Metaplasie

Unter Metaplasie versteht man eine Umwandlung einer differenzierten Gewebeart (epithelial oder mesenchymal) oder Zellart in eine andere.[1][2] Metaplasie ist zum Teil reversibel,[3] wenn sich der zur Metaplasie führende Reizzustand beseitigen lässt. Es handelt sich dabei um eine qualitative Änderung von Körperzellen, die zunächst keine Veränderung der Zellzahl nach sich zieht.

Grundsätzlich kann die Metaplasie in allen Geweben vorkommen, hat in der praktischen Medizin aber vor allem für die Epithelien besondere Bedeutung.[4]

Eine irreversible Zellumwandlung mit Übergang höher differenzierter Zellen in weniger differenzierte Zellen wird als Anaplasie bezeichnet.

Im Jahr 1923 vermutete der Chirurg August Bier,[5] dass Knochen aus Knochen und durch Metaplasie gebildet werden kann. Eine Metaplasielehre in diesem Sinne (Knochenneubildung aus mesenchymalem Gewebe durch Metaplasie, angeregt durch induktive Reize), die in den 1930er und 1940er Jahren zahlreiche Anhänger fand, begründeten N. J. Baschkirzew und N. N. Petrow.[6]

Ursachen

Unter normalen Umständen befinden sich alle Bestandteile eines Gewebes in einem Gleichgewicht zwischen Erneuerung und Verbrauch ihrer Zellen (Zelluntergang) und ihrer Interzellularsubstanzen.

Die Metaplasie ist eine besondere Form der zellulären Anpassung auf die Umgebung. Durch andauernde mechanische, chemische oder entzündliche Reize häufig in Verbindung mit der Änderung der Umgebungsbedingungen bzw. des zellulären Milieus, kommt es zum Ersatz eines Oberflächenepithels durch ein anderes, meist minderwertiges Epithel,[3] bzw. zu einer veränderten, meist minderwertigeren Zellleistung.

Eine direkte Metaplasie (sog. Transdifferenzierung) ist nicht möglich, sondern es kann, ausgehend von den Stammzellen (Basal- oder Reservezellen) eines Epithels, nur eine andere, unterschiedlich differenzierte Zelle gebildet werden.[1]

Arten

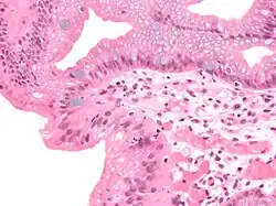
Eine Mikrographie von Barrett-Ösophagus

Es werden verschiedene Formen unterschieden: Plattenepithelmetaplasie, Glanduläre Metaplasie, Intestinale Metaplasie, Gastrale Metaplasie.

  • myeloide Metaplasie

Unter pathologischen Bedingungen (wie bei Leukämie) kann die Milz die Produktion von Granulozyten und Erythrozyten wieder aufnehmen, die während der Embryonalentwicklung in ihr stattfindet. Dieser Prozess wird als myeloide Metaplasie bezeichnet.[7]

Als Barrett-Ösophagus bezeichnet man eine metaplastische Umwandlung des Epithels der Speiseröhre.

Einzelnachweise

  1. a b 1.4 Metaplasie – Artikel im Pathologie-Skript der uni-heidelberg.de
  2. Karl Zilles, Bernhard Tillmann: Anatomie. 1. Auflage. Springer, Berlin/Heidelberg 2010, ISBN 978-3-540-69481-6, S. 30.
  3. a b Theodor H. Schiebler, Horst-W. Korf: Anatomie: Histologie, Entwicklungsgeschichte, makroskopische und mikroskopische Anatomie, Topographie. 10., vollst. überarb. Auflage. Steinkopff 2007, ISBN 978-3-7985-1770-7, S. 6.
  4. Renate Lüllmann-Rauch: Taschenlehrbuch Histologie. 3., vollständig überarbeitete Auflage. Thieme, Stuttgart 2009, ISBN 978-3-13-129243-8, S. 104.
  5. August Bier: Über Knochenregeneration, über Pseudarthrosen und über Knochentransplantate. In: Archiv für klinische Chirurgie. Bans 127, 1923, S. 3 ff.
  6. Hermann Ecke, Uwe Stöhr, Klaus Krämer: Unfallchirurgie. In: Franz Xaver Sailer, Friedrich Wilhelm Gierhake (Hrsg.): Chirurgie historisch gesehen. Anfang – Entwicklung – Differenzierung. Mit einem Geleitwort von Rudolf Nissen. Dustri-Verlag Dr. Karl Feistle, Deisenhofen bei München 1973, ISBN 3-87185-021-7, S. 204–216, hier: s. 212.
  7. Luiz Carlos Junqueira (Autor), José Carneiro (Autor), Manfred Gratzl (Hrsg.): Histologie: Neue Approbationsordnung. 6., neu übers. überarb. Auflage. Springer, Berlin 2004, ISBN 3-540-21965-X, S. 239.