Morbus Fahr

Klassifikation nach ICD-10
G23.8 Fahr-Syndrom, Sonstige näher bezeichnete degenerative Krankheiten der Basalganglien
- Kalzifikation der Basalganglien
{{{02-BEZEICHNUNG}}}
{{{03-BEZEICHNUNG}}}
{{{04-BEZEICHNUNG}}}
{{{05-BEZEICHNUNG}}}
{{{06-BEZEICHNUNG}}}
{{{07-BEZEICHNUNG}}}
{{{08-BEZEICHNUNG}}}
{{{09-BEZEICHNUNG}}}
{{{10-BEZEICHNUNG}}}
{{{11-BEZEICHNUNG}}}
{{{12-BEZEICHNUNG}}}
{{{13-BEZEICHNUNG}}}
{{{14-BEZEICHNUNG}}}
{{{15-BEZEICHNUNG}}}
{{{16-BEZEICHNUNG}}}
{{{17-BEZEICHNUNG}}}
{{{18-BEZEICHNUNG}}}
{{{19-BEZEICHNUNG}}}
{{{20-BEZEICHNUNG}}}
Vorlage:Infobox ICD/Wartung {{{21BEZEICHNUNG}}}
ICD-10 online (WHO-Version 2019)
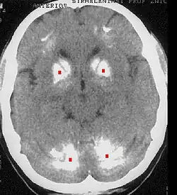
Morbus Fahr im Computertomogramm; Verkalkungen sind rot markiert

Die Fahr-Krankheit oder Morbus Fahr (auch striatodentale Kalzifikation oder Fahr-Syndrom) ist die Bezeichnung für eine Verkalkung der Basalganglien des Gehirns (genaugenommen für eine Kalzinose zwischen Corpus striatum and Nucleus dentatus), welche nicht auf arteriosklerotische Prozesse zurückzuführen ist. Die Erkrankung ist nach Theodor Fahr (1877–1945) benannt, der sie 1930 beschrieb. Die Namensgebung ist umstritten, da sie verschiedene Krankheiten vermischt.

Geschichte

Theodor Fahr beschrieb 1930 den Fall eines 55-jährigen Manns mit Durchfall, Doppeltsehen, Schwindel und Schwäche der Beine. Kurz vor der Einlieferung in das Krankenhaus hatte der Patient ein Steifigkeitsgefühl in den Extremitäten, wurde kurzatmig und bekam Atemnot und wurde schließlich bewusstlos. Bei der Untersuchung war er tief bewusstlos und reagierte nicht auf Reize. Die Augenbewegungen waren normal, die Pupillen waren rund und gleichmäßig und reagierten auf Licht. Gesichtshaut und Schleimhäute sahen zyanotisch aus. Am nächsten Tag ballte der Patient plötzlich die Finger und begann zu zittern.[1]

In seinen Untersuchungen des Gehirns des Patienten nach dessen Tod fand Fahr eine diffuse Verkalkung der Gefäße unterschiedlichen Kalibers, sowohl in den Arterien als auch in den Venen, vor allem in der weißen Substanz. Unter der grauen Substanz, insbesondere in den Basalganglien, waren diese Veränderungen kaum vorhanden.[1] Retrospektiv lassen sich diese Symptome eher durch einen Hypoparathyreoidismus erklären, welcher in 50 % der Fälle Gehirnkalzifikationen verursacht.[2] Dieser Zusammenhang wurde zuerst von Arnold Pick beschrieben.[3]

In der Fachliteratur werden als Synonyme für den Morbus Fahr das Chavany-Brunhes-Syndrom (nach Jean Alfred Émile Chavany und Jacques Brunhes) und das Fritsche-Syndrom (nach R. Fritsche) erwähnt. Bis 1997 wurde nur über weniger als 20 betroffene Familien berichtet.[4] Früher wurde das Chavany-Brunhes-Syndrom als Kombination von chronischen Stirnkopfschmerzen mit einer Gereiztheit bei ausgedehnten Verkalkungen der Falx cerebri und mit fraglicher Heredität beschrieben.

Nach Theodor Fahr wurden drei verschiedene Krankheiten benannt:[5]

  • Das Fahrsche Syndrom (auch: Fahrsche Verkalkung) ist der Morbus Fahr.
  • Die Fahrsche Nephritis ist eine seröse Nephritis.
  • Die Fahrsche Nephrosklerose (auch Fahr-Volhard-Nephrosklerose) war die auch früher wenig gebräuchliche Bezeichnung für eine maligne Nephrosklerose.[6]

Formen

Die Fahr-Krankheit kann idiopathisch sporadisch oder als familiär gehäufte Erkrankung auftreten, sowohl autosomal dominant als auch rezessiv vererbt. Symptomatisch kann es zum Morbus Fahr auch im Rahmen von Hypoparathyreoidismus und Pseudohypoparathyreoidismus kommen.

„Unterschieden werden idiopathische, autosomal-dominant erbliche und symptomatische Formen.“[7]

Symptome

Als Zufallsbefund muss diese Basalganglienverkalkung bei jenen 40 % der Betroffenen bezeichnet werden, die keine Symptome aufweisen. Die Berechtigung als eigenständige Krankheit wird deshalb zum Teil auch bezweifelt.

Bei den symptomatischen Formen werden Kopfschmerzen, Sprachstörungen, eine langsam fortschreitende Demenz und extrapyramidale Symptome beschrieben. Eine Korrektur des Calciumspiegels kann letztere deutlich verbessern.[8]

Literatur

  • Theodor Fahr: Idiopathische Verkalkung der Hirngefäße. In: Zentralblatt für allgemeine Pathologie und pathologische Anatomie. 1930–1931, 50. Jahrgang, S. 129–133
  • Holger Grehl, Frank-Michael Reinhardt (Hrsg.): Checkliste Neurologie. 3. Auflage. Georg Thieme Verlag, Stuttgart 2005, S. 509–510. 7. Auflage ISBN 978-3-13-243808-8
Commons: Morbus Fahr – Sammlung von Bildern, Videos und Audiodateien

Einzelnachweise

  1. a b Theodor Fahr: Idiopathische Verkalkung der Hirngefäße. In: Zentralblatt für Allgemeine und Pathologische Anatomie. 50. Jahrgang, S. 129–133, 1930.
  2. D. R. Oppenheimer: Diseases of the basal ganglia, cerebellum, and motor neurons. In: J. H. Adams, J. A. N. Corsellis, L. W. Duchen, (Hrsg.): Greenfield’s Neuropathology. 4th Edition Auflage. London 1984, S. 699–747.
  3. Heinz Walter, Günter Thiele (Hrsg.): Reallexikon der Medizin und ihrer Grenzgebiete, Loseblattsammlung, Band 2 (Carg–Ez), Verlag Urban & Schwarzenberg, München / Berlin / Wien 1967, ISBN 3-541-84000-5, S. C 78.
  4. Masahiro Kobari, Shigeru Nogawa, Yoshiko Sugimoto, Yasuo Fukuuchi: Familial idiopathic brain calcification with autosomal dominant inheritance. In: Neurology, Band 48. Nummer 3, S. 645–649, März 1997, doi:10.1212/wnl.48.3.645.
  5. Günter Thiele, Heinz Walter (Hrsg.): Reallexikon der Medizin und ihrer Grenzgebiete. Verlag Urban & Schwarzenberg, Loseblattsammlung 1966–1977, 3. Ordner (F–Hyperlysinämie), München / Berlin / Wien 1969, ISBN 3-541-84000-5, S. F 16.
  6. Theodor Fahr: Nephrosklerose. In: Friedrich Henke, Otto Lubarsch (Hrsg.): Handbuch der speziellen pathologischen Anatomie und Histologie. Verlag von Julius Springer, Berlin 1925 und 1934, Band VI (1925), ISBN 978-3-7091-3039-1, Teil 1, S. 368, und Teil 2 (1934), S. 909.
  7. Willibald Pschyrembel: Klinisches Wörterbuch. 268. Auflage. Verlag Walter de Gruyter, Berlin/Boston 2020, ISBN 978-3-11-068325-7, S. 513.
  8. Roche Lexikon Medizin. 5. Auflage, Verlag Urban & Fischer, München / Jena 1984, ISBN 3-437-15156-8, S. 588.