Kranioplastik
Eine Kranioplastik (von altgriechisch κρανίον krānion, deutsch ‚Schädel‘ und πλαστική (τέχνη) plastikē (tekhnē), deutsch ‚Plastik‘ (als chirurgische Wiederherstellung)) ist eine Operation, bei der ein Defekt oder eine Deformität des Schädels repariert oder wiederhergestellt wird.
Der Eingriff wird nach OPS-301 als 5-020 Kranioplastik klassifiziert.
Indikation
Hauptindikationen sind die Beseitigung einer entstellenden Schädeldeformation und der mechanischen Verwundbarkeit des Schädels und Gehirnes.[1]
Methodik

Frühere Verfahren benutzten eine Goldplatte oder Knochen-Transplantate, aktuell kommen Kunststoffe wie Polymethylmethacrylat (PMMA), Metalle wie Titan, verschiedene Keramiken oder bevorzugt körpereigener Knochen, oft der entnommene Knochendeckel bei einer Entlastungsoperation (Kraniektomie), zur Anwendung.[1]
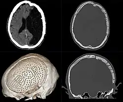
Häufig wird ein der Kontur des Schädels individuell angepasstes Implantat benötigt. Dieses kann durch Laser-Sinter-Verfahren oder anderen 3D-Druckverfahren erzeugt werden.[2]
Komplikationen
Wie bei jedem operativen Eingriff kann es zu Komplikationen wie Infektion, Blutung, Nekrose des Transplantates kommen.[3]
Geschichte
Nach der Trepanation ist auch die Kranioplastik ein sehr alter Eingriff, der bereits um 2000 v. Chr. bei den Inka durchgeführt wurde.[4]
Die vermutlich erste überlieferte Mitteilung einer Kalottenplastik stammt von Gabriele Falloppio, der empfahl, bei Schädelfrakturen den eigenen Knochen wieder zu befestigen, falls die Dura unverletzt geblieben sei. Anderenfalls solle eine Goldplatte verwendet werden.[5]
1668 wurde erstmals von dem holländischen Arzt Job Janszoon van Meekeren (1593–1674)[6] eine Kranioplastik mithilfe einer Knochentransplantation vom Hundeschädel in eine Schussverletzung zur Überbrückung des Schädeldachdefekts bei einem Soldaten beschrieben.[7] Das in Russland eingesetzte Transplantat musste allerdings unter kirchlicher Androhung der Exkommunikation wieder entfernt werden.[8]
Literatur
- E. Archavlis, M. C. Nievas: Kranioplastik nach supratentorieller dekompressiver Kraniektomie. Wann ist der Zeitpunkt optimal? In: Der Nervenarzt, Juni 2012, Band 83, Nr. 6, S. 751–758; doi:10.1007/s00115-011-3424-2, PMID 22215218.
- E. K. Park, J. Y. Lim, I. S. Yun, J. S. Kim, S. H. Woo, D. S. Kim, K. W. Shim: Cranioplasty Enhanced by Three-Dimensional Printing: Custom-Made Three-Dimensional-Printed Titanium Implants for Skull Defects. In: The Journal of craniofacial surgery, Juni 2016, Band 27, Nr. 4, S. 943–949; doi:10.1097/SCS.0000000000002656, PMID 27192643.
- L. Williams, K. Fan, R. Bentley: Titanium cranioplasty in children and adolescents. In: Journal of cranio-maxillo-facial surgery : official publication of the European Association for Cranio-Maxillo-Facial Surgery. [elektronische Veröffentlichung vor dem Druck] April 2016; doi:10.1016/j.jcms.2016.03.010, PMID 27174495.
Einzelnachweise
- ↑ a b R. J. Kriegel: Kalottenplastik für große Schädeldefekte mit PMMA (Polymethylmethacrylat) oder Tutoplast(R) prozessierten autogenen Knochentransplantaten. Diss. Bonn, 2006. urn:nbn:de:hbz:5M-09015.
- ↑ M. Bullemer: Medizintechnik: Individuelle Implantatfertigung In: Deutsches Ärzteblatt, 2012, Band 109, Nr. 16, S. 24.
- ↑ S. Honeybul, K. M. Ho: Cranioplasty: morbidity and failure. In: British journal of neurosurgery. [elektronische Veröffentlichung vor dem Druck] Mai 2016; doi:10.1080/02688697.2016.1187259, PMID 27215939.
- ↑ C. B. Courville: Cranioplasty in prehistoric times. In: Bulletin of the Los Angeles Neurological Society, März 1959, Band 24, Nr. 1, S. 1–8, PMID 13629188.
- ↑ A. Sanan, S. J. Haines: Repairing holes in the head: a history of cranioplasty. In: Neurosurgery, März 1997, Band 40, Nr. 3, S. 588–603, PMID 9055300.
- ↑ J. Meek’ren: Observationes medical-chirurgical. H. & T. Bloom, Amsterdam 1682.
- ↑ B. Haeseker: Mr. Job van Meekeren (1611-1666) and surgery of the hand. In: Plastic and reconstructive surgery, September 1988, Band 82, Nummer 3, S. 539–546; PMID 3043489.
- ↑ Wolfgang Seeger, Carl Ludwig Geletneky: Chirurgie des Nervensystems. In: Franz Xaver Sailer, Friedrich Wilhelm Gierhake (Hrsg.): Chirurgie historisch gesehen. Anfang – Entwicklung – Differenzierung. Dustri-Verlag, Deisenhofen bei München 1973, ISBN 3-87185-021-7, S. 229–262, hier: S. 245.