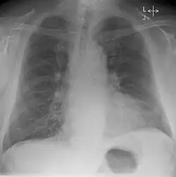
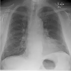
Kerley-Linie


Kerley-Linien sind zarte Linien auf dem Röntgenbild der Lunge. Sie weisen auf pathologisch verbreiterte Alveolarsepten und Lymphgefäße der Lunge hin, am häufigsten verursacht durch eine Herzinsuffizienz. Auch Pneumonien, Lungenfibrose und eine diffuse Absiedlung von Tumorzellen in der Lunge (Lymphangiosis carcinomatosa) können zu sichtbaren Kerley-Linien führen.
Unterschieden wird zwischen feinen, langen Kerley-A-Linien eher in den oberen Lungenabschnitten und kurzen, waagerechten Kerley-B-Linien, die in den unteren Lungenabschnitten nahe der Thoraxwand im so genannten costophrenischen Winkel verlaufen (vorwiegend rechtsseitig). Kerley-C-Linien sind spinnwebenartige Linien über der gesamten Lunge.
Die Linien wurden von Peter Kerley beschrieben.
Literatur
- T. Koga, K. Fujimoto: Images in clinical medicine. Kerley’s A, B, and C lines. In: N Engl J Med. 2009 Apr 9;360(15), S. 1539. PMID 19357409 doi:10.1056/NEJMicm0708489