Lobus venae azygos


Ein Lobus venae azygos entsteht als häufige anatomische Variante, wenn sich während der Fetogenese ein Teil des rechten Lungen-Oberlappens medial der Vena azygos nach oben entwickelt.
Er wurde erstmals von Heinrich August Wrisberg 1777 beschrieben.[1]
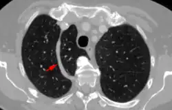
Während normalerweise die Vena azygos unmittelbar am Mediastinum von hinten nach vorne zur Vena cava superior zieht, verläuft sie bei dieser Variante durch den zusätzlichen Lappenspalt bzw. am Boden desselben. Wegen des Verlaufs dieses Azygosseptums von hinten nach vorne ist ein Lobus venae azygos im normalen Röntgenbild des Thorax in der Regel tropfenförmig gut erkennbar, wobei der Bauch des Tropfens der axial getroffenen Vena azygos entspricht.
Die Variante hat in der Regel keinen Krankheitswert, sollte jedoch vor thoraxchirurgischen Operationen bekannt sein, um ggf. berücksichtigt werden zu können.
Literatur
- Müller, Fraser, Colman, Paré: Radiologic Diagnosis of Diseases of the Chest. W.B. Saunders Company, 2001, ISBN 0-7216-8808-X
Weblinks
Einzelnachweise
- ↑ E.Meyer, A. Nilles: Pseudotumor im Azygosseptum. In: Fortschr. Röntgenstr. Georg Thieme Verlag, Stuttgart/New York 1989.