Morbus Crohn

Klassifikation nach ICD-10
K50.- Crohn-Krankheit [Enteritis regionalis] [Morbus Crohn]
K50.0 Crohn-Krankheit des Dünndarms I5642
K50.1 Crohn-Krankheit des Dickdarms I5646
K50.8 Sonstige Crohn-Krankheit
K50.9 Crohn-Krankheit, nicht näher bezeichnet
{{{06-BEZEICHNUNG}}}
{{{07-BEZEICHNUNG}}}
{{{08-BEZEICHNUNG}}}
{{{09-BEZEICHNUNG}}}
{{{10-BEZEICHNUNG}}}
{{{11-BEZEICHNUNG}}}
{{{12-BEZEICHNUNG}}}
{{{13-BEZEICHNUNG}}}
{{{14-BEZEICHNUNG}}}
{{{15-BEZEICHNUNG}}}
{{{16-BEZEICHNUNG}}}
{{{17-BEZEICHNUNG}}}
{{{18-BEZEICHNUNG}}}
{{{19-BEZEICHNUNG}}}
{{{20-BEZEICHNUNG}}}
Vorlage:Infobox ICD/Wartung {{{21BEZEICHNUNG}}}
ICD-10 online (WHO-Version 2019)
Vorlage:Infobox ICD/Wartung/Para 05
Klassifikation nach ICD-11
DD70 Crohn-Krankheit
DD70.0 Crohn-Krankheit des oberen Magen-Darm-Trakts
DD70.1 Crohn-Krankheit des Dünndarms
DD70.2 Crohn-Krankheit der Appendix
DD70.3 Crohn-Krankheit des Dickdarms
DD70.4 Crohn-Krankheit der Analregion
DD70.5 Crohn-Krankheit sowohl des Dünndarms als auch des Dickdarms
DD70.6 Crohn-Krankheit im Bereich einer Anastomose
DD70.Y Crohn-Krankheit sonstiger näher bezeichneter Lokalisationen
DD70.Z Crohn-Krankheit, Lokalisation nicht näher bezeichnet
ICD-11: EnglischDeutsch (Entwurf)

Der Morbus Crohn oder die Crohn-Krankheit gehört zur Gruppe der chronisch-entzündlichen Darmerkrankungen.[1][2][3] Morbus Crohn wird als „komplexe Barriereerkrankung“ unklarer Ursache angesehen. Pathophysiologisch zeigen sich eine verminderte Fähigkeit bestimmter Zellen zur Bakterienerkennung und -bekämpfung, eine veränderte Schleimschicht auf der Darmschleimhaut sowie eine gesteigerte Durchlässigkeit des Darmepithels. Die Eingruppierung als klassische Autoimmunerkrankung gilt heute als obsolet.[4]

Der Morbus Crohn führt zu einer chronisch-granulomatösen Entzündung, die im gesamten Verdauungstrakt von der Mundhöhle bis zum After auftreten kann. Bevorzugt befallen von den charakteristischen Schwellungen und Entzündungen sind der untere Dünndarm (terminales Ileum) und der Dickdarm (Colon), seltener die Speiseröhre (Ösophagus) und der Mund. Typisch für die Crohn-Krankheit ist der diskontinuierliche, segmentale Befall (sogenannte skip lesions) der Darmschleimhaut: Gleichzeitig sind mehrere Bereiche betroffen, die durch gesunde Darmabschnitte voneinander getrennt sind.

Weitere Bezeichnungen für die Krankheit sind Ileitis terminalis, regionale Enteritis, Enteritis regionalis Crohn, Enterocolitis regionalis und sklerosierende chronische Enteritis; übliche Abkürzungen sind MC (morbus Crohn) und CD (Crohn’s disease).

Geschichte

Das Krankheitsbild wurde erstmals 1932 vom US-amerikanischen Magen- und Darmspezialisten Burrill Bernard Crohn (1884–1983) und seinen Kollegen Leon Ginzburg und Gordon Oppenheimer beschrieben. Die Mediziner sammelten die klinischen und pathologischen Details bei vierzehn Patienten, die alle am Mount Sinai Hospital in New York operiert worden waren. Diese Erstveröffentlichung trug den Titel Regional ileitis: a pathological and clinical entity.[5]

Bereits zuvor waren die klinischen Symptome mehrfach beschrieben worden, so zuerst 1904 vom polnischen Chirurgen Antoni Leśniowski (1867–1940) und 1907 vom britischen Chirurgen und Gastroenterologen Berkeley G. A. Moynihan. Allerdings kann auch eine Krankheitsbeschreibung des italienischen Arztes Giovanni Battista Morgagni aus dem Jahr 1761 als Darstellung des M. Crohn interpretiert werden.[6]

Ursprünglich benannte B. Crohn die Krankheit als Ileitis terminalis nach der Lokalisation im terminalen Ileum, verzichtete auf den Begriff jedoch, um „Assoziationen zu Agonie und Tod zu vermeiden“[6] und benannte sie nachfolgend als Ileitis regionalis. Der Begriff Morbus Crohn wurde dann von britischen Ärzten auf einer Konferenz in Prag durchgesetzt, um den Studenten dadurch die Krankheit besser näherbringen zu können, trotz des Protestes von B. Crohn.[6]

Häufigkeit

In den westlichen Industriestaaten liegt die Inzidenz (die jährliche Anzahl von Neuerkrankungen) von Morbus Crohn bei etwa 7–8 auf 100.000 Einwohner, die Prävalenz (der Bestand an Erkrankten) bei etwa 150 auf 100.000.[7] Die Prävalenz in Deutschland liegt aktuell bei gut 300 auf 100.000.[8] Die Zahl der Erkrankungen hat in den letzten zwanzig Jahren zugenommen. Bis Ende des 20. Jahrhunderts kam sie vor allem in der westlichen Welt (Nordamerika, Europa, Ozeanien) vor, seit Ende des 20. Jahrhunderts sinkt bzw. stagniert die Inzidenz dort, steigt jedoch in Asien, Südamerika und Afrika an, möglicherweise im Zusammenhang mit Lebensstilveränderungen.[8]

In Nordamerika und Europa alleine leiden mehr als 3,5 Mio. Menschen an einer chronisch entzündlichen Darmerkrankung (M. Crohn, Colitis ulcerosa).[8]

Beide Geschlechter sind gleich häufig betroffen, meist erkranken junge Erwachsene zwischen dem 15. und 35. Lebensjahr sowie ältere Menschen ab einem Alter von 60 Jahren. Es ist eine familiäre Häufung zu beobachten. Deutschland hat eine der höchsten Prävalenzen weltweit zu verzeichnen.[9]

Entstehung des Morbus Crohn

Die Ursache, Entstehung und Entwicklung des Morbus Crohn sind nicht geklärt; es sind aber eine Reihe von Umständen bekannt, die bei der Entstehung der Erkrankung von Bedeutung sind. Burrill B. Crohn hielt den M. Crohn für eine durch intrazelluläre Bakterien oder Viren ausgelöste Erkrankung. Heute gilt der Morbus Crohn als Autoimmunerkrankung im weiteren Wortsinne, da die Darmschleimhaut durch eine Immunreaktion gegen die kommensale Darmflora geschädigt wird.[10]

Für diese Klassifikation spricht das gute Ansprechen der Krankheit auf Immunsystem-hemmende Medikamente wie Cortison und Azathioprin sowie der fehlende Nachweis eines spezifischen Erregers. Als Autoantikörper wurden bei Morbus Crohn gehäuft (bei rund 20 % der Patienten) perinukleäre anti-neutrophile cytoplasmatische Antikörper (p-ANCA) serologisch identifiziert. Wie bei vielen anderen Autoimmunerkrankungen ist die Entstehung des M. Crohn unzureichend verstanden, weshalb nicht kausal, sondern nur symptomatisch (immunsuppressiv oder immunmodulierend) therapiert werden kann.

Laut einem Forschungsbericht der Deutschen Morbus Crohn Vereinigung (DCCV e. V.) vom 15. September 2011 ist „Versagen der angeborenen Abwehr gegen Darmbakterien der Auslöser für die Krankheiten […]. Die chronische Entzündung ist folglich als Reaktion und Antwort auf diese Abwehrschwäche zu verstehen.“[11][12]

Genetik

Für die Krankheit besteht möglicherweise eine erbliche Veranlagung, denn mehrere Erbfaktoren erhöhen das Risiko ihres Auftretens. Für einige Gene wurde gezeigt, dass wahrscheinlich bestimmte Polymorphismen mit Morbus Crohn ursächlich in Verbindung stehen, so z. B. NOD2 (NOD2-Rezeptor), IL23R (Chromosom 1p31)[13] und ATG16L1, DLG5 und NELL1 (Chromosom 11p15.1).[14] Auch eine verminderte Anzahl der Genabschnitte, die für die Produktion von beta-Defensinen verantwortlich sind, scheint sich auszuwirken.[15] Defensine sind eine Art natürliche Antibiotika, die in Schleimhäuten Bakterien abwehren. Menschen mit Morbus Crohn im Dickdarm haben lediglich drei Defensin-produzierende Genabschnitte im Chromosom Nr. 8. Gesunde Menschen besitzen im Allgemeinen vier davon; dementsprechend ist auch der Defensin-Spiegel in deren Schleimhaut höher. Für den wesentlich häufigeren Morbus Crohn im Dünndarm gibt es diesen Zusammenhang allerdings nicht.[16][17]

Barrierestörung

Vieles deutet darauf hin, dass zumindest bei einem Teil der Morbus-Crohn-Patienten die Barriere zwischen dem Darmlumen und dem Organismus defekt ist. Konkrete Hinweise auf diesen Barrieredefekt zeigen sich z. B. im Mangel an anti-infektiös wirksamen Peptiden (Defensinen) im Mucus (Schleim), der der Darmschleimhaut aufgelagert ist. Zudem sind häufig die abdichtenden Verbindungen zwischen den Epithelzellen der Darmschleimhaut „undicht“, d. h. nicht mehr funktionell und in ihrer Zahl vermindert. Ob der kontrollierte Zelltod (Apoptose) vieler Epithelzellen ein primäres oder sekundäres Phänomen ist und damit dem Krankheitsbild ursächlich zugrunde liegt oder nur zur Chronifizierung der Entzündung beiträgt, ist unklar. Durch den Defekt der Barrierefunktion gelangen – im Gegensatz zur Situation beim Gesunden – Bakterien der normalen Darmflora in großer Zahl direkt auf das Epithel der Darmschleimhaut und dringen teilweise auch in die Darmwand ein, wo sie Entzündungen im Rahmen der Abwehr durch den Körper auslösen, die die Barriere noch weiter schädigen, sodass im Sinne eines Teufelskreises weitere Bakterien der Darmflora in die Darmwand eindringen und die Entzündung weiter anfachen. Der primäre Defekt der Barrierestörung kann zumindest teilweise genetisch bedingt sein. So ist die Produktion bestimmter alpha-Defensine bei Morbus-Crohn-Patienten mit für Morbus Crohn charakteristischen Mutationen in einem Gen (NOD2/CARD15), das einen intrazellulären Sensor für bakterielle Strukturen codiert, gegenüber Morbus-Crohn-Patienten ohne diesen Gendefekt noch stärker vermindert, obwohl die Defensinproduktion auch bei Morbus-Crohn-Patienten ohne diesen Gendefekt bereits drastisch gegenüber Gesunden reduziert ist. Dieses gilt für den Dünndarmbefall, bei Lokalisation im Dickdarm ist offenbar die Zahl der beta-Defensin-Gene und dementsprechend die beta-Defensinsynthese vermindert. Somit erklären die verschiedenen Defensindefekte die unterschiedlichen Lokalisationen der Erkrankung.

Eisenaufnahmestörung und Blutarmut (Anämie)

Es besteht eine Überproduktion eines Faktors Hepcidin,[18][19][20][21][22] welcher ein funktioneller Inhibitor des intestinalen Eisenaufnahmetransportproteins Ferroportin[23] ist, wodurch der Darm daran gehindert ist, Eisen aus der Nahrung aufnehmen zu können. Gemäß aktuellen klinischen Erkenntnissen ist es möglich, dieses System mit einer gegen TNF-alpha gerichteten Behandlung mit Infliximab – nicht aber mit einer konventionellen Basistherapie z. B. mit Azathioprin – zu beeinflussen.[24] Eine systemnahe Therapie, die am BMP6 ansetzt, wurde im Mausmodell entwickelt.[25]

Mycobacterium avium subsp. paratuberculosis

Es gibt einige Indizien, dass das Mycobacterium avium subsp. paratuberculosis (MAP) zusammen mit speziellen Varianten des CARD15/NOD2-Gens chronisch-entzündliche Darmerkrankungen beim Menschen wie Paratuberkulose bei Tieren verursachen kann. An Paratuberkulose erkrankte Rinder und Morbus-Crohn-Patienten haben eine identische Besonderheit im CARD15/NOD2-Gen, die einen negativen Einfluss auf die Defensinproduktion (Produktion natürlicher Antibiotika) hat.[26] Das MAP löst bei Rindern und anderen Tieren chronische Darmentzündungen aus und verursacht an sterilen menschlichen Darmabschnitten Entzündungsreaktionen und Gewebeschäden. Mycobacterium avium paratuberculosis induziert beim Menschen spezifische Antikörper. Diese Antikörper werden im Blut von bis zu zwei Dritteln aller Morbus-Crohn-Patienten gefunden.

Zurzeit laufen Untersuchungen, ob Patienten erfolgreich mit einer Antibiotikakombination behandelt werden können.[27] Eine Multi-Antibiotika-Therapie hat zu ersten Behandlungserfolgen in USA und Australien geführt.[26] MAP wurde mehrfach in verschiedenen Milchprodukten nachgewiesen. Ein Prozentsatz überlebt die Bedingungen der Pasteurisierung, des Verfahrens, mit dem der überwiegende Teil der Milch für Milchprodukte behandelt wird.

Weitere Faktoren

Übermäßige Hygiene

Welche Faktoren der Umwelt zur verbreiteten Entwicklung des Morbus Crohn in Gesellschaften mit hohem hygienischen Standard führen, ist unklar. Möglicherweise führt ein Befall mit bestimmten Parasiten – beispielsweise bei einer Wurmerkrankung – zu einer spezifischen Modulation der Immunantwort, die verhindert, dass die Entzündungsreaktion chronisch wiederkehrt. Es existieren andere Hypothesen, wie die Schädigung der Darmbarriere durch die zunehmende Exposition gegenüber Detergentien, wie Seifen, Weichmachern oder Emulgatoren, die dazu beitragen könnten, die Barrierefunktion der Darmwand zu schädigen und so dem Eindringen von Bakterien der normalen Darmflora Vorschub zu leisten. Wahrscheinlich sekundär ist, dass die Darmflora bei Morbus-Crohn-Patienten verändert ist: Im Vergleich zu Gesunden findet man eine deutliche Reduktion der Anzahl verschiedener Bakterienspezies.

Rauchen

Das Risiko der Entwicklung eines Morbus Crohn ist bei Rauchern doppelt so hoch wie bei Nichtrauchern. Eine Beendigung des Rauchens wirkt sich in der Regel günstig auf den Krankheitsverlauf oder auf die Rezidivrate nach einer Operation aus.[28]

Ernährung

Früher vermutete Zusammenhänge mit einer spezifischen Ernährung wie vermehrter Gebrauch von raffinierten Zuckersorten bei Morbus-Crohn-Patienten werden heute als sekundär erachtet, da viele Morbus-Crohn-Patienten aufgrund der Entzündungen im Dünndarm eine generell verminderte Resorption und damit eine schlechtere Nahrungsverwertung aufweisen.

Psychosomatik

Laut der Leitlinie Morbus Crohn handelt es sich um keine psychosomatische Erkrankung. Belastende Lebensereignisse, Stress und psychische Störungen seien demnach nicht die Ursache für die Entstehung dieser chronisch entzündlichen Darmerkrankung. Psychosozialer Stress kann allerdings in erheblichem Maße zur Symptomauslösung oder -verstärkung führen. Es wird angenommen, dass bei den chronisch-entzündlichen Darmerkrankungen psychosozialer Stress auch zu einer Fehlregulation der Immunantwort und – bei entsprechender Veranlagung – zur Krankheitsaktivierung führt. Dieser Stress kann bei Morbus-Crohn-Patienten zum Auftreten erneuter Entzündungen führen.

Ausführlich und mit zahlreichen weiterführenden Literaturstellen setzt sich Feiereis mit der Bedeutung psychischer Faktoren für Ätiologie und Pathogenese in dem von Uexküll und anderen veröffentlichten Standardwerk Psychosomatische Medizin auseinander.[29] Er schlägt vor, die psychischen Befunde in ihren verschiedenen Bestandteilen zu beachten und als zugehörig zur prämorbiden Persönlichkeitsstruktur, zur Psychodynamik, zu den einen Schub auslösenden Faktoren und/oder den krankheitsabhängigen Merkmalen zu unterscheiden.

Symptomatik

Typische Symptome des Morbus Crohn sind Bauchschmerzen und Durchfall, manchmal blutig, was auf Schleimhautdefekte (Ulcera) hinweist.[30] Die Schmerzen treten besonders oft im rechten Unterbauch und oft nach dem Essen oder vor dem Stuhlgang auf. Auch Fieber, Gewichtsverlust, Appetitlosigkeit, Übelkeit und Erbrechen können entstehen. Gerade bei Kindern kann eine Wachstumsverzögerung das einzige Symptom sein. Fisteln oder Abszesse am After können ebenfalls von einem Morbus Crohn kommen. Bei vielen Patienten jedoch ist die Art und das Empfinden der Symptome unterschiedlich. In den Laboruntersuchungen sieht man meistens eine Entzündung mit einem Anstieg der weißen Blutkörperchen und einer Anämie. Die Beschwerden treten für gewöhnlich in Schüben auf. Ein derartiger Schub dauert meist mehrere Wochen an. Beschwerden, die nur wenige Tage andauern, sind in den wenigsten Fällen Schübe des Morbus Crohn.

Bei bis zu 50 Prozent der Morbus-Crohn-Patienten treten zudem extraintestinale Manifestationen auf. Am häufigsten sind hierbei die Gelenke betroffen; es kann zu Arthralgien und Arthritiden kommen. Im Rahmen des Morbus Crohn sind ferner Hautveränderungen in Form des Erythema nodosum oder des Pyoderma gangraenosum möglich. Ebenso kann es zur Begünstigung einer Rosazea kommen sowie zu Entzündungen des Auges (etwa als Uveitis). Die Manifestationen außerhalb des Darmtrakts (extraintestinale Symptome) können selten auch Monate bis Jahre vor der Darm-Symptomatik auftreten. Normalerweise verschwinden die extraintestinalen Symptome, wenn der Morbus Crohn als Grunderkrankung behandelt wird. Neben der Erkrankung selbst kommen auch Nebenwirkungen der Medikation als Auslöser für extraintestinale Manifestationen in Frage.

Komplikationen

  • Mechanischer Darmverschluss (Ileus): Anfangs häufig durch Einengung des betroffenen Darmsegments während des entzündlichen Prozesses bedingt, im späteren Stadium durch fibröse Strikturen. Ein Ileus tritt bei rund 20 bis 30 Prozent der Patienten im Verlauf der Erkrankung auf.
  • Fistel (Verbindung des Darms mit anderen Organen oder der Körperoberfläche): Fisteln treten im chronischen Verlauf recht häufig auf und können recht verschieden sein: Verbindung des Darms mit der Körperoberfläche (kutan), Verlauf zwischen Darm und Geschlechtsorganen (enteroenteritisch/enterovaginal), Verlauf zwischen Darm und Harnblase (enterovesikal), Ausgang der Fistel im Bereich des Afters (peranal), rektal. Seltener hingegen sind Fisteln in die freie Bauchhöhle hinein, da die Umgebung des Darms meist stark verwachsen ist.
  • Abszess (umkapselte Eiteransammlung): intra- und retroperitoneale Abszesse kommen vor.
  • intestinale Blutungen
  • Toxisches Megakolon: (= durch „Gift“ bedingte abnorme Weitstellung des Dickdarms) eher selten bei Morbus Crohn, dafür häufiger bei Colitis ulcerosa
  • Karzinom: Vor allem für Dickdarmkarzinome besteht ein erhöhtes Risiko (jedoch auch hier eher bei Colitis ulcerosa).
  • Osteoporose oder Osteopenie: Veränderungen der Knochendichte treten häufig als Folgeerscheinungen von Malabsorption sowie als Nebenwirkung einer Cortisontherapie auf.
  • Gallensteine (durch den gestörten Leber-Darm-Kreislauf)
  • Urolithiasis (Harnsteinleiden): hervorgerufen durch eine vermehrte Aufnahme von Oxalat aus dem Darm. Ursache hierfür ist ein Gallensäureverlustsyndrom aufgrund des verkürzten und entzündlich alterierten terminalen Ileums, so dass Calcium, welches normalerweise Oxalat im Darm bindet, nunmehr an die Gallensäuren gebunden wird.
  • Exsudative Gastroenteropathie

Problembelastung und Versorgungsoptionen

Krankheitsspezifische Symptome (z. B. Durchfälle) können stark in den Alltag der betroffenen Personen eingreifen.[31] Häufig entwickeln sich zudem Ängste und Depressionen. Entsprechend ist die Lebensqualität der Betroffenen oft verringert.[32] Auch psychischer Stress kann den Krankheitsverlauf negativ beeinflussen.[33] Hinsichtlich dieser unterschiedlichen Problemlagen ist es bei der Krankheitsbewältigung wichtig, die gesamte Lebenssituation in den Blick zu nehmen.[31]

Zu diesem Zweck wurde an der Universität Lübeck ein Online-Fragebogen entwickelt,[34] der 22 krankheitsbezogene Problembereiche bewertet und so den Patienten eine Übersicht über ihre aktuelle Gesundheitssituation und ihr persönliches Problemprofil gibt, mit computergenerierten Vorschlägen für mögliche Unterstützungsangebote. Der Nutzen des Fragebogens und die Wirksamkeit auf die Lebensqualität von Betroffenen wurden in einer randomisierten kontrollierten Studie bestätigt.[35]

Diagnostik

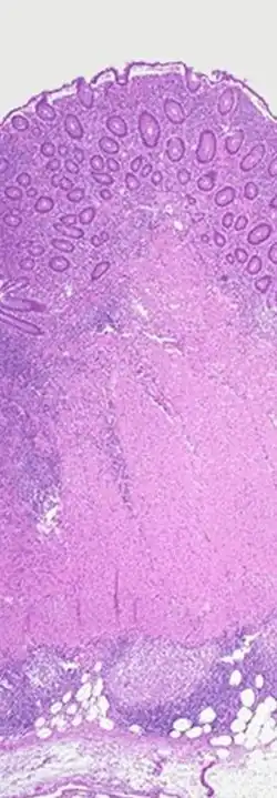
Pathologie/Morphologie

Feingewebsschnitt, Morbus Crohn

Makroskopisch sind folgende Veränderungen charakteristisch:

  • Gartenschlauchphänomen: Durch Fibrosierung verursachte Segmentstenosen
  • Pflastersteinphänomen: Entzündlich verdickte Schleimhautareale wechseln sich mit tief ulzerierten Schleimhautarealen ab, wodurch ein pflastersteinartiges Aussehen entsteht.
  • Entzündlicher Konglomerattumor: Verschiedene Darmabschnitte verkleben miteinander.

Histologisch (feingeweblich) erkennt man vor allem eine Häufung von Lymphozyten, (eosinophilen) Granulozyten und Histiozyten in der Biopsie des entzündeten Darmgewebes. Angrenzende Lymphknoten sind meist vergrößert. Häufig bilden sich Granulome (inkonstant und keineswegs pathognomonisch), die sich in zwei Typen unterscheiden lassen: Epitheloidzellgranulome und Mikrogranulome (kleiner und ohne zentrale Nekrose).

Differentialdiagnostik

Der Morbus Crohn ist manchmal schwer von der Colitis ulcerosa abzugrenzen, in manchen Fällen gelingt es gar nicht (zu den Unterschieden siehe auch die Tabelle unter chronisch-entzündliche Darmerkrankungen).

Darüber hinaus muss eine Reihe anderer Krankheiten ausgeschlossen werden, was mit Hilfe von Bildgebung (Sonografie, CT) und zusätzlichen Untersuchungen geschieht:

Aktivitätsindezes

Es gibt verschiedene Indizes, um die Krankheitsaktivität zu quantifizieren. Dabei beschreiben einige Indizes die klinische Aktivität (ausgehend von aktuellen Symptomen), einige die endoskopische Aktivität (erfasst z. B. bei einer Koloskopie) und einige die transmurale Aktivität (erfasst z. B. durch Sonographie oder Magnetresonanztomografie).[36][37] Während endoskopische Indizes die sichtbare Entzündungsaktivität der Mukosa (oberste Schicht der Darmwand) beschreiben, erfassen die sonographischen/radiologischen Indizes die Entzündungsaktivität in der gesamten Darmwand.

Klinische Aktivität

Crohn’s Disease Activity Index

Der Crohn’s Disease Activity Index (CDAI) kann verwendet werden, um die Krankheitsaktivität zu quantifizieren.[38] Der CDAI wurde von William R. Best und Kollegen 1976 entwickelt.[39] Der Index setzt sich aus acht Variablen zusammen, die jeweils mit einem Faktor multipliziert und dann summiert werden. Die Komponenten des CDAI und ihre Wichtungsfaktoren sind wie folgt:

Klinische oder laborchemische Variable Wichtungsfaktor
Anzahl der ungeformten Stuhlgänge in den letzten sieben Tagen × 2
Bauchschmerzen (0 = keine, 1 = leicht, 2 = mittel, 3 = stark) als Summe der letzten sieben Tage × 5
Allgemeinbefinden (0 = gut, 1 = beeinträchtigt, 2 = schlecht, 3 = sehr schlecht, 4 = unerträglich) als Summe der letzten sieben Tage × 7
Anwesenheit von Komplikationen* × 20
Symptomatische Durchfallbehandlung (Loperamid o. ä.) × 30
Abdominelle Resistenz (0 = nein, 2 = fraglich, 5 = sicher) × 10
Abweichung des Hämatokrit von 47 % bei Männern und 42 % bei Frauen × 6
Prozentuale Abweichung vom Standardgewicht × 1

*Je ein Punkt wird addiert für jede der folgenden Komplikationen:

Remission bei Morbus Crohn ist definiert als ein CDAI kleiner 150.[38] Ab 220 Punkten ist ein Schub definiert und bei einem CDAI größer 450 besteht ein schwerer Schub. Bei einem Abfall des CDAI um 70 Punkte spricht man von einem klinischen Ansprechen. In der täglichen Praxis wird dieser Index allerdings weniger verwendet, da er kompliziert ist und oft zu unflexibel für eine individuelle Behandlung. Seine hauptsächliche Anwendung findet er in klinischen Prüfungen.[38]

Harvey-Bradshaw-Index

Ähnlich häufig wird alternativ der sogenannte Harvey-Bradshaw-Index (HBI) eingesetzt, er wurde 1980 als vereinfachte Version des CDAI entwickelt.[40] Er besteht nur aus klinischen Parametern:[41]

  • Allgemeinbefinden am Vortag (0 = gut, 1 = beeinträchtigt, 2 = schlecht, 3 = sehr schlecht, 4 = unerträglich)
  • Bauchschmerzen am Vortag (0 = keine, 1 = leicht, 2 = mittel, 3 = stark)
  • Anzahl der flüssigen Stuhlgänge am Vortag
  • Abdominelle Resistenz (ein Widerstand oder eine Verhärtung beim Abtasten) (0 = nein, 1 = fraglich, 2 = sicher, 3 = sicher und schmerzhaft)
  • Komplikationen: Arthralgie, Uveitis, Erythema nodosum, orale Aphthen, Pyoderma gangraenosum, Analfissur, neue Fistel oder Abszesse (je 1 Punkt)

Nach Addition entsprechen ≤ 4 Punkt einer Remission, 5–7 einem milden Schub, 8–16 mäßiger Aktivität und > 16 einem schweren Schub.[42] Ein Abfall um 3 Punkte wird als klinisches Ansprechen definiert. Der HBI wurde zwar nie prospektiv validiert, korreliert jedoch mit dem CDAI.[38]

Ein Problem bei den Scoring-Systemen ist der Umstand, dass sie schlecht mit objektiven Markern der Entzündung (z. B. Endoskopie oder CRP) korrelieren.

Endoskopische Aktivität

SES-CD

Graduierung der Entzündungsaktivität bei Morbus Crohn gemäß dem SES-CD[43]
Parameter 0 1 2 3
Anwesenheit / Größe von Ulzera keine aphthöse Ulzera

(0,1–0,5 cm)

große Ulzera

(0,5–2 cm)

sehr große Ulzera

(>2 cm)

Ausmaß der ulzerierten Oberfläche 0 % <10 % 10–30 % >30 %
Ausmaß der entzündeten Oberfläche 0 % <50 % 50–75 % >75 %
Stenosen

(Anwesenheit und Art der Verengung)

keine einzelne,

passierbar

mehrere

passierbar

nicht

passierbar

Der sogenannte „Crohn’s Disease Endoscopic Index of Severity“ (CDEIS) zählt zu den ersten systematisch entwickelten Bewertungsskalen zur Einstufung der endoskopischen Entzündungsaktivität bei Patienten und wurde 1989[44] erstmals vorgestellt.[43] Der CDEIS wurde zwar bei seiner Einführung validiert, seine praktische Anwendung wird aber durch dessen komplexe Handhabung eingeschränkt. Infolgedessen wurde 2004[45] der sogenannte SES-CD („Simple Endoscopic Score for Crohn’s Disease“) eingeführt. Dieser bewertet die Größe der Ulzerationen, den Anteil der ulzerierten und entzündeten Schleimhaut sowie das Vorhandensein von Stenosen in jedem endoskopisch erreichbaren Darmabschnitt. Der SES-CD zeigt eine sehr starke Übereinstimmung mit dem CDEIS, bietet jedoch den Vorteil einer leichteren Berechnung und einer geringeren Variabilität. Der SES-CD kann einen Punktewert von 0 bis 12 erreichen für den jeweiligen Darmabschnitt.

Um eine endoskopische Remission zu erlangen, wird ein SES-CD-Score < 3 empfohlen. Für ein endoskopisches Ansprechen wird häufig eine Abnahme des SES-CD > 50 % akzeptiert.[43]

Therapie

Grundsätzlich unterscheidet man bei der Therapie des Morbus Crohn zwischen der Schubtherapie und der Remissionserhaltung. Ziel der Schubtherapie ist bei Verschlechterung, das heißt bei Vorliegen eines Schubs, die Linderung der akuten Symptome. Mit der remissionserhaltenden Therapie soll die Zahl der Schübe verringert werden, das heißt, es soll die Zeit der Remission verlängert werden. Die konservativen (Medikamente) und operativen Therapieansätze ergänzen sich dabei. Grundsätzlich versucht man, Resektionen des Darms zu vermeiden, aber in einigen Situationen ist die Chirurgie der inneren Medizin überlegen. Dies ist vor allem bei Fisteln, Stenosen (narbigen Engen) und lebensgefährlichen Komplikationen der Fall.

Derzeit wird eine wissenschaftliche Debatte geführt, ob das Ziel der Therapie die Beschwerdefreiheit des Patienten oder die komplette Abwesenheit von Entzündung (so genanntes Mucosal Healing) sein sollte. Befürworter des Mucosal Healing argumentieren, dass so sowohl einem Funktionsverlust des Darms als auch häufigen Schüben und der Entstehung von Krebserkrankungen vorgebeugt werden könnte.[46] Beweise für diese Hypothesen stehen noch aus.

Für Diagnose und Therapie gibt es evidenzbasierte Leitlinien der deutschen Gesellschaft für Verdauungs- und Stoffwechselkrankheiten[38] und auch auf europäischer Ebene den European evidence based consensus on the diagnosis and management of Crohn’s disease für die Diagnose, die allgemeine Therapie und für Spezialfälle.[47][48]

Feiereis hält einen mehrdimensionalen Ansatz für erforderlich, der, je nach Fallkonstruktion, aus „medikamentösen, diätetischen, entspannungs- und psychotherapeutischen, operativen, rehabilitativen und nachsorgenden Verfahren besteht“ und die Koordination einer „eng konsiliarisch miteinander arbeitende[n] Gruppe“ von Ärzten voraussetze.[49]

Akuter Schub

In der Schubtherapie unterscheidet man zwischen leicht- bis mittelgradigen Schüben und mittelgradigen bis schweren Schüben. Außerdem spielt die Lokalisation der Erkrankung gerade beim Morbus Crohn, der den gesamten Magen-Darm-Trakt befallen kann, für die Therapieentscheidung eine wichtige Rolle. Bei perianalem Befall mit Fisteln oder Abszessen kommen wieder andere Therapien zum Einsatz.

  • Eine Diät, eventuell mit parenteraler Ernährung oder voll resorbierbarer, ballaststoffarmer Flüssignahrung, kann Symptome während eines schweren Schubs lindern. Insbesondere bei Kindern lässt sich ein Schub allein mit einer enteralen Sondennahrung behandeln. Bei Erwachsenen gibt es ebenfalls Studien, die zeigen, dass eine enterale Sondennahrung zur Behandlung eingesetzt werden kann. Der Vorteil dieser Behandlungsform ist, dass man die Nebenwirkungen von Glukokortikoiden vermeidet. Allerdings muss man bei dieser Therapieform täglich eine Ernährungssonde über die Nase einführen, was die meisten Patienten als sehr unangenehm empfinden.
  • Glukokortikoide sind die wichtigsten Medikamente bei der Behandlung des Morbus Crohn. Sie führen selbst in schwersten Fällen noch bei der Hälfte aller Patienten zu einer Remission. Bei einem leichten bis mittelgradigen Schub verbessern sich die Beschwerden bei rund 90 Prozent aller Patienten. Bei einem Befall der rechten Hälfte des Dickdarms und des terminalen Ileums kann auch Budesonid verwendet werden, ein Cortisonpräparat, das vor allem dort wirkt und wenig Nebenwirkungen im Rest des Körpers verursacht. Bei einem Befall des Mastdarms kann auch Cortison als Klysma eingesetzt werden, das ebenfalls weniger Nebenwirkungen hervorruft. Patienten, die mehr als drei Monate im Jahr Glukokortikoide einnehmen, werden meist mit einer remissionserhaltenden Therapie behandelt.
Pathologisches Präparat eines operativ entfernten Darmstücks
  • Salazosulfapyridin kann im Gegensatz zu Mesalazin (5-Aminosalicylsäure) bei einem leicht- bis mittelgradigen Schub des linken Dickdarms durchaus zu einer Verbesserung führen. Obwohl etwa die Hälfte aller Crohn-Patienten eines dieser beiden Medikamente verschrieben bekommen, hat sich mittlerweile gezeigt, dass die Wirksamkeit nur gering ist. Allerdings stehen Untersuchungen, ob Teilgruppen von Patienten nicht doch von Mesalazin profitieren, noch aus.
  • Metronidazol und Ciprofloxacin können vor allem zur Behandlung von Fisteln eingesetzt werden.
  • Bei mäßig- bis schwergradig aktivem Morbus Crohn und Nichtansprechen auf konventionelle Therapie (Corticosteroid und/oder Immunsuppressivum) können TNF-Blocker wie Infliximab und Adalimumab, Interleukin-Inhibitoren (Ustekinumab, Risankizumab und Mirikizumab), der Integrin-Antagonist Vedolizumab und der JAK-Inhibitor Upadacitinib eingesetzt werden.
  • Bei Krankheitsverlauf mit Fisteln ist der TNF-Blocker Infliximab als Erstlinientherapie empfohlen[38]
  • Eine chirurgische Therapie mit Resektion betroffener Darmabschnitte führt zu keiner definitiven Heilung, ist aber bei schwereren Fällen unter Umständen unerlässlich, um schwere Komplikationen wie Stenosen, Fisteln, Abszesse oder Perforationen zu vermeiden oder zu behandeln. Bei isoliertem Befall der Ileozökalregion, kurzer Anamnese und fehlendem Ansprechen auf Steroide kann einen Ileozökalresektion als gleichwertig mit einer Therapie mit Infliximab angesehen werden.[38]

Remissionserhaltung

Derzeit gibt es kein Mittel, das bei jedem Patienten mit Morbus Crohn eingesetzt würde und Schübe verhinderte. Während bei der Colitis ulcerosa Mesalazin gut wirksam ist, hat es beim M. Crohn nur bei operierten Patienten eine schubunterdrückende Wirkung.

Patienten, die schwere Schübe haben, bei denen häufige Schübe auftreten, aber auch Patienten, bei denen beim Versuch, Cortison abzusetzen, die Krankheit immer wieder aufflammt, sollen nach den derzeitigen Leitlinien eine remissionserhaltende Therapie bekommen. Dazu kommen derzeit drei Medikamentengruppen in Frage:

Top-down- und Step-up-Therapieansätze

Es gibt inzwischen deutliche Evidenz dafür, dass ein Top-down-Therapieansatz, bei dem schon früh mit einer „advanced therapy“ (monoklonaler Antikörper oder JAK-Inhibitor) behandelt wird, einem Step-up-Ansatz in Bezug auf den langfristigen Krankheitsverlauf überlegen ist. So empfiehlt die S3-Leitlinie bei einem akuten Schub unter steroidrefraktärem Verlauf (kein therapeutischer Erfolg durch kontinuierliche Gabe von Glucocorticoide), dass Patienten mit mittlerer bis hoher Krankheitsaktivität primär mit TNF-α-Antikörpern, Risankizumab, Upadacitinib, Ustekinumab oder Vedolizumab behandelt werden.[38]

Begleitende Therapien

Durch die Darmerkrankung leiden manche Patienten mit Morbus Crohn an Fehl- und Mangelernährung. Dies kann verschiedene Ursachen haben. Einerseits führt die Erkrankung in schweren Fällen dazu, dass der Darm Nährstoffe unzureichend resorbiert (Malassimilation). Daneben haben Patienten im Schub durch die Entzündung einen erhöhten Energiebedarf oder sie verlieren durch Darmblutung Eisen. Der Eisenstoffwechsel ist ebenfalls durch die Entzündung beeinträchtigt. Darüber hinaus vermeiden manche Patienten bestimmte Nahrungsmittel, von denen sie das Gefühl haben, sie verschlimmerten die Erkrankung. Auch dies kann zu Unterernährung und Nährstoffmängeln führen. Somit müssen neben der eigentlichen Erkrankung oft noch Nährstoffmängel (Eisen, Vitamin-B12, Zink) und Unterernährung (z. B. mit zusätzlicher Trinknahrung) behandelt werden. Die Entzündung und die Einnahme von Glukokortikoiden kann beim Morbus Crohn zu Osteoporose führen. Auch diese Komplikation wird oft begleitend behandelt.

Ob Psychotherapie und Entspannungsmethoden (beispielsweise Verhaltenstherapie, Mind Body Therapie, progressive Muskelentspannung, autogenes Training, Feldenkrais-Methode) hilfreich sind, ist derzeit nicht ganz klar. Sie scheinen nicht zur Verbesserung der Erkrankung beizutragen, können aber eingesetzt werden, wenn Angststörungen, Depression oder übermäßiger Stress als Folge der Erkrankung auftreten.

Ernährungstherapie

Die Spezielle Kohlenhydratdiät (SCD) ist eine der am häufigsten verwendeten Diätformen bei Patienten mit entzündlichen Darmerkrankungen. Hierbei wird die Gruppe der Poly- und Disaccharide völlig aus der Ernährung entfernt, während der Anteil und die Zusammensetzung von Fetten oder Proteinen unberücksichtigt bleiben. Es gibt erste Hinweise darauf, dass diese Symptome lindert, die Entzündung reduziert und die Vielfalt der Darmflora erhöht. Die Autoren einer Metaanalyse sprechen sich dafür aus, diese in Verbindung mit geeigneter medikamentöser Behandlung einzusetzen.[51]

Die Mediterrane Ernährung wurde in einer randomisierten Kontrollstudie mit der speziellen Kohlenhydratendiät verglichen. In der Studie konnte keine Überlegenheit der SCD gegenüber der mediterranen Ernährung festgestellt werden (sowohl in Bezug auf klinische Symptomatik als auch auf die Entzüdngungsparameter Calprotectin und C-reaktives Protein). Als mediterrane Ernährung wird eine Ernährung, die reich an frischem Obst und Gemüse, einfach ungesättigten Fetten, komplexen Kohlenhydraten und mageren Proteinen ist und weitestgehend ultraverarbeitete Lebensmitteln, Zuckerzusatz und Salz vermeidet. Die amerikanische AGA-Leitlinie empfiehlt daher für Patienten mit Crohn ohne Kontraindikationen (wie Strikturen) das Befolgen einer mediterranen Ernährung.[52]

Anders als bei der speziellen Kohlenhydratdiät werden bei einer FODMAP-Diät nicht alle Poly- und Disaccharide aus der Ernährung entfernt, sondern nur fermentierbare Kohlenhydrate reduziert. In einer Übersichtsarbeit von 2020 konnte nachgewiesen werden, dass sich eine Ernährungsweise mit geringem FODMAP-Anteil positiv auf die gastrointestinalen Symptome von Morbus-Crohn-Patienten auswirkt.[53] Allerdings zeigte sich in einer Studie von 2020 keine statistisch signifikante Veränderung der Entzündungsparameter Calprotectin und CRP[54].

Alternative und komplementäre Therapien

Für die folgenden alternativmedizinischen oder komplementären Therapiemöglichkeiten gibt es keine ausreichenden wissenschaftlichen Belege, dass sie in der Therapie des Morbus Crohn von Nutzen sind:

  • Lutz-Diät, eine kohlenhydratarme und fettreiche Diät nach Wolfgang Lutz
  • Bei anhaltenden Bauchschmerzen kann eine Schmerztherapie mit cannabisbasierten Arzneimitteln und medizinischem Cannabis erwogen werden, sollten konventionelle Schmerzmittel wie Paracetamol, Metamizol, Spasmolytika oder ggf. Opioiden nicht ausreichend wirksam, kontraindiziert oder unverträglich sein.[38] Abzugrenzen wäre hierbei eine Therapie, die einer akuten Entzündung entgegenwirken soll – für eine Wirksamkeit fehlen hierfür ausreichend wissenschaftliche Belege.
  • Eine Therapie mit Eiern des Schweinepeitschenwurms wurde in Erwägung gezogen, wird aber wegen fehlender Wirksamkeit nicht empfohlen.[38]

Alternativmedizinische Therapien, die eine evidenzgesicherte Therapie ersetzen, sollen generell abgelehnt werden.[38] Falls sie zu etablierten Therapieverfahren begleitend eingesetzt werden, sollte es unter Abwägung möglicher Risiken, Wechselwirkungen und wirtschaftlicher Aspekte mit dem Patienten erfolgen – vorausgesetzt, ihre Wirksamkeit wurde nachgewiesen.

Prognose

Es handelt sich um eine chronische Erkrankung mit hoher Rezidiv-, also Wiederauftrittsrate. Komplikationen machen in den meisten Fällen eine operative Therapie erforderlich, die aber auch zu keiner definitiven Heilung führt. Bei fast der Hälfte der Patienten nimmt die Stärke der Erkrankung im Laufe der Zeit jedoch deutlich ab. Während jeder Dritte immer wieder Schübe mit dazwischenliegender Beschwerdefreiheit erlebt, berichtet etwa ein Fünftel aller Patienten über eine dauerhafte Aktivität ohne Phasen der Beschwerdefreiheit. Patienten mit Morbus Crohn haben im Vergleich zur Normalbevölkerung eine rechnerisch leicht erhöhte Sterblichkeit.[55]

Literatur

Leitlinien

Fachartikel

  • Daniel C. Baumgart: Diagnostik und Therapie von Morbus Crohn und Colitis ulcerosa. In: Deutsches Ärzteblatt. Nr. 106(8), 2009, S. 123–133 (aerzteblatt.de).
  • Daniel C. Baumgart, Catherine Le Berre: Newer Biologic and Small-Molecule Therapies for Inflammatory Bowel Disease. In: The New England Journal of Medicine. Band 385, Nr. 14, 30. September 2021, S. 1302–1315, doi:10.1056/NEJMra1907607, PMID 34587387 (englisch).
  • Panu Wetwittayakhlang et al.: Novel and emerging drugs for the treatment of Crohn's disease: a review of phase II and III trials. In: Expert Opinion on Emerging Drugs. 9. Januar 2024, S. 1–16, doi:10.1080/14728214.2024.2303116, PMID 38193191 (englisch).

Allgemein

Commons: Morbus Crohn – Sammlung von Bildern, Videos und Audiodateien

Vereinigungen

Einzelnachweise

  1. D. C. Baumgart, S. R. Carding: Inflammatory bowel disease: cause and immunobiology. In: The Lancet. Band 369, Nr. 9573, 2007, S. 1627–1640, doi:10.1016/S0140-6736(07)60750-8, PMID 17499605.
  2. D. C. Baumgart, W. J. Sandborn: Crohn’s disease. In: The Lancet. 2012, doi:10.1016/S0140-6736(12)60026-9, PMID 22914295.
  3. R. J. Xavier, D. K. Podolsky: Unravelling the pathogenesis of inflammatory bowel disease. In: Nature. Band 448, Nr. 7152, 2007, S. 427–434, doi:10.1038/nature06005, PMID 17653185.
  4. Amboss: Morbus Crohn. In: Amboss Medizinwissen. Amboss, 4. Oktober 2020, abgerufen am 4. Oktober 2020.
  5. Burrill B. Crohn, Leon Ginzburg, Gordon D. Oppenheimer: Regional ileitis: a pathological and clinical entity. In: Journal of the American Medical Association Band 99, 1932: Seiten 1323–1329.
  6. a b c Sabine Schuchardt: Burrill B. Crohn blieb seiner Passion ein Leben lang treu. In: Deutsches Ärzteblatt Band 114, Ausgabe 15 vom 14. April 2017, Seite [52].
  7. B. A. Jacobsen u. a.: Increase in incidence and prevalence of inflammatory bowel disease in northern Denmark: a population-based study, 1978–2002. In: Eur J Gastroenterol Hepatol. 2006 Jun;18(6), S. 601–606, PMID 16702848.
  8. a b c Gilaad G. Kaplan, Joseph J. Y. Sung, Francis K. L. Chan, Justin C. Y. Wu, Subrata Ghosh: Worldwide incidence and prevalence of inflammatory bowel disease in the 21st century: a systematic review of population-based studies. In: The Lancet. Band 390, Nr. 10114, 23. Dezember 2017, S. 2769–2778, doi:10.1016/S0140-6736(17)32448-0, PMID 29050646.
  9. ernaehrung.de: Morbus Crohn – Krankheitsbild
  10. Kenneth Murphy, Casey Weaver: Janeway’s Immunobiology. 9. Auflage. Garland Science, 2017, ISBN 978-0-8153-4551-0, Kapitel 15 Autoimmunity and Transplantation.
  11. Schwäche in der Abwehr: Neue Erkenntnisse zur Ursache von chronisch entzündlichen Darmerkrankungen (Memento vom 24. November 2011 im Internet Archive); dccv.de, Pressekonferenz zum Crohn & Colitis-Tag 2011, am 15. September 2011 in Leipzig.
  12. Darmflora: Dysbakterie markiert Beginn des Morbus Crohn aerzteblatt.de, 13. März 2014
  13. Genvariante schützt vor Morbus Crohn. aerzteblatt.de, 27. Oktober 2006, archiviert vom Original (nicht mehr online verfügbar) am 12. Februar 2007; abgerufen am 1. August 2010.
  14. Andre Franke, Jochen Hampe, Philip Rosenstiel, Christian Becker, Florian Wagner, Robert Häsler, Randall D. Little, Klaus Huse, Andreas Ruether, Tobias Balschun, Michael Wittig, Abdou ElSharawy, Gabriele Mayr, Mario Albrecht, Natalie J. Prescott, Clive M. Onnie, Helene Fournier, Tim Keith, Uwe Radelof, Matthias Platzer, Christopher G. Mathew, Monika Stoll, Michael Krawczak, Peter Nürnberg, Stefan Schreiber, Greg Gibson: Systematic Association Mapping Identifies NELL1 as a Novel IBD Disease Gene. In: PLoS ONE. 2, 2007, S. e691, doi:10.1371/journal.pone.0000691, PMC 1933598 (freier Volltext).
  15. K. Fellermann, D. E. Stange, E. Schaeffeler, H. Schmalzl, J. Wehkamp, C. L. Bevins, W. Reinisch, A. Teml, M. Schwab, P. Lichter, B. Radlwimmer, E. F. Stange: A chromosome 8 gene cluster polymorphism with low human beta-defensin 2 gene copy number predisposes to Crohn’s disease of the colon. In: Am. J. Hum. Genet. 79 (2006), S. 439–448.
  16. Morbus Crohn: Eine Genkopie zuwenig schwächt die Verteidigung. dkfz.de, 17. Juli 2006, abgerufen am 1. August 2010 (Pressemitteilung Nr. 59 des Deutschen Krebsforschungszentrums).
  17. K. Fellermann, D. E. Stange, E. Schaeffeler, H. Schmalzl, J. Wehkamp, C. L. Bevins, W. Reinisch, A. Teml, M. Schwab, P. Lichter, B. Radlwimmer, E. F. Stange: A chromosome 8 gene cluster polymorphism with low human beta-defensin 2 gene copy number predisposes to Crohn’s disease of the colon. In: Am. J. Hum. Genet. 79(2006), S. 439–448.
  18. V. N. Drozdov, A. I. Parfenov, A. A. Lishchinskaia, K. K. Noskova, E. V. Tkachenko, G. G. Varvanina: [Clinical and diagnostic significance of gepsidin level in the regulation of iron metabolism in patients with inflammatory bowel disease]. In: Ėksperimental’nai͡a i klinicheskai͡a gastroėnterologii͡a (= Experimental & clinical gastroenterology). Nr. 10, 2011, S. 18–22, PMID 22629694.
  19. Zühre Kaya u. a.: Serum prohepcidin levels in children with solid tumors, inflammatory bowel disease and iron deficiency anemia. In: Journal of tropical pediatrics. Band 57, Nr. 2, April 2011, S. 120–125, doi:10.1093/tropej/fmq058, PMID 20601378.
  20. Gaith Semrin u. a.: Impaired intestinal iron absorption in Crohn’s disease correlates with disease activity and markers of inflammation. In: Inflammatory Bowel Diseases. Band 12, Nr. 12, Dezember 2006, S. 1101–1106, doi:10.1097/01.mib.0000235097.86360.04, PMID 17119383.
  21. Pantelis Oustamanolakis, Ioannis E. Koutroubakis, Ippokratis Messaritakis, Niki Malliaraki, Aekaterini Sfiridaki, Elias A. Kouroumalis: Serum hepcidin and prohepcidin concentrations in inflammatory bowel disease. In: European journal of gastroenterology & hepatology. Band 23, Nr. 3, März 2011, S. 262–268, doi:10.1097/MEG.0b013e328343b885, PMID 21285884.
  22. Robert J. Basseri u. a.: Hepcidin is a key mediator of anemia of inflammation in Crohn’s disease. In: Journal of Crohn’s and Colitis. Band 7, Nr. 8, 1. September 2013, S. e286–e291, doi:10.1016/j.crohns.2012.10.013, PMID 23219355.
  23. Tyler Burpee u. a.: Intestinal ferroportin expression in pediatric Crohn’s disease. In: Inflammatory bowel diseases. Band 17, Nr. 2, Februar 2011, S. 524–531, doi:10.1002/ibd.21367, PMID 20564534.
  24. K. K. Noskova, A. A. Lishchinskaia, A. I. Parfenov, O. V. Kniazev, G. G. Varvanina, V. N. Drozdov: [Risk of development of clinical and pathogenetic features of anemia on the background of basic therapy of inflammatory bowel disease]. In: Ėksperimental’nai͡a i klinicheskai͡a gastroėnterologii͡a = Experimental & clinical gastroenterology. Nr. 10, 2011, S. 12–17, PMID 22629693.
  25. Lijian Wang u. a.: The bone morphogenetic protein-hepcidin axis as a therapeutic target in inflammatory bowel disease. In: Inflammatory bowel diseases. Band 18, Nr. 1, Januar 2012, S. 112–119, doi:10.1002/ibd.21675, PMID 21351217.
  26. a b Morbus Crohn durch Mykobakterien: Ein Verdacht wird zur Gewissheit. Europäisches Institut für Lebensmittel- und Ernährungswissenschaften, 2/2009, S. 21–24.
  27. Mpofu u. a.: Microbial mannan inhibits bacterial killing by macrophages: a possible pathogenic mechanism for Crohn’s disease. In: Gastroenterology. 2007 Nov;133(5), S. 1487–1498.
  28. Crohn-Patienten sollten mit dem Rauchen aufhören. (Memento vom 28. Februar 2014 im Internet Archive) DCCV, 15. Mai 2001, abgerufen am 24. Februar 2014.
  29. Hubert Feiereis: Morbus Crohn. In: Thure von Uexküll u. a. (Hrsg.): Psychosomatische Medizin. 3. Auflage. Urban & Fischer, Elsevier 1986, ISBN 3-541-08843-5, S. 803–805.
  30. K.-M. Keller, D. Weitzel, U. Lörcher: Diagnostik der chronisch-entzündlichen Darmerkrankungen. In: Monatsschrift Kinderheilkunde. Band 152, Nr. 2, 2004, S. 122–132.
  31. a b K. Kemp, J. Griffiths, K. Lovell: Understanding the health and social care needs of people living with IBD: a meta-synthesis of the evidence. In: World journal of gastroenterology. 2012; 18 (43), S. 6240–6249, PMID 23180944.
  32. L. A. Graff, J. R. Walker, L. Lix, I. Clara, P. Rawsthorne, L. Rogala, N. Miller, L. Jakul, C. McPhail, J. Ediger, C. N. Bernstein: The relationship of inflammatory bowel disease type and activity to psychological functioning and quality of life. In: Clinical gastroenterology and hepatology. 2006; 4 (12), S. 1491–1501, PMID 17162241.
    L. A. Graff, J.R. Walker, C. N. Bernstein: Depression and anxiety in inflammatory bowel disease: a review of comorbidity and management. In: Inflammatory bowel diseases. 2009; 15 (7), S. 1105–1118, PMID 19161177.
  33. M. S. Sajadinejad, K. Asgari, K. Molavi, M. Kalantari, P. Adibi: Psychological issues in inflammatory bowel disease: an overview. In: Gastroenterology research and practice. 2012; doi:10.1155/2012/106502, PMID 22778720.
  34. Online-Fragebogen für Betroffene mit chronisch entzündlicher Darmerkrankung. Herausgeber: Seniorprofessur für Bevölkerungsmedizin; Universität zu Lübeck. Abgerufen am 10. Januar 2015.
  35. A. Hueppe, J. Langbrandtner, H. Raspe: Inviting patients with inflammatory bowel disease to active involvement in their own care: a randomized controlled trial. In: Inflammatory bowel diseases. 2014; 20 (6), S. 1057–1069, PMID 24788217.
  36. Henit Yanai, Roger Feakins, Mariangela Allocca, Johan Burisch, Pierre Ellul, Marietta Iacucci, Christian Maaser, Alessandra Zilli, Nina Zidar, Rune Wilkens, Bram Verstockt, Stephan Vavricka, Mathieu Uzzan, Jaap Stoker, Martina Scharitzer, David Rubin, Francesca Rosini, Jordi Rimola, Patrick van Rheenen, Paula Borralho Nunes, Kerri Novak, Nurulamin M Noor, Olga Maria Nardone, Cathy Lu, Uri Kopylov, Konstantinos Katsanos, Isabelle de Kock, Amelia Kellar, Konstaninos Karmiris, Giovanni Maconi, Frederica Furfaro, Emma Flanagan, Ann Driessen, Mallory Chavannes, Dominik Bettenworth, Shomron Ben-Horin, Gauraang Bhatnagar, Pamela Baldin, Torsten Kucharzik, Stuart Taylor: ECCO-ESGAR-ESP-IBUS Guideline on Diagnostics and Monitoring of Patients with Inflammatory Bowel Disease: Part 2. In: Journal of Crohn's and Colitis. Band 19, Nr. 7, 3. Juli 2025, ISSN 1873-9946, doi:10.1093/ecco-jcc/jjaf107 (oup.com [abgerufen am 18. September 2025]).
  37. Torsten Kucharzik, Stuart Taylor, Mariangela Allocca, Johan Burisch, Pierre Ellul, Marietta Iacucci, Christian Maaser, Pamela Baldin, Gauraang Bhatnagar, Shomron Ben-Horin, Dominik Bettenworth, Mallory Chavannes, Ann Driessen, Emma Flanagan, Frederica Furfaro, Giovanni Maconi, Konstaninos Karmiris, Amelia Kellar, Isabelle De Kock, Konstantinos Katsanos, Uri Kopylov, Cathy Lu, Olga Maria Nardone, Nurulamin M Noor, Kerri Novak, Paula Borralho Nunes, Patrick van Rheenen, Jordi Rimola, Francesca Rosini, David Rubin, Martina Scharitzer, Jaap Stoker, Mathieu Uzzan, Stephan Vavricka, Bram Verstockt, Rune Wilkens, Nina Zidar, Alessandra Zilli, Henit Yanai, Roger Feakins: ECCO-ESGAR-ESP-IBUS Guideline on Diagnostics and Monitoring of Patients with Inflammatory Bowel Disease: Part 1. In: Journal of Crohn's and Colitis. Band 19, Nr. 7, 3. Juli 2025, ISSN 1873-9946, doi:10.1093/ecco-jcc/jjaf106 (oup.com [abgerufen am 18. September 2025]).
  38. a b c d e f g h i j k S3-Leitlinie Diagnostik und Therapie des Morbus Crohn - Living Guideline der Deutschen Gesellschaft für Gastroenterologie, Verdauungs- und Stoffwechselkrankheiten. In: AWMF online (Stand 2024)
  39. William R. Best et al.: Development of a Crohn’s disease activity index. National Cooperative Crohn’s Disease Study. In: Gastroenterology. Band 70, Nr. 3, März 1976, S. 439–444, doi:10.1016/S0016-5085(76)80163-1, PMID 1248701 (englisch).
  40. R. Harvey, J. Bradshaw: A simple index of Crohn’s-disease activity. In: Lancet. Band 1, Nr. 8167, 1980, S. 514, doi:10.1016/S0140-6736(80)92767-1, PMID 6102236.
  41. Daniel C. Baumgart, Catherine Le Berre: Newer Biologic and Small-Molecule Therapies for Inflammatory Bowel Disease. In: New England Journal of Medicine. 29. September 2021, S. 31, Supplementary Table S5, doi:10.1056/NEJMra1907607, PMID 34587387 (englisch).
  42. janssenmedicalinformation.ca (Memento vom 2. Januar 2015 im Internet Archive)
  43. a b c Timo Rath, Markus F. Neurath: Endoskopie bei chronisch entzündlichen Darmerkrankungen: Neues und Bewährtes. In: DMW - Deutsche Medizinische Wochenschrift. Band 150, Nr. 08, April 2025, S. 419–426, doi:10.1055/a-2344-7995.
  44. Jean-Yves Mary, Robert Modigliani: Development and validation of an endoscopic index of the severity for Crohn's disease: a prospective multicentre study. Groupe d'Etudes Thérapeutiques des Affections Inflammatoires du Tube Digestif (GETAID). In: Gut. Band 30, Nr. 7, Juli 1989, S. 983–989, doi:10.1136/gut.30.7.983, PMID 2668130, PMC 1434265 (freier Volltext) – (englisch).
  45. Marco Daperno et al.: Development and validation of a new, simplified endoscopic activity score for Crohn's disease: the SES-CD. In: Gastrointestinal Endoscopy. Band 60, Nr. 4, Oktober 2004, S. 505–512, doi:10.1016/s0016-5107(04)01878-4, PMID 15472670 (englisch).
  46. G. Pineton de Chambrun, L. Peyrin-Biroulet, M. Lémann, J. F. Colombel: Clinical implications of mucosal healing for the management of IBD. In: Nat Rev Gastroenterol Hepatol Band 7, Nummer 1, Januar 2010, S. 15–29, doi:10.1038/nrgastro.2009.203, PMID 19949430. (Review).
  47. Fernando Gomollón et al.: 3rd European Evidence-based Consensus on the Diagnosis and Management of Crohn's Disease 2016: Part 1: Diagnosis and Medical Management. In: Journal of Crohn's & Colitis. Band 11, Nr. 1, Januar 2017, S. 3–25, doi:10.1093/ecco-jcc/jjw168, PMID 27660341 (englisch).
  48. Paolo Gionchetti et al.: 3rd European Evidence-based Consensus on the Diagnosis and Management of Crohn's Disease 2016: Part 2: Surgical Management and Special Situations. In: Journal of Crohn's & Colitis. Band 11, Nr. 2, Februar 2017, S. 135–149, doi:10.1093/ecco-jcc/jjw169, PMID 27660342 (englisch).
  49. Hubert Feiereis: Morbus Crohn. In: Thure von Uexküll u. a. (Hrsg.): Psychosomatische Medizin. 3. Auflage. Urban & Fischer, Elsevier 1986, ISBN 3-541-08843-5, S. 806.
  50. Azathioprin#Klinische Angaben
  51. Samir Kakodkar, Ece A. Mutlu: Diet as a Therapeutic Option for Adult Inflammatory Bowel Disease. In: Gastroenterology Clinics of North America. Band 46, Nr. 4, Dezember 2017, S. 745–767, doi:10.1016/j.gtc.2017.08.016, PMID 29173519, PMC 5821251 (freier Volltext) – (englisch).
  52. Jana G. Hashash, Jaclyn Elkins, James D. Lewis, David G. Binion: AGA Clinical Practice Update on Diet and Nutritional Therapies in Patients With Inflammatory Bowel Disease: Expert Review. In: Gastroenterology. Band 166, Nr. 3, 1. März 2024, ISSN 0016-5085, S. 521–532, doi:10.1053/j.gastro.2023.11.303, PMID 38276922 (elsevier.com [abgerufen am 27. April 2025]).
  53. Stefan L. Popa et al.: Diet Advice for Crohn's Disease: FODMAP and Beyond. In: Nutrients. Band 12, Nr. 12, 6. Dezember 2020, S. 3751, doi:10.3390/nu12123751, PMID 33291329, PMC 7762196 (freier Volltext) – (englisch).
  54. Selina R. Cox, James O. Lindsay, Sébastien Fromentin, Andrew J. Stagg, Neil E. McCarthy, Nathalie Galleron, Samar B. Ibraim, Hugo Roume, Florence Levenez, Nicolas Pons, Nicolas Maziers, Miranda C. Lomer, S. Dusko Ehrlich, Peter M. Irving, Kevin Whelan: Effects of Low FODMAP Diet on Symptoms, Fecal Microbiome, and Markers of Inflammation in Patients With Quiescent Inflammatory Bowel Disease in a Randomized Trial. In: Gastroenterology. Band 158, Nr. 1, 1. Januar 2020, ISSN 0016-5085, S. 176–188.e7, doi:10.1053/j.gastro.2019.09.024, PMID 31586453 (elsevier.com [abgerufen am 27. April 2025]).
  55. D. Duricova, N. Pedersen, M. Elkjaer, M. Gamborg, P. Munkholm, T. Jess: Overall and cause-specific mortality in Crohn’s disease: a meta-analysis of population-based studies. In: Inflamm. Bowel Dis. Band 16, Nummer 2, Februar 2010, S. 347–353, doi:10.1002/ibd.21007, PMID 19572377.