Kniest-Dysplasie
| Klassifikation nach ICD-10 | |
|---|---|
| Q78.9 | Osteochondrodysplasie, nicht näher bezeichnet |
| Q77.7 | Dysplasia spondyloepiphysaria |
| ICD-10 online (WHO-Version 2019) | |
Die Kniest-Dysplasie oder das Kniest-Syndrom ist eine angeborene Entwicklungsstörung des Skelettes (Skelettdysplasie) mit schwerem Kleinwuchs und charakteristischen Skelettveränderungen.[1] Die Erkrankung gehört zu den Kollagenopathien.[2]
Die Erstbeschreibung erfolgte 1952 durch den deutschen Kinderarzt Wilhelm Kniest.[3]

Verbreitung
Die Häufigkeit ist nicht bekannt. Die Vererbung erfolgt autosomal-dominant.[2]
Ursachen
Zugrunde liegen Mutationen im COL2A1-Gen auf dem Chromosom 12 am Genort q13.11-q13.2.[4] Dieses Gen ist an der Produktion von Kollagen Typ II beteiligt, welches vor allem für den Aufbau des Augapfels, für Knorpel und im Innenohr benötigt wird. Die genetische Abweichung führt zu einer veränderten Struktur des Kollagens Typ II, wodurch sich Knochen, Gelenke und verschiedene Bindegewebe nicht richtig entwickeln können.[5]
Die Vererbung erfolgt autosomal-dominant. Meistens handelt es sich um heterozygote Neumutationen; das heißt, die Eltern des Kindes mit Kniest-Dysplasie sind in der Regel selbst nicht betroffen. Wenn Betroffene selbst Kinder bekommen, liegt die Wahrscheinlichkeit für die Vererbung der Kniest-Dysplasie bei 50 %.[2]
Klinische Erscheinungen
Die Kniest-Dysplasie weist ein variables Spektrum auf von schwersten letal verlaufenden bis zu leichten Formen.
Klinische Kriterien sind:[1][6][7]
- schwerer, bereits beim Säugling einsetzender dysproportionierter Kleinwuchs mit Verkürzung des Rumpfes, die Erwachsenengrösse beträgt je nach Quelle 106 cm bis 156 cm oder bis 145 cm
- thorakale Kyphose und lumbale Lordose
- kurze Extremitäten mit aufgetriebenen Gelenken, die in ihrer Beweglichkeit häufig eingeschränkt sind
- flaches Mittelgesicht mit eingesunkener Nasenwurzel
Hinzu kommen in 50 % Gaumenspalte und Schwerhörigkeit sowie seltener Kurzsichtigkeit.
Diagnose
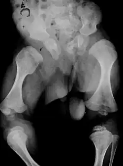
Im Röntgenbild der Wirbelsäule finden sich eine Platyspondylie, ventral zugespitzte Wirbelkörper und bei Säuglingen können vertikale Spaltwirbel vorkommen. Die Beckenschaufeln sind breit mit Unterentwicklung der unteren Anteile des Darmbeins, erheblich verbreiterte, plumpe und kurze Schenkelhälse, verkürzte und metaphysär aufgetriebene Röhrenknochen.[1]
Große Epiphysen und spätes Auftreten des Oberschenkelkopfes im 2. bis 3. Lebensjahr sind weitere Kriterien[2], sowie Megaepiphysen im Knie- und Hüftgelenk.[6]
Bereits vorgeburtlich kann der genetische Nachweis oder Ausschluss erfolgen; die Extremitätenverkürzungen können sonographisch erkannt werden.
Differentialdiagnose
Abzugrenzen ist die Spondyloepiphysäre Dysplasie, die Dyssegmentale Dysplasie und die Metatropische Dysplasie.[2]
Histologisch finden sich spezifisch für das Kniest-Syndrom „Löcher“ im Knorpel.[6]
Therapie
Eine ursächliche Behandlung ist nicht möglich.
Die Prognose wird durch den Schweregrad der Gelenk- und Wirbelanomalien bestimmt.[2]
Literatur
- W. Kniest, B. Leiber: Kniest Syndrom. In: Monatsschrift für Kinderheilkunde. Band 125, Nummer 12, Dezember 1977, S. 970–973. PMID 600274.
- N. Ben Jamaâ, A. Masmoudi, C. Ghaffari, W. Limam, S. Siala-Gaigi: Kniest Dysplasia. In: La Tunisie médicale. Band 90, Nummer 12, Dezember 2012, S. 902–903, ISSN 0041-4131. PMID 23247797.
- J. Spranger, A. Winterpacht, B. Zabel: Kniest dysplasia: Dr. W. Kniest, his patient, the molecular defect. In: American journal of medical genetics. Bd. 69, Nr. 1, März 1997, S. 79–84, ISSN 0148-7299. PMID 9066888.
Einzelnachweise
- ↑ a b c Bernfried Leiber (Begründer): Die klinischen Syndrome. Syndrome, Sequenzen und Symptomenkomplexe. Hrsg.: G. Burg, J. Kunze, D. Pongratz, P. G. Scheurlen, A. Schinzel, J. Spranger. 7., völlig neu bearb. Auflage. Band 2: Symptome. Urban & Schwarzenberg, München u. a. 1990, ISBN 3-541-01727-9.
- ↑ a b c d e f Eintrag zu Kniest-Dysplasie. In: Orphanet (Datenbank für seltene Krankheiten)
- ↑ W. Kniest: Zur Abgrenzung der Dyostosis enchondralis von der Chondrodystrophie. In: Zeitschrift für Kinderheilkunde. Bd. 70, Nr. 6, 1952, S. 633–640, ISSN 0044-2917. PMID 12995812.
- ↑ Kniest dysplasia. In: Online Mendelian Inheritance in Man. (englisch)
- ↑ Medline Plus
- ↑ a b c W. Schuster, D. Färber (Hrsg.): Kinderradiologie. Bildgebende Diagnostik. Band 1, Springer, 1996, ISBN 3-540-60224-0, S. 332–337.
- ↑ Jürgen Spranger, Hartmut Menger, Johannes Correll, Peter Freisinger: Spondylo-epiphysäre Dysplasia congenita (SEDC) & Kniest-Dysplasie. In: BKMF (Hrsg.): Kleinwuchs, Gelbe Blätter. 3a, 2006, S. 6.
Weblinks
- Bundesverband Kleinwüchsige Menschen und ihre Familien e.V.
- Rare Diseases
- Eintrag zu Kniest-Dysplasie. In: Orphanet (Datenbank für seltene Krankheiten)