Mediastinalshift
| Klassifikation nach ICD-10 | |
|---|---|
| J98.5 | Krankheiten des Mediastinums, anderenorts nicht klassifiziert - Verlagerung des Mediastinums |
| ICD-10 online (WHO-Version 2019) | |
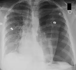
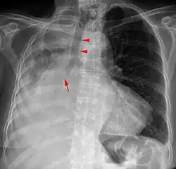
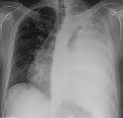
Ein Mediastinalshift oder eine Mediastinalverlagerung bezeichnet die Verschiebung des Mediastinums aus der Mittellinie des Thorax nach links oder rechts. Der Begriff wird in der Röntgendiagnostik verwendet.
Ursächlich ist entweder eine Verminderung des Volumens der Thoraxhälfte auf der Seite, zu der das Mediastinum verlagert ist, oder eine Vermehrung des Volumens auf der anderen Seite.



Ursachen für eine Volumenminderungen in einer Thoraxhälfte sind zum Beispiel
- Atelektase eines Teils oder der ganzen Lunge auf der Seite z. B. durch einen Tumor
- Zustand nach Resektion eines Teils oder der ganzen Lunge auf Seite
- Narbige Schrumpfung zum Beispiel nach Tuberkulose oder Trauma
- Fehlanlagen der Lunge
Ursachen für eine Vermehrung des Volumens in einer Thoraxhälfte sind zum Beispiel
Literatur
- Nestor L. Müller, Richard S. Fraser, Neil C. Colman, Peter D. Paré: Radiologic Diagnosis of Diseases of the Chest. W.B. Saunders, Philadelphia 2001, ISBN 0-7216-8808-X.
- Otto-Henning Wegener: Ganzkörpercomputertomographie. 2. Aufl. Blackwell Wissenschaft, Berlin 1992, ISBN 3-89412-105-X.
- Joachim Frey: Krankheiten der Atmungsorgane. In: Ludwig Heilmeyer (Hrsg.): Lehrbuch der Inneren Medizin. Springer-Verlag, Berlin/Göttingen/Heidelberg 1955; 2. Auflage ebenda 1961, S. 599–746, hier: S. 742 f. (Mediastinalverlagerungen).