Pick-Krankheit
| Klassifikation nach ICD-10 | |
|---|---|
| G31.0 | Umschriebene Hirnatrophie – Pick-Krankheit |
| F02.0* | Demenz bei Pick-Krankheit |
| ICD-10 online (WHO-Version 2019) | |
| Klassifikation nach ICD-11 | |
|---|---|
| 6D83 | Frontotemporale Demenz |
| ICD-11: Englisch • Deutsch (Entwurf) | |
Die Pick-Krankheit, Picksche Krankheit, Morbus Pick oder (heute zunehmend gebraucht) frontotemporale Demenz (FTD) ist eine neurodegenerative Erkrankung, die den Stirn- und Schläfenlappen des Gehirns zerstört. Sie tritt bei Menschen meist vor dem 60. Lebensjahr auf. Bei diesem Demenztyp steht zunächst eine fortschreitende Veränderung der Persönlichkeit und der sozialen Verhaltensweisen im Vordergrund, beeinträchtigte Gedächtnisleistungen eher weniger.[1]
Als Demenz ist die Pick-Krankheit seltener als die auch zur Gruppe der neurodegenerativen Erkrankungen zählende Demenz vom Alzheimer-Typ. Ein familiäres Auftreten wird bei Morbus Pick häufiger beobachtet (in etwa vierzig Prozent der Krankheitsfälle, Angaben zur familiären Häufung schwanken). Ein autosomal-dominanter Erbgang lässt sich in weniger als zehn Prozent der Fälle feststellen.
Die frontotemporale Demenz muss vom sogenannten Frontalhirnsyndrom abgegrenzt werden. Dieser Begriff bezeichnet die Folgen einer Schädigung oder Störung, die im Stirnhirn lokalisiert ist. Es handelt sich dabei jedoch nicht um ein eigenes Krankheitsbild, sondern nur um die Beschreibung eines unspezifischen Symptommusters.
Historisches
Erstmals beschrieben wurde der Morbus Pick 1892 von dem Prager Neurologen Arnold Pick, der bei der Obduktion früh verstorbener, damals so genannter „Schwachsinniger“ eine Atrophie (Gewebsschwund) der Stirn- und Schläfengehirnlappen feststellte[2] und dies als besondere Krankheit einstufte. In den 1920er Jahren wurden weitere Fälle beschrieben, und deswegen wurde das Bild nach dem Erstbeschreiber als Picksche Krankheit oder Morbus Pick bezeichnet.
Entstehung
Welche Faktoren genau das Auftreten der Krankheit verursachen, ist noch weitgehend unerforscht. Als einer der Auslöser konnte das für das Tau-Protein codierende MAPT-Gen identifiziert werden. Eine andere auslösende Mutation im für Präsenilin-1 codierenden PSEN1-Gen ist ebenfalls belegt.[3][4] Die pathologische Anhäufung eines Proteins namens TDP-43 in den Nervenzellen ist in rund der Hälfte der Fälle belegt. Diese Fälle treten familiär gehäuft auf. Außerdem wurden Mutationen im TMEM106B-Gen gefunden, welche die Krankheit als starker Risikofaktor begünstigen (Chromosom 7p21). Eine Assoziation mit der Anhäufung von TDP-43 wird vermutet, ist bisher aber noch nicht belegt.[5] Als einziges gesichertes morphologisches Merkmal können nach dem Tod des Patienten charakteristische Einschlusskörper (in diesem Fall „Pick-Körper“ genannt) dargestellt werden, die 1911 von Alois Alzheimer bei frontotemporalen Demenzen beschrieben wurden (Tauopathie).
Häufigkeit
Die Prävalenz wird mit 3,4/100.000 angenommen. Frauen und Männer sind von der Pickschen Krankheit etwa gleich häufig betroffen. Morbus Pick stellt mit einer Häufigkeit von 3–9 % (je nach Quelle) unter allen Demenzen einen seltenen Typus dar. Geht man von etwa 1,4 Millionen Demenzkranken in Deutschland aus, wären schätzungsweise mindestens 42.000 Menschen von der Pickschen Krankheit betroffen.[6][7]
In einer finnischen Studie fand sich 2025 ein epidemiologischer Zusammenhang mit Epilepsie. Diese war bei Patienten mit Morbus Pick häufiger als bei kognitiv Gesunden und auch als bei Patienten mit Alzheimer-Krankheit. Bereits 10 Jahre vor der Diagnose der frontotemporalen Demenz lag die Prävalenz von Epilepsie höher als in der gesunden Kontrollgruppe (3,3 % gegenüber 0,8 %). Fünf Jahre nach der Diagnosestellung betrug die Epilepsie-Prävalenz 11,2 % bei Morbus-Pick-Patienten gegenüber 2,2 % in der Kontrollgruppe. Ebenfalls, jedoch geringer war auch bei Alzheimer-Patienten die Epilepsie-Häufigkeit fünf Jahre nach der Diagnosestellung erhöht (6,9%)[8][9].
Symptome
Morbus-Pick-Patienten leiden im Allgemeinen an Verhaltensauffälligkeiten, Persönlichkeitsveränderungen, Sprach- und Gedächtnisstörungen und dem Verlust anerzogener Verhaltensregeln. Der Verlauf der Krankheit ist eher langsam fortschreitend. Üblicherweise gehen die beiden zuerst genannten Symptome einer Störung des Gedächtnisses voraus.
Klinisch sind zwei Symptomkomplexe zu beobachten – entweder „passiv“ anmutende Zeichen wie:
- Apathie
- Antriebslosigkeit
- Vernachlässigung der Körperpflege
- affektive Verflachung
- Verwahrlosung
oder gegensätzlich wirkende Symptome wie:
- Triebhaftigkeit
- Euphorie
- Verlust ethischer Werte (Kriminalität)
- generelle Enthemmungsphänomene (Esssucht, Vergröberung der Tischmanieren, Witzelsucht und sexuelle Anzüglichkeiten/Handlungen)
Im weiteren Verlauf der Erkrankung kommen Sprach- und Orientierungsstörungen hinzu, bis sich schließlich das Vollbild der frontotemporalen Demenz mit Muskelversteifung (Rigor), Pflegebedürftigkeit sowie Harn- bzw. Stuhlinkontinenz ausgebildet hat.
Je nach betroffener Hirnregion ist das Auftreten von Unterformen der frontotemporalen Demenz wie beispielsweise der progredienten (fortschreitenden) Aphasie oder der semantischen Demenz möglich.
Verlauf
Die Krankheit beginnt meist zwischen dem 50. und 60. Lebensjahr, wobei die Spanne sehr groß ist (20–85 Jahre). Die mittlere Überlebenszeit liegt bei 8 Jahren. Es sollte aber berücksichtigt werden, dass das Auftreten der ersten Symptome im Rückblick oft schwierig zu bestimmen ist und alle Schätzungen zur Dauer des Krankheitsverlaufs ungenau sein dürften.[10][11]
Diagnose


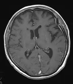
Neben klinischen Verdachtsmustern kann in vivo eine nuklearmedizinische Diagnostik mit Darstellung der Gehirnperfusion (mit 99mTc-HMPAO) (SPECT) oder des Glucose-Stoffwechsels des Gehirns mit 18FDG (PET) weiterhelfen – typischerweise sind in den Gehirnabschnitten, die dem Krankheitsnamen (frontotemporal) entsprechen, die Durchblutung und der Glucose-Stoffwechsel herabgesetzt.
Eine sichere Diagnose dieser seltenen Demenzform ist erst nach dem Tod möglich. Die Krankheit lässt sich jedoch anhand der Symptomkonstellation vermuten und durch Abklärung möglicher Ausschlussdiagnosen eingrenzen.
Unter dem Mikroskop finden sich im Bereich des Schläfenlappens (Temporallappens) und des Stirnlappens (Frontallappens) degenerative Veränderungen („Nervenzelluntergänge“), die durch Ganglienzellenschwund und Gliose unterhalb der Hirnrinde verursacht wurden. Unklar ist die Rolle der so genannten „Pickschen Körper“ (kugelförmige Anhäufungen des τ-Proteins) in den Nervenzellen des Frontal- bzw. Temporalhirns. Es lässt sich jedenfalls kein linearer Zusammenhang zwischen der Menge an Pickschen Körpern und dem Auftreten der Demenz herstellen; auch bei nicht an Morbus Pick erkrankten Patienten fanden sich Picksche Körper.
Einteilung nach Verlaufsform
Klinisch lässt sich diese Demenz oft in 3 Prägnanztypen unterteilen, die vor allem im Frühstadium unterscheidbar sind. Sie gehen später im Verlauf ineinander über:
- Frontale/frontotemporale Verlaufsform mit führender Wesensänderung (Haupttyp)
- Primär-progressive Aphasie (also eine führende nichtflüssige Aphasie (Sprachstörung) und evtl. linkstemporale Atrophie)
- Semantische Demenz (führende bitemporale Atrophie, Defizit des Wissens über Wort- und Objektbedeutungen, fehlerhafte syntaktische Sprachverarbeitung, Defizit des „Weltwissens“ zu allgemeinen Fakten, visuell-gnostische Störungen).
Prognose
Die durchschnittliche Krankheitsdauer bis zum Ableben wird mit acht Jahren angegeben. Es gibt allerdings große Unterschiede zwischen den Verlaufsformen, von sehr raschen bis sehr langsamen.[12]
Therapie
Weder eine Heilung noch eine spezifische medikamentöse Therapie sind möglich (Stand: 8/2017).[7] Die gegen Morbus Alzheimer zeitweise wirksamen Acetylcholinesterasehemmer erwiesen sich bei der Behandlung frontotemporaler Demenzen als wirkungslos. Psychotische Begleiterscheinungen der Pickschen Krankheit können allerdings durch die Gabe von Neuroleptika (etwa Pipamperon und Levomepromazin) gelindert werden.
Im fortschreitenden Verlauf wird eine Dauerhospitalisierung von Pick-Patienten mit intensiver Pflege erforderlich. Psychologische/psychotherapeutische Unterstützung der Angehörigen ist angesichts der schwerwiegenden Symptomatik häufig notwendig.
Ergänzendes
Der Münchner Psychiater Hans Förstl äußerte den Verdacht, König Ludwig II. von Bayern habe neben einer schizotypen Störung zusätzlich in seinen letzten Lebensjahren an Morbus Pick gelitten; er leitete dies unter anderem aus dem Autopsiebefund des Jahres 1886 ab, der bei Ludwig eine deutliche Schrumpfung des Frontalhirns festgestellt hatte.[13] Auch beim französischen Komponisten Maurice Ravel (1875–1937) ist es aufgrund des überlieferten Symptombildes möglich, dass er an Morbus Pick gelitten hat,[14] jedoch lagen einige Symptome bei Ravel eindeutig nicht vor (Vernachlässigung der Körperpflege: Ravel achtete bis zuletzt penibel auf sein Äußeres; oder Enthemmungen im sozialen Verhalten).
Im Februar 2023 machte die Familie des US-Schauspielers Bruce Willis dessen FTD-Erkrankung öffentlich.[15]
Literatur
- A. Brun u. a.: Clinical and neuropathological criteria for frontotemporal dementia. In: J Neurol Neurosurg Psychiatry, 57, 1994, S. 416–418.
- J. Diehl: Frontotemporale Demenz. In: Geriatrie-Journal. Der ältere Patient in Praxis und Klinik, 4, 2002, S, S. 36–37.
- J. Diehl, A. Kurz: Frontotemporale Demenz. In: Wiener Medizinische Wochenschrift, 152, 2002, S. 92–97.
- J. Diehl, I. R. Mackenzie, H. Förstl, A. Kurz: Die frontotemporale Demenz: Ergebnisse der „Frontotemporal Dementia & Pick’s Disease Conference“. In: Nervenarzt, 74, 2003, S. 785–788.
Weblinks
- frontotemporale-demenz.de Seite der Deutschen Alzheimer Gesellschaft e. V. Selbsthilfe Demenz, Links zu Angehörigengruppen, Internetforen u. a.
- deutsche-alzheimer.de (PDF; 90 kB) Deutsche Alzheimer Gesellschaft, Die Frontotemporale Demenz, Informationsblatt 2013
- Erlebnisbericht einer Angehörigen. Spiegel Online – schulspiegel
- Suchbegriff: „Frontotemporale Demenz“. In: Portal des Bundesministeriums für Familie, Senioren, Frauen und Jugend
- Henrik Müller: »Therapien, die den Erkrankungsverlauf bremsen, gibt es noch nicht« in Spektrum.de vom 18. Februar 2023
Einzelnachweise
- ↑ J. Greck, N. Lautenschlager, A. Kurz: Klinische Aspekte der frontotemporalen Demenz. In: Fortschr. Neurol. Psychiatr. 2000 Oct; 68(10), S. 447–457.
- ↑ Pick A. Ueber die Beziehungen der senilen Hirnatrophie zur Aphasie. Prag Med Wchschr 1892; 17: 165–167
- ↑ Frontotemporale Demenz. In: Online Mendelian Inheritance in Man. (englisch).
- ↑ Pick-Krankheit. In: Online Mendelian Inheritance in Man. (englisch).
- ↑ V. M. Van Deerlin, P. M. Sleiman, M. Martinez-Lage, A. Chen-Plotkin, L. S. Wang u. a.: Common variants at 7p21 are associated with frontotemporal lobar degeneration with TDP-43 inclusions. In: Nat Genet., 2010 Feb 14. PMID 20154673
- ↑ Gesellschaft und Demenz ( des vom 29. November 2014 im Internet Archive) Info: Der Archivlink wurde automatisch eingesetzt und noch nicht geprüft. Bitte prüfe Original- und Archivlink gemäß Anleitung und entferne dann diesen Hinweis. abgerufen am 22. März 2014 auf www.wegweiser-demenz.de
- ↑ a b Die Frontotemporale Demenz. (PDF; 104 kB) deutsche Alzheimer Gesellschaft; abgerufen am 18. Juni 2023
- ↑ Annemari Kilpeläinen er al.: Prevalence of Epilepsy in Frontotemporal Dementia and Timing of Dementia Diagnosis. In: JAMA Neurol. Juni, 2025, S. 1358.
- ↑ Peter Schreiber: Epilepsie: Patienten mit frontotemporaler Demenz deutlich häufiger. In: Deutsches Ärzteblatt. Deutscher Ärzteverlag, Köln 13. Juni 2025.
- ↑ J. Diehl, I. R. Mackenzie, H. Förstl, A. Kurz: Die frontotemporale Demenz: Ergebnisse der „Frontotemporal Dementia & Pick’s Disease Conference“. In: Nervenarzt. 2003, 74, S. 785–788.
- ↑ J. L. Cummings. The Neuropsychiatry of AD and Related Dementias. Taylor & Francis, London 2003.
- ↑ Infoblatt. (PDF; 104 kB) deutsche Alzheimer Gesellschaft; abgerufen am 18. Juni 2023
- ↑ Tanja Schmidhofer: Ludwig II. von Bayern - nicht schizophren, sondern …. Klinikum rechts der Isar der Technischen Universität München, Pressemitteilung vom 11. Oktober 2007 beim Informationsdienst Wissenschaft (idw-online.de), abgerufen am 27. Januar 2014.
- ↑ Maurice Ravel (1875–1937): Zwischen Hoffnung und Mutlosigkeit. In: Deutsches Ärzteblatt. 10. August 2007, abgerufen am 17. Januar 2019.
- ↑ https://www.theaftd.org/de/posts/all-us-states/family-of-bruce-willis-announces-actor-has-been-diagnosed-with-ftd/