Mastoiditis
| Klassifikation nach ICD-11 | |
|---|---|
| AB11.0 | Akute Mastoiditis |
| AB11.1 | Chronische Mastoiditis |
| AB11.3 | Mastoiditis, nicht näher als akut oder chronisch bezeichnet |
| ICD-11: Englisch • Deutsch (Entwurf) | |
Unter einer Mastoiditis versteht man eine akute Entzündung im Warzenfortsatz (Processus mastoideus) des Schläfenbeines mit Knocheneinschmelzung. Die Mastoiditis ist eine Komplikation der akuten Mittelohrentzündung.

Entstehung und Verlauf
Bei jeder stärkeren akuten Mittelohrentzündung nimmt auch die Schleimhaut der Warzenfortsatzzellen an der Entzündung teil. In der Regel heilt diese Schleimhautentzündung mit der Mittelohrentzündung aus und bedarf keiner besonderen therapeutischen Maßnahmen.
Bei der Mastoiditis kommt es jedoch ausgehend von der entzündeten Schleimhaut zu einer osteoklastischen herdförmigen Knocheneinschmelzung. Die Einschmelzungsherde vereinigen sich zu einer oder mehreren großen Abszesshöhlen. Gleichzeitig kommt es zu einer osteoblastischen (knochenbildenden) Knochenentzündung, so dass Anbau und Abbau des Knochens nebeneinander ablaufen. Diese Veränderungen betreffen fast immer nur die Wände der Mastoidzellen und überschreiten die pneumatischen Zellen nicht, so dass es zu keiner Osteomyelitis kommt.
Durch Einschmelzung der Kortikalis des Warzenfortsatzes kommt es jedoch zu einem Übergreifen der Entzündung auf die Weichteile der Nachbarschaft oder auf das Innere des Schädels. Die Einschmelzungsvorgänge gehen relativ langsam vor sich, so dass die Mastoiditis meistens erst in der dritten oder vierten Woche nach der Mittelohrentzündung deutlich wird. Der beginnende Durchbruch nach außen macht sich in einer druckschmerzhaften ödematösen Schwellung hinter dem Ohr bemerkbar, die rasch zu einem fluktuierenden subperiostalen Abszess wird. Die Ohrmuschel steht dadurch in typischer Weise ab. Reicht die Pneumatisation bis in den Jochbogen, kann der Durchbruch auch hier erfolgen, was zu einer Schwellung der Gesichtsseite führt. Häufig findet sich gleichzeitig ein Durchbruch des Eiters durch die knöcherne Gehörgangswand, wodurch die Gehörgangshaut abgehoben wird, was als Senkung der hinteren oberen Gehörgangswand imponiert. Bei pneumatisierter Warzenfortsatzspitze kann der Durchbruch in die hier ansetzende Muskulatur (Musculus sternocleidomastoideus) erfolgen. Diese sogenannte Bezoldsche Mastoiditis führt zu großen Senkungsabszessen in die Halsmuskulatur und sogar bis ins Mediastinum. Eine besonders komplikationsträchtige Folge der Mastoiditis ist die Pyramidenspitzeneiterung (Petrositis).
Die Durchbrüche nach außen gehen dem Durchbruch in das Schädelinnere in der Regel zeitlich voran, sodass die Diagnose vor den lebensbedrohlichen intrakraniellen Komplikationen gestellt werden kann. Zu den Folgen eines Durchbruches in das Schädelinnere gehören Epiduralabszess, Meningitis, Sinusthrombose und Hirnabszess.
Zum Teil hat sich das geschilderte klassische Krankheitsbild – offenbar unter dem Einfluss der Antibiotikabehandlung – geändert, die granulierende Entzündung im Warzenfortsatz spielt sich bisweilen nur umschrieben ab, ohne greifbare Symptome wie Schmerz oder Fieber. Man spricht in diesen Fällen von einer „chronischen Mastoiditis“ oder einer „maskierten Mastoiditis“, die oft über Monate bestehen bleiben kann. Die chronische Mastoiditis kann jedoch ebenfalls zu endokraniellen Komplikationen führen, eine nicht richtig ausheilende akute Mittelohrentzündung ist daher bis zur Normalisierung des Trommelfellbefundes und des Hörvermögens als verdächtig anzusehen.
Diagnose und Symptome

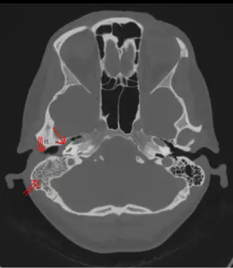
Typisch für die Mastoiditis ist die neuerliche Zunahme der Ohrenschmerzen bei einer akuten Mittelohrentzündung nach anfänglicher Besserung oder die unveränderte Fortdauer der Beschwerden über die dritte Krankheitswoche hinaus. Der eitrige Ausfluss aus dem Gehörgang bleibt bestehen oder tritt wieder auf und das Trommelfell zeigt unverändert eine Verdickung und Rötung. Die Druckempfindlichkeit hinter dem Ohr und eine Senkung der hinteren oberen Gehörgangswand machen die Diagnose sicher, eine Schwellung hinter dem Ohr mit Abstehen der Ohrmuschel lassen keinen Zweifel mehr zu. Eine Röntgenaufnahme und insbesondere die Computertomographie zeigen einen knöchernen Destruktionsherd.
Behandlung
Bei der typischen Form der Mastoiditis ist die Operation in Form einer Mastoidektomie (siehe Radikalhöhle) zwingend geboten. Dabei wird der Knochen des Warzenfortsatzes hinter dem Ohr freigelegt, aufgefräst und der Warzenfortsatz ausgeräumt. Bei der chronischen Mastoiditis kann – sofern keinerlei Komplikationszeichen vorliegen – eine hochdosierte und breitbandige Antibiotikabehandlung mindestens über eine Woche durchgeführt werden. Bleibt jedoch eine völlige Heilung aus, ist auch hier die Mastoidektomie angezeigt.
Siehe auch
Literatur
- Erhard Lüscher: Lehrbuch der Ohrenheilkunde. Springer, Wien 1952.
- K. Fleischer: Otitiskomplikationen heute, in: HNO Praxis heute, Bd. 9, hrsg. von H. Ganz und W. Schätzle, Springer, Berlin 1989.
- Michael E. Glasscock, George E. Shambaugh Jr.: Surgery of the Ear. W. B. Saunders, Philadelphia 1990.
- Alexander Rauchfuss: Die Mastoiditis und ihre Komplikationen, in: Mikrobiologische Aspekte bei Erkrankungen im HNO-Bereich. Moderne Diagnostik und Therapie. Gustav Fischer Verlag, Stuttgart New York 1990.