Lipom

Klassifikation nach ICD-10
D17 Gutartige Neubildung des Fettgewebes
D17.9 Lipom
{{{03-BEZEICHNUNG}}}
{{{04-BEZEICHNUNG}}}
{{{05-BEZEICHNUNG}}}
{{{06-BEZEICHNUNG}}}
{{{07-BEZEICHNUNG}}}
{{{08-BEZEICHNUNG}}}
{{{09-BEZEICHNUNG}}}
{{{10-BEZEICHNUNG}}}
{{{11-BEZEICHNUNG}}}
{{{12-BEZEICHNUNG}}}
{{{13-BEZEICHNUNG}}}
{{{14-BEZEICHNUNG}}}
{{{15-BEZEICHNUNG}}}
{{{16-BEZEICHNUNG}}}
{{{17-BEZEICHNUNG}}}
{{{18-BEZEICHNUNG}}}
{{{19-BEZEICHNUNG}}}
{{{20-BEZEICHNUNG}}}
Vorlage:Infobox ICD/Wartung {{{21BEZEICHNUNG}}}
ICD-10 online (WHO-Version 2019)
Klassifikation nach ICD-11
2E80.0 Lipom
2E80.00 Oberflächliches Lipom der Unterhaut
2E80.01 Tiefes subfasziales Lipom
2E80.02 Tief liegendes oder viszerales Lipom
2E80.0Y Lipom sonstiger näher bezeichneter Lokalisation
2E80.0Z Lipom nicht näher bezeichneter Lokalisation
ICD-11: EnglischDeutsch (Entwurf)

Ein Lipom, auch als gutartige Fettgeschwulst bezeichnet, ist ein gutartiger Tumor der Fettgewebszellen (Adipozyten).

Lipom der Unterhaut
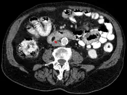
Lipom des Duodenums im CT: Den gutartigen Tumor erkennt man an den fettgleichen Dichtewerten.

Inzidenz und Verteilung

Lipome sind mit einem Anteil von etwa 16 Prozent die häufigsten mesenchymalen Tumoren des Menschen.[1] Die Prävalenz für Lipome in den Weichteilen wird auf 2,1 pro 100 Menschen geschätzt. Lipome sind wesentlich häufiger als die verwandten bösartigen Liposarkome. Das Verhältnis liegt bei etwa 100:1.[2][3][4][5]

Mit 15 bis 20 Prozent sind sie im Bereich der Kopf-Hals-Region am häufigsten zu finden. Sehr häufig sind auch die Schulter und der Rücken betroffen.[6] Sehr selten sind sie dagegen zum Beispiel in den Fingern anzutreffen, hier gibt es weniger als 20 in der Literatur beschriebene Fälle.[1]

Die Lipome des Weichgewebes können in oberflächlich und tieferliegend eingeteilt werden. Die oberflächlichen Lipome treten subkutan auf und haben einen Anteil von 16 bis 50 Prozent an allen Weichteiltumoren. Sie treten meist in der fünften bis siebten Lebensdekade auf.[7][2][3] Tiefsitzende Lipome sind mit einem Anteil von 1 bis 2 Prozent wesentlich seltener als oberflächliche. Da tiefsitzende Lipome nur selten klinisch relevant werden und meist nur ein Zufallsbefund einer radiologischen Untersuchung sind, gehen einige Autoren von einer deutlich höheren Prävalenz aus.[7] Tiefsitzende Lipome in den Extremitäten sind meist intra- oder intermuskulär. Sie werden auch oft infiltrierende Lipome genannt.[8][7] Diese Form von Lipomen tritt meist bei Patienten im Alter zwischen 30 und 60 Jahren im Bereich der unteren Extremitäten (45 Prozent), des Rumpfes (17 Prozent), der Schulter (12 Prozent) und der oberen Extremitäten (10 Prozent) auf.[9][7]

  • Angeborene spinale Lipome stellen wegen ihres unmittelbaren Bezuges zum Rückenmark eine Sonderform dar.

Die Verteilung zwischen den Geschlechtern ist nahezu gleich,[7] Männer sind geringfügig öfter als Frauen betroffen.[7]

  • Eine sehr seltene histologische Variante des Lipoms ist das Osteolipom, bei dem es innerhalb des Lipoms zur Knochenbildung kommt.[10][11]

Entstehung

Die Ursachen und die Entstehung von Lipomen sind nach heutigem Wissensstand noch nicht gesichert. Möglicherweise sind sie das Resultat einer abnormalen Entwicklung von primitiven pluripotenten mesenchymalen Zellen, die sich normalerweise in Adipozyten differenzieren.[12][13]

Ebenso ist unklar, ob Lipome eine gutartige Neoplasie oder eine lokale Hyperplasie oder eine Kombination von beidem sind.[7]

Von einer systemischen Knochenlipomatose ist bislang nur einmal berichtet worden. Sie spricht für die Hamartomnatur der Lipome.[14]

Diagnose und Differentialdiagnose

Die Größe, ab der sich ein Lipom manifestiert, kann sehr unterschiedlich sein und von wenigen Millimetern bis zu 20 cm variieren. Tiefsitzende Lipome sind dabei in der Regel deutlich größer als oberflächliche Lipome.[7]

Lipome zeichnen sich meist durch eine oberflächliche Lage, eine gute Abgrenzung zum normalen Gewebe und ein langsames Wachstum aus. Meistens treten Lipome im Unterhautfettgewebe von Nacken und Rücken, Armen, Bauchmitte und Oberschenkeln auf. In seltenen Fällen können sie auch im Fettgewebe in Muskeln und inneren Organen auftreten. Meist handelt es sich um weiche Fettpölsterchen. Größere Exemplare können auch eine gelappte Struktur aufweisen. Enthalten sie viel Bindegewebe, können sie auch hart sein. Lipome des Unterhautfettgewebes sind im frühen Zustand als harte Stelle unter der Haut zu ertasten. Größere Tumoren treten deutlich als Beule auf der Haut hervor. Ihre Größe reicht üblicherweise von Millimeterbereich bis zur Faustgröße. Lipome mit einem Durchmesser von über 5 cm werden als Riesenlipom (engl. giant lipoma) bezeichnet.[15] Lipome mit dieser Größe sind zwar eher selten, es wurden jedoch schon mehrfach Lipome im zweistelligen Kilogrammbereich beschrieben. Solche Lipome werden meist aus dem Retroperitoneum isoliert, wobei sie dort eine äußerst seltene Form einer Neoplasie darstellen.[16][17] Das größte in der Literatur erwähnte Lipom wurde einer 57-jährigen Patientin aus dem Retroperitoneum entfernt und wog nach der Exzision 18 kg.[18][19] Oberflächliche Lipome haben in mehr als 80 Prozent der Fälle einen Durchmesser unter 5 cm, lediglich 1 Prozent sind größer als 10 cm.[7][3]

Lipome wachsen im Normalfall sehr langsam und erreichen oft erst nach Jahrzehnten eine endgültige Größe. Selten sind sie bereits bei der Geburt als Hibernome vorhanden oder entwickeln sich in den ersten Lebensjahren. Wenn eine Vielzahl von Lipomen bei einem Patienten auftritt, spricht man von einer Lipomatose.

In seltenen Fällen kann die Wucherung jedoch bösartig sein. Dann liegt ein Liposarkom vor. Typisch für Liposarkome sind ein schnelles Wachstum, Schmerzen bei Druck und eine nicht verschiebbare Struktur, da Liposarkome mit dem umliegenden Gewebe verwachsen sind. Besonders ab etwa dem 50. Lebensjahr können Liposarkome vor allem im Rücken und Nackenbereich auftreten. Sie sollten im Verdachtsfall histologisch untersucht werden. Eine Kombination mit Zubildung hämatopoetischen Gewebes ist das Myelolipom, das vor allem in der Nebenniere anzutreffen ist.

Bildgebende Verfahren

Die radiologische Beurteilung ist in bis zu 71 Prozent der Fälle diagnostisch. Die Computertomographie (CT) und speziell die Magnetresonanztomographie (MRT) sind als bildgebende Verfahren in der Einschätzung des Tumors hilfreich. Im MRT sind Lipome – unabhängig von der gewählten Pulssequenz – isointens (gleiche Signalintensität) mit dem subkutanen Fettgewebe. Mit Ausnahme der um das Lipom befindlichen Kapsel erhöht sich der Kontrast bei der Gabe eines Kontrastmittels – beispielsweise Gadotersäure – nicht. In 37 bis 49 Prozent der Fälle ist im CT oder MRT ein dünnes Septum von weniger als 2 mm zu erkennen, was als nahezu pathognomonisch für die Diagnose eines Lipoms gesehen wird.[6][20] Die wesentlichen Kriterien zur Unterscheidung zwischen gutartigem Lipom und bösartigem Liposarkom sind in den meisten Fällen das Fehlen eines Septums, das Vorhandensein von mineralisierten Bereichen und die Interdigitation (eine Verzahnung benachbarter Zellen durch fingerförmige Zellfortsätze) mit der Skelettmuskulatur (Ausnahme: intramuskuläre Lipome).[6][7] Selbst erfahrene Diagnostiker können ein Lipom aber nur in 79 % der Fälle richtig von einem Liposarkom unterscheiden. Es wird daher vorgeschlagen, diese Tumoren in der Bildgebung grundsätzlich als niedriggradige Fetttumoren zu bezeichnen.[21]


Therapie

Mehrere bis zu 2 cm große Lipome nach ihrer Entfernung

Lipome sind gutartige (benigne) Tumoren. Wenn Lipome keine mechanischen Beschwerden (beispielsweise Druck auf Sehnen oder Nervenbahnen) verursachen, ist eine Behandlung lediglich aus kosmetischen, jedoch nicht aus medizinischen Gründen notwendig. Insbesondere Riesenlipome können zu Obstruktionen, das heißt, zu einem Verschluss eines Hohlorgans durch Kompression, führen.

Eine Behandlung ist nur operativ möglich. Nach heutigem Wissensstand gibt es weder Möglichkeiten, Lipome zum Beispiel durch Ernährungsumstellung, Abnehmen oder Massage zu verhindern noch auf deren Wachstum durch Salben oder Medikamente Einfluss zu nehmen.

Behandelt werden Lipome sowohl beim Dermatologen als auch beim Chirurgen. Die Behandlung erfolgt bei oberflächlichen Tumoren durch chirurgische Exzision meist zur Diagnosesicherung oder auch aus kosmetischen oder mechanischen Gründen. Ein operatives Herausschneiden ist meist leicht möglich, da die Lipome hautnah und klar abgegrenzt sind. Dabei wird die Geschwulst unter lokaler Betäubung entfernt und einer histologischen Untersuchung zugeführt. Die Operation hinterlässt meist deutlich sichtbare Narben. In vielen Fällen ist die Narbe optisch auffälliger als das ursprüngliche Lipom.

Eine neuere Methode ist die Entfernung des Lipoms durch Absaugen (Liposuktion). Dieses Verfahren hinterlässt zwar deutlich kleinere Narben, allerdings ist es schwieriger, alle Zellen vollständig zu entfernen. Dies ist insbesondere bei harten Lipomen mit viel Bindegewebe der Fall. Das vollständige Entfernen eines Lipoms ist wichtig, da sonst aus zurückgebliebenen Zellen erneut Lipome entstehen können.

In seltenen Fällen können Lipome tief in der Muskulatur oder im Bauchraum lokalisiert sein. Hier ist eine Abgrenzung von den malignen Fettgewebstumoren, den Liposarkomen, notwendig. Diese kann nur histologisch erfolgen.

Subtypen

Es gibt eine Vielzahl histologisch definierter Subtypen des Lipoms, die sich durch bevorzugte Lokalisationen, Altersgruppen und ein teils spezielles biologisches Verhalten unterscheiden können; hierzu zählen:

Die Weltgesundheitsorganisation unterscheidet in ihrer Klassifikation der Weichteiltumoren von 2002 neun verschiedene Typen: Lipom, Lipomatose, Lipomatose der Nerven, Lipoblastom, Angioblastom, Myolipom des Weichgewebes, Chondrolipom, Spindelzelllipom/Pleomorphes Lipom und Hibernom.[6][24]

Literatur

  • Ursus-Nikolaus Riede, Hans-Eckart Schaefer, Claus-Peter Adler: Allgemeine und spezielle Pathologie. 3., neu bearbeitete Auflage, Thieme, Stuttgart 1993, ISBN 3-13-778701-7.
  • J. C. Smith u. a.: Giant parapharyngeal space lipoma: case report and surgical approach. In: Skull Base. Band 12, 2002, S. 215–220, PMC 1656904 (freier Volltext).
  • Franciscus J. Pitha, Theodor Billroth: Handbuch der allgemeinen und speciellen Chirurgie, mit Einschluss der topographischen Anatomie, Operations und Verbandlehre. Band 2, Teil 1. Ferdinand Enke, Stuttgart 1869, S. 145 (google.com).
Commons: Lipom – Sammlung von Bildern
Wiktionary: Lipom – Bedeutungserklärungen, Wortherkunft, Synonyme, Übersetzungen

Einzelnachweise

  1. a b S. Ersozlu u. a.: Lipoma of the index finger. In: Dermatologic Surgery. Band 33, 2007, S. 382–384, PMID 17338703.
  2. a b O. Myhre-Jensen: A consecutive 7-year series of 1331 benign soft tissue tumors. Clinicopathologic data. Comparison with sarcomas. In: Acta Orthop Scand. Band 52, 1981, S. 287–293, PMID 7282321.
  3. a b c A. Rydholm, N. Berg: Size, site and clinical incidence of lipoma: factors in the differential diagnosis of lipoma and sarcoma. In: Acta Orthop Scand. Band 54, 1983, S. 929–934, PMID 6670522.
  4. M. Miettinen: Benign fatty tumors Diagnostic soft tissue pathology. Churchill Livingstone, 2003, S. 207–225.
  5. M. J. Kransdorf: Benign soft-tissue tumors in a large referral population: distribution of specific diagnoses by age, sex, and location. (Memento vom 7. November 2010 im Internet Archive) In: American Journal of Roentgenology. (AJR) Band 164, 1995, S. 395–402, PMID 7839977.
  6. a b c d E. Chronopoulos u. a.: Patient presenting with lipoma of the index finger: a case report. In: Cases Journal Band 3, 2010, S. 20, doi:10.1186/1757-1626-3-20, PMID 20205806 (Open Access).
  7. a b c d e f g h i j M. D. Murphey u. a.: Benign Musculoskeletal Lipomatous Lesions. In: Radiographics. Band 24, 2004, S. 1433–1466, PMID 15371618.
  8. J. Regan u. a.: Infiltrating benign lipomas of the extremities. In: Western journal of surgery, obstetrics, and gynecology. Band 54, 1946, S. 87–93.
  9. R. Kempson u. a.: Lipomatous tumors. In: J. Rosai (Editor): Tumors of the soft tissues. 3. Ausgabe. Armed Forces Institute of Pathology, 2001, S. 187–238.
  10. Sheyla Viana Omonte, Bruno Augusto Benevenuto de Andrade, Rosana Maria Leal, Hermínia Marques Capistrano, Paulo Eduardo Alencar Souza, Martinho Campolina Rebello Horta: Osteolipoma: a rare tumor in the oral cavity. In: Oral Surgery, Oral Medicine, Oral Pathology and Oral Radiology. Band 122, Nr. 1, Juli 2016, S. e8-e13, doi:10.1016/j.oooo.2015.09.013.
  11. Billy L.K. Wong, Christopher Hogan: Osteolipoma of head and neck – a review. In: Brazilian Journal of Otorhinolaryngology. Band 88, Supplement 4, November-Dezember 2022, S. 177–S187, doi:10.1016/j.bjorl.2022.04.002, PMC 9756048 (freier Volltext).
  12. a b T. B. Grivas u. a.: Forefoot plantar multilobular noninfiltrating angiolipoma: a case report and review of the literature. In: World Journal of Surgical Oncology. 2008, Band 6, S. 11, PMID 18234106, doi:10.1186/1477-7819-6-11 (Open Access).
  13. K. Oge u. a.: Spinal Angiolipoma: a case report and review of the literature. In: Journal of Spinal Disorders and Techniques. Band 12, 1999, S. 353–356, PMID 10451053.
  14. Rüdiger Döhler, H-L Poser, D Harms, H-R Wiedemann: Systemic lipomatosis of bone: a case report. In: Journal of Bone and Joint Surgery. Band: 64-B, 1982, S. 84–87.
  15. a b c d e Sebastian E. Valbuena, Greg A. O’Toole und Eric Roulot: Compression of the median nerve in the proximal forearm by a giant lipoma: A case report. In: Journal of Brachial Plexus and Peripheral Nerve Injury- 2008, Band 3, S. 17, doi:10.1186/1749-7221-3-17, PMID 18541043 (Open Access) veröffentlicht unter CC-by-2.0.
  16. C. A. Martinez u. a.: Giant retroperitoneal lipoma: a case report. In: Arq Gastroenterol. Band 40, 2003, S. 251–255, PMID 15264048.
  17. A. Drop u. a.: Giant retroperitoneal lipomas – radiological case report. In: Annales Universitatis Mariae Curie-Sklodowska Med. Band 58, 2003, S. 142–146, PMID 15323181.
  18. M. Rexer, H. Rupprecht: Retroperitoneales Riesenlipom bei einer 57-jährigen Frau – Eine Fallbeschreibung. In: Viszeralchirurgie. Band 37, 2002, S. 166–168, doi:10.1055/s-2002-25172.
  19. J. Zander und M. Hinrichsen: Ein 48 kg schweres retroperitoneales Riesenlipom. In: Geburtshilfe Frauenheilkunde. Band 50, 1990, S. 223–226, doi:10.1055/s-2007-1026468, PMID 2341009.
  20. T. Ohguri u. a.: Differential diagnosis of benign peripheral lipoma from well-differentiated liposarcoma on MR imaging: is comparison of margins and internal characteristics useful? In: American Journal of Roentgenology. (AJR) Band 180, 2003, S. 1689–1694, PMID 12760945.
  21. P. W. O’Donnell, A. M. Griffin, W. C. Eward, A. Sternheim, L. M. White, J. S. Wunder, P. C. Ferguson: Can Experienced Observers Differentiate between Lipoma and Well-Differentiated Liposarcoma Using Only MRI? In: Sarcoma. 2013, S. 982784, PMID 24385845, doi:10.1155/2013/982784. Epub: 9. Dezember 2013.
  22. Günter Klöppel, Antonio Cardesa, Wolfgang Remmele: Pathologie. Springer, 2008, ISBN 978-3-540-72884-9, S. 387 (google.com).
  23. Markus Uhl, Georg W. Herget: Radiologische Diagnostik von Knochentumoren. Georg Thieme Verlag, 2008, ISBN 978-3-13-145661-8, S. 90 (google.com).
  24. D. Christopher u. a.: Adipocytic tumors. WHO Classification of tumors. Pathology and genetics: tumors of soft tissue and bone. Lyon, International Agency for Research on Cancer (IARC) 2002, S. 19–46.