Mallory-Körper

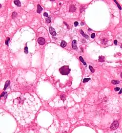
Bei sogenannten Mallory-Körpern handelt es sich um Einschlusskörper in Zellen der Leber, die erstmals von dem amerikanischen Pathologen Frank Burr Mallory (1862–1941) beschrieben wurden.[1] Um den späteren Beitrag des Grazer Pathologen Helmut Denk zu deren weiteren Erforschung zu würdigen, ist auch die Bezeichnung Mallory-Denk-Körper vorgeschlagen worden.[2]
Mallory-Körper treten insbesondere bei der Alkohol-toxischen Hepatitis auf, kommen aber auch bei anderen Erkrankungen der Leber wie zum Beispiel der primären biliären Zirrhose oder dem Morbus Wilson vor. Die an der Bildung beteiligten Mechanismen sind komplex und beinhalten unter anderem eine Proteinfehlfaltung, Veränderungen von Chaperon-Proteinen und eine unverhältnismäßige Expression von Zytokeratinen.[3]
Literatur
- Pavelka & Roth: Mallory-Körper in: Funktionelle Ultrastruktur. Atlas der Biologie und Pathologie von Geweben. Springer Verlag, Wien (2005) ISBN 3211835636, Seite 140 Volltext
Einzelnachweise
- ↑ Mallory: Cirrhosis of the liver. Five different types of lesions from which it may arise. Bul Johns Hopkins Hosp 1911;22:69–75.
- ↑ Zatloukal et al.: From Mallory to Mallory-Denk bodies: what, how and why? Exp Cell Res. 2007;313:2033-49, PMID 17531973.
- ↑ Strnad et al.: Mallory-Denk-bodies: lessons from keratin-containing hepatic inclusion bodies. Biochim Biophys Acta. 2008 Dec;1782(12):764-74, PMID 18805482.