformung des Zahnbogens oder ein Lückenschluss durchgeführt werden muss.
Ermittlung des IOTN-Werts
Wertung der ästhetische Komponente
Aus der ästhetischen Komponente ergibt sich der Behandlungsbedarf durch Vergleich des Aussehens des Patienten mit den Referenz-Fotos. Die Fotos 1 bis 4 zeigen an, dass höchstens ein geringer Behandlungsbedarf besteht. Die Fotos 5 bis 7 zeigen einen mäßigen bis grenzwertigen Behandlungsbedarf an. Die Fotos 8 bis 10 zeigen kieferorthopädischen Behandlungsbedarf an.[14][15]
Reihung der Merkmale der Zahngesundheitskomponente mittels MOCDO-Schema
In der Zahngesundheitskomponente des IOTN wird nur ein einzelner Wert, nämlich der höchste diagnostizierbare Wert angegeben. Dieser ergibt sich zunächst aus dem höchsten Grad, der die Behandlungsnotwendigkeit bestimmt. Gibt es mehrere Qualifikationsmerkmale, die den höchsten Grad erfüllen (beispielsweise IOTN 4a und IOTN 4h), so werden diese nach einem von Richmond et al. angegebenen hierarchischen Schema gereiht, dem so genannten MOCDO-Schema.
Die Qualifikationsmerkmale werden in 6 Gruppen eingeteilt.
- Missing teeth (fehlende Zähne): Merkmale i und h
- Overjet / reverse Overjet (pos./neg. sagittaler Überbiss): Merkmale a, b, m
- Crossbite (Kreuzbiss): Merkmal c
- Displacement (Kontaktpunktverschiebung): Merkmal d
- Overbite / open bite: Merkmale e und f
- Andere: Merkmale g, l, p, s, t, x
Aus den englischen Anfangsbuchstaben der ersten 5 Gruppen ergibt sich das Acronym „MOCDO“. Hierarchisch sind die weiter oben stehenden Gruppen und die in ihnen angeführten Qualifikationsmerkmale den weiter unten stehenden Gruppen übergeordnet. So ist beispielsweise ein IOTN-Merkmal 4h dem Merkmal 4a übergeordnet, der korrekterweise anzugebende IOTN-Wert daher 4h.
Besonderheiten und Abweichungen des IOTN in Österreich
Durch die im Sommer 2017 zwischen dem damaligen Hauptverband der Sozialversicherungsträger (seit 1. Januar 2020: Dachverband der Sozialversicherungsträger) und der Österreichischen Zahnärztekammer geschlossene vertragliche Vereinbarung zum IOTN sind einige Änderungen vorgenommen worden, durch die eine eigenständige österreichische Variante des IOTN geschaffen worden ist.[16]
Wegfall der ästhetischen Komponente
Die ästhetische Komponente bleibt für kieferorthopädischer Behandlungen innerhalb des österreichischen Sozialversicherungssystems unberücksichtigt.
Besonderheiten der Merkmale a, b und m in Österreich
In Österreich wird immer der größte Abstand zwischen zwei antagonistischen Schneidezähnen gemessen, egal ob die Messung vom am weitesten labial stehenden Schneidezahn ausgeht oder nicht. Im ursprünglichen IOTN wird dagegen immer vom am weitesten labial stehenden Schneidezahn aus gemessen.
Besonderheiten des Merkmals d in Österreich
In der österreichischen Variante ist klarer als im ursprünglichen IOTN geregelt, wie bei Kontaktpunktverschiebungen bei lückig stehenden Zähnen und bei rotierten Zähnen zu werten ist:
Zahnlücken werden in Österreich mitvermessen, außer die benachbarten Zähne stehen völlig korrekt im Zahnbogen und weisen keinerlei Abweichung vom Zahnbogen auf.
Kontaktpunktverschiebungen werden auch bei Zahnrotationen in üblicher Weise vermessen, lediglich bei rotierten Prämolaren, die (abgesehen von der Rotation) nicht vom Zahnbogen abweichen und deren Rotation auch keine Interferenz zu Antagonisten im Sinn eines Kreuz- oder Kopfbisses verursacht, bleiben unberücksichtigt.
Besonderheiten des Merkmals e in Österreich
In der österreichischen Variante wird der offene Biss im Seitzahnbereich von Höcker zu Höcker gemessen, während im ursprünglichen IOTN vom „größten Abstand“ die Rede ist (was einem Höcker-Fossa oder Fossa-Fossa-Abstand entspricht).
Besonderheiten des Merkmals f in Österreich
In der österreichischen Variante wird der Tiefbiss nicht wie im ursprünglichen IOTN an den Schneidezähnen (2 bis 2), sondern an den Frontzähnen (Schneide- und Eckzähnen, 3 bis 3) gemessen.
Besonderheiten des Merkmals t in Österreich
In der österreichischen Variante muss für die Behandlung eines teilretinierten Zahns eine Multibracket-Behandlung nötig sein, um als 4t gewertet zu werden. Ist ein teilretinierter Sechsjahrmolar gegen einen zweiten Milchmolaren gekippt und führt zu einer unterminierenden Resorption dieses Milchzahns, so kann auch dies als IOTN 4t gewertet werden.
Verpflichtung zur Digitalisierung
In der Kommunikation zwischen Kieferorthopäden und Sozialversicherung sollen alle Unterlagen nach Möglichkeit digital übermittelt werden. Für Vertragskieferorthopäden ist die Übermittlung digitalisierter Unterlagen, einschließlich digitalisierter Modelle, nach mehrmaliger Verlängerung einer Übergangsfrist seit Juli 2022 verpflichtend. Zur Vermessung virtueller Zahnmodelle ist daher deren digitale Vermessung erforderlich. Für den österreichischen Markt wurden geeignete Module des Vermessungsprogramms OnyxCeph³ der Firma Image Instruments GmbH aus Chemnitz, welche die Erfordernisse zur digitalen Vermessung der österreichischen Variante des IOTN sowie des PAR-Index erfüllt, gemeinsam mit dem Verband Österreichischer Kieferorthopäden entwickelt.
Literatur
- Gabriele Watzer, Armin Watzer: IOTN und PAR-Index in Österreich – Handbuch für die korrekte und vorschriftsmäßige Anwendung. Herausgegeben vom Verband Österreichischer Kieferorthopäden, 2020. ISBN 978-3-9519790-0-7
- Stephen Richmond: Evaluating Effective Orthodontic Care. First Numerics Ltd., Cardiff, 2005, Reprint 2014. ISBN 0-9549670-1-1.
Einzelnachweise
- ↑ Brook, PH und Shaw, WC. The Development of an Index of Orthodontic Treatment Priority. European Journal of Orthodontics. 1989, Bd. 11, S. 309–320.
- ↑ Björk, A, Krebs, AA und Solow, B. A Method for Epidemiological Registration of Malocclusion. Acta odontologica Scandinavica. 1964, S. 27–41
- ↑ Linder-Aronson, St. Orthodontics in the Swedish Public Health Service. European Journal of Orthodontics. 1974, Bd. 29 (Suppl 1), S. 233–240.
- ↑ Evans, MR und Shaw, WC. Preliminary evaluation of an illustrated scale for rating dental attractiveness. European Journal of Orthodontics (9). 1987, S. 314–318
- ↑ Richmond, S, Shaw, WC, O’Brien, KD, Buchanan, IB, Jones, R, Stephens, CD, Roberts, CT und Andrews, M. The development of the PAR Index (Peer Assessment Rating): reliability and validity. European Journal of Orthodontics. April 1992, Bd. 14, 2, S. 125–139.
- ↑ Richmond, S, Shaw, WC, Roberts, CT und Andrews, M. The PAR Index (Peer Assessment Rating): methods to determine outcome of orthodontic treatment in terms of improvement and standards. European Journal of Orthodontics. Juni 1992, Bd. 14, 3, S. 180–187.
- ↑ Richmond, S, O’Brien, KD, Buchanan, IB und Burden, D. An Introduction to Occlusal Indices. Mandent Press. 1992, Reprint 1994
- ↑ Richmond, S. Evaluating Effective Orthodontic Care. s. l. : First Numerics Ltd., Cardiff, 2005, Reprint 2014. ISBN 0-9549670-1-1.
- ↑ Schopf, P. Kieferorthopädische Abrechnung. Quintessenz, Berlin, 2. Auflage 2013. ISBN 978-3-86867-188-9.
- ↑ Gesamtvertrag Kieferorthopädie für Leistungen gemäß § 153a ASVG (§ 94a GSVG, § 95a BSVG, § 69a B-KUVG) und den Richttarif gemäß § 343c ASVG, abgeschlossen zwischen der Österreichischen Zahnärztekammer und dem Hauptverband der Sozialversicherungsträger, 2015.
- ↑ Amtliche Verlautbarung der österreichischen Sozialversicherung (Hauptverband) Nr. 66/2015, 7. Änderung der Mustersatzung 2011. 2015.
- ↑ Gemeinsame Festlegung zwischen Österreichischer Zahnärztekammer und Hauptverband der Sozialversicherungsträger zum IOTN vom 16. August 2017, 2017 Online
- ↑ Watzer, A und Watzer, G. Wie häufig sind Nichtanlagen von Weisheitszähnen bei Patienten mit Hypodontie? – Eine retrospektive Studie. Kieferorthopädie. 2009, Bd. 23 (3), S. 205–213.
- ↑ Evans, MR und Shaw, WC. Preliminary evaluation of an illustrated scale for rating dental attractiveness. European Journal of Orthodontics (9). 1987, S. 314–318.
- ↑ Richmond, S, O’Brien, KD, Buchanan, IB und Burden, D. An Introduction to Occlusal Indices. Mandent Press. 1992, Reprint 1994
- ↑ Watzer, G und Watzer, A: IOTN und PAR-Index in Österreich – Handbuch für die korrekte und vorschriftsmäßige Anwendung. Herausgegeben vom Verband Österreichischer Kieferorthopäden, 2020. ISBN 978-3-9519790-0-7